Main message
The prevalence of Takotsubo syndrome in Agder and Telemark counties in 2010–16 was 3.3 per 100 000 inhabitants per year
In the period 2010–15, the prevalence rose by 19.9 % annually
93 % of the patients with Takotsubo syndrome were women
Complications that required treatment occurred in 39 % of the hospital admissions.
Takotsubo syndrome is an acute heart condition with symptoms, changes in electrocardiography (ECG), rise in infarction markers and left ventricle dysfunction that may be consistent with acute myocardial infarction. In Takotsubo syndrome, however, angiography shows open coronary arteries, and there is a specific, regional dysfunction of the left ventricle that extends beyond the distribution area of a single coronary artery (1). The characteristic outline of the left ventricle in systole, with dilatation and akinesia of the apex, mimics the shape of the clay pot that Japanese fishermen use to catch octopus, called takotsubo, but is also the origin of the designation 'apical ballooning syndrome'.
The association between Takotsubo syndrome and acute stress has given rise to the designations 'stress cardiomyopathy' and 'broken heart syndrome'. Takotsubo syndrome was first reported in Japan in 1990 and occurs most frequently in post-menopausal women (2, 3). Its prevalence has been estimated to 1–2 % of all patients with troponin-positive acute coronary syndrome (3, 4). Its causes and pathophysiological mechanisms are not fully understood.
In this study we have investigated the prevalence, risk factors, clinical presentation, complications, relapses and survival in patients diagnosed with Takotsubo syndrome in Sørlandet Hospital Arendal in the period 2010–2016.
Material and method
Sørlandet Hospital Arendal is the regional centre for invasive cardiology for a specific geographic area: Aust-Agder, Vest-Agder and Telemark counties, with a total of approximately 470 000 inhabitants. The study included all patients admitted to Sørlandet Hospital Arendal from 1 March 2010 to 31 January 2016 who fulfilled the diagnostic criteria for Takotsubo syndrome according to the modified Mayo criteria (1):
-
regional akinesia or dyskinesia in the left ventricle and contraction disturbances that extend beyond the distribution area of a single coronary artery
-
absence of obstructive coronary disease or acute plaque rupture
-
ECG changes (ST elevation or T inversion)
-
absence of myocarditis or hypertrophic cardiomyopathy
The patients were investigated because of suspected acute myocardial infarction with routine ECG and blood samples, including troponin T and/or troponin I. N-terminal pro B-type natriuretic peptide (NT-ProBNP) was not routinely examined, but only in case of suspected ventricular failure. All patients underwent coronary angiography. Whenever angiography findings did not confirm the suspicion of acute myocardial infarction, left ventricular angiography was routinely carried out. A left ventricular ejection fraction of ≥ 55 % is considered normal function. Wherever the technical quality was too poor to estimate the ejection fraction, often because of arrhythmia or hypotension, the patients were included when a supplementary echocardiographic examination demonstrated a typical contraction pattern consistent with Takotsubo syndrome. A second episode with typical symptoms and findings in patients with previously normal coronary arteries was registered as a Takotsubo syndrome relapse with no renewed angiographic examination.
All patients with Takotsubo syndrome were included in a continuously updated local electronic register, which also recorded psychiatric or somatic symptoms as possible triggering factors, collected in interviews with the patients and/or relatives and supplemented with information from the patient records. After discharge, information from later hospitalisations and outpatient visits was collected in systematic reviews of patient records until 15 September 2016. The number of coronary angiographies undertaken as a result of suspicion of acute myocardial infarction in Arendal was reported to the Norwegian Registry for Invasive Cardiology (NORIC), but figures are only available for 2014 and 2015.
Categorical variables are presented as absolute numbers and proportions (%). Continuous variables are presented as averages with standard deviations or as medians with distribution range. Changes in prevalence over time were analysed in a log-linear model with the aid of Joinpoint Regression Program (version 4.6; SEER software, National Cancer Institute, USA), and are presented as the estimated annual percentage change with a 95 % confidence interval (CI). The other data were analysed in the statistics software STATA (version 15; StataCorp LP, College Station, TX, USA). P-values < 0.05 were considered statistically significant.
