The reality of war: wounded and fallen Norwegian soldiers in Afghanistan

    ()

    sporsmal_grey_rgb
    Abstract
    Background.

    Background.

    Norway has been contributing military forces to Afghanistan since 2001. The following is an overview of all combat-related injuries and deaths among Norwegian soldiers in the period from 2002 to 2010.

    Material and method.

    Material and method.

    All medical records for Norwegian military personnel in Afghanistan in the period to January 2011 were reviewed and those who died or were injured in combat were identified. The mechanism and anatomical region of the injury were registered and an injury severity score (ISS), revised trauma score (RTS) and probability of survival score were calculated. Deaths were classified according to military trauma terminology and were additionally assessed as either «non-survivable» or «potentially survivable».

    Results.

    Results.

    There were 45 injury incidents with nine deaths among 42 soldiers. The injury mechanism behind seven of the deaths was an improvised explosive device (IED). All injuries resulting in deaths were «non-survivable». Seven soldiers were severely injured. The mechanisms were bullet wounds, IED, splinters from grenades and landmine explosions. Twenty nine incidents involving 28 soldiers resulted in minor injuries. The most frequent mechanism was ricochet or splinter injury from shooting or an exploding grenade.

    Interpretation.

    Interpretation.

    The majority of conflict-related injuries in Afghanistan were due to explosions. The mechanism and anatomical distribution of the injuries was the same among Norwegian soldiers as among allies. The deaths were due to extensive injuries that were non-survivable.

    Article

    On 1 October 2001, US forces launched an attack on the Taliban regime in Afghanistan. Norway contributed mine-clearance personnel, special forces, transport aircraft and F-16 combat aircraft (1). In December 2001, the UN Security Council voted to establish a military force, the International Security Assistance Force (ISAF). NATO took over command of the ISAF force in December 2002. Since that time, Norway has been contributing personnel to this force, and this contribution still continues (2).

    In Afghanistan, many Norwegian soldiers are exposed to situations that entail a considerable risk of injury. Threats include, in particular, improvised explosive devices (IEDs, see Figure 1) and attacks from hostile forces using rifles and rocket-propelled grenades (RPGs, see Figures 2 and 3).

    Figure 1:  Vehicles with varying degrees of armouring that have been exposed to IEDs. Personal injuries may include major…
    Figure 1: Vehicles with varying degrees of armouring that have been exposed to IEDs. Personal injuries may include major lesions, lacerations and amputations. The direction of the force of the explosion may be unpredictable and depends on the construction of the IED. A lightly injured person may have been seated next to someone who was killed. The size of the charge and the construction of the vehicle are key factors with regard to injuries to personnel. a) Example of large damage to a vehicle caused by an IED. b) Example of shrapnel damage to a vehicle caused by an IED. Both photos: Norwegian Armed Forces.
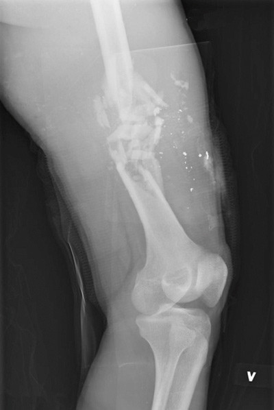
    Figure 2:  X-ray of a thigh injury with a fracture and fragments from a high-velocity projectile from a rifle. The…
    Figure 2: X-ray of a thigh injury with a fracture and fragments from a high-velocity projectile from a rifle. The projectile is fully mantled and allowed by the rules of war, but it fragments and causes extensive cavitation injuries when hitting a bone. Photo: Norwegian Armed Forces.
    Figure 3  An RPG (rocket-propelled grenade) is a rocket-propelled, explosive projectile. It is launched from a hand-held…
    Figure 3 An RPG (rocket-propelled grenade) is a rocket-propelled, explosive projectile. It is launched from a hand-held tube or from a holder on a rifle, explodes on impact and is intended for penetration of vehicles. The projectile releases shrapnel and causes large cavitation injuries when hitting a person. Photo: Wikipedia Commons, Wikipedia.org.

