A previously healthy man was admitted to the local hospital with increasing dyspnoea, a sensation of fever and reduced general condition. After a short time he became critically ill with respiratory distress and pulmonary infiltrates. Only when a rare immunological syndrome was suspected did we come to the conclusion that there was a serious underlying illness.
A previously healthy man in his forties was admitted to the local hospital with possible endocarditis. He had a sensation of fever, weight loss of around 5 kg, dry cough and night sweats for several weeks. His GP had discovered what was assumed to be a newly occurring heart murmur. The patient described increasing dyspnoea and noticeably poor condition. He was a non-smoker, had no allergies and took no regular medication. He was an office worker, and his disease history gave no indication of environmental factors that could affect pulmonary function. Two months previously, he had undergone surgery for a distal radius fracture with open repositioning and insertion of a titanium plate. At check-up for the fracture, conditions were satisfactory and there was no sign of infection.
Findings on clinical examination were described as normal. There was no cyanosis, and no enlarged lymph nodes or hepatosplenomegaly on palpation. Auscultation of the heart and lungs was normal, and peripheral oxygen saturation was 96 % in room air.
Blood samples showed SR 31 mm/hour (reference range 1–12 mm/hour), CRP 18 mg/l (0.0–4.0 mg/l), procalcitonin 0.21 ng/ml (< 0.5 ng/ml), haemoglobin 11.9 g/dl (13.4–17.0 g/dl), ferritin 720 µg/l (30–400 µg/l), lactate dehydrogenase 1 733 U/l (105–205 U/l), INR 1.3 (0.8–1.2), fibrinogen 4.3 g/l (2.0–4.0 g/l), D-dimer < 0.27 mg/l (0.0–0.4 mg/l). Other tests including liver tests, renal tests, electrolytes, NT-ProBNP (N-terminal pro-brain natriuretic peptide), MCV and reticulocyte count were normal. Urine dipsticks showed 1+ for albumin. Rapid test for mononucleosis (Monospot) was negative. X-ray of the lungs showed no pathology. No evidence of endocarditis was found on echocardiography, and the examination was otherwise normal, apart from mild aortic insufficiency.
Fever and general malaise is a common issue and can have many causes. The patient was broadly assessed with a focus on infectious and non-infectious inflammatory conditions, as well as malignancy. A low concentration of haemoglobin and a notably elevated concentration of lactate dehydrogenase were found (LD). LD is found in cytoplasm in all the cells of the body, and the enzyme concentration in different tissues is 1 500–5 000 times higher than in plasma. LD is therefore a non-specific marker of cell damage. A number of conditions can cause elevated values. In this patient, there was no evidence of haemolysis, pulmonary embolism, myocardial infarction or liver disease.
The condition was considered to be an unidentified systemic disease. CT scan of the neck, thorax, abdomen and pelvis revealed only splenomegaly. Kidneys, adrenal glands, liver and lung parenchyma were normal, and there was no lymphadenopathy. Blood smear showed atypical monocytes, some of which were 'blast-like'. A bone marrow biopsy revealed above average cell-rich marrow with no evidence of neoplasia, and flow cytometry showed a generally 'activated' picture consistent with infection or inflammation. The patient was discharged without treatment, but with an outpatient appointment soon afterwards.
In the days that followed, the patient continued to have episodes of fever and increasing dyspnoea, as well as reduced general condition. PET-CT scan was performed, which showed signs of widespread, diffuse uptake of ¹⁸F-fluorodeoxyglucose (¹⁸F-FDG) in both lungs, as well as reactive spleen and bone marrow (Figure 1).
Proposed differential diagnoses included infection, lymphoma and hypersensitivity pneumonitis.
PET-CT is a modality that combines PET and multislice CT. The most common marker is radioactive ¹⁸F-FDG, a glucose analogue that functions as a marker for metabolic activity in tissue. The PET detector records where the ionising radiation is concentrated in the body, and this is correlated with the anatomic structures on the CT images. Increased ¹⁸F-FDG uptake on PET-CT may be seen, for example, with increased cell division in malignant tumours, and with increased activity in leukocytes in the case of infections and non-infectious inflammatory disorders.
The patient was given outpatient follow-up five days after discharge. Due to suspicion of an infectious process in the lungs, a 14-day course of the antibiotic azithromycin was prescribed. The patient was also referred to a pulmonary specialist for assessment.
