En tidligere frisk mann ble innlagt på lokalsykehuset med økende dyspné, feberfølelse og redusert allmenntilstand. I løpet av kort tid ble han kritisk syk med respirasjonssvikt og infiltrater i lungene. Først da et sjeldent, immunologisk syndrom ble mistenkt, ble det konkludert med alvorlig bakenforliggende sykdom.
En tidligere frisk mann i 40-årene ble innlagt på lokalsykehuset med spørsmål om endokarditt. Han hadde flere ukers sykehistorie med feberfølelse, vekttap på cirka 5 kg, tørrhoste og nattesvette. Fastlegen hadde avdekket en antatt nyoppstått bilyd over hjertet. Pasienten beskrev økende dyspné og påfallende dårlig kondisjon. Han røkte ikke, hadde ingen allergier og brukte ingen faste medisiner. Han hadde kontorjobb, og sykehistorien gav ingen mistanke om miljøfaktorer som kunne påvirke lungefunksjonen. To måneder tidligere hadde han blitt operert for en distal radiusfraktur med åpen reposisjon og innsetting av titanplate. Ved kontroll av frakturen var det tilfredsstillende forhold og ingen tegn til infeksjon.
Funn ved klinisk undersøkelse ble beskrevet som normale. Det var ingen cyanose, og det ble ikke palpert forstørrede lymfeknuter eller hepatosplenomegali. Auskultasjon av hjertet og lungene var normal, og perifer oksygenmetning var 96 % i romluft.
Blodprøver viste SR 31 mm/time (referanseområde 1–12 mm/time), CRP 18 mg/l (0,0–4,0 mg/l), prokalsitonin 0,21 ng/ml (< 0,5 ng/ml), hemoglobin 11,9 g/dl (13,4–17,0 g/dl), ferritin 720 µg/l (30–400 µg/l), laktatdehydrogenase 1 733 U/l (105–205 U/l), INR 1,3 (0,8–1,2), fibrinogen 4,3 g/l (2,0–4,0 g/l), D-dimer < 0,27 mg/l (0,0–0,4 mg/l). Øvrige prøver inkludert leverprøver, nyreprøver, elektrolytter, NT-ProBNP (N-terminalt pro-B-type natriuretisk peptid), MCV og antall retikulocytter var normale. Urinstiks viste 1+ på albumin. Hurtigtest for mononukleose (Monospot) var negativ. Røntgen av lungene påviste ikke patologi. Ved ekkokardiografi fant man ikke holdepunkter for endokarditt, og ellers var det upåfallende forhold, bortsett fra en liten aortainsuffisiens.
Feber og generell sykdomsfølelse er en vanlig problemstilling og kan ha mange årsaker. Pasienten ble utredet bredt med tanke på infeksiøse og ikke-infeksiøse inflammatoriske tilstander samt malignitet. Man fant lav konsentrasjon av hemoglobin og markert forhøyet konsentrasjon av laktatdehydrogenase (LD). LD finnes i cytoplasma i alle kroppens celler, og enzymkonsentrasjonen er i ulike vev 1 500–5 000 ganger høyere enn i plasma. LD er derfor en uspesifikk markør på celleskade. En rekke tilstander kan gi forhøyede verdier. Hos denne pasienten var det ingen holdepunkter for hemolyse, lungeembolisme, hjerteinfarkt eller leversykdom.
Tilstanden ble vurdert å være en uavklart systemisk sykdom. CT-undersøkelse av halsen, brystkassen, buken og bekkenet viste kun splenomegali. For øvrig var nyrer, binyrer, lever og lungeparenkym upåfallende, og det var ingen lymfadenopati. På blodutstryk ble det bemerket atypiske monocytter hvorav enkelte var «blastlignende». Det ble derfor også gjort beinmargsundersøkelse i form av biopsi, aspirat til væskestrømscytometri, mutasjonsanalyser og utstryk. Beinmargsbiopsi viste over middels cellerik marg uten holdepunkter for neoplasi. Væskestrømscytometri viste et generelt «aktivert» bilde passende med infeksjon eller inflammasjon. Pasienten ble utskrevet uten behandling, men med avtale om snarlig poliklinisk time.
