A woman in her twenties with urinary incontinence

    ()

    sporsmal_grey_rgb
    Article

    A woman in her twenties was referred to a gynaecological outpatient clinic after suffering urinary incontinence her entire life. We present a rare cause of urine leakage in adult women.

    The woman was referred in her early twenties to a gynaecological outpatient clinic to be assessed for possible surgical treatment of stress incontinence. She had endured urinary incontinence her entire life. She had no history of pregnancy.

    The patient completed the Norwegian UroGynaecological Group's 'Stress and urge incontinence questionnaire'. She confirmed urinary incontinence upon physical activity, and stated that this occurred several times a day. The leakage was described as dripping, resulting in wet underwear. She denied experiencing a strong urge to void or incontinence before reaching a toilet. She replaced incontinence pads more than four times a day. The incontinence restricted her sex life and affected her social life

    Urodynamic testing was performed, along with clinical testing and examination (Table 1).

    Table 1

    Urodynamic tests and clinical findings.

    Test

    Result

    Pad-weighing test (g/24 hours)

    66

    Bladder emptyings/24 hours

    18

    Average volume (ml)

    183

    Cystometry

    Normal filling phase

    First sensation (ml)

    175

    Normal urge (ml)

    202

    Urgency (ml)

    296

    Max. bladder capacity (ml)

    389

    Q-tip test

    Negative

    Urine dipsticks

    Negative

    Urethral closure pressure (cm H2O)

    97

    Leakage during stress test (g)

    0

    Residual urine (ml)

    0

    Max flow (ml/sec)

    30

    Gynaecological examination

    Normal status

    Transvaginal ultrasound

    Normal status

    The patient's urinary incontinence was deemed to be mixed incontinence despite a negative stress test. She reported some urinary urgency. She was referred to a physiotherapist, and an electrostimulator (NeuroTrack Continence) was ordered. The patient was advised to reduce her fluid intake, and treatment was initiated with mirabegron (Betmiga), a β3-adrenoceptor agonist. The patient then failed to attend a follow-up appointment.

    Specialist assessment of urinary incontinence in adults aims to provide information on the type of incontinence. The assessment begins with a thorough medical history, in which lower urinary tract symptoms are noted, along with previous urinary tract infections, bowel disorders, and the duration and frequency/severity of symptoms (1). A clinical examination is performed to detect abdominal/pelvic masses, bladder distension and any surgical scars, and to check the body mass index (BMI), as well as to exclude extraurethral leakage (fistula) in patients who have undergone surgery or radiotherapy (1). Clinical tests include urinalysis, measurement of residual urine volume, the pad weight test and urodynamic testing. The threshold for urethrocytoscopy and diagnostic imaging is low (1).

    Two years later, the patient was referred to hospital with acute right-sided flank pain, which was interpreted as pyelonephritis. Growth of Klebsiella pneumoniae was detected in the urine. C-reactive protein (CRP) was 234 mg/l (0–5) and leukocytes 17.1 · 10E9/l (3.5–11). Ultrasound of the abdomen and pelvis showed gallbladder sludge. The patient's condition deteriorated further the day after admission, and the tentative diagnosis was changed to acute cholecystitis. She was treated with intravenous piperacillin/tazobactam and was discharged after three days.

    A year later, the patient's general practitioner referred her for another gynaecological assessment owing to persistent urinary incontinence. The tests from three years earlier were repeated, without anything new being found. The patient's pelvic muscles were judged to be strong. To the patient's despair, surgery for stress incontinence was deemed unnecessary. It emerged in conversation that the patient had been examined and treated for urinary incontinence as a child, and it was therefore decided to obtain the patient's medical records from the hospital that examined her at that time.

    The medical records revealed that the testing and treatment had begun in the primary healthcare service. It emerged that the girl had worn nappies until she was four years old. When she had stopped wearing nappies, her mother had noted that she was incontinent for urine during the day but apparently continent at night.

    Urinary incontinence is common in children. It usually has a functional origin (2, 3). Nevertheless, it is important to rule out anatomical abnormalities. Suspicion of such anomalies may arise following a thorough medical history, review of micturition diaries, defecation patterns, and clinical assessment involving examination of the abdomen, sphincter and genitalia, as well as neurological testing.

    The patient had had her first urinary tract infection at one year of age and then a further 2–3 infections before ultrasound of the urinary tract had been performed when she was three years old. The ultrasound examination had revealed no abnormalities.

    Current guidelines for children under the age of three advise ultrasound of the urinary tract upon a first febrile urinary tract infection. The findings from the ultrasound examination will then dictate further radiological assessments. Micturition urethrocystography (MUCG) is the first-line procedure upon discovery of upper urinary tract dilation or in cases of repeated febrile urinary tract infections, because a grade 2–3 vesicoureteral reflux can be overlooked with ultrasound (4).

