Kallmanns syndrom

    ()

    sporsmal_grey_rgb
    Abstract

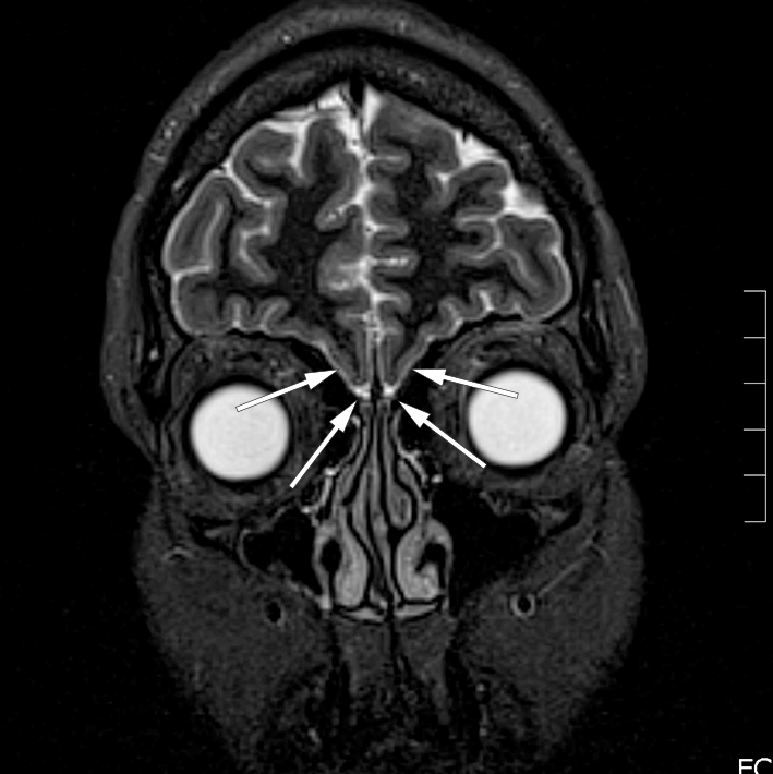
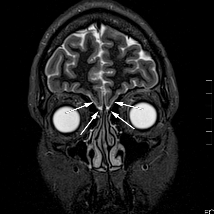
    In this article we present the case of a patient admitted to the otorhinolaryngology department for examination of a reduced sense of smell. The patient had total anosmia. She explained that she had not reached puberty until first taking contraceptive pills. An hormonal test detected decreased levels of follicle-stimulating hormone and oestradiol. Anosmia combined with delayed puberty should raise suspicion of Kallmanns syndrome. MRI of the head confirmed the diagnosis, showing a complete lack of olfactory sulcus and bulbus bilaterally.

    Artikkel

    Nedsatt luktesans kan ha mange forskjellige årsaker. Dersom anosmi foreligger sammen med manglende pubertetsutvikling, bør Kallmanns syndrom mistenkes. Diagnosen stilles med MR caput, da disse pasientene mangler sulcus olfactorius og bulbus olfactorius bilateralt.

    En kvinne i 30-årene ble henvist til øre-nese-hals-avdelingen grunnet nedsatt luktesans. Hun fortalte at hun bare kunne lukte ammoniakk, aceton, håndsprit, sterk klor og hjortetakksalt.

    Vanlige årsaker til nedsatt luktesans er nesetetthet med anatomiske avvik som skjev neseskillevegg, tidligere skader eller kirurgi i nese og skallebasis, degenerative forandringer, allergi og nevrodegenerative sykdommer som Parkinsons sykdom. I tillegg kan embryonal feilutvikling gi anosmi. Luktesans kan i flere tilfeller bedres ved å behandle underliggende faktorer og starte luktetrening om det ikke foreligger permanent skade eller avvik i nervus olfactorius. Bevart luktesans er viktig for ernæring, sikkerhet og livskvalitet (1).

    Pasienten hadde tidligere gjennomgått adenotomi, men ikke andre øre-nese-hals-operasjoner og hadde ikke vært utsatt for noe hodetraume. Av medikamenter brukte hun p-piller og kalsiumtilskudd. Hun hadde ingen allergi, og det var normale forhold ved undersøkelse av ører, nese og hals.

    Ved luktidentifikasjonstest (sniffing sticks 12-identification test, SIT-12) (2) gjenkjente hun kun duften av peppermynte og skåret tilsvarende anosmi. Peppermynte og duftstoffene hun selv hadde angitt at hun kunne kjenne, har alle betydelig trigeminale komponenter, som betyr at de er kjent for å gi reaksjoner som oppleves som lukt i tillegg til annen sensorisk informasjon som for eksempel kulde og smerte. Mange uten luktesans vil fortsatt kunne oppleve at de lukter, da de sanser den trigeminale komponenten (3). Dette er en medvirkende faktor til at primær anosmi ofte oppdages sent i livet.

