A woman in her 60s with pneumaturia

    ()

    sporsmal_grey_rgb
    Article

    A woman in her 60s was referred to a urologist because of recurrent urinary tract infections and haematuria. Assessment revealed an unusual cause of the patient’s complaint.

    A woman in her 60s with insulin-dependent type 1 diabetes since childhood was referred as an outpatient for urological assessment because of recurrent lower urinary tract infections and macroscopic haematuria. She had suffered an episode of spasmodic back pain five days before the referral in question was issued, but no back pain since this episode. She had not had fever, and her general condition was good. The referral mentioned that the patient had known overconsumption of alcohol. There was no information on whether blood tests had been performed. The patient had failed to produce a urine sample, so no urine culture had been carried out.

    The diagnostic work-up of macroscopic haematuria with uncertain cause should aim to determine whether the source of the bleeding is the upper or lower urinary tract. Haematuria may be due to benign complaints such as concrements in the upper urinary tract or urinary bladder or malignant complaints such as cancer of the kidney, renal pelvis, ureter, urinary bladder or urethra. Haematuria may also be observed in various kidney diseases and following trauma. The spasmodic back pain described for this patient arouses suspicion of ureter obstruction and possible ureter concrement.

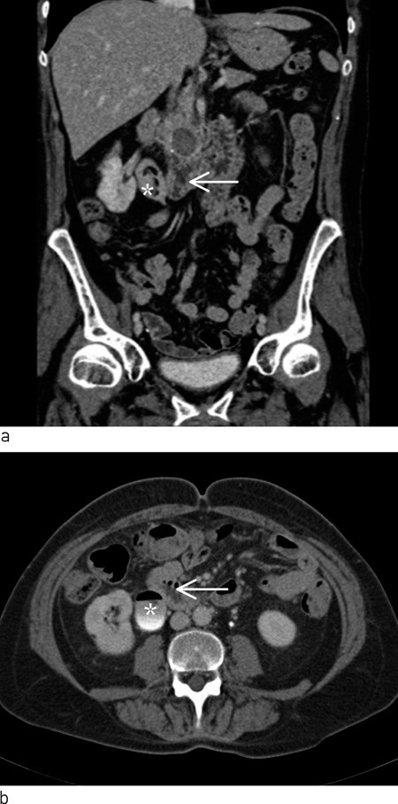
    The patient was examined at the Urology Clinic three weeks later. Exploratory blood tests showed haemoglobin 13.0 g/dl (11.7 – 15.3 g/dl), CRP 3 mg/l (< 10 mg/l), carbamide 9.0 mmol/l (3.0 – 6.5 mmol/l), creatinine 81 μmol/l (50 – 90 μmol/l). Glucose was not tested. Cystoscopy revealed abundant cloudy urine in the urinary bladder. No concrements or other foreign bodies were detected, and no pathology in the mucous membrane of the bladder. Urine cytology showed normal cells without atypical features. A urinary tract CT was ordered to investigate whether the patient’s haematuria might be due to concrements or processes in the upper urinary tract or in relation to the urinary tract. Two weeks later, a CT scan of the kidneys and urinary tract was performed without and with contrast medium in two phases. These revealed abundant gas in the urinary bladder and in the right collecting duct system. The patient had a pronounced renal pelvis with some filling defects on the right. The calyces and ureter were slender. The duodenum was close to the pronounced renal pelvis. The left kidney and ureter were normal. Calcifications and a cyst 1.5 cm in diameter were detected in the head of pancreas (Fig. 1).

    Figure 1  CT urinary tract with intravenous contrast in secretion phase. Coronal (a) and axial (b) reconstruction show close…
    Figure 1 CT urinary tract with intravenous contrast in secretion phase. Coronal (a) and axial (b) reconstruction show close relations between duodenum (arrow) and pronounced renal pelvis with gas and filling defects on right side (star). On the coronal reconstruction, cystic filling is also seen in the pancreas cranially of the duodenum

    Pneumaturia (gas in the urinary tract) may be due to a fistula between the bowel or genitals and the urinary tract. This condition may be seen as a complication of bowel cancer, diverticulitis, inflammatory bowel disease or following a surgical procedure in the abdominal cavity (1, 2). Gas may also be found in the urinary tract after instrumentation of the urinary tract or if gas-producing bacteria are present in the urine. In the case of this patient, we had no information regarding episodes of diverticulitis, inflammatory bowel disease or previous surgery that might have made her susceptible to a fistula between bowel or genitals and the urinary tract. The cyst in the head of pancreas, which might be consistent with previous pancreatitis, was initially regarded as a secondary finding.

