En mann i 60-årene med brystsmerter og pareser

    ()

    sporsmal_grey_rgb
    Artikkel

    En mann i 60-årene ble innlagt med akutte bryst- og nakkesmerter og omfattende nevrologiske utfall. Han hadde uttalte pareser i alle ekstremiteter og utslukkede reflekser bilateralt, men ingen hjernenerveutfall. Det hastet med igangsetting av behandling, men årsaken til pasientens symptomer viste seg å være uvanlig.

    En mann i 60-årene våknet av akutt innsettende bryst- og nakkesmerter. En halv time etter smertedebut utviklet han uttalte pareser i venstre arm og bein og like etter også uttalte pareser i høyre arm og bein. Ved innkomst på sykehuset hadde han blodtrykk på 90/44 mm Hg både på høyre og venstre overarm og temperatur 35,9 °C. Pulsen var regelmessig med 46 slag/min og med normal fylde i begge lysker, ved håndledd, over fotrygger og bak mediale malleoler. Det var normale funn ved undersøkelse av hjerte, lunger og abdomen. Det var ingen hjernenerveutfall ved nevrologisk undersøkelse. Han klarte imidlertid bare så vidt å løfte armene opp fra underlaget, greide ikke å løfte beina og heller ikke å bevege ankelleddene. Han hadde normal vibrasjonssans og leddsans i alle fire ekstremiteter. Sensibilitet for berøring var også normal, mens smerte- og temperatursansen var sterkt nedsatt i overekstremitetene og fraværende i underekstremitetene. Det var bilateralt utslukkede brachioradialis-, biceps-, triceps-, patellar- og akillessenerflekser og nedadvendt plantarrefleks. National Institutes of Health Stroke Scale (NIHSS) ved innkomst var 15, og modified Rankin Scale (mRS) var 5 (0 tilsvarer ingen symptomer på begge skalaene). Pasienten var ikke i stand til å holde på flatus og fikk også innlagt urinveiskateter i akuttmottaket. EKG viste sinusrytme uten tegn til iskemi. Blodprøver viste normale hematologiske parametre, hjerteinfarktmarkører, elektrolytter og øvrige nyre- og leverfunksjonsprøver. Pasientens tidligere sykehistorie inkluderte hypertensjon, hyperkolesterolemi og et hjerteinfarkt som var behandlet med innsetting av stent. Han brukte til vanlig acetylsalisylsyre 75 mg, klopidogrel 75 mg, metoprolol 50 mg, valsartan 80 mg og simvastatin 40 mg, alle dosert en gang daglig.

    På grunn av de uttalte paresene ble tilstanden i innleggelsesfasen vurdert som et mulig hjerneslag. De samtidige brystsmertene kunne imidlertid være symptomer på hjerteinfarkt, og vi overveide muligheten for hjerneinfarkt forårsaket av kardial emboli. Torakal aortadisseksjon ble også vurdert som en mulig årsak til pasientens symptomer. Normale funn på EKG og to sett normale hjerteinfarktmarkører gjorde at vi utelukket hjerteinfarkt som årsak. Sidelik puls og sidelikt blodtrykk på begge armer, i tillegg til normalt EKG, gjorde også aortadisseksjon mindre sannsynlig. Dette kunne imidlertid ikke utelukkes uten adekvat bildediagnostikk (1, 2).