    Like the conflict in Iraq, the war in Afghanistan has resulted in a large number of injuries and casualties among Western soldiers. Since 2004, the details of injuries and deaths among US and British soldiers have been catalogued in a separate trauma registry, called the Joint Theatre Trauma Registry (JTTR) (3). To date, Norwegian soldiers have not been officially and fully included in this registry, and data on injuries inflicted on Norwegian soldiers in combat in Afghanistan have therefore not been easily available. Medical details of injuries sustained by Norwegian soldiers have previously never been presented. We wished to undertake a medical registration of combat-related injuries and deaths, to be able to compare the injury panorama of Norwegian soldiers with that of US and British soldiers in Afghanistan.

    Material and method

    Material and method

    A medical record is established for all those who serve in the Norwegian Armed Forces, irrespective of whether any injuries or diseases occur. The records of all those who had served in Afghanistan from 1 January 2002 to 31 December 2010 were reviewed. The Norwegian Armed Forces Medical Services requested an assessment of the legal basis for gaining access to the patient records from the Norwegian Board of Health Supervision, in the context of a study commissioned to the Norwegian Armed Forces by the Minister of Defence. The study included a manual review of all journals, with a view to providing knowledge on the scope of injuries, diseases and deaths occurring during service in Afghanistan. Access to the records was granted, with reference to the need for health assistance to the patients. In other words, the Norwegian Defence Medical Services committed themselves to ensuring that any required health assistance was provided if such needs were discovered. All those whose records were reviewed were given written notification. This work resulted in a report (4). To collect detailed medical information on combat-related injuries (with the exception of hearing loss) and deaths, all records were given an additional review by two of the authors (PI and BÅR).

    «Combat-related» was defined as occurring during combat with a military adversary. The mechanism of injury was registered for all combat-related injuries and deaths. Furthermore, the injuries were coded according to the Abbreviated Injury Scale (AIS) (5). The total degree of injury, the Injury Severity Score (ISS), was estimated by a co-author who is certified for AIS coding (BÅR). The Revised Trauma Score (RTS) (7) was registered and the probability of survival was estimated with the aid of the Trauma-Injury Severity Score (TRISS) method (8). To be able to compare our findings, the injuries and deaths were registered according to international terminology (9): «Killed in action» (KIA) describes combat-related deaths that occur before the soldier arrives at a treatment facility with capacity for life-saving emergency surgery. «Died of wounds» (DOW) describes deaths that occur after arrival at a treatment facility with capacity for life-saving emergency surgery. «Wounded in action» (WIA) describes combat-related injuries. «Return to duty» (RTD) describes combat-related injuries that are so slight that the soldier can return to normal service within 72 hours. Furthermore, all injuries that caused deaths, as well as the circumstances around these, were assessed as either non-survivable (NS) or potentially survivable (PS).

    Results

    Results

    During this period, Norwegian soldiers completed 4 876 service years in Afghanistan. We reviewed a total of 6 938 medical records. Among these 6 938 soldiers we registered 45 injury incidents involving a total of 42 soldiers, whereof nine deaths. One soldier was injured on two occasions and perished in a third incident.

    All the nine casualties were KIA, and none DOW. For seven of the nine deaths the mechanism was IED, one death occurred after a direct hit with an RPG, and one after gunshot injuries. All injuries that caused deaths were assessed as NS.

    Seven soldiers were severely wounded. For four of these soldiers the mechanism was gunshot injuries, whereas the other three were injured by an IED, shrapnel from detonating mines and shrapnel from an RPG respectively. Some of these soldiers sustained injuries in several anatomical regions. Of these seven soldiers, two sustained facial injuries, five were injured in the torso, and three in the extremities. The median ISS was 26 (range: 5 – 35), the median RTS was 7.84 (range: 5.15 – 7.84), and the median estimated probability of survival was 0.97 (range: 0.71 – 0.99).

    Altogether 28 soldiers sustained light injuries in a total of 29 incidents. Mechanisms included shrapnel or ricochets from gunshots or grenades in 22 incidents, whereof two also included burns, IEDs were involved in six incidents, and in one case a soldier was injured in a stone-throwing incident. Many of the soldiers were injured in several anatomical regions, with injuries distributed as follows: head – nine; face – three; chest – four; abdomen – one; back – one; upper extremities – twelve; lower extremities – twelve. None had an ISS in excess of 5, and none had a reduced probability of survival.