    So far, the work-up had not detected the cause of the patient’s recurrent infections and haematuria. Findings of gas in the collecting system of the right kidney and in the urinary bladder aroused suspicion of a fistula between bowel and urinary tract. The patient was scheduled for hospitalisation four days later for further assessment. On admission, barely a month after her first outpatient examination, the patient had no macroscopic haematuria, but spoke of almost daily pneumaturia that she had had for almost a year. She had had recurrent lower urinary tract infections for the past 10 – 15 years. It also transpired that the patient was a smoker. She had had several toes amputated because of diabetic foot ulcers and had used dicloxacillin for extended periods for the same reason. Exploratory blood tests on admission showed normal haemoglobin, white cells, thrombocytes, CRP, creatinine and INR. She had elevated glucose 12.2 mmol/l (4 – 6 mmol/l) and HbA1c 9.7 % (4.0 – 6.0 %). The patient had normal aspartate aminotransferase (AST) and alanine aminotransferase (ALT), but slightly elevated alkaline phosphatase (ALP) 119 U/l (35 – 105 U/l) and gamma-glutamyl transferase (GT) 96 U/l (10 – 75 U/l).

    Her HbA1c value was high, consistent with poorly managed diabetes mellitus. The elevated ALP and GT values were accordingly viewed as non-specific, possibly caused by overconsumption of alcohol.

    In order to investigate whether there was a fistula between the bowel and the urinary bladder (enterovesical fistula), CT cystography was performed with contrast medium introduced into her bladder via a urethral catheter. The investigation did not reveal a fistula. The patient was examined further for a possible fistula in the upper urinary tract with retrograde pyelography: using X-ray fluorescence, contrast medium was introduced into the right ureter via a transurethral ureter catheter. No contrast leakage was detected from the renal pelvis or ureter on the right side. Repeat cystoscopy detected no signs of a fistula in the urinary bladder. The CT scan carried out some weeks earlier showed a pronounced renal pelvis on the right side, near the duodenum. The same CT scan showed a cyst in the pancreas which could be consistent with previous pancreatitis. A fistula from the duodenum to the right kidney’s collecting duct system after previous pancreatitis was therefore suspected. Gastroscopy was ordered to look for a possible reaction in the duodenum consistent with a fistula. This examination revealed oesophagitis, otherwise no relevant findings. A urine culture revealed growth of Escherichia coli. No fungus was found in the urine.

    Up to this point, the work-up had concentrated on detecting a fistula to the urinary tract, but no fistula to the urinary bladder or the upper urinary tract was found. On discharge it was believed that gas-producing bacteria in the urinary tract were a possible cause of the patient's persistent pneumaturia.

    The patient was discharged after three days in hospital with pantoprazole 40 mg × 1 for oesophagitis. The urinary infection was treated after the results of the culture with trimethoprim 160 mg and sulphonamide 800 mg × 2 for a week, then trimethoprim 160 mg × 2 for three weeks. A CT abdomen was ordered after the completion of the antibiotics course, and outpatient follow-up was planned. The patient postponed the planned follow-up because she spends parts of the year abroad. We were informed by telephone four months after her discharge that she had been hospitalised abroad because of unstable blood sugar. During this stay, gas was found in the urinary tract, and she had been treated for urinary tract infection with antibiotics of an unknown type. Her pneumaturia disappeared in connection with this antibiotics course, but she suffered a relapse a month later.

    The patient’s pneumaturia disappeared during antibiotic treatment. This strengthened the suspicion that the cause was recurrent infection with gas-producing bacteria.