De neste dagene hadde pasienten fortsatt episoder med subfebrilia og økende dyspné, i tillegg til generelt nedsatt allmenntilstand. Det ble utført PET-CT, som viste tegn til utbredt, diffust opptak av ¹⁸F-fluordeoksyglukose (¹⁸F-FDG) i begge lunger samt reaktiv milt og beinmarg (figur 1). Differensialdiagnoser som ble foreslått, inkluderte infeksjon, lymfom og hypersensitivitetspneumonitt.
PET-CT er en modalitet der PET og multisnitt-CT kombineres. Den vanligste markøren er radioaktivt ¹⁸F-FDG, en glukoseanalog som fungerer som markør for metabolsk aktivitet i vev. PET-detektoren registrerer hvor den radioaktive strålingen konsentreres i kroppen, og dette korreleres til de anatomiske strukturene på CT-bildene. Økt ¹⁸F-FDG-opptak på PET-CT kan f.eks. ses ved økt celledeling i maligne svulster, økt aktivitet i leukocytter ved infeksjoner og ved ikke-infeksiøse inflammasjonstilstander.
Pasienten fikk poliklinisk oppfølging fem dager etter utskrivelse. På grunn av mistanke om infeksiøs prosess i lungene ble det forskrevet en antibiotikakur med azitromycin i 14 dager. Pasienten ble også henvist til lungespesialist for vurdering.
Ved undersøkelse på lungepoliklinikk tre uker senere fant man belgfunksjon og total lungekapasitet i nedre normalområde og redusert diffusjonskapasitet, som var 44 % av forventet. Tilstander som kan føre til en kombinasjon av relativt velbevart belgfunksjon kombinert med nedsatt gassdiffusjon, er bl.a. interstitielle lungesykdommer, pulmonal vaskulær sykdom, anemi, hepatopulmonalt syndrom og økt karboksyhemoglobin (1).
Ut fra funn og sykehistorie ble det konkludert med lungesykdom som årsak til pasientens plager. Få dager etter undersøkelsen rapporterte pasienten om økende symptomer. Han måtte nå hvile to ganger når han gikk opp trappen hjemme, fikk anfall med dyspné ved gange på flatmark og hadde stadig feber.
En uke etter siste kontakt ble det tatt blodprøver som viste CRP 25 mg/l (0,0–4,0 mg/l), LD stigende til > 2 500 U/l (105–205 U/l) og angiotensinkonverterende enzym (ACE) 90 U/l (18–65 U/l). Som tidligere hadde pasienten lett anemi og normale leukocytt- og blodplateverdier. Perifer oksygenmetning var falt til 92 % (94–99 %). Analyse av arteriell blodgass viste pH 7,49 (7,35–7,44), pO2 9,3 kPa (10,0–14,0 kPa), pCO2 3,0 kPa (4,7–6,0 kPa), HCO3− 17 mmol/l (21–26 mmol/l), baseoverskudd −5 mmol/l (±3 mmol/l) og laktat 2,5 mmol/l (0,4–0,8 mmol/l). Lav pO2 og samtidig lav pCO2 var forenlig med oksygeneringssvikt til tross for hyperventilasjon.
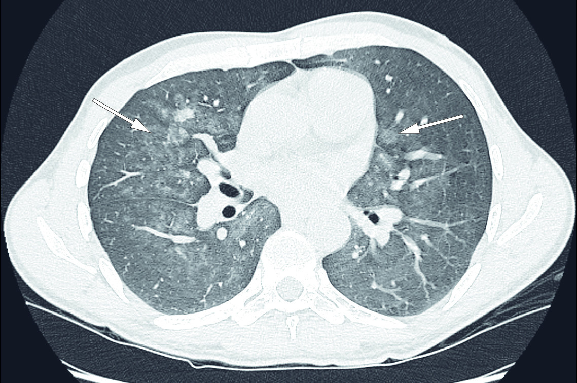
CT av brystkassen viste nå at det i løpet av fire uker var tilkommet bilaterale, flekkvise mattglassfortetninger med utsparing av lungetoppene og helt basale deler av lungene (figur 2). I tillegg til differensialdiagnosene beskrevet på PET-CT ble interstitielle sykdommer og blødning grunnet vaskulitt foreslått som differensialdiagnoser.