    The girl had had contact with the primary healthcare services on several occasions in the years that followed, but the urinary incontinence had not been investigated further. Other than a case of pneumonia at four years of age, she had generally been in good health. Early in her teens she had again been referred to the paediatric department because of persistent urinary incontinence without enuresis (bedwetting). A physical examination by the paediatric department had yielded normal results. Micturition was unremarkable, and she did not have a urinary tract infection. It was stated that leakage of droplets was a problem several times a week, and she had begun triple voiding in an attempt to limit urine leakage.

    Double or triple voiding, as well as various other voiding regimens, are used to help a child with voiding and retention patterns as well as to assess residual urine. Tolterodine (Detrusitol SR) and oxybutynin (Ditropan) are anticholinergic detrusor-relaxant medications. They are not approved for children under the age of 12 and should only be used where the treating doctor has specialist knowledge of such treatment (5).

    The patient had undergone micturition urethrocystography, which had shown no signs of pathology.

    Micturition urethrocystography is performed to detect and grade primary vesicoureteral reflux. It can also detect secondary vesicoureteral reflux in cases of infravesical obstruction such as posterior urethral valves in boys. High-grade reflux is most commonly seen in boys under two years of age, with incidence decreasing thereafter. Low-grade reflux is more frequent in girls and is seen in particular after recurrent urinary tract infections (6, 7). Vesicoureteral reflux has a hereditary component and is associated with other urinary tract anomalies, such as ureteral duplication (8).

    Over the following years, the girl had continued to suffer from urinary incontinence. According to her medical records, the diagnosis was revised from stress incontinence to urge incontinence and treatment with oxybutynin was initiated. This was considered to have some effect, and treatment with the drug had therefore been continued. The girl had been in frequent contact with the healthcare services and had eventually become opposed to further testing. In her mid-teens, the girl's general practitioner had again referred her to the hospital, but the paediatric department simply issued a new prescription for oxybutynin without any further testing.

    A reduction in urinary incontinence should occur a few days after initiation of detrusor-relaxant treatment. If no improvement is seen after one month, the drug should be discontinued. It is not unusual for treatment to be continued for 1–2 years provided that it is effective. Residual urine should be monitored regularly (5).

    The girl had no further contact with the specialist healthcare services until, in her late teens, she was hospitalised with a two-day history of pain in the right iliac fossa. CRP was 35 mg/l. Gynaecological examination with ultrasound suggested that the cause may be a thickening in the vicinity of the right ovary, which strengthened suspicion of acute appendicitis. Appendectomy was performed. Peroperatively, the appendix vermiformis was found to be sparsely injected with only mild thickening and no Meckel's diverticulum. No other explanation was found for the patient's abdominal pain and she was discharged after three days.

    At the time of the present referral to the gynaecological outpatient clinic owing to urinary incontinence, the woman was in her early twenties. Based on a review of the aforementioned medical records as well as the current medical history and his own findings, the gynaecologist suspected ureteral ectopia.

    A CT scan of the urinary tract was performed, but proved inconclusive with respect to ureteral ectopia. MRI of the urinary tract was therefore performed in addition. This revealed a right-sided duplex collecting system with a small upper collecting system and a dilated ureter (Figure 1). The ureter was dilated from the bladder to the vagina and opened out ectopically near the urethral opening (Figure 2).