    Hemiparese som omfatter ansikt, arm og eventuelt bein er forenlig med hjerneinfarkt i a. cerebri medias forsyningsområde. Hos denne pasienten var det imidlertid normal hjernenerveundersøkelse, og paresen i høyre arm og bein ble raskt etterfulgt av parese i venstre arm og bein. Utfallene kunne passe med hjerneinfarkt svarende til kapselkjerneområdet (området som omfatter de basale kjerner og capsula interna) på begge sider. Enkeltlesjoner som forårsaker tetraparese må være lokalisert i midtlinjen, enten parasagittalt mellom storhjernehemisfærene, i hjernestammen eller i den cervikale del av ryggmargen. Vår pasient hadde nedsatt smerte- og temperatursans som indikerte påvirkning av det spinotalamiske system som ligger anterolateralt i ryggmargen, mens vibrasjons- og leddsansen indikerte at bakstrengsbanene som ligger dorsalt i ryggmargen var intakte. I tillegg hadde pasienten nedsatt kraft i alle fire ekstremiteter, men ingen hjernenerveutfall, forenlig med bilateral pyramidebaneaffeksjon. Pyramidebanene krysser midtlinjen i pyramiden i medulla oblongata og forløper deretter ventralt i ryggmargens cervikale del. Når man sammenholdt alle funnene, passet dette klinisk best med påvirkning av fremre del av den cervikale ryggmarg. Utbredelse av lammelsene illustreres i figur 1.

    Etter undersøkelse i akuttmottaket ble det i tråd med trombolyseprotokoll utført CT av hjernen med angiografi av halskar og intracerebrale kar. Nativ CT av hjernen var normal, men angiografien avdekket en subtotal stenose i høyre a. subclavia like etter avgangen fra truncus brachio-cephalicus.

    Stenose i a. subclavia proksimalt for a. vertebralis kan medføre trykkfall og retrograd blodstrøm i ipsilaterale a. vertebralis (subclavian steal-fenomen). Dette hemodynamiske fenomenet kan føre til redusert blodtilførsel til strukturer i bakre skallegrop, og klinisk forårsake bakre kretsløpssymptomer som svimmelhet, dysartri, dystaksi, diplopi og fall, samt iskemi i ipsilaterale arm, det vil si subclavian steal-syndrom (3). Selv om dette teoretisk kan føre til hemodynamiske endringer i blodsirkulasjonen til fremre del av ryggmargen, er det uvanlig at den cervikale delen av ryggmargen rammes (4).

    Deretter ble det utført CT av totalaorta (inkludert CT-arteriografi av brysthule, buk og bekkenkar). Det ble funnet normalkalibret aorta uten holdepunkter for aneurismatisk utvidelse eller disseksjon. Supplerende diffusjonsvektet MR-undersøkelse av hjernen viste ingen tegn til ferske infarkter. Ved granskingen av CT-bildene av totalaorta vurderte radiolog også det cervikale avsnitt, uten å finne tegn til patologi. Mens pasienten var på røntgenavdelingen skjedde det en bedring av kraften i høyre arm og bein. Nevrologisk assistentlege beskrev at pasienten nå klarte å bøye og strekke i kneleddet, men han klarte fremdeles ikke å løfte beinet opp fra underlaget eller bevege i ankelleddet.

    Selv om det ble en liten bedring, hadde pasienten fortsatt uttalte nevrologiske utfall. Anamnese og kliniske funn passet med et akutt infarkt i fremre cervikale del av ryggmargen (spinalis anterior-syndrom). Vi vurderte derfor at trombolytisk behandling kunne være aktuelt.

    Det forelå på dette tidspunktet ingen kjente kontraindikasjoner for trombolytisk behandling, og begrunnet i sterk mistanke om et akutt infarkt i fremre cervikale del av ryggmargen besluttet vi å gi pasienten slik behandling. Alteplase (Actilyse) 0,9 mg/kg ble derfor gitt intravenøst 4 t og 20 min etter symptomdebut.

