A methadone user with anaemia, skeletal pain and altered appearance

    ()

    sporsmal_grey_rgb
    Article

    Anaemia is common among substance abusers and is often attributed to poor nutritional status and chronic infections. However, a comprehensive assessment of a methadone user with anaemia, skeletal pain and altered appearance revealed another, probably underdiagnosed cause.

    A woman in her 20s was admitted to a local hospital for investigation of anaemia. She had been an intravenous heroin user for ten years, but five years previously had started to use methadone through the medication-assisted treatment programme (MAT). The patient was a former heavy smoker with markedly excessive alcohol consumption. She had had bulimia in her teens, and as a newborn had been treated for prolonged icterus and transfusion-dependent anaemia of undetermined origin.

    In the year preceding hospitalisation she had developed increasing pain in the hips and thighs and had occasionally needed to use crutches to walk. In the months prior to admission she had also become increasingly lethargic. She was referred for admission after her GP detected normocytic anaemia and hyponatraemia. The patient herself had observed muscle wastage in the arms and legs, atrophy of the breasts and thinning of the hair. Her nails had stopped growing, and she had been amenorrhoeic for the past four months.

    Upon admission, she was noted as having a yellowish-brown facial skin tone, early greying of the hair, thin extremities and slightly distended abdomen. Lymph nodes of the neck, axillae and groin were slightly enlarged but not tender. Blood pressure was 140/80 mm Hg with normal pulse and respiration, and she was afebrile. Organ status was otherwise normal. Blood tests performed on admission are shown in Table 1. CT examination of the neck, thorax, abdomen and pelvis revealed enlarged lymph nodes in both axillae, borderline splenomegaly, and enlarged lymph nodes of the hepatic hilum. Other organs were unremarkable.

    Table 1

    Blood tests performed at admission. AST, ALT, bilirubin, albumin, LD, ALP, INR, aPTT, D-dimer and haptoglobin levels were all normal

    Test

    Result

    Reference range

    Haemoglobin

    7.5 g/l

    11.7 – 15.3 g/l

    Reticulocytes

    120 × 10⁹/l

    30 – 95 × 10⁹/l

    MCV

    92 fl

    82 – 98 fl

    Thrombocytes

    265 × 10⁹/l

    145 – 390 × 10⁹/l

    Leucocytes

    5.4 × 10⁹/l

    3.5 – 10.0 × 10⁹/l

    Iron

    13 × μmol/l

    9.0 – 34.0 × μmol/l

    Ferritin

    293 × μg/l

    15 – 200 × μg/l

    Vitamin B12

    224 pmol/l

    170 – 650 pmol

    Sedimentation reaction

    102 mm

    < 20 mm

    C-reactive protein

    4 mg/l

    4 mg/l

    Sodium

    125 mmol/l

    137 – 145 mmol/l

    Potassium

    5.2 mmol/l

    3.6 – 5.0 mmol/l

    Albumin-corrected calcium

    2.63 mmol/l

    2.17 – 2.47 mmol/l

    Creatinine

    104 μmol/l

    45 – 90 μmol/l

    Phosphate

    2.1 mmol/l

    0.85 – 1.5 mmol/l

    TSH

    6.68 mIE/l

    0.2 – 4.0 mIE/l

    Free T4

    13.8 pmol/l

    11.0 – 23.0 pmol/l

    We initially planned to assess the patient for lymphoma, given that she was anaemic with a high erythrocyte sedimentation rate, lymphadenopathy and splenomegaly. A bone marrow biopsy was performed while awaiting lymph node extirpation.

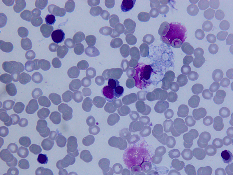
    Initial evaluation of the bone marrow smear revealed a hypoplastic, fatty marrow with abundant vacuolated macrophages, known as foam cells (Fig. 1). There was erythroid and myeloid dysplasia, but no elevation of blast count. The bone marrow biopsy showed massive infiltration of macrophages, and hypoplastic haematopoiesis (Fig. 2). The macrophages contained vacuoles of somewhat varying size.

