Urine microscopy – an important diagnostic tool

    ()

    sporsmal_grey_rgb
    Article

    Microscopy of urine sediment is a simple and inexpensive, but often overlooked procedure. With practice, it can contribute to swift, correct diagnosis of suspected kidney and urinary tract disease.

    With the development of a wide range of blood tests and multiple test strips (dipsticks) for testing urine, urine microscopy often seems to be forgotten both in everyday use and in the literature on diagnosis of kidney and urinary tract disease. However, existing European guidelines stress the importance of urine examination, including the use of microscopy (1). In the following, a brief summary of these guidelines is illustrated with case histories showing what we may miss by not using a microscope on urine samples.

    European guidelines

    European guidelines

    According to the guidelines from the European Confederation of Laboratory Medicine (ECLM) (1) there are three important indications for strip testing and microscopy of urine:

    • Suspicion or follow-up of symptoms or situations suggesting the possibility of urinary tract infection

    • Suspicion or follow-up of non-infectious renal disease, either primary or secondary to systemic diseases such as rheumatic diseases, hypertension, toxaemia of pregnancy, or to the adverse effects of drugs

    • Suspicion or follow-up of non-infectious post-renal disease

    The guidelines operate with two levels of knowledge of urine microscopy. The basic level is the minimum for anyone examining urine samples and consists of description and identification of erythrocytes, leukocytes, epithelial cells, hyaline/non-hyaline casts, bacteria, Trichomonas, spermatozoa, artefacts (hairs/fibres etc.), lipid droplets and crystals. At the advanced level, these elements are studied in detail; for example, isomorphic/dysmorphic erythrocytes, subclassification of epithelial cells, casts, bacteria etc.

    We should point out here that if the strip test is positive, it is important to distinguish between real disease and sample contamination (Fig. 1), which can be determined by microscopy.

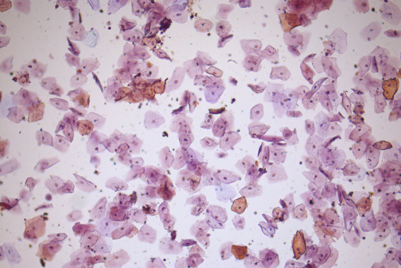
    Figure 1  Urine sediment enlarged ten times shows abundant epithelial cells. These are cells from the genitalia and their…
    Figure 1 Urine sediment enlarged ten times shows abundant epithelial cells. These are cells from the genitalia and their presence indicates that the recommended urine sampling procedures have not been followed. They are also often accompanied by bacteria and elements difficult to identify. Given > 5 squamous epithelial cells in the urine sediment, enlarged 40 times, we consider the sample to be contaminated and request a new, correctly taken sample in order to get a reliable test result
    Illustrative case histories

    Illustrative case histories

    Patient 1. The patient was hospitalised with increasing dyspnoea, oedema of the legs, a general sense of malaise and macroscopic haematuria. The patient had a previous medical history of atrial fibrillation, hypertension, ischaemic heart disease and type 2 diabetes. The patient’s clinical status on admission was normal – apart from atrial fibrillation, pitting oedema of the lower extremities and overweight.

    Blood tests revealed elevated creatinine, 114 μmol/l, with an estimated glomerular filtration rate (eGFR) of 42 ml/min/1.73 m². Urine dipsticks showed abundant leukocytes (> 500 leukocytes/μl urine), a moderate quantity of erythrocytes (≈ 80 erythrocytes/μl) and slight albuminuria (0.3 g/l). Urine microscopy revealed a moderate quantity of isomorphic (intact) erythrocytes (7 – 25 erythrocytes per field of view enlarged 40 ×) (Fig. 2), a moderate quantity of hyaline casts (findings of hyaline casts in every second field of view with an enlargement of 40 ×) and some squamous epithelial cells (1 – 5 squamous epithelial cells per field of view with an enlargement of 40 ×).

    Further examination with chest X-ray and echocardiogram revealed heart failure, and therapy commenced. A CT abdomen showed localised wall thickening in the urinary bladder, and the patient was referred to a urologist with suspected bladder tumour as the cause of the haematuria.

