Artery of Percheron occlusion

    ()

    sporsmal_grey_rgb
    Article

    The thalamus is normally supplied with blood on both sides by small branches leading from the ipsilateral posterior communicating artery, as well as P1 and P2 segments of the posterior cerebral artery. The most frequent cause of injury in the thalamus is thrombosis in parts of the posterior cerebral artery. In 1973, the French neurologist Gérard Percheron (1930–2011) described a rare anatomical variant in which a single trunk from the posterior cerebral artery supplies medial parts of the thalamus and ventral parts of the mesencephalon bilaterally (1). This anatomical variant is called the artery of Percheron (illustration on left).

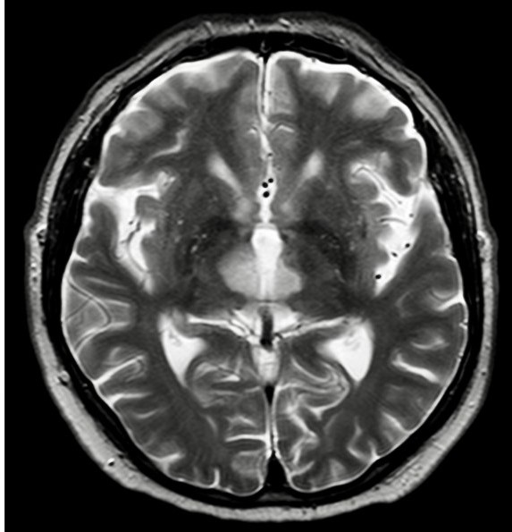
    Percheron artery occlusion results in bilateral thalamic infarcts, a rare condition. It is rarely possible to detect arterial occlusion with diagnostic imaging, and diagnosis is made indirectly through findings of bilateral infarcts in the medial thalamus, with or without affection of the mesencephalon (2).

    The symptoms can be dramatic, with acute onset of coma in addition to focal neurological, neuropsychological and ophthalmological signs (abnormal pupillary light reflexes, reduced ocular motility, or ptosis). Early diagnosis can be challenging, as the clinical disease picture is unusual and radiological examinations in the initial phase may not yield definitive pathological findings (3).

    Our patient was a man in his late sixties who abruptly lost consciousness while on holiday abroad. He was quickly collected by ambulance and driven to the nearest hospital. Thrombolytic therapy was not initiated because the cause of his loss of consciousness was unclear. He was intubated on arrival and the left pupil was observed to be more dilated than the right one. CT head and CT angiography performed on the day of admission yielded no relevant pathological findings. Head MRI on day 4 of the hospitalisation showed infarcts bilaterally in the medial thalamus (image on right).

    The patient was extubated on day 5 and transferred to a local hospital in Norway 14 days later. He had partial tetraplegia with reduced function in the left-sided extremities and paralysis in the right-sided extremities. He was unable to open his eyes, but his vision was intact if the eyelids were lifted for him. His level of consciousness fluctuated, but gradually improved. His swallowing function gradually returned but did not normalise completely. A PEG tube was therefore inserted. With physiotherapy he eventually managed to walk 50 m using a walking frame. The patient's functional level was too low to benefit from the rehabilitation department, and he was placed permanently in a nursing home. The disease course was complicated with recurrent aspiration pneumonia, and he died approximately one year later.

    The patient's next of kin have consented to the publication of this article.

    Comments  ( 0 )
    PDF
    Print

    Recent Articles