A man in his 60s with chest pain and pareses

    ()

    sporsmal_grey_rgb
    Article

    A man in his 60s was admitted with acute chest and neck pain and extensive neurological impairment. He had pronounced pareses in all limbs and non-functioning reflexes bilaterally, but no cranial nerve impairment. It was imperative to start treatment, but the cause of the patient's symptoms proved to be unusual.

    A man in his 60s was woken by the acute onset of chest and neck pain. Half an hour after the onset of pain, pronounced pareses developed in his left arm and leg, and immediately afterwards also pronounced paresis in his right arm and leg. On admission to hospital he had blood pressure of 90/44 mmHg in both right and left upper arms, and a temperature of 35.9 °C. His pulse was regular, with 46 beats per minute and normal filling in both groins, at the wrist, on the dorsal part of his feet and behind the medial malleoli. An examination of heart, lungs and abdomen yielded normal findings. A neurological examination detected no cranial nerve impairment. However, he was barely able to lift his arm from a resting position and unable to lift his legs or move at the ankles. He had a normal vibratory sense and proprioceptive sense in all four limbs. His sensibility to touch was also normal, but his sense of pain and temperature was strongly impaired in the upper limbs and absent in the lower limbs. There was bilateral absence of brachioradialis, biceps, triceps, patellar and achilles reflexes and downward plantar reflex. On admission he scored 15 on the National Institute of Health’s Stroke Scale (NIHSS) and 5 on the modified Rankin Scale (mRS) (0 corresponds to no symptoms on both scales). The patient suffered from flatulence and also had a urinary catheter inserted in Acute Admissions. His ECG showed sinus rhythm with no signs of ischaemia. Blood tests showed normal haematological parameters, myocardial infarction markers, electrolytes and other kidney and liver functions. The patient’s previous history included hypertension, hypercholesterolaemia and a myocardial infarction which was treated with stent implantation. He normally used acetylsalicylic acid 75 mg, clopidogrel 75 mg, metoprolol 50 mg, valsartan 80 mg and simvastatin 40 mg, all taken once a day.

    Because of the pronounced paresis, his condition during the admission phases was regarded as a possible stroke. The concomitant chest pain might be a symptom of myocardial infarction, however, and we considered the possibility of a stroke induced by cardiac embolism. Thoracic aortic dissection was also considered as a possible cause of the patient’s symptoms. Normal ECG findings and two sets of normal myocardial infarction markers led to our excluding myocardial infarction as a causal factor. Pulse and blood pressure that were the same in both arms, plus a normal ECG, also made aortic dissection less probable. However, the possibility could not be excluded without appropriate diagnostic imaging (1, 2).

    Hemiparesis affecting face, arm, and sometimes leg is consistent with cranial infarction in the middle cerebral artery’s supply area. However, the cranial nerve examination was normal for this patient, and paresis of the right arm and leg were swiftly followed by paresis of the left arm and leg. The impairment could fit a cerebral infarction corresponding to the internal capsule (area that includes the basal nuclei and capsula interna) on both sides. Individual lesions that cause tetraparesis must be located in the midline, either parasagittally between the cerebral hemispheres, in the brain stem or in the cervical part of the spinal column. Our patient had an impaired sense of pain and temperature, which indicated affection of the spinothalamic system which lies anterolaterally in the spine, while the vibratory and proprioceptive sense indicated that the fasciculus gracilis and fasciculus cuneatus located dorsally in the spinal cord were intact. In addition the patient had reduced strength in all four limbs, but no cranial nerve impairment, consistent with bilateral pyramidal pathway affection. The pyramidal pathways cross the midline in the pyramid in the medulla oblongata and then run ventrally in the cervical part of the spinal cord. When all the findings were considered together, this fitted best clinically with affection of the anterior part of the cervical spinal cord. The extension of the pareses is illustrated in Fig. 1.

    Figure 1  a) The extension of the patient's neurological impairment shown in yellow and b) a section of the spine with blood…
    Figure 1 a) The extension of the patient's neurological impairment shown in yellow and b) a section of the spine with blood supply and neural pathways

    After examination in Acute Admissions, a CT of the brain with angiogram of the neck arteries and intracerebral vessels was performed according to the thrombolysis protocol. Native CT of the brain was normal, but the angiogram revealed a subtotal stenosis in the right subclavian artery just after it comes off the brachiocephalic trunk.

    Stenosis in the subclavian artery proximally of the vertebral artery may cause a fall in pressure and retrograde flow in the ipsilateral vertebral artery (subclavian-steal phenomenon). This haemodynamic phenomenon may lead to a reduced blood supply to structures in the posterior cranial fossa, and clinically cause symptoms of posterior circulation such as dizziness, dysarthria, dystaxia, diplopia and falling, as well as ischaemia in ipsilateral arm, i.e subclavian steal syndrome (3). Although this can theoretically lead to haemodynamic changes in the blood circulation of the anterior part of the spinal cord, it is unusual for the cervical spinal cord to be affected (4).