    The patient returned to Norway five months after her discharge from the department, and a CT of the urinary tract showed unchanged conditions in the urinary tract with gas in the collecting system in the right kidney and in the urinary bladder. Filling defects were found in the right renal pelvis, which were interpreted as being debris or coagula. The cyst previously seen in the pancreas had increased to 2.5 cm in diameter, with slightly increased density. She was called in for further outpatient follow-up. Urine culture revealed three different unnamed microbes, interpreted as contamination.

    The patient had persistent pneumaturia, but otherwise little discomfort. The work-up with repeated CT scans had revealed gas in the urinary bladder and collecting system of the right kidney, but had failed to find any cause for her recurrent urinary tract infections or pneumaturia. There were plans for further examination with flexible ureterorenoscopy, which is an endoscopic examination where the ureter and renal pelvis are examined via transurethral access with the aid of a flexible scope. This method makes visual inspection of the ureter, renal pelvis and calyces possible. It is also possible to crush concrements in the urinary tract via laser fibres, extract coagula or concrements or take biopsies by means of instruments that can be introduced through the scope.

    The patient went abroad again, and the work-up was put on hold. It was decided to order a further CT of the urinary tract before the planned flexible ureterorenoscopy. Repeated CT scans of the urinary tract with X-ray contrast in the secretion phase in both prone and supine positions just ten months after her first referral showed unchanged gas in the urinary tract. As before, the right renal pelvis lay very close to the duodenum, and despite the fact that there was no transmission of contrast medium from the urinary tract to the bowel, the describing radiologist concluded that there was probably a fistula between the renal pelvis on the right side and the duodenum. On re-examination, this finding was regarded as uncertain.

    Repeated CT scans had not provided a final clarification of the patient's condition. Gas-producing bacteria were still strongly suspected, and the patient was examined further by means of the planned scan of ureter and renal pelvis with flexible ureterorenoscopy. The patient was admitted for the planned procedure a month later.

    Flexible ureterorenoscopy under X-ray fluorescence with antibiotic prophylaxis consisting of trimethoprim, sulphonamide and gentamycin revealed normal conditions in the right ureter. Contrast medium was introduced into the right renal pelvis without it being possible to detect contrast leakage. No tumorous changes were seen, but in the calyx throats of the right kidney, brown, soft structures were found. Several of these structures were extracted and sent for biopsy and kidney stone analysis with infrared spectroscopy. During the procedure, conditions gradually became difficult because of bleeding from the mucous membranes. The procedure therefore had to be interrupted before all the material could be extracted, and a double J stent was placed from the renal pelvis to the urinary bladder as temporary relief for the right kidney. Post-operatively, the patient developed chills and a rise in temperature consistent with urosepsis. A urine culture again showed Escherichia coli, and she was treated with intravenous antibiotics for 24 hours. Three days after the procedure she was discharged in good condition with trimethoprim 160 mg × 2 and sulphonamide 800 mg × 2 for a week, then trimethoprim 160 mg × 1 and sulphonamide 800 mg × 1 for a week. Readmission was planned for removal of the double J stent, and a further flexible ureterorenoscopy. Histopathological tests showed that the material that had been extracted consisted partly of collagenous tissue and debris. Infrared spectroscopy revealed that the material consisted largely of protein and not components that would be expected from analysis of an ordinary kidney stone.

    Urosepsis is a not uncommon complication of urinary tract procedures, particularly if the procedure takes place during a urinary tract infection. It is therefore advisable as a rule that the patient be completely free of infection prior to instrumentation in the upper urinary tract. In this patient with chronic recurrent urinary tract infections, it would have been difficult to achieve freedom from infection. We therefore decided to operate despite the fact that she had a higher risk of infection. During the procedure, soft structures consisting of protein-rich collagenous tissue and debris consistent with deposits after a chronic urinary tract infection were found in the right kidney.

    A month later the patient was admitted for a further flexible ureterorenoscopy. In the renal pelvis, material was found in and extracted from the calyces. Suspicion of a fistula to the urinary tract had not been entirely dismissed, and in order to diagnose any fistula between the right renal pelvis and the duodenum, blue colouring was introduced into the renal pelvis via a ureterorenoscope, with an indwelling ventricular probe. However, no evidence was found of transfer of the blue colouring to the ventricle. Contrast medium was also placed in the renal pelvis without contrast leakage being found. The indwelling double J stent was removed, and a new stent was inserted with a thread out of the urethra so that the stent could be removed 4 – 5 days later without a further invasive procedure. She was discharged with trimethoprim 100 mg × 1 as prophylaxis for three months. The patient had X-ray urography four months later. Rapid secretion, equal bilaterally, and slender ureters were found. No gas was found in the urinary tract. On follow-up a month later she had had no further episodes of pneumaturia, urinary tract infection or flank pain.