    I dag er behandlingsvinduet for trombolytisk behandling ved akutt hjerneinfarkt 4,5 t, men jo tidligere behandlingen igangsettes, desto bedre blir resultatet og prognosen (5). Det er derfor viktig å avklare indikasjon og kontraindikasjoner så raskt som mulig. Det ble ikke funnet kontraindikasjoner i henhold til Nasjonale retningslinjer for hjerneslag, SITS-kriterier og kriterier for behandling av hjerteinfarkt hos denne pasienten (5) – (8). I enkelte kasuistikker har det vært rapportert effekt ved trombolytisk behandling i akuttfasen av spinalis anterior-syndrom (9, 10), men det foreligger ingen randomiserte studier eller retningslinjer for slik behandling i dag. Selv om det ikke dreide seg om et hjerneinfarkt hos denne pasienten, var det mistanke om et spinalis anterior-syndrom som kan oppfattes som et infarkt i bakre kretsløp. Derfor valgte vi å gi behandling ut ifra gjeldende retningslinjer for trombolytisk behandling ved hjerneinfarkt.

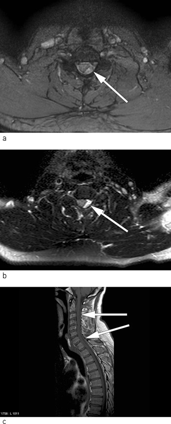
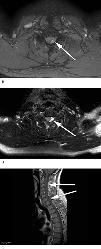
    Etter trombolytisk behandling ble pasienten innlagt i Nevrologisk avdeling, og det ble planlagt en MR-undersøkelse av ryggmargen. På grunn av tidsvinduet for igangsetting av trombolytisk behandling ble ikke MR av ryggmargen utført i forkant. På avdelingen ble imidlertid paresene i høyre over- og underekstremitet verre, og det ble besluttet å utføre MR-undersøkelsen av ryggmargen akutt, samt ny MR av hjernen. MR av hjernen var fortsatt normal, men MR av ryggmargen viste en oppfylling forenlig med epiduralt hematom beliggende dorsalt på venstre side fra 3. til 7. cervikale nivå. På bildene er ryggmargen betydelig komprimert i 4. og 5. cervikale nivå (figur 2 a-c).

    Pasientens symptomer og kliniske funn ble fortsatt oppfattet som et klassisk spinalis anterior-syndrom, og hematomet som ble oppdaget på MR-bildene ble antatt å være årsaken (11). Syndromet presenterer seg klinisk ved akutt tetra- eller paraparese, nedsatt smerte- og temperatursans, rectum- og blæreparese, men bevart vibrasjons- og leddsans. Spinalis anterior-syndromet skyldes okklusjon eller avklemming av a. spinalis anterior eller grener av denne (4, 10, 12).

    Etter MR-undersøkelsen var pasienten på nytt i bedring. Han hadde normal kraft i begge skuldre, lett nedsatt kraft (grad 3 – 4) i  begge albuer, men nesten ingen kraft i håndledd og fingre. Han var blitt paralytisk i venstre underekstremitet og høyre ankel, men greide nå å løfte høyre underekstremitet opp fra underlaget, samt bøye og strekke i høyre kne.

    På tross av fluktuasjon i symptomene hadde pasienten fortsatt alvorlige nevrologiske utfall, og de var mer uttalte etter trombolytisk behandling. Vi vurderte det som sannsynlig at spinalis anterior-syndromet skyldtes det epidurale hematomet, men det var usikkert om den trombolytiske behandlingen hadde forårsaket blødningen eller eventuelt ført til ekspansjon av hematomet. Nevrokirurg ble tilkalt for å vurdere videre behandling.

    Nevrokirurg ble kontaktet og pasienten operert samme dag. Det epidurale hematomet ble evakuert via venstresidig hemilaminektomi fra og med buen av C3 til C6. Operasjonen forløp uten komplikasjoner. Det ble ikke funnet patologiske karstrukturer peroperativt. Postoperativ MR-undersøkelse av collum med intravenøs kontrast viste at hematomet var fjernet, ryggmargen hadde sentral plassering og det hadde ikke oppstått ødem eller volumøkning av ryggmargen. Det fremkom heller ikke tegn til patologiske kar i spinalkanalen ved MR-undersøkelsen. Hematomet ble derfor tolket som et spontant oppstått epiduralt hematom.

