Cerebral arterial vasospasm

    ()

    sporsmal_grey_rgb
    Article
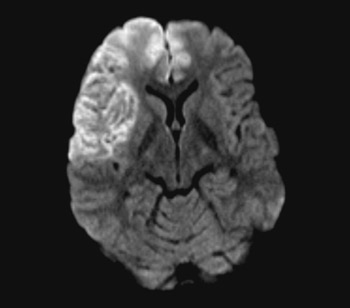
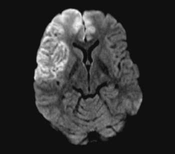
    			Figure 1
    Figure 1
    			Figure 2
    Figure 2
    			Figure 3
    Figure 3
    			Figure 4
    Figure 4

    A person in his 20s with known migraine with aura developed infarcts in the right middle cerebral artery and both anterior fields of supply (Figure 1 shows a magnetic tomography diffusion weighted series). Cerebral computed and magnetic tomography with magnetic resonance angiography (MRA) after admission showed normal blood flow and no sign of dissection or vasculitis. Hemicraniectomy became necessary after development of malignant cerebral oedema. MR angiography the first postoperative day showed open arteries (Figure 2 shows an open carotid top (white arrow), normal basilar top (red arrow), and a non-closed circle of Willis, an anatomically normal variant (stars). Testing for illegal drug use, anticardiolipins, anti-nuclear antibodies, neurone antibodies and tumour markers was negative. Transoesophageal echocardiography showed a minimally patent foramen ovale, according to a cardiologic evaluation unlikely to be related to the episode. The patient developed severe brain stem involvement and MR angiography showed narrowing of the posterior branch of the basilar artery (arrows in Figure 3). Arterial vessel spasms were suspected retrospectively. The first suspected vessel spasm, in the right – middle/anterior branch, remained undocumented. The second, in the posterior branch of the basilar artery, was documented postoperatively (arrows in Figure 3). Images of several newly developed infarcts in the posterior circulation are not shown. Three weeks after the hemicraniectomy the angiogram was normalised (Figure 4).

    The patient was taking one packet of loose snuff with 400 mg nicotine daily. Assuming that 30 % is absorbed, this amount of snuff corresponds to the nicotine content of 173 strong cigarettes. The risk of cerebral stroke is increased more than nine times by the combination of tobacco and migraine with aura. Vessel spasms are a suspected as a causal factor. Nicotine is a known vasoconstrictor, with provocation of vessel spasms both during use and with nicotine abstinence. We therefore suspect the high snuff intake, combined with underlying migraine with aura as the probable cause of cerebral arterial vessel spasms in the middle/anterior branch and the posterior branch of the basilar artery.

    The patient has given permission for the article to be published.

    Comments  ( 0 )
    PDF
    Print

    Recent Articles