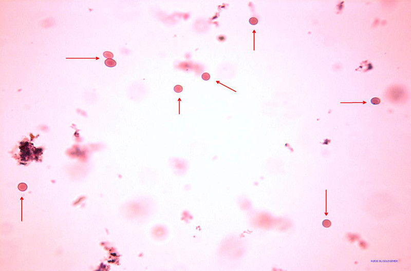
    Figure 2  Urine sediment enlarged 40 times shows many intact (isomorphic) erythrocytes. This is a sign of post-glomerular…
    Figure 2 Urine sediment enlarged 40 times shows many intact (isomorphic) erythrocytes. This is a sign of post-glomerular bleeding (from renal tubules, renal pelvis, ureter, bladder or urethra). A preponderance of dysmorphic (irregular, fragmented) erythrocytes points to glomerular haematuria (not shown)

    Urine dipsticks react to both intact and damaged erythrocytes and to free haemoglobin and myoglobin, while microscopy may help to determine the source of the erythrocytes in the urine. Isomorphic erythrocytes in the urine mean that the red blood cells are of natural size and shape, in contrast to dysmorphic erythrocyctes, which are deformed after passing through glomerular capillary walls in cases of glomerular disease. They can be detected in the urine as acanthocytes, pencil cells, elliptocytes or fragments.

    Isomorphic erythrocytes have a regular, biconcave shape, are the result of post-glomerular bleeding and stem from kidney tubules, renal pelvis, ureter, bladder or urethra. Common causes of isomorphic haematuria are pronounced venous congestion in the urinary tract, urinary infections and cancer. These were all possibilities in the patient in question, and a rational test programme was initiated as a result of the urine microscopy.

    Patient 2. The patient was hospitalised after a clinical history of 24 hours of abdominal pain with intermittent episodes of exacerbation, lethargy and nausea. The clinical examination was normal, apart from hypertension (blood pressure 195/140 mm Hg). In the blood sample, the creatinine value was elevated at 183 μmol/l; the other blood test results were within the normal range.

    Urine on admission showed the following dipstick levels: leukocytes moderate (≈ 70 – 125 leukocytes/μl), nitrite negative, glucose moderate (14 – 28 mmol/l), albumin moderate (0.3 – 1 g/l), abundant erythrocytes (≈ 200 per μl).

    Microscopy showed very large numbers of tubular epithelial cells (large flakes) (Fig. 3), a moderate number of cellular casts of tubular epithelium (4 – 10 in the whole slide), moderate numbers of erythrocytes and leukocytes (7 – 25 per field of view with an enlargement of 40 ×) (Fig. 4). The findings were consistent with acute tubular necrosis.

    X-rays of the abdomen and thorax and a CT without contrast of the urinary tract provided no explanation for the patient’s symptoms. The abdominal pain was interpreted as possible constipation, and the patient received intravenous fluid and antihypertensives. The following day, serum creatinine had risen to 551μmol/l and urine production was falling despite infusion of intravenous fluid. The patient was therefore transferred to the Renal Department. A kidney biopsy showed ischaemic kidney damage (acute tubular necrosis). Three months later the patient was still dependent on dialysis.

    Figure 3  Urine sediment enlarged 40 times shows abundant tubular epithelial cells. Such a finding is of great diagnostic…
    Figure 3 Urine sediment enlarged 40 times shows abundant tubular epithelial cells. Such a finding is of great diagnostic importance and indicates damage to renal tubules (in this case acute tubular necrosis)
    Figure 4  Urine sediment enlarged 40 times shows a cellular cast. These casts are formed by cells (in this case tubular…
    Figure 4 Urine sediment enlarged 40 times shows a cellular cast. These casts are formed by cells (in this case tubular epithelial cells) being deposited in protein casts of tubules. The finding is always a symptom of severe disease and often due, as in this case, to acute tubular necrosis

    If the patient’s urine findings had been considered at the time of admission, the renal damage would have been detected before the creatinine value and other blood variables had risen alarmingly. Acute tubular necrosis is acute renal failure where tubular epithelial cells are lost due to ischaemic and/or toxic damage.

    Microscopy of urine is helpful for distinguishing acute tubular necrosis from prerenal kidney failure, where there is no structural renal damage. In acute tubular necrosis, the urine typically contains tubular epithelial cells and cell casts of tubular epithelium, as in our patient.

    Patient 3. The patient was hospitalised after some weeks of fatigue and chills, in the last few days with dark urine and pruritus. Blood tests showed a highly elevated creatinine level of 2 449 μmol/l, urea 46.2 mmol/l and potassium 6.4 mmol/l. Urine dipsticks showed considerable proteinuria and haematuria (> 20 g/l and ≈ 200 erythrocytes per μl, respectively).

    Microscopy showed a nephritic sediment characterised by glomerular haematuria with a moderate quantity of dysmorphic erythrocytes (7 – 25 erythrocytes per field of view with enlargement 40 ×), abundant waxy casts (> 4 in the whole slide). There were also abundant tubular epithelial cells, a moderate presence of granular casts (4 – 10 in the whole slide) and some cellular casts (1 – 3 in the whole slide) (Fig. 5). The patient was transferred the same day to the Renal Department on suspicion of acute glomerulonephritis, which was confirmed by renal biopsy. Appropriate treatment was initiated.