The study was submitted to the regional committee of ethics and was considered a quality study project that did not require approval. The collection and processing of personal data were approved by the Norwegian Centre for Research Data.
Results
At Sørlandet Hospital Arendal we registered 91 episodes of Takotsubo syndrome in a total of 90 patients during the study period. The estimated prevalence was 3.3 per 100 000 inhabitants per year throughout the period, but with an annual average increase of 19.9 % (95 % CI; 5.5–36.3, p < 0.001) (Figure 1). Takotsubo syndrome was the final diagnosis in 2.3 % of all patients who underwent coronary angiography indicated because of suspected acute myocardial infarction in 2014–2015.
Clinical characteristics and drugs upon admission are presented in Table 1. The majority of the patients were women (93 %). The average age of the women was 71.7 (± 10.1) years and for men 69.1 (± 7,3) years. In 24 % of the admissions the patient was older than 80 years, 34 % were 70–79 years, 30 % were 60–69 years, 10 % were 50–59 years and 2 % were younger than 50 years.
Table 1
Clinical characteristics and drugs upon first admission in 90 patients with Takotsubo syndrome in Sørlandet Hospital Arendal 2010–16.
| Characteristics and drug use | Specification |
|---|---|
| Female gender | 93 % |
| Average age (± SD) | 71.5 (± 10) years |
| Hypertension | 42 % |
| Cerebrovascular disorder | 8 % |
| Peripheral vascular disorder | 6 % |
| Atrial fibrillation | 8 % |
| Previous myocardial infarction | 4 % |
| Diabetes | 8 % |
| Former smoker | 32 % |
| Daily smoker | 10 % |
| Chronic obstructive pulmonary disorder | 20 % |
| Malignant disorder | 19 % |
| Psychiatric disorder | 4 % |
| Previous Takotsubo syndrome | 3 % |
| ACE inhibitors or AII receptor inhibitors | 19 % |
| Beta blockers | 16 % |
In 33 (36 %) admissions an observable somatic factor may have triggered the condition: surgery or trauma in 13 (14 %) and exacerbation of a chronic disorder in 20 (22 %). A non-somatic possible triggering factor was observed in 36 (40 %) admissions: negative emotional experience in 29 (32 %) and known depression or anxiety in 7 (8 %) admissions. In 22 (24 %) admissions no triggering factor could be identified. Symptoms, findings, complications and treatment upon admission for Takotsubo syndrome are presented in Table 2.
Table 2
Symptoms, findings, complications and treatment for 91 admissions with Takotsubo syndrome in Sørlandet Hospital Arendal 2010–2016. All figures are percentages.
| Variables | ||
|---|---|---|
| Symptoms | ||
| Chest pain | 88 | |
| Dyspnoea | 52 | |
| Syncope | 2 | |
| Findings | ||
| ECG | ||
| ST elevation | 53 | |
| ST depression or T inversion | 26 | |
| Atrial fibrillation | 6 | |
| Supraventricular tachycardia | 2 | |
| Ventricular tachycardia | 1 | |
| Coronary angiography | ||
| No stenosis or plaque rupture | 97 | |
| Chronic peripheral coronary artery disease | 3 | |
| Complications | ||
| Heart failure that required treatment | 39 | |
| Lung oedema or cardiogenic shock | 11 | |
| Left ventricular thrombus | 2 | |
| Death during hospitalisation | 1 | |
| Variables | ||
| Treatment | ||
| Medication | ||
| ACE inhibitor or AII inhibitor | 83 | |
| Beta blocker | 81 | |
| Inotrope sympathomimetic drugs | 6 | |
| Levosimendan | 2 | |
| Non-medication treatment | ||
| Non-invasive ventilation support | 13 | |
| Respirator | 1 | |
| Aortic balloon pump | 1 | |
| Electroconversion of ventricular fibrillation | 1 | |
Echocardiography was made prior to angiography in 60 (66 %) admissions. Regional dyskinesia was detected in 59 (65 %), and suspicion of Takotsubo syndrome was reported in 10 (11 %) admissions. Troponin levels (troponin T or troponin I) were elevated in all patients. Troponin T was measured in 81 % of the admissions, with an average value of 645.2 (± 965.4) ng/l (reference limit < 15 ng/l). NT-Pro-BNP was measured in 56 % of the Takotsubo syndrome episodes, and all values were above the normal area (median 582 (inter-quartile range 266–1 072) pmol/l (the reference limit is age and gender specific, maximum < pmol/l).