Pasienten ble raskt dårligere og ble innlagt på lokalsykehuset fem dager senere. Dagen etter ble han overflyttet til lungemedisinsk avdeling ved et større sykehus for videre utredning. Ut fra funnene som forelå på dette tidspunktet, ble interstitiell lungesykdom mistenkt. Til tross for forhøyede ACE-verdier passet det kliniske og radiologiske bildet dårlig med sarkoidose. Infeksjoner, inkludert Pneumocystis jiroveci-pneumoni, ble også fortløpende vurdert. Det var ingen holdepunkter for at pasienten hadde nedsatt immunforsvar.
Pasienten ble bronkoskopert med normale endobronkiale funn foruten lett injiserte slimhinner. Celletelling i bronkoalveolær lavage-væske viste 16 % polymorfnukleære granulocytter (< 3 %), 40 % lymfocytter (10–15 %) og 44 % makrofager (> 85 %). Prøven ble også sendt til væskestrømscytometrisk, cytologisk og mikrobiologisk undersøkelse.
Analyse av celler i bronkoalveolær lavage-væske kan være et nyttig diagnostisk hjelpemiddel hos pasienter med mistenkt interstitiell lungesykdom. Hos denne pasienten fant man overvekt av lymfocytter, noe som er assosiert med blant annet granulomatøs inflammasjon (sarkoidose, hypersensitivitetspneumonitt), non-spesifikk interstitiell pneumoni, legemiddelreaksjoner, lymfoid interstitiell pneumoni, kryptogen organiserende pneumoni og lymfom (2, 3). Det ble ikke funnet maligne celler ved cytologisk undersøkelse av væsken fra bronkoalveolær lavage. Mikrobiologiske prøver, inkludert P. jiroveci, var negative.
Pasientens tilstand forverret seg ytterligere. Han følte seg generelt medtatt og svimmel, og hadde vedvarende feber og nattesvette. Han hadde nå en respirasjonsfrekvens på 20 pust/min. Analyse av blodgass tatt i romluft viste pH 7,46 (7,35–7,44), pO2 8,18 kPa (10,0–14,0 kPa), pCO2 3,45 kPa (4,7–6,0 kPa), baseoverskudd −6 mmol/l (±3 mmol/l) og laktat 4,7 mmol/l (0,4–0,8 mmol/l).
Klinisk undersøkelse og blodgassanalyse var forenlig med økende respirasjonssvikt uten CO2-retensjon. Laktatverdi over 4,0 mmol/l betegnes vanligvis som laktacidose, men hos denne pasienten var acidosen både respiratorisk og metabolsk kompensert. Årsaker til laktacidose inkluderer hypoperfusjon av vev, diabetes mellitus, alkoholisme, hiv-infeksjon, mitokondriedysfunksjon og enkelte medikamenter (4). I tillegg kan det ses høye laktatverdier ved maligne sykdommer.
Ny CT-undersøkelse av brystkassen tatt cirka seks uker etter første innleggelse på lokalsykehus viste tydelig progresjon av bilaterale lungefortetninger, og det var ikke holdepunkter for lungeembolisme. Lungefunksjonsundersøkelser viste ytterligere reduksjon av lungevolumer og fortsatt redusert diffusjonskapasitet.
Til tross for en omfattende utredning var det fortsatt ikke avklart hva som feilte pasienten. Han ble raskt dårligere, både allment og respiratorisk, til tross for behandlingen som ble forsøkt. Man ønsket lungebiopsi, og bronkoskopisk biopsi med kryoprobe ble diskutert. På grunn av respirasjonssvikt avsto man fra denne undersøkelsen i frykt for pneumothorax og blødning.
