Subdural empyema

    ()

    sporsmal_grey_rgb
    Article

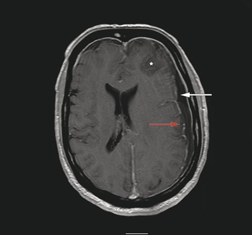
    A man in his sixties was admitted to a local hospital after he was found confused and with impaired consciousness. According to informants, he had by then suffered headache for two days. On examination, he had high fever (40.5 °C), neck stiffness and a Glasgow Coma Scale score of 12. The neurological examination was otherwise unremarkable. Cerebral CT with bone window in the sagittal plane (image on the left) showed opacification of the frontal sinus and a bony defect (arrow) into the epidural space. T1-weighted contrast MRI (image on the right) showed a left-sided subdural effusion (white arrow), contrast enhancement of the dura (red arrow) and signal changes (star) in the left frontal lobe. His cerebrospinal fluid appeared turbid with a white blood cell count of 2187 · 10⁶/l (normal 0 – 5) and total protein of 1.55 g/l (normal 0.15 – 0.50). On suspicion of subdural empyema and cerebritis, the patient was provided with antibiotic therapy and transferred to the university hospital. There he underwent craniotomy and evacuation of the empyema as well as sealing of the defect in the frontal bone. Culture of the empyema revealed Streptococcus intermedius (Milleri).

    Subdural empyema often presents with high fever, headache and impaired consciousness and may cause focal neurological deficits and seizures. It can be caused by the spread of bacterial sinusitis through erosion of bone barriers to the epidural space (1). Cerebral MRI enables visualisation of cerebral infections with a high degree of sensitivity (2) and it is essential that patients with a demonstrated empyema or abscess are promptly referred for surgical drainage (1).

    The patient has consented to the publication of the article.

    Comments  ( 0 )
    PDF
    Print

    Recent Articles