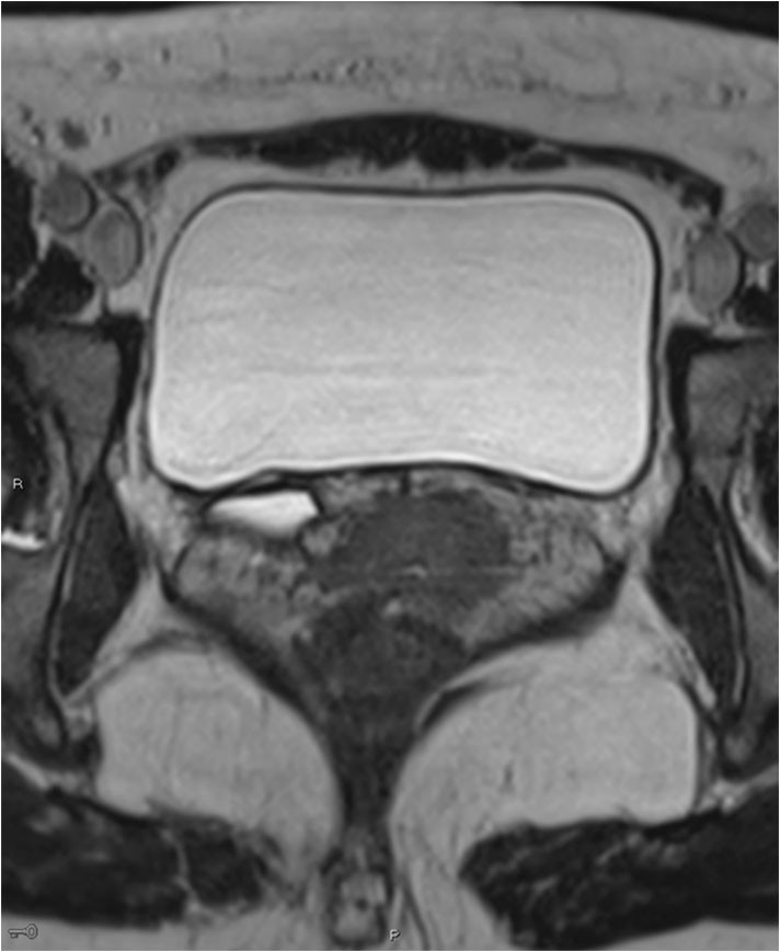
    Figure 1 MRI. Coronal 50 mm thick section, T2-HASTE (Half-Fourier Acquisition Single-shot Turbo spin Echo imaging). A right…
    Figure 1 MRI. Coronal 50 mm thick section, T2-HASTE (Half-Fourier Acquisition Single-shot Turbo spin Echo imaging). A right-sided duplex system can be seen, the upper system with moderate hydronephrosis, plus hydroureter in the pelvis.
    Figure 2 MRI. Transverse 3D section with high resolution T2 weighting shows a right-sided dilated ectopic ureter.
    Figure 2 MRI. Transverse 3D section with high resolution T2 weighting shows a right-sided dilated ectopic ureter.

    Identification of a duplex collecting system and ectopic ureter on CT requires adequate function and contrast excretion from the upper collecting system, which was not the case in this patient. It is possible to detect a dilated ectopic ureter with ultrasound, but this can be difficult unless the condition is specifically looked for. Our patient was referred with suspected cholelithiasis and pyelonephritis, and no pathology was detected upon routine examination of the urinary tract. High-resolution fluid-sensitive volumetric MRI sequences are good for identifying the ureter and tracing its course. MRI is more appropriate than CT in the lesser pelvis, but more time-consuming. Dedicated high-resolution series in the pelvis were supplemented with less detailed sequences of the upper urinary tract. No contrast agent was used during the MRI scan. Paediatricians use MRI as the primary imaging modality upon suspicion of ureteral ectopia.

    The cause of the patient's persistent urinary incontinence was thus an ectopic ureter (Figure 3).

    Figure 3 Illustration of a right-sided duplex collecting system. The ureter from the upper collecting system is dilated, but…
    Figure 3 Illustration of a right-sided duplex collecting system. The ureter from the upper collecting system is dilated, but narrows before opening ectopically into the anterior vaginal wall, close to the urethral opening. The lower collecting system drains via a ureter running as normal to the bladder.

    The patient's case was discussed by an interdisciplinary urological team. Renography showed that both kidneys were functioning well. The two collecting systems were considered technically difficult to separate, but it was concluded that the patient could be offered surgery with robot-assisted anastomosis of the proximal upper ureter to the ipsilateral proximal ureter. This approach was considered to offer advantages in terms of preserving renal function and minimising the risk of damage to the lower collecting system. The aim was to position the anastomosis as cranially as possible, on the ureter/renal pelvis, where the greater diameter of the normal collecting system would reduce the risk of stenosis. Peroperatively, the renal pelvis was found to be deep and difficult to access. The anastomosis was therefore made onto the proximal ureter (Figure 4). Two double-J stents were applied, one to the upper and one to the lower collecting system (Figure 5).

    Figure 4 The normal narrow ureter and the ectopic dilated ureter as seen during surgery.
    Figure 4 The normal narrow ureter and the ectopic dilated ureter as seen during surgery.
    Figure 5 The anastomosis between the upper and lower collecting systems is complete.
    Figure 5 The anastomosis between the upper and lower collecting systems is complete.

    Postoperatively the patient had extensive symptoms related to the double-J stents. She was also readmitted to the urological department after 14 days with pyelonephritis, which was treated with antibiotics. Renal function tests were normal throughout, with creatinine 47 μmol/l (45–90). Four weeks after surgery, the stents were removed and her symptoms resolved.

    By the three-month postoperative follow-up, her urinary incontinence had also resolved. She noticed a little mucus discharge in her underwear in the mornings. This was thought to be from the remaining distal end of the ectopic ureter, and further intervention was not considered necessary. She experienced some soreness in her right flank, which was thought to be a postoperative muscular injury. Nonetheless, CT urography was ordered to assess postoperative status. As expected, the scan showed no contrast in the ureter from the upper collecting system, but normal excretion via the lower ureter to the bladder. There was no sign of hydronephrosis (Figure 6).

