Tarmsvikt ved lysosomal avleiringssykdom

    ()

    sporsmal_grey_rgb
    Artikkel

    Svikt i det enteriske nervesystemet kan ligge bak redusert tarmfunksjon ved sjeldne lysosomale avleiringssykdommer.

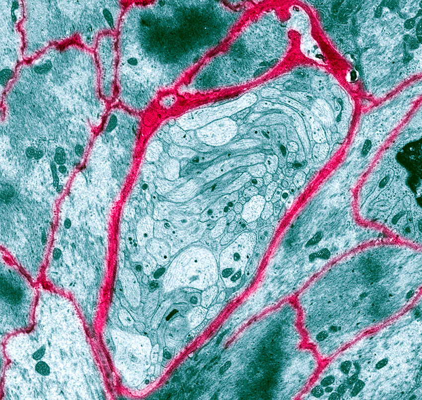
    Umyelinisert nervefiber i tarmen, observert gjennom transmisjonselektronmikroskop (TEM). Foto: Science Photo Library / NTB
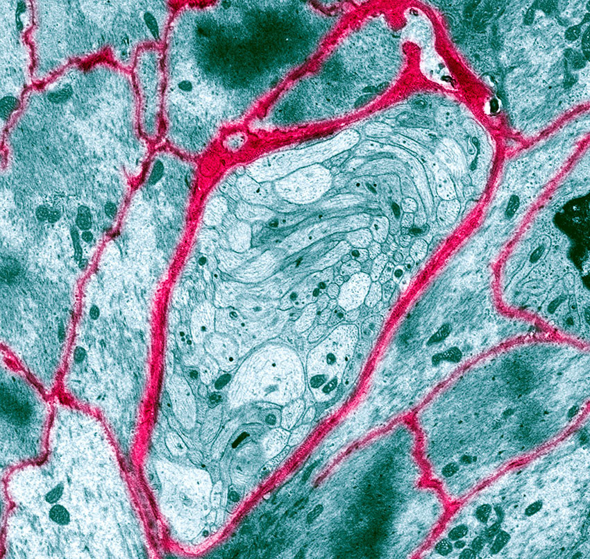
    Umyelinisert nervefiber i tarmen, observert gjennom transmisjonselektronmikroskop (TEM). Foto: Science Photo Library / NTB

    Tarmsvikt forekommer hyppig hos pasienter med lysosomal avleiringssykdom, en gruppe arvelige multiorgansykdommer som ofte affiserer sentralnervesystemet. I en ny studie ble tarmen og tarmfunksjonen i musemodeller for to sjeldne lysosomale avleiringssykdommer undersøkt (1). Ved å tilsette fargestoff i musefôret påviste forskerne at tarmpassasjen ble forsinket med musenes alder. Tarmbiopsier viste tilsynelatende normal utvikling av nettverket av nevroner i tarmveggen ved én måneds alder, mens biopsier tatt senere viste degradering av slike nevroner. Adenovirusassosiert genterapi av musene medførte redusert tap av nevroner, forbedret tarmfunksjon og forlenget levetid.

    – Tarmsymptomer ved lysosomal avleiringssykdom tilskrives ofte immobilitet og generell kroppssvekkelse, men den underliggende patofysiologien er i stor grad ukjent, sier Andreas Øberg, som er overlege ved Barneklinikken, Oslo universitetssykehus.

    – Dette gjør målrettet behandling vanskelig, selv om symptomene ofte har en alvorlig innvirkning på pasientens livskvalitet. De siste årene har det vært økt oppmerksomhet rundt betydningen av nettverket av nerveceller i tarmveggen for utviklingen av tarmsvikt ved lysosomale avleiringssykdommer, sier han.

    – Denne studien er et viktig bidrag til å forstå patofysiologien bak organskade utenfor sentralnervesystemet ved slike sykdommer, sier Øberg. Han fremhever både muligheter og utfordringer ved fremtidig adenovirusassosiert genterapi hos pasienter med lysosomal avleiringssykdom som affiserer organer utenfor sentralnervesystemet.

    Kommentarer  ( 0 )
    PDF
    Skriv ut
    Kommenter artikkel

    Anbefalte artikler