On examination at the pulmonary outpatient clinic three weeks later, forced vital capacity (FVC) was found to be in the lower normal range, while diffusion capacity was only 44 % of that expected. Conditions that can lead to relatively well-preserved FVC combined with reduced gas diffusion include interstitial lung disease, pulmonary vascular disease, anaemia, hepatopulmonary syndrome and increased carboxyhaemoglobin (1).
Based on the findings and the patient's history, it was concluded that pulmonary disease was the reason for the patient's afflictions. A few days after the examination, the patient reported an increase in symptoms. He now needed to rest twice while going upstairs at home, experienced attacks of dyspnoea when walking on level ground, and had a continuous fever.
One week after the last contact, blood samples showed CRP 25 mg/l (0.0–4.0 mg/l), LD rising to > 2 500 U/l (105–205 U/l) and angiotensin-converting enzyme (ACE) 90 U/l (18–65 U/l). The patient had slight anaemia and normal leukocyte and platelet counts, as previously. Peripheral oxygen saturation had fallen to 92 % (94–99 %). Analysis of arterial blood gas showed pH 7.49 (7.35–7.44), pO2 9.3 kPa (10.0–14.0 kPa), pCO2 3.0 kPa (4.7–6.0 kPa), HCO3− 17 mmol/l (21–26 mmol/l), base excess −5 mmol/l (±3 mmol/l) and lactate 2.5 mmol/l (0.4–0.8 mmol/l). Low pO2 coupled with low pCO2 was consistent with impaired oxygenation despite hyperventilation.
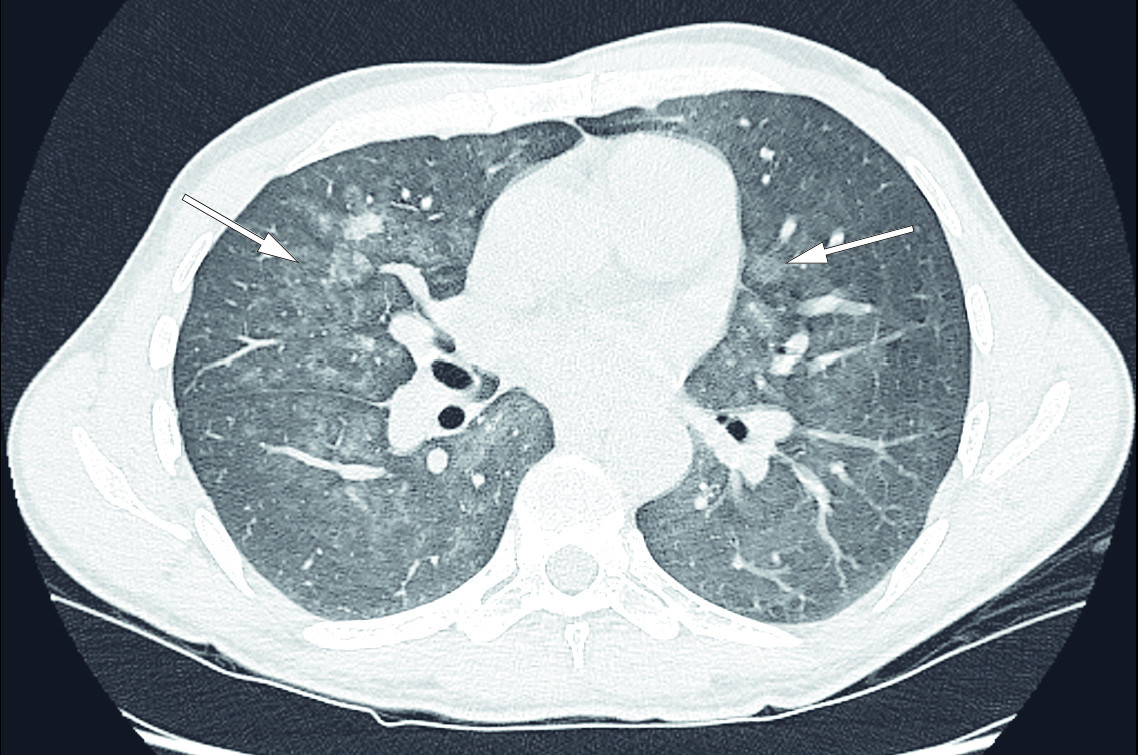
A new CT thorax performed four weeks after the last scan showed that bilateral, patchy ground glass opacities had appeared in the mid fields of the lungs (Figure 2). In addition to the differential diagnoses described on PET-CT, interstitial lung disease and bleeding due to vasculitis were proposed as differential diagnoses.