    A CT was then performed of the total aorta (including CT arteriography of the chest cavity, abdomen and pelvic vessels). A normally calibrated aorta was found with no evidence of aneurismatic expansion or dissection. A supplementary diffusion-weighted MRI scan of the brain showed no signs of acute infarctions. When examining the CT images of the total aorta, the radiologist also considered the cervical section, without finding signs of pathology. While the patient was in the Radiology Department, the strength in his right arm and leg improved. The junior registrar in neurology described how the patient was now able to bend and stretch his knee, but was still unable to raise his leg up from the subsurface or move the ankle.

    Although there was a slight improvement, the patient still had pronounced neurological impairment. The patient's history of illness and the clinical findings fitted with an acute infarction in the upper cervical part of the spinal cord (anterior spinal artery syndrome). We therefore decided that thrombolysis might be appropriate.

    At this time there were no known contraindications for thrombolysis, and because of our strong suspicion of an acute infarction in the anterior cervical spinal cord we decided to give the patient this treatment. Alteplase (Actilyse) 0.9 mg/kg/kg were therefore administered 4 hours and 20 minutes after symptom onset.

    Today the treatment window for thrombolytic treatment of acute cerebral infarction is 4.5 hours, but the earlier the treatment starts, the better the result and prognosis (5). It is therefore important to determine indications and contraindications as soon as possible. No contraindications according to the National Guidelines for Cerebral Infarctions, SITS criteria and criteria for treating myocardial infarction were found for this patient (5) – (8). Some case reports have reported thrombolysis as being effective in the acute phase of anterior spinal artery syndrome (9, 10) but no randomised studies or guidelines for such treatment exist today. Although it was not a matter of a cerebral infarction in this patient, there was suspicion of anterior spinal artery syndrome, which may be perceived as infarction in the posterior circulation. We therefore chose to administer treatment on the basis of current guidelines for thrombolysis in cases of cerebral infarction.

    After thrombolysis the patient was placed in the Department of Neurology, and an MRI scan of the spinal cord was planned. Because of the time window for starting thrombolysis, an MRI of the spinal cord was not performed in advance. However, in the department the pareses in the right upper and lower limb increased, and it was decided to perform an acute MRI of the spinal cord and a further MRI of the brain. The MRI of the brain was still normal, but the MRI of the spinal cord showed congestion consistent with epidural haematoma located dorsally on the left side from the 3rd to the 7th cervical level. On images, the spinal cord is considerably compressed at the 4th and 5th cervical level (Fig. 2 a-c).

    Figure 2  Epidural haematoma with mass effect on different MRI sequences a) and b) axial sections and c) sagittal section,…
    Figure 2 Epidural haematoma with mass effect on different MRI sequences a) and b) axial sections and c) sagittal section, slightly parasagittaly to the left

    The patient’s symptoms and clinical findings were still perceived as a classic case of anterior spinal artery syndrome, and the haematoma discovered on the MRI images was assumed to be the cause (11). The syndrome presents clinically in the form of acute tetra- or paraparesis, impaired pain and temperature sense, rectal and bladder paresis, but preserved vibratory and proprioceptive sense. The anterior spinal artery syndrome is due to occlusion or compression of the anterior spinal artery or branches thereof (4, 10, 12).

    After the MRI scan, the patient was improving again. He had normal strength in both shoulders, slightly impaired strength (grade 3 – 4) in both elbows, but almost no strength in his wrists and fingers. He had become paralysed in the left lower limb and right ankle, but now managed to raise his right lower limb from the subsurface, and to bend and stretch his right knee.

    Despite fluctuation in his symptoms, the patient still had serious neurological impairments, and they were more pronounced after thrombolysis. We considered it probable that anterior spinal artery syndrome was due to the epidural haematoma, but it was uncertain whether the thrombolysis had caused the haemorrhage or possibly led to expansion of the haematoma. A neurosurgeon was called to decide on further treatment.

    A neurosurgeon was contacted and the patient underwent surgery the same day. The epidural haematoma was evacuated by means of left-side haemilaminectomy from and including the arch of C3 to C6. The surgery took place without complications. No pathological vascular structures were found peroperatively. A post-operative MRI of the collum with intravenous contrast showed that the haematoma had been removed, the spinal cord was located centrally and no oedema or increase in the volume of the spinal cord had occurred. Nor did the MRI reveal any signs of vascular pathology in the spinal canal. The haematoma was therefore interpreted as being a spontaneously occurring epidural haematoma.

    The day after the operation the patient was able to move all four limbs, and five days after the operation he had recovered normal strength in his upper and lower limbs and was able to walk without aids. The rectal paresis had receded, but he had sequelae in the form of urine retention and needed clean intermittent catheterisation. At the time of discharge he had a normal NIHSS of 0, and his mRS was1 (normal values are 0 on both scales).

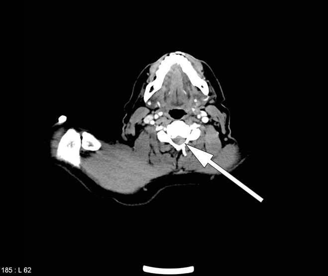
    The CT scan of the total aorta on admission, prior to thrombolysis, was initially interpreted as normal, apart from a subtotal stenosis in the subclavian artery. However, a new examination of cervical sections with some change in the grey-tone scale (window/level) revealed that the epidural haemorrhage was already visible before the thrombolysis (Fig. 3).