    Figure 1  Light micrograph of bone marrow smear stained with May-Grünwald-Giemsa. Anisopoikilocytosis and abnormal…
    Figure 1 Light micrograph of bone marrow smear stained with May-Grünwald-Giemsa. Anisopoikilocytosis and abnormal macrophages can be seen
    Figure 2  Light micrograph of bone marrow biopsy stained with haematoxylin and eosin (HE). The image is dominated by tightly…
    Figure 2 Light micrograph of bone marrow biopsy stained with haematoxylin and eosin (HE). The image is dominated by tightly packed macrophages containing vacuoles of varying sizes with a bluish-grey colour typical of polyvinylpyrrolidone (PVP) or povidone (arrow). In the upper right, part of a bone trabecula can be seen

    Foam cells or «storage cells» are abnormal mononuclear phagocytic cells with vacuolated appearance. They are mostly macrophages that take up particles via phagocytosis or receptor-independent fluid-phase pinocytosis (1). Other cells in this category include monocytes, dendritic cells and endothelial cells in the sinusoids of liver, spleen and bone marrow.

    Foam cell formation is best described in cardiovascular disease, where such cells have a key role in the development of atherosclerosis. In the early stages of pathogenesis, foam cells are formed when macrophages endocytose oxidised fat particles in the arterial wall. Many of these macrophages then die by apoptosis. Macrophage apoptosis is initially associated with reduced plaque growth owing to efficient efferocytosis (endocytosis of apoptotic cells) by nearby phagocytes. However, as atherosclerosis progresses, efferocytosis becomes inadequate and secondary necrosis occurs, which leads to increased inflammation (2). Inadequate efferocytosis is associated with immune-mediated disease and tissue damage (3).

    The presence of foam cells in parenchymal organs is also typical of lysosomal lipid storage diseases: a collective term for rare and hereditary metabolic disorders characterised by defective lysosomal function owing to enzyme deficiencies. Enzyme deficiency in the lysosomes leads to accumulation of lipids inside cells. Examples of such diseases are Niemann-Pick disease, Fabry disease and Gaucher disease.

    There were several possibilities remaining with respect to differential diagnoses. The patient’s symptoms – with altered body shape, amenorrhoea and altered skin tone – could, in conjunction with electrolyte imbalance, be the result of an endocrine disease, for example adrenocortical disease, although this would rarely give rise to the changes observed in the bone marrow. A series of endocrine tests were therefore ordered to investigate the various pituitary axes. These revealed normal levels of cortisol, ACTH, corticosteroid-binding globulin and sex hormones.

    Other differential diagnoses were also considered. Chronic malnutrition, as occurs in eating disorders, may lead to bone marrow suppression. In severe deficiency diseases, gelatinous transformation of the bone marrow may be seen, along with accumulation of mucopolysaccharides. However, our patient’s history of eating disorder was several years ago and we therefore considered this differential diagnosis to be unlikely. Infection with hepatitis C virus, which is prevalent among intravenous substance abusers, may cause aplastic anaemia. Serological tests revealed elevated titers of hepatitis C antibody in our patient, but virus quantification failed to detect hepatitis C viral RNA, ruling out active infection.

    Of the various lysosomal storage diseases, we considered Niemann-Pick disease type C and Gaucher disease to be most consistent with our patient's clinical phenotype. Both diseases are hereditary, with an autosomal recessive pattern of inheritance. In the former, deficiency of the enzyme sphingomyelinase leads to accumulation of cholesterol and glycolipids. Symptoms and signs may include prolonged neonatal icterus, splenomegaly and various neurological and psychiatric manifestations. Niemann-Pick disease can be diagnosed by testing the ability of fibroblasts to esterify cholesterol. A skin biopsy was therefore performed and the sample sent for fibroblast culture to allow esterification to be tested.

    Patients with Gaucher disease are deficient in the enzyme galactosidase, leading to accumulation of sphingolipids in macrophages of the liver, spleen, bone marrow, brain and kidneys. Symptoms may include pronounced skeletal pain, yellowish-brown skin pigmentation and fatigue, often accompanied by anaemia, thrombocytopaenia and hepatosplenomegaly. Serum from the patient was therefore sent for analysis to investigate the possibility of galactosidase deficiency. Pending the results of these tests, the patient was discharged with an increased dose of methadone for pain relief, and planned monitoring as an outpatient.

