Nerve tumour of the wrist

    ()

    sporsmal_grey_rgb
    Article

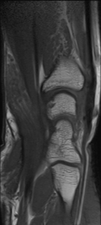
    A previously healthy teenage girl was referred to the department of hand surgery with a lump on the flexor side of the left wrist. The lump had been discovered by the girl’s mother around seven years earlier and had gradually become increasingly painful. The patient described hypersensitivity to touch and numbness in the thumb, index, middle and ring fingers. Percussion over the tumour produced radiating pain and increased numbness in the same fingers. MRI showed an enlarged median nerve with a cable-like appearance due to fibrous thickening of the peri- and endoneurium and increased fat separating the roughly 15 nerve fibres (images online). The tumour was approximately 10 cm in size. A lipofibromatous hamartoma was diagnosed on the basis of the MRI findings, which are pathognomonic for the condition (1).

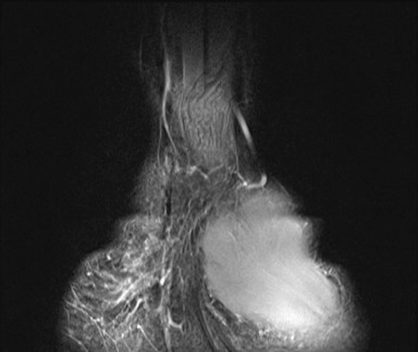
    Surgical exploration of the tumour was performed, along with carpal tunnel decompression. At its widest point the tumour (see image) had a diameter three times the size of a normal nerve. At check-ups two and six months later, the patient was still experiencing the same pain as prior to surgery, but sensation in the fingers had improved. Neurography after two months showed moderate axonal and demyelinating sensorimotor neuropathy of the median nerve at the level of the wrist and carpus, suggesting compression neuropathy. EMG examination revealed sparse denervation activity and findings consistent with reinnervation. There were no previous examinations with which to compare the results.

    Lipofibromatous hamartoma is a rare but benign neoplasm of peripheral nerves. One third of cases are associated with macrodactyly. The median nerve is most frequently affected. The condition typically presents as a tumour mass and symptoms of compression neuropathy (pain, paresthesia, sensory loss and muscle weakness). Histology reveals mature adipocytes and fibrous connective tissue infiltrating the space between the nerve fascicles. Biopsy is discouraged due to the potential for loss of nerve function, and is also unnecessary as pathognomonic findings on MRI are sufficient for diagnosis. Asymptomatic cases are observed. Early decompression of the nerve is recommended in cases of compression neuropathy to avoid permanent nerve damage. This can provide complete relief from symptoms, but long-term outcomes have nevertheless proved to be variable. Further decompression may be necessary. Macrodactyly should be evaluated and treated separately. Treatment should take place in a department with expertise in hand surgery.

    The patient's relatives have consented to the publication of the article.

    Comments  ( 0 )
    PDF
    Print

    Recent Articles