På grunn av mistanke om en interstitiell lungesykdom i rask utvikling ble det startet behandling med prednisolon (60 mg × 1 per os) og cefotaksim (2 g × 3 intravenøst). Etter oppstart av behandling med kortikosteroider og antibiotika følte pasienten seg bedre. Imidlertid tilkom stigning i leverenzymverdier, uten at man fant patologiske forandringer ved ultralydundersøkelse av lever og galleveier. Grunnet usikkerhet rundt årsaken til leverpåvirkningen, ble cefotaksim seponert og erstattet av penicillin (1,2 g × 4 intravenøst).
Leverenzymverdiene fortsatte likevel å stige, og pasienten ble igjen raskt dårligere. Ny bronkoskopi viste nok en gang normale endobronkiale forhold, og analyser etter bronkeoalveolær lavage viste et lymfocyttdominert bilde uten funn av maligne celler.
Vedvarende feber, splenomegali, forhøyet LD-verdi på 1 695 U/l (105–205 U/l) og ferritin på 2 085 µg/l (30–400 µg/l), i tillegg til lungeforandringene, gav nå mistanke om at pasienten kunne ha den sjeldne og alvorlige tilstanden hemofagocytisk lymfohistiocytose. Høye verdier av triglyserider på 8,11 mmol/l (0,45–2,60 mmol/l) og svært høye verdier av løselig interleukin-2-reseptor (IL-2-reseptor) på 12 379 U/ml (158–623 U/ml) styrket denne mistanken. Ved ny beinmargsundersøkelse ble det imidlertid ikke påvist hemofagocytose eller beinmargsfremmede celler. Pasienten hadde heller ikke cytopeni (neutopeni eller trombocytopeni), noe som er vanlig ved alvorlig hemofagocytisk lymfohistiocytose.
Hemofagocytisk lymfohistiocytose (HLH) er en hyperinflammatorisk, livstruende tilstand som skyldes eksessiv aktivering av det cellulære immunapparatet (makrofager, cytotoksiske T-celler). Utløsende årsak hos voksne er oftest maligne hematologiske sykdommer (56 %), særlig non-Hodgkins lymfom (35 %), eller infeksjon (24 %) (5). Den aktuelle pasienten innfridde et tilstrekkelig antall kriterier (fem av åtte) for å stille diagnosen (tabell 1) (6). Ved HLH er det avgjørende for prognose og behandling å finne utløsende årsak. Bestemmelse av serumnivå av løselig IL-2-reseptor som tegn på T-celleaktivering er viktig, og ved svært høye verdier, som hos denne pasienten, var lymfom en høyst aktuell differensialdiagnose. De høye LD-verdiene trakk i samme retning.
Tabell 1
Diagnostiske kriterier fra 2004 for (sekundær) hemofagocytisk lymfohistiocytose (HLH) (6, 12). Fem av åtte kriterier må være oppfylt for å stille diagnosen. Kriteriene pasienten oppfylte, er haket av.
| Kriterium | Oppfylt | |
|---|---|---|
| 1 | Feber | √ |
| 2 | Splenomegali | √ |
| 3 | Cytopeni som affiserer minst to cellerekker i perifert blod | |
| 4 | Fastende triglyserider ≥ 3,0 mmol/l eller fibrinogen ≤ 1,5 g/l | √ |
| 5 | Hemofagocytose i beinmarg, milt eller lymfeknuter | |
| 6 | Lav eller fraværende aktivitet av NK-celler (natural killer cells) | |
| 7 | Ferritin ≥ 500 µg/l | √ |
| 8 | Løselig interleukin-2-reseptor ≥ 2 400 U/ml | √ |
På grunn av mistanke om hemofagocytisk lymfohistiocytose med bakenforliggende malign hematologisk sykdom ble pasienten overflyttet til intensivavdelingen på Rikshospitalet, der Avdeling for blodsykdommer og Seksjon for klinisk immunologi og infeksjonsmedisin ved Oslo universitetssykehus er lokalisert. Pasienten ble oppfattet som våken og klar, men var subfebril og oksygenkrevende.