    Two months later the patient was hospitalised again. She had increasing pain in the hips, which had become so severe that it prevented her from performing activities of daily living. She had self-medicated with large doses of diclofenac and aspirin. Examination revealed anuric renal failure, with estimated glomerular filtration rate (eGFR) of 10 ml/min/1.7 m² (reference > 60 ml/min/1.7 m²), and metabolic acidosis with pH 7.24 (7.35 – 7.45). She also had bacteraemia with growth of Pseudomonas aeruginosa, but was not clinically septic. She was transferred to the regional hospital for dialysis and, after a few days of treatment, showed a gradual improvement in renal function.

    Other than mildly elevated TSH levels, the results of the endocrine tests from her previous hospital stay were normal. We eventually learned that her galactosidase levels were also normal, ruling out Gaucher disease, and nor was there evidence to support a diagnosis of Niemann-Pick disease. However, in a renewed anamnesis, the patient now admitted to having injected methadone sporadically over the past three years, and regularly over the six months prior to her first hospitalisation. The potential threat to health from intravenous use of Methadone Martindale, which contains the exicipient polyvinylpyrrolidone (PVP), or povidone, was reported by the Norwegian Medicines Agency in the spring of 2014 (4). On the basis of studies from the 1950s, in which PVP-containing macrophages were detected in the livers of mice that had been injected with PVP-containing liquids (5), a liver biopsy was performed in our patient. Re-examination of the bone marrow biopsy was also requested to check for PVP deposits.

    Light microscopy of the liver biopsy revealed accumulation of histiocytic cells in portal fields and sinusoids, with pale-bluish vesicular cytoplasm visible in sections stained with haematoxylin-eosin-saffron (HES-stained sections) (Fig. 3a). The intracellular material was PAS-negative (periodic acid-Schiff), but stained positive with Jones’ stain (periodic acid-Schiff methenamine, PASM) (Fig. 3b), and showed localised weakly positive staining with Congo red. Some of the hepatocytes contained small vacuoles of a similar nature. The biopsy also revealed portal fibrosis with incipient formation of septa and chronic inflammation.

    Figure 3  Light micrograph of hepatic tissue, showing accumulation of polyvinylpyrrolidone (PVP) or povidone-containing…
    Figure 3 Light micrograph of hepatic tissue, showing accumulation of polyvinylpyrrolidone (PVP) or povidone-containing macrophages (Kupffer cells) in the sinusoids. a) Staining with haematoxylin-eosin-saffron (HES) (arrows point to Kupffer cells). b) Staining with Jones’ stain (periodic acid-Schiff methenamine, PASM). PVP-inclusions are stained black (arrow)

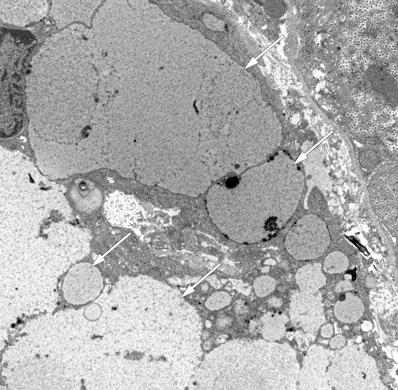
    Transmission electron microscopy revealed groups of phagocytic cells with large intracellular vacuoles with uniform, finely granular contents of low electron density (Fig. 4). Within the hepatocytes, there were varying numbers of large lysosomes with finely granular contents of low electron density, along with small electron-dense grains and lipofuscin-like material. Non-specific secondary changes were also seen, including mild cholestasis and minor mitochondrial pathology with occasional crystalline inclusions.

    Figure 4  Transmission electron micrograph of hepatic tissue. Intracellular accumulation of polyvinylpyrrolidone (PVP) or…
    Figure 4 Transmission electron micrograph of hepatic tissue. Intracellular accumulation of polyvinylpyrrolidone (PVP) or povidone in macrophages (Kupffer cells) (arrows)

    As part of the re-examination of the bone marrow biopsy, the sample was stained with PASM and Congo red. Inclusions were seen inside the macrophage vacuoles, which stained black and red respectively.

    This broad assessment of the patient allowed several pertinent differential diagnoses to be excluded. There was no evidence of typical familial storage diseases, endocrine diseases, or deficiency conditions. Our initial suspicion of lymphoma had already been discounted after the first examination of the bone marrow aspirate. Instead, the characteristic appearance and histological staining properties of the biopsy material, in conjunction with the anamnesis, led us to conclude that PVP deposits were responsible for the clinical syndrome.

