En metadonbruker med anemi, skjelettsmerter og endret utseende

    ()

    sporsmal_grey_rgb
    Artikkel

    Anemi er vanlig hos rusmisbrukere og tilskrives ofte dårlig ernæringsstatus og kroniske infeksjonssykdommer. Omfattende utredning av en metadonbruker med anemi, skjelettsmerter og endret utseende avdekket imidlertid en annen og trolig underdiagnostisert årsak.

    En kvinne i 20-årene ble innlagt ved lokalsykehuset for utredning av anemi. Hun hadde vært injiserende heroinmisbruker i ti år, men hadde fem år tidligere startet med metadon gjennom legemiddelassistert rehabilitering (LAR). Pasienten var tidligere storrøyker og hadde et betydelig overforbruk av alkohol. I tenårene hadde hun hatt bulimi, og som nyfødt var hun blitt behandlet for prolongert icterus og transfusjonskrevende anemi, uten funn av sikker årsak.

    Det siste året før innleggelsen hadde hun utviklet stadig sterkere smerter i hofter og lår. Av den grunn måtte hun periodevis bruke krykker for å kunne gå. Månedene før innleggelsen hadde hun også utviklet tiltagende slapphet, og hun ble henvist for innleggelse etter at fastlegen påviste normocytær anemi og hyponatremi. Pasienten selv hadde observert svinn av muskulatur i armer og ben, atrofi av brystene og at håret var blitt tynnere. Neglene hadde sluttet å vokse, og hun hadde ikke hatt menstruasjon de siste fire månedene.

    Ved innkomst ble det bemerket bronsefarget hud i ansiktet, begynnende gråning av håret, tynne ekstremiteter og lett økt bukomfang. Lymfeknutene på hals, i aksiller og i lysker var lett forstørret og uømme. Blodtrykket ble målt til 140/80 mm Hg, det var normal puls og ubesværet respirasjon og hun var afebril. Ellers var det normal organstatus. Blodprøver tatt ved innkomst er angitt i tabell 1. Det ble tatt CT-undersøkelse av collum, thorax, abdomen og bekken som ledd i utredningen. Her ble det beskrevet forstørrede lymfeknuter i begge aksiller, grensestor milt og forstørrede lymfeknuter i leverhilus. Øvrige organer var uten anmerkning.

    Tabell 1

    Blodprøver tatt ved innkomst. Det var normale verdier av ASAT, ALAT, bilirubin, albumin, LD, ALP, INR, aPTT, D-dimer og haptoglobin

    Prøve

    Verdi

    Referanseområde

    Hemoglobin

    7,5 g/l

    11,7 – 15,3 g/l

    Retikulocytter

    120 · 10⁹/l

    30 – 95 · 10⁹/l

    MCV

    92 fl

    82 – 98 fl

    Trombocytter

    265 · 10⁹/l

    145 – 390 · 10⁹/l

    Leukocytter

    5,4 · 10⁹/l

    3,5 – 10,0 ·10⁹/l

    Jern

    13 · μmol/l

    9,0 – 34,0 · μmol/l

    Ferritin

    293 · μg/l

    15 – 200 · μg/l

    Vitamin B12

    224 pmol/l

    170 – 650 pmol

    Senkningsreaksjon

    102 mm

    < 20 mm

    C-reaktivt protein

    4 mg/l

    4 mg/l

    Natrium

    125 mmol/l

    137 – 145 mmol/l

    Kalium

    5,2 mmol/l

    3,6 – 5,0 mmol/l

    Albuminkorrigert kalsium

    2,63 mmol/l

    2,17 – 2,47 mmol/l

    Kreatinin

    104 μmol/l

    45 – 90 μmol/l

    Fosfat

    2,1 mmol/l

    0,85 – 1,5 mmol/l

    TSH

    6,68 mIE/l

    0,2 – 4,0 mIE/l

    Fritt T4

    13,8 pmol/l

    11,0 – 23,0 pmol/l

    Vi planla i første omgang en lymfomutredning av pasienten, da hun var anemisk, hadde høy senkning, lymfadenopati og splenomegali. I påvente av en lymfeknuteekstirpasjon ble det tatt en benmargsbiopsi.

