Merkelcellekarsinom

    ()

    sporsmal_grey_rgb
    Abstract

    Merkel cell carcinoma is an uncommon but aggressive tumour with a high metastatic potential. A rapidly growing, non-tender cutaneous tumour on sun-exposed areas of the body in older patients should raise suspicion of the condition. It may be necessary to combine the patient history with clinical, radiological and pathological findings in order to make the correct diagnosis. Excision with a 1–2 cm margin, direct closure and simultaneous sentinel-node biopsy should be performed without delay. Adjuvant radiation therapy of the tumour site may be relevant. After the diagnosis is made, assessment and treatment should take place in hospitals with special experience of the condition.

    Artikkel

    Merkelcellekarsinom er en sjelden, men aggressiv tumor med høyt metastaseringspotensial. En hurtigvoksende, uøm, rødlilla kutan knute på soleksponerte områder hos eldre pasienter bør vekke mistanke om tilstanden. Sammenstilling av anamnese, kliniske funn, radiologiske funn og patologiske funn kan være nødvendig for å stille korrekt diagnose. Eksisjon med 1–2 cm margin, direkte lukning og samtidig vaktpostlymfeknutebiopsi bør utføres raskt. Adjuvant strålebehandling av tumortomten kan være aktuelt. Etter at diagnosen er stilt, bør utredning og behandling skje på sykehus med særskilt erfaring med tilstanden.

    Merkelcellekarsinom er en sjelden, aggressiv form for hudkreft som kan vokse raskt, og som har høy risiko for lokalt residiv og tidlig spredning. Sykdommen forekommer hyppigst på soleksponerte områder (1). På diagnosetidspunktet har en tredjedel av pasientene spredning til regionale lymfeknuter og én av ti pasienter fjernmetastaser (2–4). En antok tidligere at tumorcellene utgikk fra merkelceller, som er nevroendokrine celler lokalisert i basallaget i epidermis (2), men utgangspunktet regnes som uavklart (5).

    Insidensen av merkelcellekarsinom er økende (6, 7). I Norge ble det registrert 146 tilfeller i perioden 2001–10 og 265 tilfeller i perioden 2011–20 (Datautleveringsenheten, Kreftregisteret, personlig meddelelse). Soleksponering er en predisponerende faktor (8, 9). Andre disponerende faktorer er høy alder, lys hudtype, immunsuppresjon og infeksjon med merkelcellepolyomavirus (1, 10). Merkelcellepolyomavirus påvises hos 80 % av pasientene med merkelcellekarsinom (10, 11). Utvikling av merkelcellekarsinom i fravær av infeksjon med merkelcellepolyomavirus er forbundet med et mer aggressivt forløp og dårligere prognose (12).

    Tilstanden er sjelden, og prospektive randomiserte studier for behandling og oppfølging mangler. Internasjonale retningslinjer er basert på retrospektive studier. Flere internasjonale retningslinjer (4, 13) bygger på anbefalinger utgitt av National Comprehensive Cancer Network (NCCN) (3). Med hensyn til behandling og prognose har merkelcellekarsinom mange likhetstrekk med malignt melanom, men til forskjell fra malignt melanom er merkelcellekarsinom svært strålesensitivt. I tillegg er tumordiameter av betydning for stadieinndeling ved merkelcellekarsinom. Korrekt initial vurdering og behandling er av stor betydning for prognosen. Oslo universitetssykehus har sannsynligvis mest erfaring med håndtering av pasienter med tilstanden i Norge.

    Vi har inntrykk av at kunnskapen om utredning og behandling av merkelcellekarsinom er mangelfull blant mange leger. Formålet med denne artikkelen er å gi en kortfattet oversikt over diagnostikk og behandling av merkelcellekarsinom. Den er rettet mot leger i spesialist- og primærhelsetjenesten og er basert på skandinaviske og internasjonale retningslinjer samt egen klinisk erfaring.

