En kvinne i 60-årene med pneumaturi

    ()

    sporsmal_grey_rgb
    Artikkel

    En kvinne i 60-årene ble henvist til urolog på grunn av residiverende urinveisinfeksjoner og hematuri. Under utredningen ble det funnet en uvanlig årsak til pasientens plager.

    En kvinne i 60-årene med insulinkrevende diabetes type 1 fra barnealder ble henvist til poliklinisk utredning hos urolog på grunn av residiverende nedre urinveisinfeksjoner og makroskopisk hematuri. Hun hadde hatt en episode med krampeliknende smerter i ryggen fem dager før den aktuelle henvisningen ble skrevet, men ingen ryggsmerter etter denne episoden. Hun hadde ikke hatt feber og allmenntilstanden var god. I henvisningen kom det frem at pasienten hadde et kjent alkoholoverforbruk. Det var ingen opplysninger om det var tatt blodprøver. Pasienten hadde ikke klart å avgi urinprøve og det var derfor ikke gjort dyrkning av urin.

    Makroskopisk hematuri uten sikker årsak bør utredes med tanke på blødningskilde fra øvre eller nedre urinveier. Hematuri kan skyldes benigne lidelser som konkrementer i øvre urinveier og urinblære eller maligne lidelser som kreft i nyre, nyrebekken, ureter, urinblære eller urethra. Hematuri kan også observeres ved ulike nyresykdommer og etter traumer. De krampeliknende ryggsmertene som ble beskrevet hos denne pasienten gjorde at man kunne mistenke ureterobstruksjon og mulig ureterkonkrement.

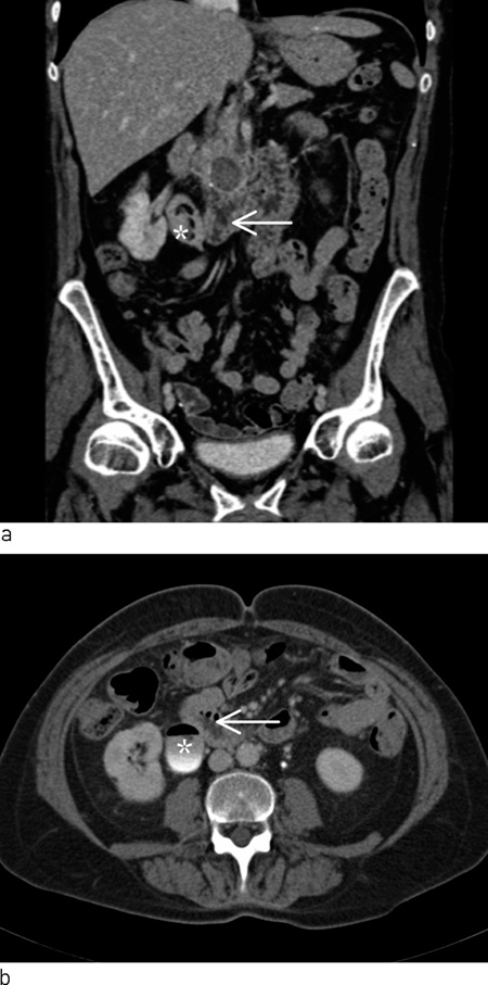
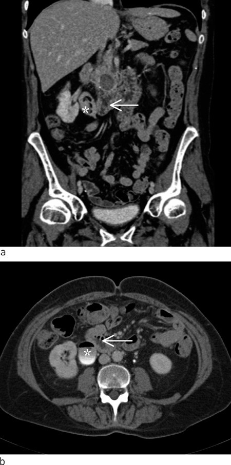
    Pasienten ble undersøkt på urologisk poliklinikk tre uker senere. Orienterende blodprøver viste hemoglobin 13,0 g/dl (11,7 – 15,3 g/dl), CRP 3 mg/l (< 10 mg/l), karbamid 9,0  mmol/l (3,0 – 6,5 mmol/l), kreatinin 81 μmol/l (50 – 90 μmol/l). Glukose ble ikke tatt. Ved cystoskopi ble det funnet rikelig med grumsete urin i urinblæren. Det ble ikke påvist konkrementer eller andre fremmedlegemer, og det var ingen patologi i blæreslimhinnen. Cytologi av urin viste normale celler uten atypi. Det ble rekvirert CT urinveier for å undersøke om pasientens hematuri kunne skyldes konkrementer eller prosesser i øvre urinveier eller i relasjon til urinveiene. To uker senere ble det utført CT nyrer og urinveier uten røntgenkontrast og med røntgenkontrast i to faser som viste rikelig med gass i urinblæren og i samlesystemet på høyre side. På høyre side hadde pasienten markert nyrebekken med enkelte fylningsdefekter. Calyces og ureter var slanke. Duodenum lå nært det markerte nyrebekkenet. Venstre nyre og ureter var upåfallende. I caput pancreatis ble det påvist forkalkninger og en cyste med diameter 1,5 cm (fig 1).

