Bleeding behind the eye

    ()

    sporsmal_grey_rgb
    Article

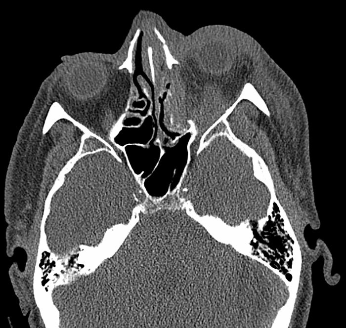
    A man in his 60s was hospitalised after sustaining facial trauma in a fall. CT of the face showed nasal fracture, left-sided fracture of the orbital floor and medial orbital wall with dislocation and intraorbital haematoma. The globe was intact (pictured left). Clinical examination revealed left periorbital haematoma and pronounced proptosis. Upon palpation the left eye was tense and inelastic. There was greatly restricted movement of the left eye in all directions, almost to the point of ophthalmoplegia. Direct and indirect light reflexes were absent and there was complete loss of vision in the left eye. Intraocular pressure in the left eye was measured at 70 mm Hg.

    Orbital fractures can result in bleeding that increases intraorbital pressure with the risk of permanent vision loss. The condition is rare and is termed traumatic retrobulbar haemorrhage. It affects 0.3 – 0.6 % of patients with zygomatic orbital fractures (1). Traumatic retrobulbar haemorrhage can lead to compartment syndrome and requires prompt intervention to prevent the irreversible damage that can occur after 90 – 120 minutes of insufficient orbital blood supply. The condition may develop immediately after an injury or several hours later.

    In traumatic retrobulbar haemorrhage, bleeding and oedema create increased intraorbital pressure in the orbital septum. As pressure increases, the orbital contents are pressed against the optic nerve, and ischaemic injury occurs due to compression of intraorbital vessels. It is unclear whether it is direct pressure on the optic nerve, compression of the vascular supply to the nerve or reduced circulation in the arteria centralis retinae that causes vision loss. Patients who are anticoagulated are particularly vulnerable. The clinical picture is dominated by pain, proptosis, reduced visual acuity, subconjunctival haemorrhage, periorbital swelling, ophthalmoplegia and possibly an absent afferent pupillary reflex. A gradual reduction in visual acuity may indicate a reversible compression injury and not direct mechanical damage. Intraocular pressure can also be greatly elevated.

    Our patient fulfilled all the criteria for traumatic retrobulbar haemorrhage. Four hours after admission, decompression was performed by lateral canthotomy and cantholysis under local anaesthesia (opening of the lateral canthus and transection of the lateral cathal ligament) (pictured right). After the operation the proptosis quickly resolved and after 15 minutes intraocular pressure was 20 mm Hg. Unfortunately, the patient’s vision did not improve in this case. Traumatic optic neuropathy is therefore considered a possible additional diagnosis.

    It is important that doctors in trauma units and duty specialists in ophthalmology and otorhinolaryngology can diagnose and treat this condition by performing lateral canthotomy and inferior cantholysis, as doing so can prevent permanent vision loss.

    The patient has consented to publication of this article.

    Comments  ( 0 )
    PDF
    Print

    Recent Articles