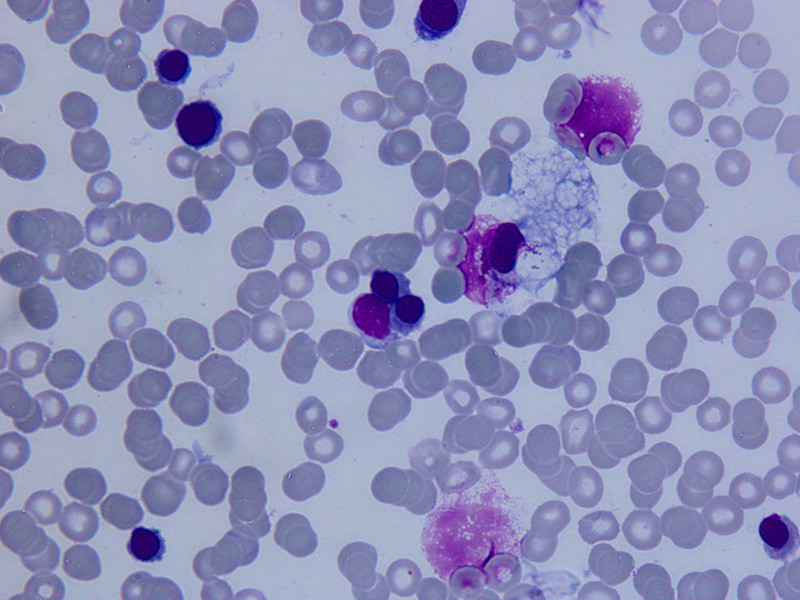
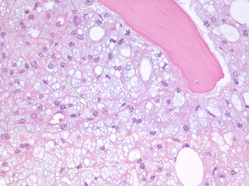
    Ved primær vurdering av benmargsutstryket fant vi en cellefattig, fettrik marg der det var rikelig med vakuoliserte makrofager, såkalte skumceller (fig 1). Det var dysplastisk erytroid og myeloid rekke uten blastutvikling. Benmargsbiopsien ble beskrevet med massiv infiltrasjon av makrofager og hypoplastisk hematopoese (fig 2). Makrofagene inneholdt vakuoler av noe varierende størrelse.

    Skumceller eller «lagringsceller» er en betegnelse på abnorme mononukleære fagocytterende celler med vakuolisert utseende. I hovedsak er dette makrofager som tar opp partikler via fagocytose eller reseptoruavhengig væskefasepinocytose (1). Andre celler i denne gruppen inkluderer monocytter, dendrittiske celler og endotelceller i sinusoidene i lever, milt og benmarg.

    Danning av skumceller er best beskrevet ved hjerte- og karsykdommer, der de utgjør en sentral plass i utviklingen av aterosklerose. I startfasen av patogenesen dannes skumceller ved at makrofager via endocytose tar opp blant annet oksiderte fettpartikler i arterieveggen. Mange av disse makrofagene dør så i apoptose. I tidlig fase er makrofagapoptose assosiert med redusert plakkvekst på grunn av effektiv efferocytose (endocytose av celler i apoptose) av nærliggende fagocytter. Ved videre progrediering av aterosklerose blir imidlertid efferocytosen ineffektiv, og man får sekundær nekrose som leder til økt inflammasjon (2). Ineffektiv efferocytose er forbundet med immunmediert sykdom og vevsskade (3).

    Påvisning av skumceller i parenkymatøse organer er typisk også ved lysosomale fettlagringssykdommer, som er en fellesbetegnelse på sjeldne og arvelige metabolske sykdommer med defekt lysosomal funksjon på grunn av enzymmangler. Enzymmangel i lysosomene fører til akkumulering av lipider i celler. Eksempler på slike sykdommer er Niemann-Picks sykdom, Fabrys sykdom og Gauchers sykdom.

    Differensialdiagnostisk sto vi igjen med flere muligheter. Pasientens symptomer – med endret kroppsfasong, amenoré og endret hudfarge – kunne, sammenholdt med elektrolyttforstyrrelser, være forårsaket av en endokrin sykdom, for eksempel binyrebarksykdom, selv om dette nok sjelden ville gi opphav til aktuelle benmargsfunn. Det ble derfor rekvirert en rekke endokrine prøver for å undersøke de ulike hypofyseaksene. Disse viste normale nivåer av kortisol, ACTH, kortisolbindende globulin og seksualhormoner.