    Pneumaturi (gass i urinveiene) kan skyldes fistel mellom tarm eller genitalia og urinveiene. Denne tilstanden kan ses som komplikasjon til tykktarmskreft, ved divertikkelsykdom, inflammatorisk tarmsykdom eller etter kirurgisk inngrep i bukhulen (1, 2). Gass i urinveiene kan også ses etter instrumentering i urinveiene eller ved gassdannende bakterier i urinen. Hos denne pasienten hadde vi ingen opplysninger om episoder med divertikkelsykdom, inflammatorisk tarmsykdom eller tidligere kirurgiske inngrep som kunne disponere for en fistel mellom tarm eller genitalia og urinveiene. Cysten i caput pancreatis, som kunne være forenlig med gjennomgått pankreatitt, ble i første omgang oppfattet som et bifunn.

    Utredningen hadde så langt ikke påvist årsaken til pasientens residiverende infeksjoner og hematuri. Funn av gass i høyre nyres samlesystem og i urinblæren gjorde at man mistenkte fistel mellom tarm og urinveiene. Pasienten ble planlagt innlagt fire dager senere for videre utredning. Ved innleggelsen knapt en måned etter at hun ble undersøkt første gang på poliklinikken hadde pasienten ingen makroskopisk hematuri, men fortalte om nærmest daglig pneumaturi som hun hadde hatt i nærmere ett år. Hun hadde hatt residiverende nedre urinveisinfeksjoner de siste 10 – 15 år. Det kom videre frem at pasienten røykte. Hun hadde amputert flere tær på grunn av diabetiske fotsår og hadde i lengre perioder brukt dikloksacillin av samme grunn. Orienterende blodprøver ved innleggelsen viste normal hemoglobin, hvite blodlegemer, trombocytter, CRP, kreatinin og INR. Hun hadde forhøyet glukose 12,2 mmol/l (4 – 6 mmol/l) og HbA1c 9,7 % (4,0 – 6,0 %). Pasienten hadde normal aspartataminotransferase (ASAT) og alaninaminotransferase (ALAT), men lett forhøyet alkalisk fosfatase (ALP) 119 U/l (35 – 105 U/l) og gammaglutamyltransferase (GT) 96 U/l (10 – 75 U/l).

    Verdien av HbA1c var forhøyet, forenlig med dårlig regulert diabetes mellitus. De forhøyede verdiene av ALP og GT ble i denne sammenhengen sett på som uspesifikke, muligens forårsaket av alkoholoverforbruk.

    For å undersøke om det forelå en fistel mellom tarm og urinblæren (enterovesikal fistel) ble det under oppholdet gjort CT cystografi med røntgenkontrast satt inn i blæren via urethrakateter. Det ble ikke påvist fistel ved denne undersøkelsen. Pasienten ble utredet videre med tanke på fistel til øvre urinveier med retrograd pyelografi hvor det under røntgengjennomlysning ble satt røntgenkontrast i høyre ureter gjennom transuretralt plassert ureterkateter. Det ble ikke påvist kontrastlekkasje fra nyrebekken eller ureter på høyre side. Ved gjentatt cystoskopi var det ingen tegn til fistel i urinblæren. CT-undersøkelsen tatt noen uker tidligere viste markert nyrebekken på høyre side som lå nær duodenum. Ved samme CT-undersøkelse ble det påvist en cyste i pancreas som kunne være forenlig med gjennomgått pankreatitt. Man mistenkte derfor en fistel fra duodenum til høyre nyres samlesystem etter gjennomgått pankreatitt. Gastroskopi ble rekvirert for å se etter mulig reaksjon i duodenum forenlig med fistelgang. Denne undersøkelsen påviste øsofagitt, ellers ingen aktuelle funn. Dyrkning av urin viste oppvekst av Escherichia coli. Det ble ikke påvist sopp i urinen.