The patient deteriorated rapidly and was admitted to a local hospital five days later. The following day he was transferred to the department of respiratory medicine at a large hospital for further assessment. Based on the findings available at that point, an interstitial lung disease was suspected. Despite elevated ACE values, the clinical and radiological picture was not consistent with sarcoidosis. Infections, including Pneumocystis jirovecii pneumonia, were also considered sequentially. There was no evidence that the patient's immune defence was reduced.
The patient underwent bronchoscopy with normal endobronchial findings except for slightly injected mucosa. Cell count in bronchoalveolar lavage fluid showed 16 % polymorphonuclear granulocytes (< 3 %), 40 % lymphocytes (10–15 %) and 44 % macrophages (> 85 %). The sample was also sent for flow cytometric, cytological and microbiological examination.
Analysis of cells in bronchoalveolar lavage fluid can be a useful diagnostic tool in patients with suspected interstitial lung disease. In our patient we found a preponderance of lymphocytes, which is associated with granulomatous inflammation (sarcoidosis, hypersensitivity pneumonitis), non-specific interstitial pneumonia, adverse reactions to drugs, lymphoid interstitial pneumonia, cryptogenic organising pneumonia and lymphoma (2, 3). Cytological examination of the bronchoalveolar lavage fluid showed no malignant cells. Microbiological tests, including P. jiroveci, were negative.
The patient's condition deteriorated further. He felt exhausted and dizzy, and had persistent fever and night sweats. His respiratory rate was now 20 breaths/min. Blood gas analysis in room air showed pH 7.46 (7.35–7.44), pO2 8.18 kPa (10.0–14.0 kPa), pCO2 3.45 kPa (4.7–6.0) kPa), base excess −6 mmol/l (± 3 mmol/l) and lactate 4.7 mmol/l (0.4–0.8 mmol/l).
The clinical examination and blood gas analysis were consistent with increasing respiratory failure without CO2 retention. Lactate levels above 4.0 mmol/l are usually referred to as lactic acidosis, but the current patient showed both respiratory and metabolic compensation. Causes of lactic acidosis include tissue hypoperfusion, diabetes mellitus, alcoholism, HIV infection, mitochondrial dysfunction and certain medications (4). High lactate levels may also be seen with malignancies.
A new CT thorax about six weeks after the first admission to the local hospital showed clear progression of the bilateral pulmonary opacities, but no evidence of pulmonary embolism. Pulmonary function tests showed that diffusion capacity was still reduced and revealed a further reduction in lung volume.
Despite a comprehensive assessment, it was still not clear what was wrong with the patient. His condition – both general and respiratory – deteriorated rapidly, despite the attempts at treatment. The possibility of cryoprobe transbronchial lung biopsy was discussed, as a lung biopsy would provide valuable information. However, on account on the patient's respiratory failure, it was decided not to proceed for fear of inducing pneumothorax or haemorrhage.
Owing to suspicion of rapidly developing interstitial lung disease, treatment was started with prednisolone (60 mg × 1 per os) and cefotaxime (2 g × 3 intravenously). Following the initiation of corticosteroid and antibiotic therapy, the patient began to feel better. However, his liver enzyme levels increased, even though ultrasound examination of the liver and biliary tract revealed no pathology. Because of uncertainty over the cause of the liver enzyme changes, cefotaxime was discontinued and was replaced with penicillin (1.2 g × 4 intravenously).
However, the liver enzyme levels continued to rise, and the patient again deteriorated rapidly. Bronchoscopy once again showed normal endobronchial conditions, and cellular analysis of bronchoalveolar lavage fluid showed lymphocyte predominance with no sign of malignant cells.