    Andre differensialdiagnoser ble også vurdert. Langvarig underernæring, som ved spiseforstyrrelser, kan gi benmargsdepresjon. Ved alvorlige mangelsykdommer kan man i benmargen se en gelatinøs transformasjon og opphopning av mukopolysakkarider. Vår pasients spiseforstyrrelse lå dog flere år tilbake i tid, og vi så derfor bort fra denne differensialdiagnosen. Likeså kan hepatitt C-virusinfeksjon, som er utbredt hos intravenøse rusmisbrukere, gi aplastisk anemi. Serologiske undersøkelser hos vår pasient viste forhøyede titer av hepatitt C-virusantistoff, men hepatitt C-RNA ble ikke påvist ved viruskvantifisering, slik at aktiv infeksjon ikke forelå.

    Blant de ulike lysosomale lagringssykdommene vurderte vi det slik at Niemann-Picks sykdom type C og Gauchers sykdom passet best med vår pasients kliniske tilstand. Begge sykdommene er arvelige, med et autosomalt recessivt arvemønster. Førstnevnte fører til mangel på enzymet sfingomyelinase og gir dermed opphopning av kolesterol og glykolipider. Symptomer og tegn på sykdommen kan være prolongert neonatal icterus, splenomegali og ulike nevrologiske og psykiatriske manifestasjoner. Niemann-Picks sykdom påvises ved å teste fibroblastenes evne til å esterifisere kolesterol. Det ble derfor tatt en hudbiopsi, som ble sendt til dyrking av fibroblaster for å undersøke dette.

    Pasienter med Gauchers sykdom mangler enzymet galaktosidase, hvilket fører til akkumulering av sfingolipider i makrofager i lever, milt, benmarg, hjerne og nyrer. Symptomene kan omfatte uttalte skjelettsmerter, gulbrun hudpigmentering og utmattelse, og man finner ofte anemi, trombocytopeni og hepatosplenomegali. Serum fra pasienten ble derfor sendt til analyse med tanke på galaktosidasemangel. I påvente av svar på disse prøvene ble hun utskrevet med økt dose metadon for smertelindring og planlagt poliklinisk kontroll.

    To måneder senere ble pasienten innlagt på nytt. Hun hadde økende smerter i hoftene, og smertene var blitt så sterke at hun ikke lenger klarte å gjennomføre daglige aktiviteter. Hun hadde smertelindret seg selv med store doser diklofenak og acetylsalisylsyre. Ved undersøkelse ble det påvist anurisk nyresvikt, med estimert glomerulær filtrasjonshastighet (eGFR) 10 ml/min/1,7 m² (referanseverdi > 60 ml/min/1,7 m²), og metabolsk acidose, med pH på 7,24 (7,35 – 7,45). I tillegg hadde hun bakteriemi med vekst av Pseudomonas aeruginosa, men var ikke klinisk septisk. Hun ble overflyttet til regionsykehuset for behandling med dialyse. Etter noen dagers dialysebehandling var det en gradvis bedring av nyrefunksjonen.

    Foruten lett økt TSH-nivå var hormonprøvene som var tatt under forrige opphold normale. Etter hvert fikk vi vite at hun hadde normalt nivå av galaktosidase, slik at Gauchers sykdom var utelukket, og det var heller ikke holdepunkter for at det kunne være Niemann-Picks sykdom. Ved ny anamnese innrømmet pasienten nå injisering av metadon sporadisk de siste tre årene, og regelmessig det siste halvåret før første innleggelse. Kunnskap om potensielle helseskader ved injisering av Metadon Martindale, som inneholder hjelpestoffet polyvinylpyrrolidon (PVP) eller povidon, ble gjort kjent av Statens legemiddelverk allerede våren 2014 (4). På bakgrunn av studier fra 1950-årene, der man kunne påvise PVP-holdige makrofager i leveren hos mus som hadde fått injisert PVP-holdige væsker (5), ble det tatt en leverbiopsi, og det ble bedt om en ny gransking av benmargsbiopsien for å se etter PVP-avleiringer.