    Utredningen hadde så langt vært konsentrert om å påvise fistel til urinveiene, men det ble ikke påvist fistel til urinblære eller øvre urinveier. Man mente ved utskrivningen at gassdannende bakterier i urinveiene var en mulig årsak til pasientens vedvarende pneumaturi.

    Pasienten ble utskrevet etter tre dagers sykehusopphold med pantoprazol 40 mg × 1 for øsofagitt. Urinveisinfeksjonen ble behandlet etter dyrkningssvar med trimetoprim 160 mg og sulfonamid 800 mg × 2 i en uke, deretter trimetoprim 160 mg × 2 i tre uker. Det ble rekvirert CT abdomen etter avsluttet antibiotikakur med planlagt poliklinisk oppfølging. Pasienten utsatte den planlagte kontrollen fordi hun deler av året oppholdt seg i utlandet. Ved telefonkontakt fire måneder etter utskrivning fikk vi opplyst at hun var blitt innlagt på sykehus i utlandet på grunn av ustabilt blodsukker. Det var under dette sykehusoppholdet blitt påvist gass i urinveiene, og hun hadde blitt behandlet for urinveisinfeksjon med antibiotika av ukjent type. I forbindelse med denne antibiotikakuren forsvant hennes pneumaturi, men en måned senere var det tilbakefall.

    Pasientens pneumaturi forsvant under pågående antibiotikabehandling. Dette styrket mistanken om at årsaken var residiverende infeksjon med gassdannende bakterier.

    Pasienten kom tilbake til Norge fem måneder etter at hun ble utskrevet fra avdelingen, og det ble gjort CT urinveier som viste uendrede forhold i urinveiene med gass i høyre nyres samlesystem og i urinblæren. I høyre nyrebekken ble det funnet fylningsdefekter som ble oppfattet som debris eller koagler. Cysten som tidligere var sett i pancreas var økt til 2,5 cm i diameter og hadde litt økt tetthet. Hun ble innkalt til ny poliklinisk kontroll. Dyrkning av urin viste tre ulike ikke navngitte mikrober, tolket som forurensning.

    Pasienten hadde vedvarende pneumaturi, men var ellers lite plaget. Utredning med gjentatte CT-undersøkelser hadde vist gass i urinblære og høyre nyres samlesystem, men hadde ikke kunnet påvise noen årsak til hennes residiverende urinveisinfeksjoner eller pneumaturi. Det ble planlagt å utrede henne videre med fleksibel ureterorenoskopi, som er en endoskopisk undersøkelse der ureter og nyrebekken undersøkes via transuretral tilgang ved hjelp av et fleksibelt skop. Denne metoden gjør det mulig med visuell inspeksjon av ureter, nyrebekken og calyces. Videre er det mulig å knuse konkrementer i urinveiene via laserfibre, ekstrahere koagler eller konkrementer eller ta biopsier ved hjelp av instrumenter som kan føres gjennom skopet.

    Pasienten reiste igjen til utlandet, og utredningen ble utsatt. Man valgte å rekvirere ny CT av urinveier før planlagt fleksibel ureterorenoskopi. Gjentatt CT-undersøkelse av urinveiene med røntgenkontrast i utskillingsfase både i rygg- og bukleie knapt ti måneder etter at hun ble henvist første gang viste uendret gass i urinveiene. Som tidligere lå høyre nyrebekken svært nær duodenum, og på tross av at det ikke var overgang av røntgenkontrast fra urinveier til tarm konkluderte beskrivende radiolog med at det trolig var en fistel mellom nyrebekkenet på høyre side og duodenum. Ved regranskning ble dette funnet oppfattet som usikkert.

    Gjentatte CT-undersøkelser hadde ikke gitt en endelig avklaring av pasientens tilstand. Mistanken om gassdannende bakterier var fremdeles sterk, og pasienten ble utredet videre med den planlagte undersøkelsen av ureter og nyrebekken med fleksibel ureterorenoskopi. Pasienten ble innlagt for den planlagte prosedyren en måned senere.