I løpet av fire dager forverret tilstanden seg raskt med fallende oksygenmetning, avtagende diurese og stigende verdier på leverprøver. Det ble tatt ny PET-CT, og denne viste nå, i tillegg til lungeforandringene, hepatosplenomegali og oppfylninger i binyrene med svært høyt ¹⁸F-FDG-opptak, noe som kunne tyde på lymfom. Det ble derfor tatt laparoskopisk biopsi fra venstre binyre. Før svar på biopsien forelå, ble det på vital indikasjon og sterk mistanke om at pasienten hadde et aggressivt lymfom, startet behandling med syklofosfamid (400 mg intravenøst) dag 1–5 og deksametason (10 mg × 2 intravenøst).
Det finnes ingen spesifikk behandling mot hemofagocytisk lymfohistiocytose, men siktemålet er å bremse eller oppheve vevsdestruerende hyperinflammasjon. Den klassiske behandlingen har vært en kombinasjon av deksametason og etoposid (7). Immunsupprimerende behandling med pan-lymfocytt-antistoffet alemtuzumab, kalsinevrinhemmeren ciklosporin og antitymocyttglobulin (ATG) brukes også (6). Det viktigste angrepspunktet for behandling er imidlertid den utløsende årsaken til sykdommen. Hos denne pasienten valgte vi å starte med syklofosfamid og deksametason, som begge er virksomme ved lymfom, og som i dette tilfellet gav en øyeblikkelig antiinflammatorisk effekt. Etoposid er vanskelig å dosere ved hypoalbuminemi og ble først lagt til etter at albuminverdiene var normaliserte.
De svært høye laktatverdiene (høyeste verdi 19 mmol/l og samtidig pH 7,18) hadde ikke latt seg korrigere med bikarbonattilførsel. Nivåene normaliserte seg først etter oppstart av cytostatikabehandling, hvilket indikerte at laktatproduksjonen var drevet av kreftceller. Dette fenomenet kalles Warburg-effekten, og innebærer at tumorcellene har økt glykolyse, og at pyruvat omdannes til laktat selv under aerobe betingelser (8). Tre dager etter oppstart av behandling forelå histologisk diagnose. Biopsi av binyre viste diffust storcellet B-cellelymfom og aktivert B-celletype, positiv for B-cellemarkøren CD79a, som er assosiert med ekstranodal sykdom.
På dag 6 ble det gitt modifisert CHOP-kur (syklofosfamid, doksorubicin, vinkristin, deksametason). Pasientens tilstand forverret seg med økende oksygenbehov og utmattelse, og han hadde vansker med å holde frie luftveier. Det ble derfor besluttet å intubere pasienten. Han hadde hypoalbuminemi og væskeretensjon med vektoppgang på 22 kg, som senere ble korrigert med dialysebehandling.
Pasienten ble ekstubert etter fem dagers behandling med respirator. Dagen etter ble han overflyttet til Avdeling for kreftbehandling ved Radiumhospitalet, der man fortsatte intensiv kjemoterapi med blokk-kurer (GMALL02). Forløpet var komplisert med binyrebarksvikt, uttalt obstipasjon og pseudoobstruksjon av tykktarmen (Ogilvies syndrom). Ved sluttevaluering fem måneder etter behandlingsstart var det nærmest fullstendig tilbakegang av alle tidligere påviste forandringer i lungene og buken. Tre år etter avsluttet behandling hadde pasienten ingen tegn til residiv.
