Uncommon adverse effect of a common medication

    ()

    sporsmal_grey_rgb
    Article

    A woman in her fifties had been suffering for many years from iron deficiency anaemia as a result of unexplained heavy urinary iron loss (1). She had been receiving blood transfusions and intravenous iron supplements for 15 years, most recently in the form of large doses of iron (III) carboxymaltose.

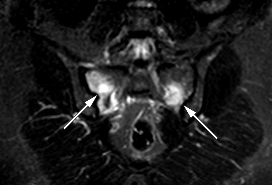
    The woman then gradually developed pain extending from the lower back to both gluteal regions. Blood tests revealed normal calcium, low phosphate and elevated ALP levels, PTH in the upper normal range, normal 25-OH vitamin D and 1,25-(OH)2 vitamin D values. MRI scans (STIR sequence) detected high signal changes in both sacral wings and later also on the ileal side, indicating substantial bone oedema (left image). There were radiolucent lines in the sacral wings which raised suspicion of bilateral insufficiency fractures. Full body scintigraphy showed increased uptake in the anterior section of the frontal bone on both sides of the midline, in several ribs, both sacroiliac joints and proximally in the left tibia.

    Hypophosphataemic osteomalacia secondary to intravenous supplements of saccharated ferric oxide has been described previously (2). The small, electrically almost neutral iron saccharides are filtered in the glomeruli and impede phosphate reabsorption in proximal renal tubules. They also impede 1-alpha-hydroxylase activity and exacerbate the osteomalacia by directly inhibiting bone formation.

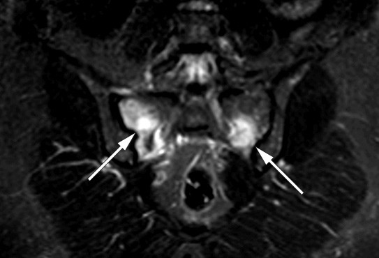
    Treatment consists of discontinuing iron saccharide supplements and optionally administering supplements of phosphate and vitamin D orally (2). Fortunately, the renal tubular dysfunction and osteomalacia appear to be reversible, but serious bone deformations may be permanent. At a check-up five months after termination of all iron supplements, the patient was recovering. MRI showed regression of pathological changes (right image). However, the patient still needs treatment for iron deficiency anaemia and is now receiving a different type of iron supplement intravenously. Her need for transfusion varies somewhat, depending on how often she receives iron.

    The patient has consented to the publication of the article.

    Comments  ( 0 )
    PDF
    Print

    Recent Articles