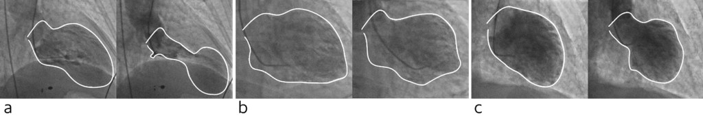
The average angiographic ejection fraction in 86 examination was 44 % (± 11 %). A reduced ejection fraction was demonstrated in 71 (82.6 %) examinations. The ejection fraction was < 40 % in 29 (33.7 %) examinations and < 30 % in 10 (11.6 %). In 63 (69.2 %) of the 91 admissions for Takotsubo syndrome, the contraction disturbances were of an apical (Figure 2a) and in 28 (30.8 %) of a mid-ventricular type (Figure 2b). A combined apical and mid-ventricular type was observed in 15 (16.5 %) admissions (Figure 2c).
Altogether 90 of 91 hospitalisations for Takotsubo syndrome ended by the patient being discharged alive. After 88 (98 %) discharges, the patient had a follow-up visit in a cardiology or internal-medicine outpatient clinic within six months. Echocardiographic control examinations were performed after 82 (93.2 %) discharges, and all demonstrated a normalisation of the systolic function of the left ventricle. Six (7 %) patients only had a clinical control, and all demonstrated clinical improvement or a general condition equal to that before the incident.
One patient died during hospitalisation and five after discharge (median follow-up time 985 days (range 232–2368)). Causes of death after discharge included heart failure, cerebrovascular stroke and malignant disorder. Relapsed Takotsubo syndrome was diagnosed in three patients.
Discussion
Takotsubo syndrome was described in Japan in 1990 (2), in Europe in 1997 and in the United States in 1998 (3, 5). Few international studies and no Norwegian studies have been made of its prevalence in the population. In the period 2010–2016, we found an average prevalence of 3.3 per 100 000 inhabitants per year. In comparison, the prevalence of myocardial infarction in Norway is approximately 260 per 100 000 inhabitants per year (6). The prevalence can alternatively be estimated as the number of patients with Takotsubo syndrome as a proportion of all patients who are examined with coronary angiography because of suspected acute myocardial infarction. We found 2.3 % for the years 2014–2015, which tallies with the findings made by others of 1.7–2.2 % (7, 8, 9). In our material, the number of patients with Takotsubo syndrome increased by 19.9 % each year. There are many reports of an increase in the number of patients with Takotsubo syndrome, including a tripling over six years in the United States (7, 10). The causes of this increase may include higher awareness of the disorder, the greater number of acute patients examined with coronary angiography and changes in the gender and age distribution of the patient group.
Takotsubo syndrome is a differential diagnosis for acute myocardial infarction. The diagnosis can only be made with coronary angiography at an early stage of the course of the disorder. Figures from the Norwegian Myocardial Infarction Register have shown that more than one-third of the MI patients in 2013 were not examined with coronary angiography (6). Elderly women and patients with serious non-cardiovascular diseases are underrepresented among those referred to coronary angiography (11). There is thus a risk of underdiagnosis and misdiagnosis of patients with Takotsubo syndrome.
The patients were predominantly women over 60 years, and less than 2 % were younger than 50 years. This tallies with findings from registry studies (3, 7). A Swedish study found that patients with Takotsubo syndrome did not have an elevated prevalence of cardiovascular risk factors, but a higher prevalence of chronic obstructive pulmonary disorder (COPD) (12). In our study, the triggering factors were evenly distributed among somatic and non-somatic symptoms/disorders, while 24 % of the patients had no detectable triggering cause. This tallies with findings made by others (3).