Diskusjon
Lymfom kan manifestere seg på ulike måter og kan være vanskelig å diagnostisere. Pasienter med diffust storcellet B-cellelymfom er ofte alvorlig syke med allmennsymptomer (feber, nattesvette, vekttap), utbredte tumorforandringer og rask sykdomsprogresjon. Mistanke om lymfom etter gitte kriterier utløser såkalt pakkeforløp for lymfomer. Median alder ved sykdomsdebut er relativt høy (70 år), og like mange menn som kvinner får denne formen for lymfom. Sykdommen krever rask behandling på sykehus med spesialkompetanse på området. Ubehandlet har pasientene en levetid på høyst noen måneder. Nesten 40 % av pasientene har primær ekstranodal sykdom. Diagnosen stilles ved immunpatologisk undersøkelse av ferskt materiale, helst kirurgisk skjærebiopsi, eventuelt uttak av hele lymfeknuter. Dersom klinisk undersøkelse og CT fra hals til bekken ikke avdekker patologiske forandringer tilgjengelige for biopsi, er det nyttig å supplere med FDG-PET-CT, som denne kasuistikken illustrerer. Hos alvorlig syke pasienter må man strekke seg langt for å få gode biopsier av vev som framstår patologisk på PET-CT eller CT. Vi regner i dag med at minst 60 % av alle pasientene med diffust storcellet B-cellelymfom blir kurert for sykdommen med kombinert kjemoimmunterapi (9).
Presentasjonsformen hos denne pasienten var vedvarende feber, dyspné og redusert allmenntilstand. Han hadde svært rask sykdomsprogresjon, fra symptomfri til kritisk syk i løpet av to måneder. Man tenkte tidlig på malignitet, og det ble blant annet tatt to beinmargsbiopsier uten at dette kunne påvises. Bildet ble dominert av respirasjonssvikt og radiologiske funn i lungeparenkymet som utviklet seg raskt. Primær lungesykdom var derfor lenge den viktigste arbeidshypotesen.
Udiagnostisert malign sykdom er ikke en hyppig årsak til respirasjonssvikt, og det kan ta tid før en diagnose foreligger. Oftest vil det dreie seg om spredning fra solide tumorer i form av lymfangitis carcinomatosa, og prognosen er da dårlig. Lymfom som årsak til respirasjonssvikt er sjelden (10, 11).
Mistanken om hemofagocytisk lymfohistiocytose (HLH) førte derfor til at fokuset i utredningen av denne pasienten endret seg drastisk. Høy konsentrasjon av laktatdehydrogenase og løselig interleukin-2-reseptor styrket mistanken om lymfom. Sykehistorien understreker også at det kan være behov for å gjenta undersøkelser som CT og PET-CT selv om disse i utgangspunktet ikke har gitt avklaring. Hos alvorlig syke voksne pasienter der HLH mistenkes, vil det være sterk indikasjon for rask og grundig diagnostikk med tanke på underliggende malign sykdom, i første rekke lymfom, noe denne kasuistikken illustrerer.
Pasienten har gitt samtykke til at artikkelen blir publisert.
Artikkelen er fagfellevurdert.
- 1.
Johnson JD, Theurer WM. A stepwise approach to the interpretation of pulmonary function tests. Am Fam Physician 2014; 89: 359–66. [PubMed]
- 2.
Meyer KC. The role of bronchoalveolar lavage in interstitial lung disease. Clin Chest Med 2004; 25: 637–49. [PubMed][CrossRef]
- 3.
Meyer KC, Raghu G, Baughman RP et al. An official American Thoracic Society clinical practice guideline: the clinical utility of bronchoalveolar lavage cellular analysis in interstitial lung disease. Am J Respir Crit Care Med 2012; 185: 1004–14. [PubMed][CrossRef]
- 4.
Kraut JA, Madias NE. Lactic acidosis. N Engl J Med 2014; 371: 2309–19. [PubMed][CrossRef]
- 5.
Rivière S, Galicier L, Coppo P et al. Reactive hemophagocytic syndrome in adults: a retrospective analysis of 162 patients. Am J Med 2014; 127: 1118–25. [PubMed][CrossRef]
- 6.
Daver N, McClain K, Allen CE et al. A consensus review on malignancy-associated hemophagocytic lymphohistiocytosis in adults. Cancer 2017; 123: 3229–40. [PubMed][CrossRef]
- 7.