    Figure 6 Low-dose CT with contrast in the excretion phase five months post-surgery. The images are taken in the prone…
    Figure 6 Low-dose CT with contrast in the excretion phase five months post-surgery. The images are taken in the prone position, with coronal, curved multiplanar reconstruction. 10 mm maximum intensity projection (Mip). The anastomosis can be seen on the right between the upper and lower collecting systems.
    Discussion

    Discussion

    Urinary incontinence is common in women, with prevalence rates of 20–40 % in most studies (9). Approximately 50 % of the women have stress incontinence, somewhat fewer have mixed incontinence and a minority have urge incontinence (9).

    Stress incontinence refers to involuntary leakage upon exertion, such as when coughing and sneezing. Urge incontinence means urine leakage accompanied by a strong urge to urinate. Mixed incontinence is a combination of stress and urge incontinence (10).

    Urinary incontinence becomes more common with age. The proportion of patients with stress incontinence falls while the proportion with mixed incontinence and urge incontinence increases (9).

    Urinary incontinence in children

    Urinary incontinence in children

    The prevalence of urinary incontinence is 6.3–9 % in 7-year-olds (2) and 1.1–4.2 % in children aged 11–13 years (2). General paediatric guidelines distinguish between urinary incontinence related to an overactive bladder, delayed micturitions, bladder sphincter dyssynergia/discoordination, combined forms, giggle incontinence, bladder dysfunction and constipation-related incontinence (5). Urinary incontinence significantly impairs the quality of life and self-esteem of affected children (11). In 2015, Maternik et al. published a good review of incontinence as well as the testing and treatment of children.

    In general practice, assessment is limited to the medical history, clinical examination and evaluation of drinking/diuresis diaries. In addition, the urine can be tested with urine dipsticks and bacterial cultures if appropriate. General practitioners can also request ultrasound of the kidneys/urinary tract, but if a non-functional cause of incontinence is suspected, the child should be referred to a paediatrician. The Norwegian Enuresis Forum (NEF) has useful information and micturition diaries available for download from its website (in Norwegian) (13).

    Ureteral ectopia

    Ureteral ectopia

    An 'ectopic ureter' is defined as a ureter that does not open into the trigone of the bladder. In duplex collecting systems, it is always the upper system that is ectopic. The explanation for this lies in embryonic development (14). Urinary tract anomalies are often considered by doctors as a potential cause of incontinence in young children, but are less often considered as an explanation for incontinence in other patients.

    The symptoms of ureteral ectopia differ in boys and girls. In girls, the ureter may open into the bladder neck, urethra, vagina, uterus, perineum or rectum. Girls therefore have droplet leakage as a symptom. The leakage may be intermittent because the renal segment that drains into the ectopic ureter often has impaired function (14). A limited volume of urine is typically retained in the renal collecting system and leaks out when the patient stands up. This explains why patients are usually continent at night. Incontinence that occurs only during daytime may lead to the condition being interpreted as bladder dysfunction or stress incontinence (15).

    In boys, an ectopic ureter usually opens above an external sphincter, often in the vas deferens or seminal vesicles. Pain or infection in a testicle or the epididymis may therefore be a symptom. Incontinence in boys is generally not related to ureteral ectopia (14).

    Hydronephrosis is fairly common in cases of ureteral ectopia in both boys and girls, and may reflect caudal stenosis in either one or both ureters. Abdominal pain and infection are also common symptoms and may occur at any age (14).

    The incidence of ureteral ectopia has been reported to be around 1/1 900, but several studies have suggested that the prevalence is in fact higher. The condition is 2–12 times more common in girls. In 80 % of cases, ureteral ectopia is accompanied by duplex ureters (16). In patients with bilateral duplicated ureters and only unilateral ectopia, further testing nevertheless reveals bilateral ectopia in 20 % of cases. Vesicoureteral reflux is often also present (15). When ureteral ectopia is suspected in children, the paediatrician will request an MRI of the urinary tract (17). In the present case, a CT scan with delayed contrast did not prove suitable for confirming the diagnosis. It is not uncommon for ureteral ectopia to initially go undetected (18).

    Treatment is in the form of surgery, usually with conventional laparoscopy or robot-assisted interventions. Resection of the upper collecting system, reimplantation of the ectopic ureter into the bladder, or ureteroureterostomy may be performed. If there is no sign of obstruction or urinary incontinence and the upper collecting system is non-functional, further observation may be considered (14).

    The patient has consented to the publication of the article and images.

    We wish to thank Marthe-Lise Næss-Andresen at the Institute of Health and Society, Department of General Practice, University of Oslo for assistance and input.

    Comments  ( 0 )
    PDF
    Print

    Recent Articles