Butterfly glioma

    ()

    sporsmal_grey_rgb
    Article

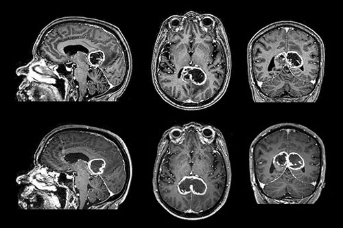
    A butterfly glioma is a glioma that involves both cerebral hemispheres by growing through the corpus callosum, the white matter tract that crosses the midline of the cerebrum. The result when the tumour grows symmetrically in the two hemispheres is the characteristic image reminiscent of a butterfly. Differential diagnoses of butterfly lesions in the corpus callosum are lymphoma of the central nervous system, tumefactive multiple sclerosis and toxoplasmosis.

    The figure shows contrast-enhanced T₁-weighted MRI images of a butterfly glioma with strong peripheral contrast enhancement and central necrosis, typical of a glioblastoma. Butterfly gliomas most frequently infiltrate the genu of the corpus callosum (≈ 60 %), and less often the body (≈ 30 %), and splenium (≈ 10 %) (1). Symptomatically, such tumours may result in disconnection syndromes such as alexia, agraphia and apraxia, rather than ordinary sensomotoric deficits. For example, unilateral apraxia may occur if the language areas in the left hemisphere are disconnected from the motor areas in the right hemisphere. Instructed verbally to perform tasks, the patient will be unable to perform them with his left hand, but able to perform them with his right hand.

    Butterfly gliomas are most often high-grade gliomas, usually WHO grade IV (glioblastoma). Glioblastomas are the most malignant type of glial cell tumour and the most frequently occurring primary intra-cranial neoplasm with an annual incidence of 3 – 4 per 100 000 inhabitants. Butterfly glioblastomas constitute approximately 3 % of all glioblastomas (1). The extensive infiltration into the corpus callosum indicates an aggressive tumour and the location makes surgery challenging. Thus, butterfly gliomas are often considered inoperable, while some nevertheless advocate maximal resection (1, 2).

    The lower part of the figure shows the same tumour after 16 days, where it has grown from 27.4 cm³ to 37.6 cm³, a 37 % increase in volume. This translates into a doubling time of 32 days, assuming exponential growth. There are few systematic in vivo studies in the literature of glioblastoma growth rates and doubling times. The few existing studies estimate doubling times at from 10 to 95 days.

    Comments  ( 0 )
    PDF
    Print

    Recent Articles