    Primærdiagnostikk

    Primærdiagnostikk

    Klinisk feiltolkes ofte merkelcellekarsinom som plateepitelkarsinom, basalcellekarsinom eller en godartet tilstand som cyste, lipom eller fibrom (1). En hurtigvoksende, uøm, rødlilla kutan knute på soleksponerte områder hos eldre eller immunsupprimerte pasienter bør vekke mistanke om merkelcellekarsinom (1) (figur 1).

    Ved mistanke om merkelcellekarsinom anbefales diagnostisk eksisjonsbiopsi av hele tumoren (4). Marginer er ikke spesifisert i retningslinjene, men eksisjonsbiopsi bør etter vår mening utføres som ved melanomsuspekt hudlesjon, med 2–5 mm margin ut i normal hud og med en underliggende pute av subdermalt fett (14). Ved lesjoner lokalisert på steder hvor arr kan være kosmetisk skjemmende, eller lesjoner som ikke kan eksideres i sin helhet, kan stansebiopsi tas der tumoren er tykkest, men ikke fra et område med ulcerasjon. Klinisk tumordiameter er sentralt for stadieinndeling (15). Lesjonens diameter bør måles før eksisjon fordi formalinfiksert vev skrumper og tumordiameteren kan underestimeres på fiksert preparat (3, 16).

    Ved innsending av et resektat til patolog bør det opplyses på remissen at det er mistanke om merkelcellekarsinom. Lokalisasjon og klinisk tumordiameter bør angis. Immunhistokjemisk undersøkelse er nødvendig for å differensiere merkelcellekarsinom fra primært og sekundært småcellet udifferensiert karsinom, lymfom, melanom, sarkom og metastase til hud fra småcellet lungekarsinom. De fleste merkelcellekarsinomer er positive for markøren CK20 og negative for TTF-1. Som et minimum bør markørene CK20, LCA, melan-A eller S-100 og TTF-1 undersøkes (4). I tillegg anbefales CK7, AE1/AE3, kromogranin, synoptofysin og merkelcellepolyomavirus, eventuelt også NF og SATB2 (5). Andre markører undersøkes avhengig av hva som skal utelukkes. Det kan være utfordrende å stille diagnosen, spesielt ved avvikende resultat av immunhistokjemisk undersøkelse.

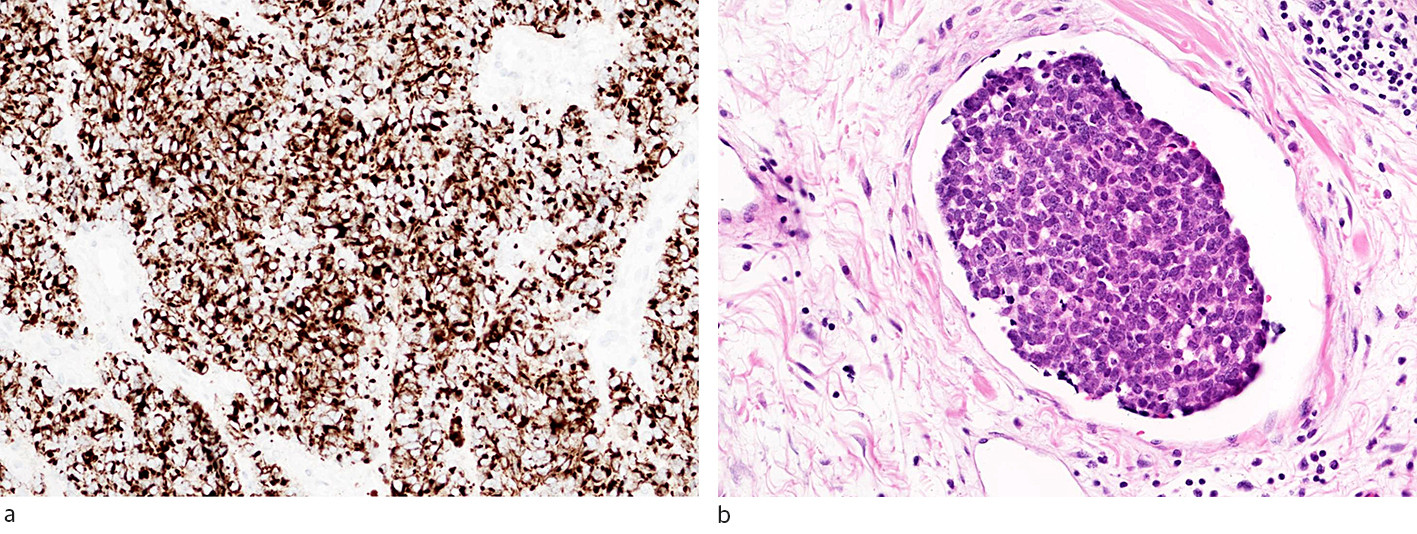
    Sammenstilling av anamnese, kliniske funn, radiologiske funn og patologiske funn kan være nødvendig for å stille korrekt diagnose. Tumorsatellitter og mikrometastaser sees ofte ved siden av hovedtumor. Tumortromber foreligger hos en høy andel av pasientene, og det kan være vanskelig å oppnå frie marginer selv når tumor fjernes med klinisk gode marginer (figur 2).

