Kallmann syndrome

    ()

    sporsmal_grey_rgb
    Article

    An impaired olfactory sense may have a number of different causes. If anosmia is accompanied by absence of pubertal development, Kallman syndrome should be suspected. The diagnosis is made by means of MRI of the head, as the olfactory sulcus and bulb are bilaterally absent in these patients.

    In this article we present the case of a patient admitted to the otorhinolaryngology department for examination of a reduced olfactory sense. The patient had total anosmia. She explained that she had not reached puberty until first taking contraceptive pills. A hormonal test detected decreased levels of follicle-stimulating hormone and oestradiol. Anosmia combined with delayed puberty should raise suspicion of Kallmann syndrome. MRI of the head confirmed the diagnosis, showing a complete lack of olfactory sulcus and bulb bilaterally.

    A woman in her thirties was referred to the otorhinolaryngology department because of a reduced olfactory sense. She reported that she was only able to smell ammonia, acetone, hand sanitiser, strong bleach and ammonium bicarbonate.

    Common causes of a reduced olfactory sense are nasal congestion with anatomical abnormalities such as a deviated septum, previous injuries or surgery to the nasal and cranial base, degenerative changes, allergy and neurodegenerative diseases such as Parkinson's disease. Abnormal embryonic development may also result in anosmia. In many cases, the olfactory sense can be improved by treating underlying factors and initiating smell training if there is no permanent damage or abnormality in the olfactory nerve. Preservation of the olfactory sense is important for nutrition, safety and quality of life (1).

    The patient had previously undergone an adenoidectomy but no other otolaryngological surgery, and had no history of head trauma. With regard to medication, she used the contraceptive pill and calcium supplements. She had no allergies, and examination of her ears, nose and throat yielded normal findings.

    When she took the smell identification test (sniffing sticks 12-identification test, SIT-12) (2) she recognised only the smell of peppermint and was accordingly scored as having anosmia. Peppermint and other odours that she had reported being able to recognise all have significant trigeminal components, meaning that they are known to cause reactions that are perceived as odour in addition to other sensory information, such as cold and pain. Many people with no olfactory sense will still perceive that they can smell, as they sense the trigeminal component (3). This is a contributory factor to the frequent discovery of primary anosmia late in life.

    The patient had previously been examined by a gynaecologist for absence of pubertal development, and she herself wondered whether she might have Kallmann syndrome. She had been told that this was unlikely, as she had some breast development, normal pubic hair growth and vaginal bleeding after first taking the contraceptive pill. An MRI of the head performed at another hospital showed normal findings, and according to the referral from the GP, the results of hormonal tests were also normal. The patient had taken the contraceptive pill since her late teens due to the absence of pubertal development.

    The patient told of primary amenorrhoea, arrested breast development, osteopenia and hypoplastic uterus before starting to take the contraceptive pill. She had initially been prescribed contraceptive pills containing oestrogen and progestogen and these had enabled her to achieve vaginal bleeding. She had eventually ceased using the contraceptive pill for five years, as she experienced no symptoms from stopping its use and found it practical not to menstruate. She then changed to another gynaecologist who had carried out a new assessment of her sex hormones and started oestrogen and progestogen hormone replacement therapy. After this the patient's breasts had grown and she had regular vaginal bleeding. Before starting to take the aforementioned medication, she had a follicle-stimulating hormone (FSH) level of 0.4 IU/l (reference range 1.2–21.0) and oestradiol < 50 pmol/l (150–1 399). The low hormone levels were not mentioned in correspondence sent from the GP to the otolaryngology department and were found by reviewing the medical records. During treatment with hormone replacement therapy, the examination in question by the otolaryngologist showed an FSH level of < 0.1 IU/l and oestradiol 334 pmol/l. Bone density measurement had been performed the previous year owing to the primary amenorrhoea and showed lower than expected values for her age group (z-score less than -2.0).

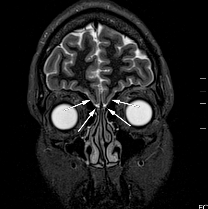
    A medical history of anosmia, absence of pubertal development and low sex hormone levels prior to replacement therapy gave rise to suspicion of Kallmann syndrome, and she was referred for a new MRI of the head to determine whether the olfactory sulcus and olfactory bulb were present. The MRI revealed an absence of these bilaterally (Figure 1). Anatomical factors were therefore most consistent with Kallmann syndrome. She was referred to a geneticist and an endocrinologist, who found no other relevant pathology.

    Figure 1 MRI of the head, coronal plane, 2 mm STIR sequence. The arrows show the absence of the olfactory sulcus and…
    Figure 1 MRI of the head, coronal plane, 2 mm STIR sequence. The arrows show the absence of the olfactory sulcus and olfactory bulb.
    Discussion

    Discussion

    Kallmann syndrome is a condition that is characterised by hypogonadotropic hypogonadism and reduced or absent olfactory sense due to an anatomical defect of the olfactory nerve (4). Patients have low levels of sex hormones such as testosterone, oestradiol, luteinising hormone (LH) and follicle-stimulating hormone, and the interaction between luteinising hormone, follicle-stimulating hormone and oestradiol is also disrupted. Kallmann syndrome is an inherited condition, and several genes are linked to the syndrome. These are found on different chromosomes and have a different inheritance pattern. The genetic cause of the syndrome can currently be found in 30–40 % of patients (5), but was not detected in our patient. Kallmann syndrome is five times more common in men than in women. It is possible that women may have incipient pubertal development such as pubic hair growth and some breast development, but this is halted and they do not reach menarche spontaneously. The syndrome is assumed to be underdiagnosed (6).

    Our patient was informed of the findings and was relieved that her symptoms had an explanation and that her own suspicions about Kallmann syndrome were now being taken seriously.

    She continues to have regular follow-up from her gynaecologist. The patient has developed osteopenia that perhaps might have been avoided if she had been told that she needed continuous oestrogen supplementation.

    This case history illustrates the importance of listening to patients' thoughts about their own disease, and shows that rare conditions often require repeated, interdisciplinary assessment.

    The patient has consented to publication of the article.

    The article has been peer reviewed.

    Comments  ( 0 )
    PDF
    Print

    Recent Articles