Henter JI, Samuelsson-Horne A, Aricò M et al. Treatment of hemophagocytic lymphohistiocytosis with HLH-94 immunochemotherapy and bone marrow transplantation. Blood 2002; 100: 2367–73. [PubMed][CrossRef]
- 8.
Alfarouk KO. Tumor metabolism, cancer cell transporters, and microenvironmental resistance. J Enzyme Inhib Med Chem 2016; 31: 859–66. [PubMed][CrossRef]
- 9.
Dahl O, Lehne G, Christoffersen T. Medikamentell kreftbehandling. Cytostatikaboken. Oslo: Universitetet i Oslo, 2016.
- 10.
Chen Y, Ding C, Lin Q et al. Primary intravascular large B-cell lymphoma of the lung: a review and case report. J Thorac Dis 2014; 6: E242–5. [PubMed]
- 11.
Takeshige T, Harada N, Sekimoto Y et al. Pulmonary intravascular large B-cell Lymphoma (IVLBCL) disguised as an asthma exacerbation in a patient with asthma. Intern Med 2017; 56: 1885–91. [PubMed][CrossRef]
- 12.
Henter JI, Horne A, Aricó M et al. HLH-2004: Diagnostic and therapeutic guidelines for hemophagocytic lymphohistiocytosis. Pediatr Blood Cancer 2007; 48: 124–31. [PubMed][CrossRef]
I denne interessante artikkelen er dessverre omtalen av syre-base forstyrrelsene ikke korrekt. Ved omtalen av blodgass nr 2, ble det skrevet at acidosen var både metabolsk og respiratorisk kompensert. De to første blodgassene viste derimot en alkalose. Pasienten hadde vært dyspneisk over tid og hyperventilerte. Ved vedvarende hyperventilasjon vil man få en renal kompensasjon i løpet av 1-3 døgn. Aktuell HCO3 faller da med ca 3,5 mmol/l ved 1 kPa fall i PaCO2. Ved 2 kPa fall i PaCO2 vil aktuell HCO3 falle med ca 7 mol/l og forventet verdi av BE vil være ca -6 (BE på -6 ved Hb verdi på 9-10 g/l. Forventet BE verdi har et litt mindre fall ved en svært høy Hb verdi). Han hadde en kronisk respiratorisk alkalose med metabolsk kompensasjon i de to første refererte blodgassene.
I tillegg hadde han en lactacidose i blodgassene. Ettersom tilstanden utviklet seg over tid, endte lactacidosen dermed med å utgjøre en del av den forventede metabolske kompensasjonen i de to første refererte blodgassene. Lactacidosen medførte da en lavere klor verdi og høyere lactat verdi, enn det man vanligvis ser ved en metabolsk kompensasjon av en kronisk alkalose.
Vi takker for god tilbakemelding på artikkelen vår. Som Benterud korrekt påpeker hadde pasienten en kronisk respiratorisk alkalose med metabolsk kompensasjon i utgangspunktet. Respiratoriske ascidoser og alkaloser er et vanlig funn hos pasienter med respirasjonsproblematikk, både kompenserte og ikke-kompenserte. Vi valgte imidlertid i denne artikkelen å ikke diskutere de generelle blodgassfunnene, men ville få fokus på den høye laktatverdien hos denne pasienten. Høy laktat vil som kjent vanligvis gi acidose. Denne pasienten hadde imidlertid ikke lav pH, noe som kan ha gjort at de høye laktatverdiene ikke ble fulgt opp godt nok. Vi har ikke antydet at pasienten hadde acidose i artikkelen, men han hadde altså laktacidose med normal/forhøyet pH. Begrepet laktacidose kan her ha vært forvirrende, definisjonen på dette er vanligvis laktat over 4,0 mmol/L. Et annet begrep som kanskje ville passet bedre i denne sammenhengen ville vært hyperlactatemi som kan defineres som laktat over 2 mmol/L.