    AJCC-systemet (American Joint Committee on Cancer) benyttes for stadieinndeling av merkelcellekarsinom og er basert på tumordiameter, innvekst i omkringliggende strukturer (muskel, fascie, brusk eller bein), spredning til regionale lymfeknuter og fjernmetastaser (3, 15, 16) (tabell 1). De viktigste parameterne for korrekt håndtering av pasienten er tumordiameter, invasjonsnivå og beskrivelse av perifer og dyp margin. Andre parametere som bør rapporteres, er tumortykkelse, karinfiltrasjon, lokale satellittmetastaser, mitoser, tumorinfiltrerende lymfocytter og merkelcellepolyomavirusstatus. Ved ett eller flere av følgende karakteristika regnes pasienten som høyrisikopasient: primærtumor i hode-hals-regionen, immunsuppresjon, tumordiameter > 2 cm eller lymfovaskulær infiltrasjon (3).

    Tabell 1

    Stadieinndeling av merkelcellekarsinom etter AJCC-systemet (American Joint Committee on Cancer), versjon 8 (16).

    Stadium

    Kriterium

    I

    Primærlesjon diameter ≤ 2 cm

    II

    Primærlesjon diameter > 2 cm eller innvekst i underliggende strukturer

    III

    Alle primærlesjoner med spredning til regionale lymfeknuter

    IV

    Alle primærlesjoner med fjernmetastaser

    Etter at diagnosen merkelcellekarsinom er stilt, bør videre utredning og behandling skje på sykehus hvor kirurg, patolog og onkolog har erfaring med krefttypen, og hvor den onkologiske avdelingen har kompetanse på radikal strålebehandling mot hode-hals-regionen.

    Kirurgisk behandling

    Kirurgisk behandling

    Målet med kirurgisk behandling er radikal eksisjon av primærlesjonen. Ingen randomiserte studier har evaluert hvilken eksisjonsmargin som er tilstrekkelig (3, 17). I en retrospektiv studie av 6 156 pasienter med lokalisert merkelcellekarsinom var klinisk eksisjonsmargin på over 1 cm assosiert med bedret overlevelse sammenlignet med en margin på 1 cm eller mindre. Det ble ikke funnet ytterligere økt overlevelse ved marginer over 2 cm (18). Internasjonale retningslinjer anbefaler eksisjon av tumor med 1–2 cm margin ned til muskelfascie, perikondrium eller periost (3, 4, 19).

    I ansiktet setter tilgrensende vitale strukturer og kosmetiske vurderinger grense for eksisjonsmarginene. Rekonstruksjon som krever underminering av vev eller lappeplastikk, anbefales ikke før det er bekreftet at tumor er fritt fjernet (3). Adjuvant strålebehandling av tumortomten er ofte aktuelt. Ved planlagt adjuvant stråleterapi av tumortomten kan kortere marginer enn 1–2 cm aksepteres, slik at man kan lukke såret direkte fremfor å foreta rekonstruksjon med hudtransplantat (3). Kirurgisk behandling bør koordineres slik at vaktpostlymfeknutebiopsi utføres i samme seanse som utvidet eksisjon. Ved Oslo universitetssykehus (Radiumhospitalet) tilstrebes 1 cm eksisjonsmargin ved stadium I og 2 cm margin ved stadium II (tabell 1).