    Ved fleksibel ureterorenoskopi under røntgengjennomlysning i antibiotikaprofylakse med trimetoprim, sulfonamid og gentamicin ble det funnet normale forhold i høyre ureter. Det ble satt røntgenkontrast i høyre nyrebekken uten at det kunne påvises kontrastlekkasje. Det ble ikke sett tumorforandringer, men i calyxhalsene i høyre nyre ble det funnet brune, myke strukturer. Flere av disse strukturene ble hentet ut og sendt til biopsi og til steinanalyse med infrarød spektroskopi. Under inngrepet ble det etter hvert vanskelige forhold på grunn av blødning fra slimhinnene. Inngrepet måtte derfor avbrytes før alt materiale kunne hentes ut, og det ble lagt en dobbel J-stent fra nyrebekkenet til urinblæren som midlertidig avlastning av høyre nyre. Postoperativt fikk pasienten frysninger og temperaturstigning forenlig med urosepsis. Dyrkning viste igjen Escherichia coli, og hun ble behandlet med intravenøs antibiotika i ett døgn. Tre dager etter inngrepet ble hun utskrevet i god form med trimetoprim 160 mg × 2 og sulfonamid 800 mg × 2 i en uke, deretter trimetoprim 160 mg × 1 og sulfonamid 800 mg × 1 i en uke. Det ble planlagt reinnleggelse for fjerning av dobbel J-stent og ny fleksibel ureterorenoskopi. Histopatologisk undersøkelse viste at materialet som ble hentet ut besto av dels kollagenøst vev og debris. Ved infrarød spektroskopi fant man at materialet hovedsakelig besto av protein og ikke komponenter som kunne forventes ved analyse av en vanlig nyrestein.

    Urosepsis er en ikke sjelden komplikasjon ved ulike inngrep i urinveiene, spesielt hvis et inngrep foretas under pågående urinveisinfeksjon. Som regel vil man derfor ønske at pasienten er helt infeksjonsfri før det gjøres instrumentering i øvre urinveier. Hos denne pasienten med kronisk residiverende urinveisinfeksjoner ville det ha vært vanskelig å oppnå infeksjonsfrihet. Vi valgte derfor å operere henne til tross for at hun hadde økt risiko for infeksjon. Det ble under inngrepet påvist myke strukturer i høyre nyre som besto av proteinrikt kollagenøst vev og debris forenlig med avsetninger etter kronisk urinveisinfeksjon.

    En måned senere ble pasienten innlagt for ny fleksibel ureterorenoskopi. I nyrebekkenet ble det funnet materiale i calyces som ble hentet ut. Mistanke om fistel til urinveiene var ikke helt avkreftet, og for å diagnostisere en eventuell fistel mellom høyre nyrebekken og duodenum ble det via ureterorenoskopet satt blåfarge i nyrebekkenet med inneliggende ventrikkelsonde uten at man fant overgang av blåfarge til ventrikkelen. Det ble også satt røntgenkontrast i nyrebekkenet uten at det ble påvist kontrastlekkasje. Den inneliggende doble J-stenten ble fjernet og det ble lagt en ny stent med tråd ut av urethra slik at stenten kunne fjernes 4 – 5 dager senere uten et nytt invasivt inngrep. Hun ble utskrevet med trimetoprim 100 mg × 1 som profylakse i tre måneder. Pasienten var til røntgen urografi fire måneder senere. Det ble funnet rask sidelik utskilling og slanke uretre. Det ble ikke påvist gass i urinveiene. Ved oppfølging en måned senere hadde hun ikke hatt nye episoder av pneumaturi, urinveisinfeksjon eller flankesmerter.