Persistent fever, splenomegaly, elevated LD level of 1 695 U/l (105–205 U/l) and ferritin of 2 085 µg/l (30–400 µg/l), in addition to the pulmonary changes, now suggested that the patient could have the rare and serious condition haemophagocytic lymphohistiocytosis. High triglyceride levels of 8.11 mmol/l (0.45–2.60 mmol/l) and very high soluble interleukin-2 receptor (IL-2 receptor) levels of 12 379 U/ml (158–623 U/ml) reinforced this suspicion. However, a new examination of the bone marrow failed to reveal either haemophagocytosis or malignant cells. Moreover, the patient did not have cytopenia (neutopenia or thrombocytopenia), which is common in severe haemophagocytic lymphohistiocytosis.
Haemophagocytic lymphohistiocytosis (HLH) is a hyperinflammatory, life-threatening condition that results from excessive activation of the cellular immune response (macrophages, cytotoxic T cells). The most common trigger in adults is malignant haematological disease (56 %), particularly non-Hodgkin's lymphoma (35 %), or infection (24 %) (5). The current patient fulfilled enough criteria (five out of eight) for this diagnosis to be made (Table 1) (6). In cases of haemophagocytic lymphohistiocytosis, identifying the trigger is crucial for prognosis and treatment. It is important to determine the serum level of soluble IL-2 receptor as a biomarker of T cell activation; when levels are very high, as in this patient, lymphoma is a highly relevant differential diagnosis. The high LD levels also pointed in this direction.
Table 1
Diagnostic criteria from 2004 for (secondary) haemophagocytic lymphohistiocytosis (HLH) (6, 12). Five out of eight criteria must be fulfilled for the diagnosis to be made. Ticks show the criteria fulfilled by the current patient.
| Criterion | Fulfilled | |
|---|---|---|
| 1 | Fever | √ |
| 2 | Splenomegaly | √ |
| 3 | Cytopenia affecting at least two cell lines in peripheral blood | |
| 4 | Fasting triglycerides ≥ 3.0 mmol/l or fibrinogen ≤ 1.5 g/l | √ |
| 5 | Haemophagocytosis in bone marrow, spleen or lymph nodes | |
| 6 | Low or absent activity of NK cells (natural killer cells) | |
| 7 | Ferritin ≥ 500 µg/l | √ |
| 8 | Soluble interleukin-2-receptor ≥ 2 400 U/ml | √ |
Owing to suspected haemophagocytic lymphohistiocytosis with underlying malignant haematological disease, the patient was transferred to the intensive care unit of Oslo University Hospital, Rikshospitalet, at which the Department of Haematology and Section of Clinical Immunology and Infectious Diseases are based. The patient was perceived to be alert and oriented, but was subfebrile and required supplemental oxygen.
Over the course of four days, his condition rapidly deteriorated with decreasing oxygen saturation, decreasing diuresis and increasing liver enzyme levels. A new PET-CT scan was perfomed, which now showed in addition to the lung pathology, hepatosplenomegaly and adrenal masses with very high ¹⁸F-FDG uptake, which could indicate lymphoma. A laparoscopic biopsy was therefore performed on the left adrenal gland. Prior to the biopsy results becoming available, and on the basis of vital indication and a strong suspicion that the patient had an aggressive lymphoma, treatment was started with cyclophosphamide (400 mg intravenously) on days 1–5 and dexamethasone (10 mg × 2 intravenously).
There is no specific treatment for haemophagocytic lymphohistiocytosis, but the aim is to slow or reverse tissue-destroying hyperinflammation. The classic treatment is a combination of dexamethasone and etoposide (7). Immunosuppressive therapy with the pan-lymphocyte antibody alemtuzumab, the calcineurin inhibitor cyclosporine and anti-thymocyte globulin (ATG) is also used (6). However, the most important therapeutic target is the disease triggering the syndrome. In this patient, we chose to begin with cyclophosphamide and dexamethasone, both of which are effective in lymphoma, and which produced an immediate anti-inflammatory effect in our patient. Dosage of etoposide is difficult to determine in cases of hypoalbuminaemia and was added only after the albumin values had normalised.
The very high lactate levels (peak value 19 mmol/l with pH 7.18) had not been corrected by administration of bicarbonate. The levels normalised only after the start of cytostatic therapy, indicating that the lactate production was driven by cancer cells. This phenomenon is called the Warburg effect: it means that the tumour cells have increased glycolysis, and that pyruvate is being converted to lactate even under aerobic conditions (8). Three days after the start of treatment, a histological diagnosis was available. Adrenal biopsy showed diffuse large B-cell lymphoma of the activated B-cell type, positive for the B-cell marker CD79a, which is associated with extranodal disease.
