Young woman with lasting back pain

    ()

    sporsmal_grey_rgb
    Article

    A previously healthy Norwegian-Pakistani woman in her late 20s was hospitalised because of listlessness. She had had pain lower back pain for a year and had herself discovered a lump in her flank. On admission she was in slightly poor general condition and was tender to palpation over the lower part of her spine. A painful tumour was found in her right flank.

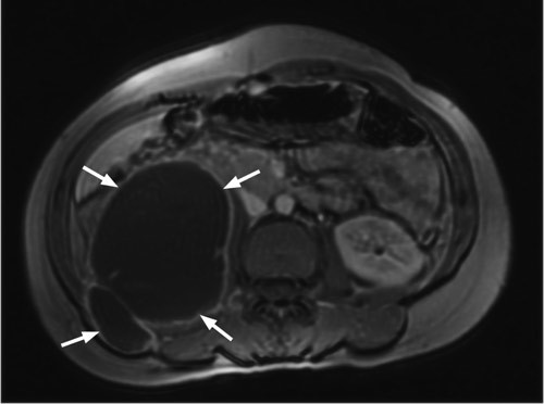
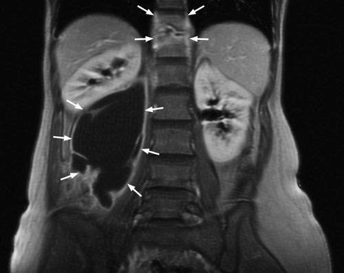
    She had an erythrocyte sedimentation rate of 49 mm/h. Other general blood tests, including an HIV test, were normal. Both chest X-ray and urine culture for mycobacteria were negative. MR abdomen revealed findings as for spondylodiscitis at level Th11/Th12 with a large depression abscess in the right m.psoas (left). The abscess measured approximately 14 cm craniocaudally and extended caudally to the level of the L5 corpus vertebrae. A section through the abscess is seen on the right. Microscopy of the abscess material revealed no findings of acid-resistant rods. Culturing and polymerase chain reaction revealed findings of Mycobacterium tuberculosis. About 350 ml pus was drained off and long-term tuberculostatic treatment was started. The woman is being monitored regularly through outpatient follow-up.

    Vertebral affection may be the first manifestation of tuberculosis. This is an important differential diagnosis, particularly in a patient who comes from a high endemic area, as was the case for this young woman. Common symptoms of vertebral tuberculosis are back pain, weight loss, fever and tiredness.

    The patient has consented.

    Comments  ( 0 )
    PDF
    Print

    Recent Articles