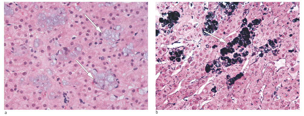
    Lysmikroskopisk undersøkelse av leverbiopsien viste akkumulering av histiocytære celler i portalfelter og sinusoider, med lyst blåaktig og vesikuløst cytoplasma i snitt farget med hematoksylin-eosin-safran (HES-farget snitt) (fig 3a). Det intracellulære materialet var negativt ved PAS-farging (periodic acid-Schiff) og positivt ved farging med Jones’ farge (periodic acid-Schiff methenamine, PASM) (fig 3b), og stedvis svakt positivt ved farging med kongorødt. I enkelte hepatocytter fant man mindre vakuoler av lignende karakter. Utover dette viste biopsien portal fibrose med begynnende danning av septa samt kronisk betennelse.

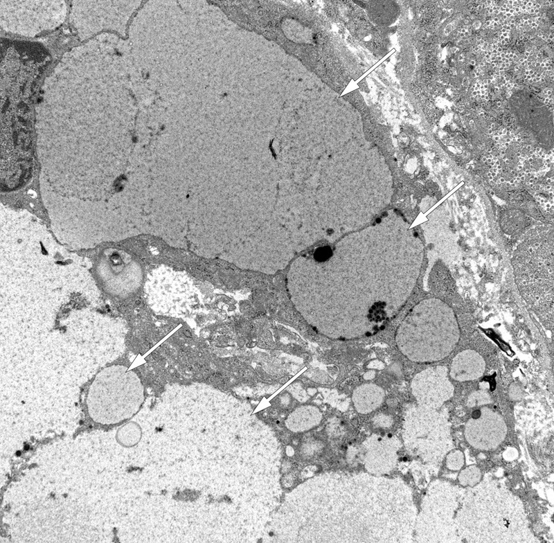
    Transmisjonselektronmikroskopi viste grupper av fagocytterende celler med store intracellulære vakuoler med jevnt fingranulert innhold med lav elektrontetthet (fig 4). I hepatocyttene ble det påvist varierende forekomst av store lysosomer med fingranulert innhold med lav elektrontetthet, kombinert med små elektrontette korn og lipofuscinlignende materiale. I tillegg forelå det uspesifikke sekundære forandringer, inkludert lett kolestase og lette forandringer i mitokondriene med enkelte krystalline inklusjoner.

    Ved ny granskning av benmargsbiopsien farget man også dette materialet med PASM og kongorødt. Vi fant da inklusjoner i makrofagenes vakuoler, som ble farget henholdsvis svart og rødt.

    Basert på en bred utredning av pasienten kunne vi utelukke flere aktuelle differensialdiagnoser. Det var ingen holdepunkter for verken typiske familiære lagringssykdommer, endokrine sykdommer eller mangeltilstander. Den primære mistanken om lymfom gikk vi bort fra allerede ved den første granskingen av benmargsaspiratet. Ut fra biopsimaterialenes karakteristiske utseende og histologiske fargeegenskaper, sammenholdt med anamnesen, kunne vi derfor konkludere med PVP-avleiringer som årsak til sykdomsbildet.

    Pasienten har fremdeles betydelige smerter, som lindres med høye doser opiater. Ved MR-undersøkelse av affisert skjelett ble det påvist patologiske forandringer med utbredt benmargsødem. Hun har nå en transfusjonskrevende anemi og har etter hvert utviklet moderat nyresvikt. Pasienten har dessuten utviklet en substitusjonskrevende hypotyreose, og vi antar at det foreligger PVP-avleiringer også i skjoldkjertelen.

    Diskusjon

    Diskusjon

    Polyvinylpyrrolidon (PVP), eller povidon, er en syntetisk, vannløselig polymer som brukes som bindemiddel i mange medikamentformuleringer. Det ble først brukt i Tyskland under den annen verdenskrig, som et plasmaekspanderende middel (6). Det brukes fremdeles i Taiwan som en slags velgjørende eliksir (blood tonic) (7). I tabletter brukes det som bindende substans, mens det i flytende legemidler øker viskositeten og dermed stabiliteten. Denne evnen avhenger av molekylvekten.

    PVP blir ikke absorbert ved peroralt inntak. Blir det derimot injisert i blodbanen, vil stoffets utskilling via nyrene avhenge av molekylvekten. En rekke studier konkluderer med at PVP med en molekylvekt (MW) < 25 000 dalton (Da) med sikkerhet skilles ut, mens PVP med en molekylvekt > 100 000 Da ikke vil klare å passere gjennom nyrenes glomerulusfilter (8, 9). En stor del av den inntatte PVP-mengden vil således avleires i histiocytter og føre til proliferasjon og infiltrasjon av disse i det retikuloendoteliale system. Det avleirede stoffet kan påvises ved histologisk undersøkelse og vil gi en positiv fargereaksjon ved farging med blant annet kongorødt, siriusrødt og PASM (10, 11).

