A forgettable Christmas purchase

    ()

    sporsmal_grey_rgb
    Article

    A healthy man in his 40s was going Christmas shopping. In the car on the way there, he noticed that he was having memory problems, and that he could not recall where he had put the gifts he had bought earlier. He recounted how he had stopped the car several times to search the Internet on his smartphone for «memory loss», without being able to recall the results. He returned home with memory of only fragments of his shopping trip and a wrapped Christmas present, the contents of which were a mystery.

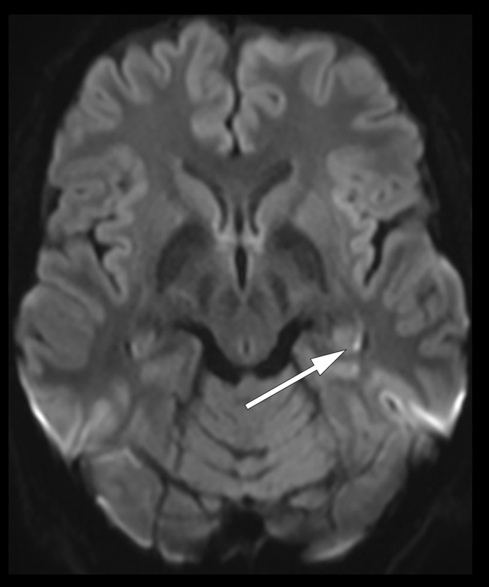
    Clinical examination in the accident and emergency department revealed no current neurological deficits, beyond anterograde amnesia, and CT of the head was unremarkable. Further examination two days later showed a normal EEG with no signs of epileptic activity. Diffusion-weighted MRI of the brain revealed a 2 mm wide diffusion lesion in the left caudal hippocampus (arrow). Such subtle diffusion abnormalities in the hippocampus are typical of transient global amnesia (TGA) (1).

    This is an isolated amnestic syndrome with sudden onset anterograde and, to varying degrees, retrograde amnesia lasting up to 24 hours. A number of underlying causes have been proposed, including migraine, focal ischaemia, venous stasis and epilepsy, but the exact pathophysiology is unknown. Amnesia onset following psychological stress or the Valsalva manoeuvre has also been reported (1). The diagnosis is made clinically on the basis of a typical medical history and exclusion of differential diagnoses. In our department, EEG and MRI are performed routinely, given the possibility of posterior cerebral artery ischaemia or epilepsy. There is no specific treatment for isolated episodes. The recurrence rate is low, and the condition is not associated with an increased risk of cerebrovascular events (1).

    Our patient chose, for the sake of suspense, to wait until Christmas Day to see what he had bought as a gift. Peace and tranquillity were restored when it was revealed that he had chosen well.

    The patient has consented to the publication of this article.

    Comments  ( 0 )
    PDF
    Print

    Recent Articles