    Diskusjon

    Diskusjon

    Gass i urinveienes samlesystem kan skyldes instrumentering i urinveiene, fistel mellom urinveienes samlesystem og et hulorgan eller infeksjon med gassdannende mikrober (3). Den vanligste årsaken til pneumaturi er kolovesikal fistel, men det kan også være forårsaket av fistler mellom andre deler av tarmen eller genitalia. Det kan være vanskelig å påvise en fistel, og gjentatte undersøkelser er ofte nødvendig. Hvis man ikke finner noen fistel, må infeksjon med gassdannende mikrober vurderes som årsak. Hos vår pasient var kronisk urinveisinfeksjon med gassdannende bakterier den mest sannsynlige årsaken til pneumaturi. Den kroniske urinveisinfeksjonen har sannsynligvis ført til avsetning av debris, noe som igjen har bidratt til å vedlikeholde urinveisinfeksjonen. De krampeliknende ryggsmertene som pasienten hadde hatt kort tid før primærhenvisningen, kan ha vært forårsaket av forbigående okklusjon av høyre ureter. Hos denne pasienten med diabetes kunne vi ha vurdert muligheten for at det forelå diabetisk nevropati med affeksjon av blæren som kunne ha ført til økt mengde resturin og sekundær vesikoureteral refluks, noe som disponerer for residiverende urinveisinfeksjoner. Hos denne pasienten ble det initialt fokusert på hematuriutredning, deretter på utredning av mulig fistel til urinveiene. Resturin ble ikke målt, og det ble heller ikke gjort urodynamiske undersøkelser eller kartlegging av mulig vesikoureteral refluks.

    Infeksjoner i urinveiene med gassdannende bakterier kan være alvorlige infeksjoner med høy dødelighet. Infeksjon med gassdannende organismer i nedre henholdsvis øvre urinveier kalles emfysematøs cystitt og emfysematøs pyelonefritt. En metaanalyse av 175 pasienter med emfysematøs pyelonefritt viste en mortalitet på 25 % (4). Tidligere var ofte behandlingen nefrektomi, men med moderne behandlingsmodaliteter vil man kunne komme i mål med avlastning av nyren med nefrostomi, antibiotika og god intensivbehandling. Emfysematøs pyelonefritt kan klassifiseres i type I eller type II avhengig av om det foreligger både parenkymdestruksjon og gass eller om det er renal eller perirenal væske med gass i samlesystemet (5). Infeksjonene kan deles inn i fire klasser avhengig av gassens lokalisasjon på CT-bilder (6). Klasse 1 beskriver gass i samlesystemet og kan behandles med antibiotika. Dette var tilfellet for vår pasient. I klasse 2 er det gass i nyreparenkymet og ved klasse 3 er det perirenal gass. Klasse 4 karakteriseres av bilateral infeksjon eller gass i en enkelt nyre. Ved alvorligere infeksjoner i klasse 2 – 4 bør nyren avlastes med nefrostomi eller intrarenal drenasje. Hvis dette ikke fører frem, må man vurdere nefrektomi.

    De vanligst forekommende gassdannende bakteriene er Escherichia coli og Klebsiella peneumonia (3). I sjeldne tilfeller kan også infeksjon med Candida danne gass. De fleste pasienter med denne problemstillingen er i 60-årene, og kvinner rammes seks ganger oftere enn menn (6). Diabetikere er overrepresentert blant pasienter med denne problemstillingen. I to oversiktsartikler hadde 62 – 67 % av pasientene med emfysematøs cystitt diabetes mellitus (3, 7). Det finnes flere teorier om patogenesen ved gassdannende infeksjoner. En hypotese som kan forklare det høye antallet diabetikere er at høyt glukosenivå i vevet virker som et gunstig substrat for organismer til å produsere karbondioksid gjennom naturlig fermentering (8). Selv om dette ikke kan forklare denne tilstanden hos ikke-diabetikere, synes det å være enighet om at kombinasjonen av potensielt gassdannende organismer, høy konsentrasjon av glukose i vevet og redusert vevsperfusjon er assosiert med utvikling av emfysematøse infeksjoner (3, 7). Vår pasient hadde både kronisk urinveisinfeksjon, dårlig regulert diabetes og sannsynligvis også redusert vevsperfusjon. God blodsukkerkontroll vil sannsynligvis være gunstig for å unngå kronisk infeksjon og nye episoder med pneumaturi. Avslutningsvis kan nevnes at pasientens pneumaturi, som viste seg å være en viktig anamnestisk opplysning, ikke kom frem verken i henvisningen til spesialist eller ved første konsultasjon hos spesialist. Man kan med fordel spørre pasienter spesifikt om dette symptomet ved residiverende urinveisinfeksjoner.

    Pasienten har gitt samtykke til at artikkelen blir publisert.

    Kommentarer  ( 0 )
    PDF
    Skriv ut

    Anbefalte artikler