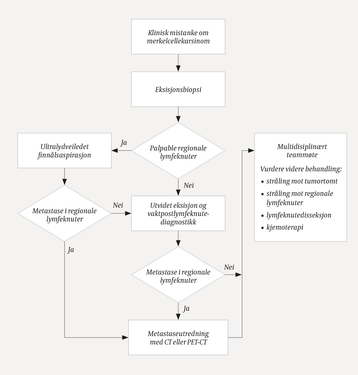
    Klinisk vurdering av regionale lymfeknutestasjoner bør inngå i preoperativ undersøkelse av alle pasienter med mistenkt eller bekreftet merkelcellekarsinom. Pasienter med palpable regionale lymfeknuter bør utredes med ultralydveiledet finnålsaspirasjon. En tredel av pasientene uten palpable lymfeknuter har mikroskopiske lymfeknutemetastaser (20), og vaktpostlymfeknutebiopsi anbefales for disse pasientene (3, 4, 19). Vaktpostlymfeknutebiopsi forutsetter at pasienten tåler narkose. Teknikken ved vaktpostlymfeknutebiopsi er som for kutant melanom (14). Vaktpostlymfeknuter identifiseres ved at en radioaktiv isotop injiseres intradermalt rundt tumor eller arr. En eller flere regionale vaktpostlymfeknuter identifiseres ved scintigrafi eller SPECT-CT (single photon emission computed tomography) og fjernes samtidig med at det gjøres utvidet eksisjon. Ved diagnostikk av vaktpostlymfeknuter benyttes immunmarkører for de antistoffene den aktuelle tumoren uttrykker sterkest, i utgangspunktet CK20 og NSE (13). Ved funn av metastaser i regionale lymfeknuter gjøres metastaseutredning med CT eller PET-CT. Figur 3 viser et forslag til initial utredning og behandling av merkelcellekarsinom.

    Etter primær kirurgisk behandling og utredning av regionale lymfeknuter skal videre behandling diskuteres i multidisiplinært teammøte (3). Ved metastase til regionale lymfeknuter tar møtet stilling til om det skal anbefales lymfeknutedisseksjon, eventuelt med adjuvant strålebehandling, eller kun strålebehandling. Nyere studier indikerer at stråling kan være et alternativ til lymfeknutedisseksjon for pasienter med metastase til regionale lymfeknuter. I en ikke-randomisert studie av 163 pasienter med metastase til vaktpostlymfeknuter fant en ingen forskjell i femårsoverlevelse mellom gruppen som ble operert med kompletterende lymfeknutedisseksjon og eventuelt adjuvant stråling, og gruppen som fikk stråling alene (21). I en ikke-randomisert studie av 50 pasienter med metastase til regionale lymfeknutestasjoner fant man at lymfeknutedisseksjon med etterfølgende strålebehandling og strålebehandling alene ga likeverdig resultat (22).

    Strålebehandling

    Strålebehandling

    Amerikanske retningslinjer fra National Comprehensive Cancer Network anbefaler observasjon for ikke-immunsupprimerte pasienter med primærlesjoner med diameter under 1 cm uten lymfovaskulær infiltrasjon hvor det er gjort vid eksisjon med frie marginer. Adjuvant strålebehandling av tumortomten bør vurderes for alle andre pasienter (3). Tyske retningslinjer anbefaler at stråling vurderes i alle sykdomsstadier (4).

    Ved Oslo universitetssykehus anbefales adjuvant stråling av tumortomten ved primærlesjon med diameter over 2 cm og ved primærlesjon med diameter under 2 cm som er fjernet med ufrie eller knappe marginer, og hvor reeksisjon ikke er mulig. Anbefalt total stråledose er 50–60 Gy, avhengig av tumorstørrelse og histologisk vurdering (23). Strålebehandling bør initieres så raskt som mulig med oppstart senest fire til seks uker etter primæreksisjon (3, 13). Primær strålebehandling kan tilbys pasienter som av ulike årsaker ikke er kandidater for kirurgi.