    Figure 5  Urine sediment enlarged 40 times shows a waxy cast. These are usually casts of the broad parts of the tubules…
    Figure 5 Urine sediment enlarged 40 times shows a waxy cast. These are usually casts of the broad parts of the tubules. They look «waxy», but consist mainly of IgG. They are associated with severe, often terminal renal disease

    Waxy casts are always a serious sign and are only present in patients with pathological conditions. A patient with as high a serum creatinine level as in this case would have been promptly transferred to the Renal Department under any circumstances, but in the present case urine microscopy provided important supplementary information about the urgent need for further diagnostics and treatment.

    Potential for improvement:

    Potential for improvement:

    Although urine microscopy can provide essential and conclusive information in the assessment of a patient’s illness, our impression is that microscopy is often omitted from both literature and practice. For example, a recently published Nordic article on kidney function variables in cases of acute kidney failure did not mention urine microscopy at all (2). Some hospital laboratories do not offer urine microscopy any longer.

    In our experience, urine microscopy is not as widely used as we think it should be. A study of urine morphology conducted at Diakonhjemmet Hospital in 2008 revealed a great potential for improvement among doctors and biomedical laboratory scientists in satisfying the European guidelines’ minimum requirements for basic knowledge of urine morphology (1, 3).

    There may be a number of reasons for this. Urinalysis requires a relatively long, thorough training, and the expertise must be maintained. Two Norwegian tools providing support and training in this field were introduced in 2012 (4, 5). Since creatinine, eGFR and cystatin C are widely discussed concerning suspected kidney and urinary disease, it is easy to forget that urine microscopy can provide faster and in many cases more appropriate information.

    Contaminated samples

    Contaminated samples

    As mentioned in the introduction, urine microscopy is the only means of determining whether a urine sample is contaminated or not. Urine samples may be contaminated during sampling by vaginal secretions and skin flora if procedures for washing prior to sample collection and mid-stream urine are not properly followed (1, 4, 5). We regard the presence of five or more epithelial cells on microscopy with 40 × enlargement as a sign of contamination. We do not send such a sample for microbiological culture, but report that it is contaminated and recommend new, correct sampling.

    Contaminated urine samples are a widespread problem (1, 4, 5). We have analysed the samples in our laboratory and found by urine microscopy that approximately 25 % of the over 300 urine samples received each month are contaminated. Cultures of contaminated samples yield results with no clinical relevance and may lead to patients receiving unnecessary antimicrobial treatment if an assumed urinary infection is treated on the basis of a positive strip test without microscopic verification. Culture of contaminated samples will also lead to extra costs for the health service. If the contaminated samples at our hospital had been forwarded for culture at the current rate of NOK 104 per urine sample, it would have resulted in an annual cost of about NOK 100 000 for the hospital.

    Useful tool

    Useful tool

    As illustrated by the above case histories, urine microscopy can help the clinician to distinguish between glomerular and post-glomerular haematuria (patient 1), detect acute renal damage earlier than a rise in creatinine would allow (patient 2) and detect acute nephritis where the initiation of appropriate treatment is urgent (patient 3).

    Acute renal failure is a relatively common condition, and is associated with increased mortality in hospitalised patients (6). Prerenal disease and acute tubular necrosis are the most usual causes of acute renal failure (6, 7). The diagnosis must be made in light of the clinical history, somatic examination, blood and urine tests, including urine microscopy (8). Several articles report good correlation between various findings in urine sediments and disease, such as the presence of granular and cellular casts of tubular epithelia in cases of acute tubular necrosis (9, 10). Despite this, urine microscopy is still variably used (2, 11), and there is inadequate emphasis on and description of the role and importance of urine microscopy in modern clinical practice (12).

    It is well known that the serum creatinine level alone does not necessarily reflect the degree of renal damage in a patient, as we saw with patient 2. This applies to acute renal failure in particular. Urine microscopy is a useful diagnostic tool which meets all the requirements that can be made of an ideal prognostic test: it is simple and inexpensive to perform, readily available, capable of distinguishing between different conditions and of predicting a diagnosis prior to manifest disease. A number of scoring systems developed for urine sediment have proved capable of predicting exacerbation of acute renal failure (10) – (13).

    New biomarkers are being tested, and in several places cystatin C, for example, has been introduced into the diagnosis of renal diseases. However, it is known that the levels of both creatinine and cystatin C often increase relatively late in acute renal diseases, as in patient 2. The European guidelines for urinary analysis are therefore justified in continuing to recommend test strips and urine microscopy as important supplements to biochemical testing on suspicion of or symptoms of renal disease (1).

    Comments  ( 0 )
    PDF
    Print

    Recent Articles