Oculomotor nerve palsy

    ()

    sporsmal_grey_rgb
    Article

    A woman in her eighties woke one morning with a headache and drooping left eyelid. She had known chronic obstructive pulmonary disorder (COPD) and bilateral carotid stenosis, and had previously undergone a cerebral infarction without sequelae. Upon admission to the department of neurology on the same day, an inspection of the left eye determined ptosis. The eye deviated laterally and downward, and the pupil was dilated and unreactive. Investigation of ocular motility revealed diplopia and paralysis of ocular adduction, elevation and depression. There were no other neurological impairments. The findings were consistent with isolated oculomotor nerve palsy with pupil involvement.

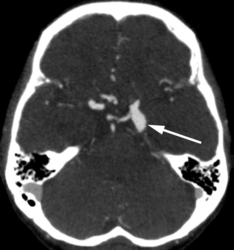
    A few years previously, when the patient was examined for holocranial headache, a 10 x 4 mm-sized aneurysm was found on the left side in the internal carotid artery at the exit of the posterior communicating artery, as well as a proximal aneurysm in the right anterior cerebral artery. These were considered to be incidental findings, and clipping was not recommended due to the risk of surgery, nor was radiological follow-up recommended.

    A CT scan of the head with angiography performed on admission showed growth of the aforementioned aneurysm to 15 x 9 mm. The neurosurgical department was contacted due to suspicion of imminent rupture, and urgent assessment was agreed for the following morning. However, the same evening the patient had hyperacute occipital headache with accompanying neck stiffness and hypertension, but no reduction in consciousness. CT scan of the head revealed a subarachnoid bleeding. The patient was immediately transferred to the department of neurosurgery where craniotomy and clip ligation of the ruptured aneurysm were performed. The patient survived but the neurological sequelae were severe.

    Where there is suspicion of abnormal function in one or more cranial nerves, it is important to locate the injury and identify the cause (1). Oculomotor nerve palsy may occur due to lesions along the nerve's entire length from the brainstem to the eye socket. One of the most feared causes of acute oculomotor nerve palsy is compression of a growing aneurysm, usually in the posterior communicating artery, with imminent threat of rupture. Isolated complete oculomotor nerve palsy with dilated pupil should always give rise to suspicion of aneurysm and entail rapid assessment. If the pupil is not affected, the cause is generally microvascular neuropathy, which has a good prognosis with spontaneous improvement over three months. However, in the case of isolated incomplete oculomotor nerve palsy it is not possible to rely on the pupillary findings, and close follow-up is therefore necessary (2).

    The patient's next of kin have consented to the publication of this article.

    Comments  ( 0 )
    PDF
    Print

    Recent Articles