    Dagen etter operasjonen kunne pasienten bevege på alle fire ekstremiteter, og fem dager etter operasjonen hadde han gjenvunnet normal kraft i over- og underekstremitetene og kunne gå uten hjelpemidler. Rectumparesen var også gått tilbake, men han hadde sekvele i form av urinretensjon og behov for ren intermitterende kateterisering. Ved utskrivning hadde han normal NIHSS på 0 og mRS var 1 (normalverdier er 0 for begge skalaene).

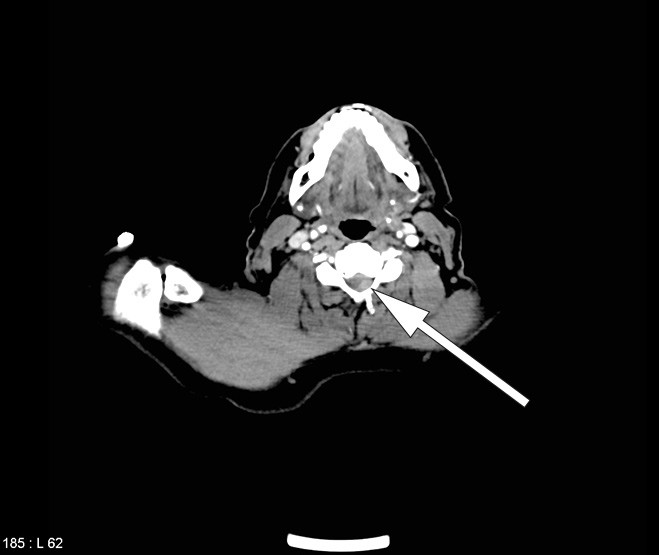
    CT-undersøkelsen som ble tatt av totalaorta ved innkomst før trombolytisk behandling, ble initialt tolket som normal, foruten en subtotal stenose i a. subclavia. Ved ny gransking av cervikale avsnitt med noe endring av gråtoneskalaen (window/level) fant man imidlertid at epiduralblødningen var synlig allerede før den trombolytiske behandlingen (fig 3).

    Diskusjon

    Diskusjon

    A. spinalis anterior dannes ved foramen magnum av to radikulære grener utgående fra venstre og høyre vertebralisarterie. Figur 4 viser arteriens forløp der den fortsetter i kaudal retning på overflaten av ryggmargens fremre del. Den forsynes av 6 – 8 radikulære arterier og i nedre torakale, eller øvre lumbale nivå forsynes den av a. radicularis magna, også kjent som Adamkiewiczs arterie (4). Spinalis anterior-syndromet fremtrer ved okklusjon eller avklemming av a. spinalis anterior eller en av dens radikulære arterier (4, 10, 12).

    De vanligste årsakene til okklusjon eller avklemming av a. spinalis anterior er aterosklerose, patologiske forhold i aorta, kardial emboli eller kompresjon av arterien som følge av degenerativ rygglidelse eller romoppfyllende lesjoner i spinalkanalen (13, 14). Hos vår pasient var tilstanden sannsynligvis forårsaket av et ytre dorsalt press fra den spontane epidurale blødningen som førte til avklemming av den cervikale delen av arterien. Spinalis anterior-syndromet kan ofte diagnostiseres ved anamnese og nevrologisk undersøkelse, men for å finne årsaken er bildediagnostikk vanligvis nødvendig. Det er spesielt viktig for å utelukke blødninger fra arteriovenøse malformasjoner, aneurismer eller spontane blødninger hvis trombolytisk behandling overveies. En differensialdiagnose som kan forveksles med spinalis anterior-syndromet, er akutt inflammatorisk polyradikulitt, kjent som Guillain-Barrés syndrom (10, 15). Foruten arefleksi forventer man ved denne tilstanden også parestesier distalt i ekstremitetene, etterfulgt av raskt økende og symmetrisk stigende muskelsvakhet.