    Figure 3  CT image which with retrospective interpretation was found to show the epidural haematoma at the time of admission
    Figure 3 CT image which with retrospective interpretation was found to show the epidural haematoma at the time of admission
    Discussion

    Discussion

    The anterior spinal artery is formed at the foramen magnum from two radicular branches extending from the left and right vertebral arteries. Fig. 4 shows the course of the artery as it continues caudally on the surface of the anterior portion of the spinal cord. It is supplied by 6 – 8 radicular arteries and in the lower thoracic or upper lumbar level by the great radicular artery, also known as the artery of Adamkiewicz (4). The anterior spinal artery syndrome is due to occlusion or compression of the anterior spinal artery or branches thereof (4, 10, 12).

    Figure 4  a) An overview of the blood supply to the spine in the sagittal plane and b) the cervical part of the anterior…
    Figure 4 a) An overview of the blood supply to the spine in the sagittal plane and b) the cervical part of the anterior blood supply to the spine in frontal view. Radicular arterial branches that supply the anterior spinal artery can be seen

    The most common causes of occlusion or compression of the anterior spinal artery are atherosclerosis, pathological conditions in the aorta, cardiac embolism or compression of the artery as a result of degenerative disc disease or space-occupying lesions in the spinal canal (13, 14). In our patient, the condition was probably caused by an external dorsal pressure from the spontaneous epidural haemorrhage, which led to pinching of the cervical part of the artery. Anterior spinal artery syndrome can often be diagnosed with the aid of the history of present illness and neurological examination, but diagnostic imaging is usually necessary to find the cause. It is especially important to exclude haemorrhages due to arteriovenous malformations, aneurisms or spontaneous haemorrhages if thrombolysis is being considered. A differential diagnosis that may be confused with anterior spinal artery syndrome is acute inflammatory polyradiculitis, or Guillain-Barré syndrome (10, 15). In addition to areflexia, patients with this condition are also expected to present with paresthesia distally in the limbs, followed by rapidly and symmetrically increasing muscular weakness.

    Spontaneous spinal epidural haematomas occur most frequently dorsally in the spinal canal, and may have differing clinical outcomes depending on their location (16). There is normally acute, knife-like back pain followed by paraparesis or tetraparesis, and various types of sensory impairment (16). Radicular pain and/or unilateral impairment are not unusual either, and may lead to misdiagnosis of the condition as prolapse or cerebral infarction (16) – (18). Dorsal spinal epidural haematomas inducing anterior spinal artery syndrome occur rarely, but have been described previously (11). In theory, any intraspinal expansion can compress the anterior spinal artery, and thus induce this syndrome.

    With this patient, there was no time for further diagnostic imaging with MRI scans of the spinal cord before the time window of 4.5 hours had elapsed. At the time we found no contraindications for thrombolysis, and we chose to administer this treatment on suspicion of acute spinal cord infarction. The effect of thrombolysis in cases of spinal cord infarction has been described before in case reports, but there is a lack of randomised, controlled studies (9, 10). No guidelines for this treatment have been drawn up yet either. Although it is not established practice, we believe that the treatment can be attempted in some cases in accordance with currently applicable guidelines for thrombolysis of cerebral infarction.

    Retrospective scrutiny of the CT total aorta showed that the epidural haemorrhage was already present before the thrombolysis (Fig. 3). It is therefore probable that this patient’s anterior spinal artery syndrome was caused by the epidural haemorrhage, and that the haemorrhage was not a complication caused by the treatment. It is possible, nonetheless, that it caused expansion of the haematoma. The fact that the patient experienced a transient improvement after the thrombolysis is difficult to explain, but may be due to the treatment causing the haematoma to spread in the epidural space, thereby slightly decompressing the spinal cord. The improvement was brief, and the patient rapidly deteriorated after thrombolysis. When the epidural haematoma was discovered, intervention took place swiftly. With haematomas that exert pressure on the spinal cord and cause neurological impairment, the prognosis depends on rapid surgical decompression (16, 19).

    Our patient made an almost full recovery. Patients who have suffered spinal cord infarction are more often discharged to their homes than patients with cerebral infarction, but patients who have suffered anterior spinal artery syndrome often have a greater or lesser degree of neurological sequelae nonetheless (13, 14, 20, 21). The reason that patients with spinal cord infarction are more often discharged to their homes than patients with cerebral infarction may be that spinal cord infarctions do not cause cognitive impairment, and that the patients are generally younger than patients with cerebral infarction (22).

    In the event of suspected acute spinal cord infarction, an MRI of the spinal cord should be performed as a first-line examination in order to obtain the fastest possible diagnostic clarification (19). An MRI scan is also important for excluding contraindications for thrombolysis. CTs are not appropriate for revealing infarction changes in the medulla but may, as in the present case, show space-filling processes which exert pressure on the medulla, and CT angiography can reveal intraspinal vascular malformations.

    Comments  ( 0 )
    PDF
    Print

    Recent Articles