On day 6, a modified CHOP regimen (cyclophosphamide, doxorubicin, vincristine, dexamethasone) was administered. The patient's condition deteriorated with increasing oxygen demand and exhaustion, and he had difficulty keeping his airways free. It was therefore decided to intubate the patient. He had hypoalbuminaemia and fluid retention with weight gain of 22 kg, which was later corrected with dialysis.
The patient was extubated after five days of respiratory therapy. The following day he was transferred to the Department of Oncology, Oslo University Hospital, Radiumhospitalet, where cycles of intensive chemotherapy were continued (GMALL02). The course was complicated with adrenal failure, pronounced constipation and acute colonic pseudo-obstruction (Ogilvie's syndrome). At the final evaluation five months after the start of treatment, the patient showed almost complete remission of all previously detected pathology in the lungs and abdomen. Three years after treatment was completed, there was no sign of recurrence.
Discussion
Lymphoma can manifest in various ways and can be difficult to diagnose. Patients with diffuse large B-cell lymphoma are often seriously ill with non-specific symptoms (fever, night sweats, weight loss), widespread lesions and rapid disease progression. When lymphoma is suspected on the basis of defined criteria, examination for this should be initiated without delay. The median age at disease onset is relatively high (70 years), and men and women are equally likely to develop this form of lymphoma. The disease requires prompt treatment in a hospital with specific expertise in this field. Life expectancy without treatment is no more than a few months. Almost 40 % of patients have primary extranodal disease. The diagnosis is made through immunopathological examination of fresh specimens, preferably obtained via surgical biopsy, or removal of whole lymph nodes. If clinical examination and CT from neck to pelvis do not reveal lesions accessible for biopsy, supplementary FDG-PET-CT can be useful, as the current case study illustrates. In seriously ill patients, one must go to great effort to obtain good biopsies of tissue that appears pathological on PET-CT or CT. We estimate that at least 60 % of all patients with diffuse large B-cell lymphoma are cured of the disease with combination chemo-immunotherapy (9).
In this patient the disease presented as persistent fever, dyspnoea and reduced general condition. He had very rapid disease progression, from symptom-free to critically ill in the course of two months. Malignancy was suspected early on, and two bone marrow biopsies were therefore performed without revealing evidence of malignancy. The clinical picture was dominated by respiratory failure and rapidly evolving radiological findings in the lung parenchyma. Primary lung disease was therefore the main working hypothesis for an extended period of time.
Undiagnosed malignant disease is not a frequent cause of respiratory failure, and it may take time for a diagnosis to be made. Most often, such cases will reflect spreading from solid tumours in the form of lymphangitis carcinomatosa, and the prognosis will be poor. Lymphoma is seldom a cause of respiratory failure (10, 11).
The suspicion of haemophagocytic lymphohistiocytosis therefore led to a dramatic change of focus in the assessment of this patient. High concentrations of lactate dehydrogenase and soluble interleukin-2 receptor strengthened the suspicion of lymphoma. The medical history shows that it may be necessary to repeat examinations such as CT and PET-CT, even if these did not initially clarify the diagnosis. When haemophagocytic lymphohistiocytosis is suspected in seriously ill adult patients, the current case history shows that there is a strong indication for rapid and thorough diagnostic testing with respect to underlying malignant disease, primarily lymphoma.
The patient has consented to the publication of this article.
The article has been peer-reviewed.
- 1.
Johnson JD, Theurer WM. A stepwise approach to the interpretation of pulmonary function tests. Am Fam Physician 2014; 89: 359–66. [PubMed]
- 2.
Meyer KC. The role of bronchoalveolar lavage in interstitial lung disease. Clin Chest Med 2004; 25: 637–49, v. [PubMed][CrossRef]
- 3.
Meyer KC, Raghu G, Baughman RP et al. An official American Thoracic Society clinical practice guideline: the clinical utility of bronchoalveolar lavage cellular analysis in interstitial lung disease. Am J Respir Crit Care Med 2012; 185: 1004–14. [PubMed][CrossRef]
- 4.
Kraut JA, Madias NE. Lactic acidosis. N Engl J Med 2014; 371: 2309–19. [PubMed][CrossRef]
- 5.