    Discussion

    Discussion

    Gas in the collecting system of the urinary tract may be due to instrumentation in the urinary tract, a fistula between the collecting system from the urinary tract and a hollow organ, or infection with gas-producing microbes (3). The most usual cause of pneumaturia is a colovesicular fistula, but it may also be caused by fistulae between other parts of the bowel or genitalia. It may be difficult to detect a fistula, and repeated tests are often necessary. If no fistula is found, infection with gas-producing microbes must be considered as a possible cause. In our patient, chronic urinary tract infection with gas-producing bacteria was the most probable cause of the pneumaturia. The chronic urinary tract infection probably led to the deposition of debris, which in turn helped to maintain the urinary tract infection. The spasmodic back pain experienced by the patient shortly before the initial referral may have been caused by transitory occlusion of the right ureter. In the case of this diabetic patient, we might have considered the possibility of diabetic neuropathy with affection of the bladder, which could have led to increased residual urine and secondary vesicoureteral reflux, which makes patients susceptible to recurrent urinary infections. With this patient, the focus was initially on a haematuria work-up, then on work-up of a possible fistula to the urinary tract. Residual urine was not measured, nor were urodynamic tests or a study of possible vesicoureteral reflux carried out.

    Infections in the urinary tract with gas-producing bacteria may be serious, with a high mortality. Infections with gas-producing organisms in the lower and upper urinary tract are called emphysematous cystitis and emphysematous pyelonephritis, respectively. A meta-analysis of 175 patients with emphysematous pyelonephritis revealed a mortality of 25 % (4). The treatment administered previously was often nephrectomy, but with modern treatment modalities, it is possible to achieve the desired effect by relieving the kidney with nephrostomy, antibiotics and good intensive care. Emphysematous pyelonephritis can be classified as type I or type II, depending on whether there are both parenchyma destruction and gas, or whether there is renal or perirenal fluid with gas in the collecting duct system (5). The infections can be divided into four classes, depending on the location of the gas in the CT images (6). Class 1 describes gas in the collecting system, and can be treated with antibiotics. This was the case with our patient. In class 2, there is gas in the renal parenchyma, and in class 3 there is perirenal gas. Class 4 is characterised by bilateral infection or gas in a single kidney. In the more serious infections in classes 2 – 4, the kidney should be relieved by means of nephrostomy or intrarenal drainage. If this is unsuccessful, nephrectomy must be considered.

    The most commonly occurring gas-producing bacteria are Escherichia coli and Klebsiella peneumonia (3). In rare cases, Candida infection may also produce gas. Most patients with this problem are in their 60s, and women are affected six times as often as men. Diabetics are over-represented among patients with this problem. In two review articles, 62 – 67 % of the patients with emphysematous cystitis had diabetes mellitus (3, 7). There are several theories concerning the pathogenesis of gas-producing infections. One hypothesis that may explain the high number of diabetics is that a high glucose level in the tissue acts as a favourable substrate, enabling organisms to produce carbon dioxide through natural fermentation (8). Although this cannot explain this condition in non-diabetics, there appears to be general agreement that the combination of potential gas-producing organisms, a high glucose concentration in the tissue and reduced tissue perfusion are associated with the development of emphysematous infections (3, 7). Our patient had both chronic urinary tract infection, poorly managed diabetes and probably also reduced tissue perfusion. Good blood sugar management will probably be conducive to avoiding chronic infection and further episodes of pneumaturia. In conclusion, it may be mentioned that the patient’s pneumaturia, which proved to be an important part of her clinical history, did not emerge in either the referral to a specialist or in her first consultation with a specialist. In cases of recurrent urinary tract infections, it is advisable to ask patients specifically about this symptom.

    The patient has consented to the publication of the article.

    Comments  ( 0 )
    PDF
    Print

    Recent Articles