    Flere perorale substitusjonspreparater som brukes i legemiddelassistert rehabilitering (LAR) inneholder PVP med ulik molekylvekt. Metadon Martindale, som ble tatt av markedet våren 2014, inneholdt en PVP-variant med en molekylvekt på 1 000 000 – 1 500 000 Da (8, 12). Subutex inneholder PVP, men en lavmolekylær variant. Det har dessverre ikke lyktes oss å finne ut hvilket metadonpreparat vår pasient hadde injisert. Injiserende misbruk av medikamenter brukt innen LAR er sannsynligvis ikke uvanlig (13).

    Et særegent PVP-syndrom kan oppstå hos pasienter som har injisert høymolekylært polyvinylpyrrolidon (14, 15). Syndromet kan manifestere seg med uspesifikke hudforandringer, hematologiske og ortopediske komplikasjoner samt artritter og polynevropati. Metadon Martindale ble tatt av markedet basert på påvisning av PVP-holdige makrofager i benmarg, nyre, mage-tarm-tractus og hud hos 13 pasienter med injiserende misbruk, de fleste fra Helseregion Vest (4, 16).

    Hos vår pasient fant vi PVP-holdige makrofager i vevsprøver fra både benmarg og lever. Det må antas at PVP-avleiringene skyldes injeksjon av et metadonpreparat inneholdende høymolekylært stoff. Det ble ikke tatt nyrebiopsi, men vi mistenker at hun også har avleiringer i nyrene, og at det er dette som har ført til en moderat kronisk nyresvikt. Det eksessive inntaket av ikke-steroide antiinflammatoriske midler kan ha gitt akutt på kronisk nyresvikt, en forklaring på at hun forbigående var dialysekrevende.

    Pasienten hadde betydelige bensmerter, og MR-undersøkelse av affisert skjelett påviste benmargsødem. Det er fra tidligere kjent at pasienter med PVP-syndrom er utsatt for patologiske frakturer. Dette er blant annet beskrevet i en kasuistikk der en kvinne i 60-årene hadde patologisk lårhalsbrudd og anemi (17). Benvevet i området med fraktur ble beskrevet som gelatinøst. Pasienten hadde fått PVP-infusjoner regelmessig over flere år som behandling for å motvirke «tretthet» (17).

    Pasientens anemi har trolig sammenheng med PVP-avleiring i benmargen. S-erytropoietin (EPO) målt ved diagnosetidspunktet var lett økt, slik at renal årsak var utelukket. Verken vår pasient eller de øvrige som er registrert i Norge har hatt suppresjon av andre cellelinjer i benmargen enn den erytroide rekken (18). Hvorfor det kun er denne cellelinjen som er påvirket, vet vi ikke.

    Polyvinylpyrrolidon i blodbanen fagocytteres i stor grad av makrofager. Disse cellene klarer imidlertid ikke å nedbryte stoffet, slik at det hoper seg opp inne i makrofagenes lysosomer. Stoffets hydrofile egenskaper gjør at vann trekkes inn i cellen, og dette gir opphav til et vakuolisert utseende. Det finnes ingen kjente måter å eliminere stoffet fra kroppen på, derfor finnes det ingen kurativ behandling av denne avleiringstilstanden.

    Vi antar at det er store mørketall når det gjelder utbredelse av PVP-syndromet og mener at det er behov for ytterligere kartlegging hos injiserende misbrukere under LAR-behandling. Rusmisbrukere kommer ofte til lege med anemi, som gjerne tilskrives dårlig ernæringsstatus og kroniske infeksjonssykdommer. Vår pasienthistorie viser verdien av å spørre inngående om injeksjon av legemidler som er ment for peroralt inntak og vurdere biopsitaking for å avklare om det kan foreligge PVP-avleiringer.

    Pasienten har gitt samtykke til at artikkelen blir publisert.

    Kommentarer  ( 0 )
    PDF
    Skriv ut

    Anbefalte artikler