    Discussion

    Discussion

    This is an epidemiological description of the physical injuries sustained by Norwegian soldiers during combat in Afghanistan. We found that most of the deaths had been caused by exploding IEDs, and that most of the combat-related injuries were slight. The extremities were most frequently affected. Our absolute figures for combat injuries and casualties in Afghanistan are so low that a statistical comparison with figures from the US is impossible. As of 16 November 2011, a total of 1 439 combat-related deaths and 14 837 combat-related injuries had been registered among US soldiers in Afghanistan since 2001 (11). We found that the mechanisms and locations of injuries among Norwegian soldiers were identical to those previously reported for US soldiers (12, 13, 14).

    The Revised Trauma Score, which is a weighted estimate of respiration frequency, systolic blood pressure and the Glasgow Coma Scale (7), showed that these values were relatively low at arrival at the surgical facility. The TRISS values indicated that the probability of survival was not significantly reduced for most of them, while one soldier had an approximately 30 per cent reduced probability of survival. Commonly, a patient is classified as severely injured if the ISS exceeds 15, and traffic-accident victims with an ISS of 16 and higher have a considerably increased mortality (15). We chose to include three patients with ISS scores of 5, 10 and 11 respectively in a group described as severely injured soldiers. The remaining soldiers in this group had ISS scores above 26. To describe whether a patient was severely injured or not, we used values such as physiological observations and degree of haemorrhaging, in addition to an anatomical classification. It has been documented that the ISS system is not equally well suited to describe the degree of severity and prognosis for penetrating trauma as it is for blunt trauma (16). We have described how 28 patients sustained lighter injuries with an ISS score under 5 and no reduced probability of survival. We have not examined how many of these were able to return to duty within 72 hours, since Norway follows a practice of not returning soldiers to duty immediately after having been injured. Our group of slight injuries will therefore not correspond to the American concept of RTD.

    US figures show that the proportion of soldiers who are killed in action but potentially could have survived amounts to 20 – 30 per cent. Of these, approximately 75 per cent die before arrival at a surgical facility, and 25 per cent after arrival (12). The concept of «potentially survivable» is used in military traumatology, and is comparable to the civilian «preventable death». In addition to a medical assessment of whether the injury in theory could be survivable, it also includes an assessment of whether local combat circumstances have rendered treatment or evacuation impossible (10). Any registered death after a potentially survivable injury should give rise to a critical review of the initial treatment of the patient. If the death occurs after arrival at a surgical facility, this facility should also be made subject to review. No Norwegian soldiers died of injuries that were potentially survivable. Approximately five per cent of all soldiers who fall in combat die after arrival at a surgical facility (9). All fallen Norwegian soldiers died before arriving at a surgical facility.

    There are many reasons for undertaking medical research during wars. HSE efforts for soldiers in combat may appear impossible, but detailed registration of injuries has proven to help produce innovations that improve the protective gear and general combat tactics of soldiers (17). The JTTR registry continuously collects all data concerning mechanisms of injury, physiological findings, diagnostic studies, therapeutic measures and treatment outcomes for all injured and fallen soldiers. As of November 2011, a search in PubMed using the search term «combat injury» results in more than 2 000 hits, whereof approximately 1 250 publications are related to Afghanistan or Iraq. In the majority of these, the data are taken from the JTTR registry. Registration of patient pathways and outcomes of treatment of soldiers have provided new knowledge which is directly transferable to the treatment of civilian trauma patients. Knowledge from this registry has given rise to changes in the principles of fluid therapy for severe burn victims and to the introduction of protocols for massive blood transfusion in cases of severe injury in the civilian health services (18). In addition, registration of medical data is necessary for the monitoring and quality assurance of large and complex trauma systems (19).

    This study illustrates a weakness in the Norwegian Defence Forces’ system for documentation of war injuries to date: all the data were collected in a retrospective review of medical records, and not from a prospective trauma registry. A Norwegian implementation in the existing JTTR registry could provide better quality control of medical evacuation and treatment (20). As regards our reported findings, the information is relatively reliable, because the records contain all medical information assembled from the initial assessment and treatment, including notes from the various elements of the treatment chain, to patient histories from civilian Norwegian hospitals that have been responsible for the final treatment of the soldiers.

    Conclusion

    Conclusion

    In the period 2002 to 2010, 6 938 Norwegian soldiers completed a total of 4 876 service years in Afghanistan. Altogether 42 soldiers were injured in combat, whereof nine died. None of these died after a potentially survivable injury. The majority of the injuries were caused by explosions. The mechanism of injury and the anatomical distribution were identical to those of our allies.

    Comments  ( 0 )
    PDF
    Print

    Recent Articles