The symptoms of Takotsubo syndrome and acute myocardial infarction are often identical. The disorders cannot be distinguished with the aid of ECG and troponin values. All our patients had elevated troponin values. Some authors claim that patients with Takotsubo syndrome have a lower troponin response than MI patients, but an earlier study showed no difference (4). Transthoracic echocardiography may detect abnormal regional contractions, but it is often difficult to locate the anatomical apex, especially in elderly and ill patients (1). No satisfactory non-invasive method is available, and coronary angiography with ventriculography remains the gold standard in the investigation of Takotsubo syndrome (3, 5). The use of ventriculography varies between hospitals, especially in the case of acute myocardial infarction. International consensus documents recommend direct angiography of the left ventricle when coronary angiography for acute coronary syndrome shows open arteries (3–5). Magnetic resonance tomography (MR) can demonstrate the extent of the myocardial affection in case of Takotsubo syndrome (5, 13). Our experience indicates that the myocardial function may improve or normalise in no more than 1–2 days in some patients and that diagnostics therefore ought to be undertaken at an early stage of the disorder.
In 39 % of the admissions, the patient sustained complications that required treatment during the hospitalisation, and in 11 % the patient suffered a serious heart failure. This tallies with findings in other publications, in which up to 52 % of the patients sustained complications (3, 4). Cardiogenic shock and ventricular fibrillation are common causes of death from Takotsubo syndrome (3, 4). Hospital mortality is reported to be 2–5 % (3, 7, 14, 16).
Six (7 %) patients died after having been diagnosed with Takotsubo syndrome, and there was a predominance of non-cardiovascular deaths. In an international register, the long-term mortality was higher: 5.6 % per year.
A Swedish study showed that long-term mortality was higher than in the general population, and equal to the mortality from chronic coronary heart disorders (12).
The pathophysiological mechanisms for myocardial dysfunction in Takotsubo syndrome have not been clarified. High sympathetic tone and endogenous catecholamines are assumed to be key factors, and intravenous inotropic sympathomimetics may trigger a similar reaction (4, 5, 15). Most likely, a focal microvascular constriction is triggered, which in turn may cause reduced contraction in parts of the myocardium (5). The location of myocardial dysfunction varies, including in one and the same person with multiple episodes (4, 7). A registry study detected a small group of patients who experienced Takotsubo syndrome after a positive emotional reaction and had akinesia with a primarily mid-ventricular location, so-called 'happy heart syndrome' (5). The most frequent forms, with extension and akinesia located in the apex or middle section of the ventricle, are fairly conspicuous. In 1–2 % of the patients two rarer forms have also been described, involving isolated akinesia in the basal or lateral sections of the left ventricle (3, 4). MR examinations have shown that Takotsubo syndrome also may involve the right ventricle (3, 5, 13).
No causal treatment is available, and no randomised studies of drugs for Takotsubo syndrome have been undertaken. Caution is recommended in use of sympathomimetic inotropic drugs. Levosimendan may be an alternative in case of left ventricular failure (3). ACE inhibitors or AII receptor inhibitors may improve the prognosis (5). Beta blockers have no documented prognostic or preventive effect for Takotsubo syndrome (3, 17).
This study includes a relatively high number of patients with Takotsubo syndrome from a specific geographic area, with a long follow-up period and complete follow-up. However, the study included only patients from a single hospital, and subjective interpretation of diagnostic criteria may have had an effect on inclusion in the study.
- 1.
Prasad A, Lerman A, Rihal CS. Apical ballooning syndrome (Tako-Tsubo or stress cardiomyopathy): a mimic of acute myocardial infarction. Am Heart J 2008; 155: 408–17. [PubMed][CrossRef]
- 2.