    Spontane, spinale epidurale hematomer forekommer hyppigst dorsalt i spinalkanalen, og kan føre til ulike kliniske utfall avhengig av lokalisasjon (16). Vanligvis forekommer akutte, knivskjærende smerter i ryggen etterfulgt av paraparese eller tetraparese og ulike sensoriske utfall (16). Radikulære smerter og/eller halvsidige utfall er heller ikke uvanlig, og kan føre til at tilstanden feildiagnostiseres som prolaps eller hjerneinfarkt (16) – (18). Dorsale spinale epidurale hematomer som forårsaker spinalis anterior-syndrom er sjeldent, men tidligere beskrevet (11). I teorien kan enhver intraspinal ekspansjon avklemme a. spinalis anterior, og således forårsake dette syndromet.

    Hos denne pasienten var det ikke tid til ytterligere bildediagnostikk med MR-undersøkelse av ryggmargen før tidsvinduet på 4,5 t var nådd. På daværende tidspunkt fant vi ikke kontraindikasjoner for trombolytisk behandling, og vi valgte å gi slik behandling på mistanke om akutt infarkt i ryggmargen. Effekt av trombolytisk behandling ved infarkt i ryggmargen er tidligere beskrevet i kasuistikker, men randomiserte, kontrollerte studier mangler (9, 10). Per i dag er det heller ikke utarbeidet retningslinjer for slik behandling. Selv om det ikke er etablert praksis, mener vi at behandlingen i noen tilfeller kan forsøkes i henhold til gjeldende retningslinjer for trombolytisk behandling ved hjerneinfarkt.

    Retrospektiv gransking av CT totalaorta viste at epiduralblødningen var til stede allerede før den trombolytiske behandlingen (fig 3). Det er derfor sannsynlig at denne pasientens spinalis anterior-syndrom var forårsaket av epiduralblødningen, og at blødningen ikke var en komplikasjon til behandlingen. Likevel er det mulig at den førte til ekspansjon av hematomet. At pasienten fikk en forbigående bedring etter den trombolytiske behandlingen lar seg vanskelig forklare, men kan skyldes at behandlingen førte til spredning av hematomet i epiduralrommet og dermed en lett dekompresjon av ryggmargen. Bedringen var kortvarig, og pasienten ble raskt dårligere etter trombolytisk behandling. Da det epidurale hematomet ble oppdaget, ble operasjon raskt igangsatt. Ved hematomer som trykker på ryggmargen og fører til nevrologiske utfall, avhenger prognosen av rask kirurgisk dekompresjon (16, 19).

    Vår pasient ble tilnærmet fullt restituert. Pasienter som har gjennomgått spinale infarkter skrives oftere ut til hjemmet enn pasienter med hjerneinfarkt, men pasienter med gjennomgått spinalis anterior- syndrom vil likevel ofte ha nevrologiske sekveler i større eller mindre grad (13, 14, 20, 21). Grunnen til at pasienter med spinale infarkter oftere blir skrevet ut til hjemmet enn pasienter med hjerneinfarkt, kan være at spinale infarkter ikke medfører kognitive utfall og at pasientene generelt er yngre enn pasienter med hjerneinfarkt (22).

    Ved mistanke om akutt infarkt i ryggmargen bør MR av ryggmargen utføres som førstelinjeundersøkelse for raskest mulig diagnostisk avklaring (19). MR-undersøkelse er også viktig for å utelukke kontraindikasjoner mot eventuell trombolytisk behandling. CT er ikke egnet for å påvise infarktforandringer i medulla, men kan, som i dette tilfellet, fremstille romoppfyllende prosesser som øver trykk mot medulla, og CT-angiografi kan påvise intraspinale karmalformasjoner.

    Kommentarer  ( 0 )
    PDF
    Skriv ut

    Anbefalte artikler