Rivière S, Galicier L, Coppo P et al. Reactive hemophagocytic syndrome in adults: a retrospective analysis of 162 patients. Am J Med 2014; 127: 1118–25. [PubMed][CrossRef]
- 6.
Daver N, McClain K, Allen CE et al. A consensus review on malignancy-associated hemophagocytic lymphohistiocytosis in adults. Cancer 2017; 123: 3229–40. [PubMed][CrossRef]
- 7.
Henter JI, Samuelsson-Horne A, Aricò M et al. Treatment of hemophagocytic lymphohistiocytosis with HLH-94 immunochemotherapy and bone marrow transplantation. Blood 2002; 100: 2367–73. [PubMed][CrossRef]
- 8.
Alfarouk KO. Tumor metabolism, cancer cell transporters, and microenvironmental resistance. J Enzyme Inhib Med Chem 2016; 31: 859–66. [PubMed][CrossRef]
- 9.
Dahl O, Lehne G, Christoffersen T. Medikamentell kreftbehandling. Cytostatikaboken. Oslo: Universitetet i Oslo, 2016.
- 10.
Chen Y, Ding C, Lin Q et al. Primary intravascular large B-cell lymphoma of the lung: a review and case report. J Thorac Dis 2014; 6: E242–5. [PubMed]
- 11.
Takeshige T, Harada N, Sekimoto Y et al. Pulmonary intravascular large B-cell Lymphoma (IVLBCL) disguised as an asthma exacerbation in a patient with asthma. Intern Med 2017; 56: 1885–91. [PubMed][CrossRef]
- 12.
Henter JI, Horne A, Aricó M et al. HLH-2004: Diagnostic and therapeutic guidelines for hemophagocytic lymphohistiocytosis. Pediatr Blood Cancer 2007; 48: 124–31. [PubMed][CrossRef]
I denne interessante artikkelen er dessverre omtalen av syre-base forstyrrelsene ikke korrekt. Ved omtalen av blodgass nr 2, ble det skrevet at acidosen var både metabolsk og respiratorisk kompensert. De to første blodgassene viste derimot en alkalose. Pasienten hadde vært dyspneisk over tid og hyperventilerte. Ved vedvarende hyperventilasjon vil man få en renal kompensasjon i løpet av 1-3 døgn. Aktuell HCO3 faller da med ca 3,5 mmol/l ved 1 kPa fall i PaCO2. Ved 2 kPa fall i PaCO2 vil aktuell HCO3 falle med ca 7 mol/l og forventet verdi av BE vil være ca -6 (BE på -6 ved Hb verdi på 9-10 g/l. Forventet BE verdi har et litt mindre fall ved en svært høy Hb verdi). Han hadde en kronisk respiratorisk alkalose med metabolsk kompensasjon i de to første refererte blodgassene.
I tillegg hadde han en lactacidose i blodgassene. Ettersom tilstanden utviklet seg over tid, endte lactacidosen dermed med å utgjøre en del av den forventede metabolske kompensasjonen i de to første refererte blodgassene. Lactacidosen medførte da en lavere klor verdi og høyere lactat verdi, enn det man vanligvis ser ved en metabolsk kompensasjon av en kronisk alkalose.
Vi takker for god tilbakemelding på artikkelen vår. Som Benterud korrekt påpeker hadde pasienten en kronisk respiratorisk alkalose med metabolsk kompensasjon i utgangspunktet. Respiratoriske ascidoser og alkaloser er et vanlig funn hos pasienter med respirasjonsproblematikk, både kompenserte og ikke-kompenserte. Vi valgte imidlertid i denne artikkelen å ikke diskutere de generelle blodgassfunnene, men ville få fokus på den høye laktatverdien hos denne pasienten. Høy laktat vil som kjent vanligvis gi acidose. Denne pasienten hadde imidlertid ikke lav pH, noe som kan ha gjort at de høye laktatverdiene ikke ble fulgt opp godt nok. Vi har ikke antydet at pasienten hadde acidose i artikkelen, men han hadde altså laktacidose med normal/forhøyet pH. Begrepet laktacidose kan her ha vært forvirrende, definisjonen på dette er vanligvis laktat over 4,0 mmol/L. Et annet begrep som kanskje ville passet bedre i denne sammenhengen ville vært hyperlactatemi som kan defineres som laktat over 2 mmol/L.