    The patient is still in significant pain, which is relieved by high doses of opiates. MRI of the affected bones revealed pathological changes including widespread bone marrow oedema. She now has transfusion-dependent anaemia and has gradually developed moderate renal failure. She has also developed hypothyroidism and requires thyroid hormone replacement therapy: we therefore assume that there are PVP deposits in the thyroid gland too.

    Discussion

    Discussion

    Polyvinylpyrrolidone (PVP), or povidone, is a synthetic, water-soluble polymer used as an excipient in many pharmaceutical formulations. It was first used in Germany during World War II as a plasma-expanding agent (6), and is still used in Taiwan as a «blood tonic» (7). PVP is used as a binding agent in tablets, and to increase the viscosity and therefore stability of liquid medicines. This capability depends on its molecular weight.

    PVP is not absorbed after oral intake. However, if PVP is injected into the bloodstream, its renal excretion will depend on its molecular weight. A number of studies have concluded that PVP with a molecular weight (MW) < 25,000 daltons (Da) will definitely be excreted, whereas PVP with a molecular weight > 100,000 Da will be unable to pass through the renal glomerulus (8, 9). In the latter case, a large proportion of the PVP will be deposited in histiocytes, leading to proliferation of these cells and their infiltration of the reticuloendothelial system. PVP deposits can be detected via histology and will show a positive staining reaction with stains including Congo red, Sirius red and PASM (10, 11).

    Several of the peroral substitute drugs used in medication-assisted treatment (MAT) contain PVP of various molecular weights. Methadone Martindale, which was withdrawn from the market in the spring of 2014, contained a PVP variant with a molecular weight of 1,000,000 – 1,500,000 Da (8, 12). Subutex also contains PVP, but a low molecular weight variant. We have unfortunately been unable to establish the identity of the methadone formulation injected by our patient. Intravenous misuse of the medications used in MAT is probably not uncommon (13).

    A distinctive PVP syndrome may occur in patients who have injected high molecular weight polyvinylpyrrolidone (14, 15). The syndrome may manifest as non-specific skin changes, haematological and orthopaedic complications as well as arthritis and polyneuropathy. Methadone Martindale was withdrawn from the market owing to the discovery of PVP-containing macrophages in the bone marrow, kidneys, gastrointestinal tract and skin of 13 patients with intravenous misuse of this drug, most of whom were from the Western Norway Regional Health Authority (4, 16).

    In our patient, PVP-containing macrophages were found in tissue samples from both bone marrow and liver. It must be assumed that these deposits were the result of intravenous use of a methadone formulation containing high molecular weight PVP. A renal biopsy was not performed in our patient, but we suspect that she also has PVP deposits in the kidneys, and that these have led to moderate chronic kidney disease. Her excessive intake of non-steroidal anti-inflammatory drugs may have resulted in acute-on-chronic kidney disease, which would explain why she temporarily required dialysis.

    The patient had significant bone pain, and MRI of the affected skeletal areas revealed bone marrow oedema. Patients with PVP syndrome are known to be susceptible to pathological fractures. One case report, for example, describes a woman in her 60s with a pathological hip fracture and anaemia (17). The bone tissue in the area of the fracture was described as gelatinous. The patient had been receiving regular PVP infusions for several years as treatment for «fatigue» (17).

    Our patient’s anaemia is probably related to PVP deposition in bone marrow. S-erythropoietin (EPO) was slightly elevated at the time of diagnosis, allowing renal aetiology to be excluded. Neither our patient, nor the others registered in Norway, have shown suppression of any cell lineages in bone marrow other than the erythroid series (18). Why only this cell line is affected remains unknown.

    In the bloodstream, PVP is phagocytosed mainly by macrophages. However, these cells are unable to degrade PVP, which instead accumulates inside their lysosomes. The substance’s hydrophilic properties cause water to be drawn into the cells, giving them a vacuolated appearance. There is no known means of eliminating PVP from the body, and thus no curative treatment for this deposition disease.

    We suspect that there are many unrecorded cases of PVP syndrome and believe there is a need for further evaluation of intravenous substance abusers undergoing MAT. Substance abusers often present with anaemia, which is usually attributed to poor nutritional status and chronic infections. Our patient’s history illustrates the importance of enquiring in depth about the injection of drugs intended for oral administration, and of considering biopsies to determine whether PVP deposits are present.

    The patient has consented to the publication of this article.

    Comments  ( 0 )
    PDF
    Print

    Recent Articles