    Pasienten hadde vært utredet for manglende pubertetsutvikling hos gynekolog tidligere og selv lurt på om hun kunne ha Kallmanns syndrom. Hun var blitt fortalt at dette var usannsynlig, da hun hadde noe brystutvikling, normal kjønnsbehåring og fikk vaginalblødninger etter oppstart av p-piller. I tillegg var det tatt en MR caput med normale funn ved et annet sykehus, og ifølge henvisning fra fastlege var det også normale funn på hormonprøver. Pasienten hadde tatt p-piller siden slutten av tenårene på grunn av den manglende pubertetsutviklingen.

    Pasienten fortalte om primær amenoré, lite brystutvikling, lav bentetthet og liten livmor før oppstart av p-piller. Hun hadde initialt fått p-piller med østrogen og gestagen og oppnådde vaginalblødninger av disse. Hun hadde etter hvert selv seponert p-pillene i fem år da hun ikke hadde opplevd plager av å stoppe med dem samt at hun syntes det var praktisk å ikke ha menstruasjon. Hun byttet gynekolog, som hadde gjort en ny vurdering av kjønnshormoner og startet østrogen- og gestagenholdig substitusjonsbehandling. Etter dette hadde pasienten fått vekst av bryster og regelmessige vaginalblødninger. Biokjemisk hadde hun før oppstart av sistnevnte preparat hatt hormonnivå av follikkelstimulerende hormon (FSH) på 0,4 IE/l (referanseverdi 1,2–21,0) og østradiol < 50 pmol/l (150–1 399). De lave hormonnivåene var ikke nevnt i korrespondanse fra fastlege til øre-nese-hals-avdelingen og ble funnet ved gjennomgang av journalen. Under behandling med substitusjonsbehandling hadde hun ved aktuelle undersøkelse hos øre-nese-hals-lege FSH på < 0,1 IE/l og østradiol 334 pmol/l. Bentetthetsmåling var utført året før pga. primær amenoré og viste verdier under forventet for aldersgruppen (z-skår under -2,0).

    Anamnese med anosmi, manglende pubertetsutvikling og lave nivåer av kjønnshormoner før substitusjonsbehandling gav mistanke om Kallmanns syndrom, og hun ble henvist til ny MR caput med spørsmål om sulcus olfactorius og bulbus olfactorius var til stede. MR viste mangel på disse bilateralt (figur 1). Anatomiske forhold var dermed best forenlig med Kallmanns syndrom. Hun ble henvist til genetiker og endokrinolog, som ikke fant annen relevant patologi.

    Diskusjon

    Diskusjon

    Kallmanns syndrom er en tilstand som defineres av hypogonadotrop hypogonadisme og nedsatt eller manglende luktesans pga. avvikende anatomi av n. olfactorius (4). Pasientene har lave verdier av kjønnshormoner som testosteron, østradiol, luteiniserende hormon (LH) og follikkelstimulerende hormon. Også sammenhengen mellom luteiniserende hormon, follikkelstimulerende hormon og østradiol er forstyrret. Kallmanns syndrom er en arvelig tilstand, og flere gener er koblet til syndromet. Disse ligger på forskjellige kromosomer og har forskjellig arvegang. I dag kan man finne den genetiske årsaken til syndromet hos 30–40 % av pasientene (5). Hos vår pasient ble den genetiske årsaken ikke funnet. Kallmanns syndrom er fem ganger hyppigere hos menn enn hos kvinner. Det er mulig at kvinner kan ha begynnende pubertetsutvikling som kjønnsbehåring og noe brystutvikling, men denne stopper opp og de når ikke menarke spontant. Syndromet antas å være underdiagnostisert (6).

    Vår pasient ble informert om funnet og var lettet over at hennes plager hadde en forklaring og at hennes egne mistanker om Kallmanns syndrom nå var blitt tatt på alvor. Hun fortsetter med jevnlig oppfølging hos sin gynekolog. Pasienten har utviklet lav bentetthet som kanskje kunne ha vært unngått om hun hadde fått vite at hun trengte vedvarende østrogentilskudd.

    Vi mener at kasuistikken illustrerer at man bør lytte til pasienters tanker om egen sykdom og at sjeldne tilstander ofte krever gjentatt og tverrfaglig utredning.

    Pasienten har samtykket til at artikkelen blir publisert.

    Artikkelen er fagfellevurdert.

    Kommentarer  ( 0 )
    PDF
    Skriv ut

    Anbefalte artikler