    Strålebehandling mot regionale lymfeknutestasjoner bør vurderes hos pasienter i stadium II–III som ikke har gjennomgått lymfeknutedisseksjon, eller hvis vaktpostlymfeknutebiopsi ikke er mulig. Etter lymfeknutedisseksjon vurderes adjuvant strålebehandling mot regionale lymfeknutestasjoner ved ekstrakapsulær tumorvekst (13). Vi har i tillegg praktisert adjuvant strålebehandling mot regionale lymfeknutestasjoner ved multiple metastaser og knappe marginer etter lymfeknutedisseksjon.

    Medikamentell behandling

    Medikamentell behandling

    Kjemoterapi har vanligvis høy responsrate ved metastatisk merkelcellekarsinom. Varigheten av responsen er kort med en medianverdi på to til ni måneder. Behandlingen er forbundet med høy risiko for alvorlige bivirkninger som hematologisk eller gastrointestinal toksisitet, nyresvikt, sepsis og død (3, 24). Pasienter med metastaserende sykdom uten betydelig komorbiditet bør vurderes for kjemoterapi. Ved metastaserende sykdom benyttes som førstevalg kombinasjonsregimer med platina og etoposid (PV-kur), alternativt antrasyklin, cyklofosfamid og vinkristin (ACO/ECO-kur) hos eldre og allment reduserte pasienter.

    I en studie av 88 pasienter med metastatisk merkelcellekarsinom med sykdomsprogresjon etter kjemoterapi, ga immunsjekkpunkthemmeren avelumab en responsrate på 33 % etter en median oppfølgingstid på 41 måneder (25). Fra 2021 er anti-PD-L1-antistoffet avelumab tilgjengelig som andrelinjebehandling av metastatisk merkelcellekarsinom. Andre immunsjekkpunkthemmere som pembrolizumab og nivolumab har vist effekt ved merkelcellekarsinom (26, 27), men er ikke godkjent for bruk i Norge.

    Elektrokjemoterapi er en palliativ, lokal behandling hvor kjemoterapi kombineres med strømpulser. Strømpulsene tilføres gjennom elektroder som plasseres i tumor. Elektrokjemoterapi er hovedsakelig benyttet som symptomlindring ved væskende eller illeluktende hudlesjoner (28). Isolert ekstremitetsperfusjon kan være et alternativ ved in-transit-metastaser eller inoperable residiv på ekstremiteter (13, 29, 30). Både elektrokjemoterapi og isolert ekstremitetsperfusjon utføres i narkose og er sentralisert til Radiumhospitalet.

    Oppfølging

    Oppfølging

    Pasienter med merkelcellekarsinom har høy risiko for lokoregionalt residiv og fjernmetastaser og bør følges regelmessig, primært ved en onkologisk avdeling. Median tid til residiv oppstår, er 8–9 måneder, og 90 % av tilbakefallene skjer innen 24 måneder (3).

    Ved kontroller bør det utføres inspeksjon av hud og palpasjon av lymfeknutestasjoner. Bruk av bildeundersøkelser individualiseres basert på kliniske funn og risikoprofil. For pasienter med antistoffer mot merkelcellepolyomavirus kan økende antistofftiter være en tidlig indikator på residiv (31), men dette er ikke innarbeidet i retningslinjer. Ved Oslo universitetssykehus følges pasientene av onkolog hver tredje måned i ett til to år, deretter hver sjette måned i inntil fem år. Kontrollene omfatter inspeksjon av hud og palpasjon av lymfeknutestasjoner samt blodprøve til analyse av tumormarkøren nevronspesifikk enolase (NSE), som er en markør for sykdomsaktivitet ved nevroendokrin kreft, inkludert merkelcellekarsinom (32). Radiologisk undersøkelse med CT eller PET-CT anbefales årlig de første to årene eller ved indikasjon. Pasienter med mange solinduserte forandringer i huden kan henvises til hudlege.

    Artikkelen er fagfellevurdert.

    Kommentarer  ( 0 )
    PDF
    Skriv ut

    Anbefalte artikler