Sato H, Taiteishi H, Uchida T et al. Takotsubo type cardiomyopathy due to multivessel spasm. I: Kodama K, Haze K, Hon M, red. Clinical aspect of myocardial injury: from ischemia to heart failure. Tokyo: Kagaku Hyouronsha, 1990: 56–64.
- 3.
Lyon AR, Bossone E, Schneider B et al. Current state of knowledge on Takotsubo syndrome: a position statement from the task force on Takotsubo syndrome of the Heart Failure Association of the European Society of Cardiology. Eur J Heart Fail 2016; 18: 8–27. [PubMed][CrossRef]
- 4.
Templin C, Ghadri JR, Diekmann J et al. Clinical features and outcomes of takotsubo (stress) cardiomyopathy. N Engl J Med 2015; 373: 929–38. [PubMed][CrossRef]
- 5.
Ghadri JR, Wittstein IS, Prasad A et al. International expert consensus document on Takotsubo syndrome (Part I): Clinical characteristics, diagnostic criteria and pathophysiology. Eur Heart J 2018; 39: 2032–46. [PubMed][CrossRef]
- 6.
Jortveit J, Govatsmark RES, Digre TA et al. Hjerteinfarkt i Norge i 2013. Tidsskr Nor Legeforen 2014; 134: 1841–6. [PubMed][CrossRef]
- 7.
Deshmukh A, Kumar G, Pant S et al. Prevalence of Takotsubo cardiomyopathy in the United States. Am Heart J 2012; 164: 66–71.e1. [PubMed][CrossRef]
- 8.
Brinjikji W, El-Sayed AM, Salka S. In-hospital mortality among patients with takotsubo cardiomyopathy: a study of the National Inpatient Sample 2008 to 2009. Am Heart J 2012; 164: 215–21. [PubMed][CrossRef]
- 9.
Redfors B, Vedad R, Angerås O et al. Mortality in takotsubo syndrome is similar to mortality in myocardial infarction - A report from the SWEDEHEART registry. Int J Cardiol 2015; 185: 282–9. [PubMed][CrossRef]
- 10.
Khera R, Light-McGroary K, Zahr F et al. Trends in hospitalization for takotsubo cardiomyopathy in the United States. Am Heart J 2016; 172: 53–63. [PubMed][CrossRef]
- 11.
Jortveit J, Govatsmark RES, Langørgen J et al. Kjønnsforskjeller i utredning og behandling av hjerteinfarkt. Tidsskr Nor Legeforen 2016; 136: 1215–22. [PubMed][CrossRef]
- 12.
Tornvall P, Collste O, Ehrenborg E et al. A case-control study of risk markers and mortality in Takotsubo stress cardiomyopathy. J Am Coll Cardiol 2016; 67: 1931–6. [PubMed][CrossRef]
- 13.
Neil C, Nguyen TH, Kucia A et al. Slowly resolving global myocardial inflammation/oedema in Tako-Tsubo cardiomyopathy: evidence from T2-weighted cardiac MRI. Heart 2012; 98: 1278–84. [PubMed][CrossRef]
- 14.
Singh K, Carson K, Shah R et al. Meta-analysis of clinical correlates of acute mortality in takotsubo cardiomyopathy. Am J Cardiol 2014; 113: 1420–8. [PubMed][CrossRef]
- 15.
Wright PT, Tranter MH, Morley-Smith AC et al. Pathophysiology of takotsubo syndrome: temporal phases of cardiovascular responses to extreme stress. Circ J 2014; 78: 1550–8. [PubMed][CrossRef]
- 16.
Isogai T, Yasunaga H, Matsui H et al. Out-of-hospital versus in-hospital Takotsubo cardiomyopathy: analysis of 3719 patients in the Diagnosis Procedure Combination database in Japan. Int J Cardiol 2014; 176: 413–7. [PubMed][CrossRef]
- 17.
Ghadri JR, Wittstein IS, Prasad A et al. International expert consensus document on Takotsubo syndrome (Part II): Diagnostic workup, outcome and management. Eur Heart J 2018; 39: 2047–62. [PubMed][CrossRef]