Aortitt utløst av granulocyttkolonistimulerende faktor (granulocyte-colony stimulating factor, G-CSF) er en sjelden, men relevant differensialdiagnose ved feber og forhøyede inflammasjonsmarkører hos pasienter som får G-CSF-støttet kjemoterapi.
En mann i slutten av 60-årene som var laparoskopisk prostataoperert ti år tidligere, og som også hadde hypertensjon og atrieflimmer, hadde fått påvist diffust storcellet B-cellelymfom i tungeroten. Det ble startet lymfombehandling med kjemoterapi bestående av rituksimab, syklofosfamid, doksorubicin, vinkristin og prednisolon (R-CHOP), samt granulocyttkolonistimulerende faktor med pegfilgrastim 6 mg subkutant på tredje dag i hver kjemoterapisyklus.
Tolv dager etter den første kuren ble han innlagt med feber, kroppssmerter og redusert allmenntilstand som hadde vart i to døgn. I akuttmottaket hadde han øretemperatur 38,5 °C, blodtrykk 132/75 mm Hg, pulsfrekvens 85/minutt, respirasjonsfrekvens 23/minutt og oksygenmetning på 96 % i romluft. C-reaktivt protein (CRP) var 104 mg/L (referanseverdi: < 5) og nøytrofile granulocytter var 12,6 ∙ 109/L (1,80–6,90). Han ble utredet uten funn av fokale infeksjonstegn, og det ble raskt startet intravenøs antibiotikabehandling med fenoksymetylpenicillin 1,2 g × 4 og gentamicin 4 mg/kg × 1 på mistanke om infeksjon med ukjent fokus.
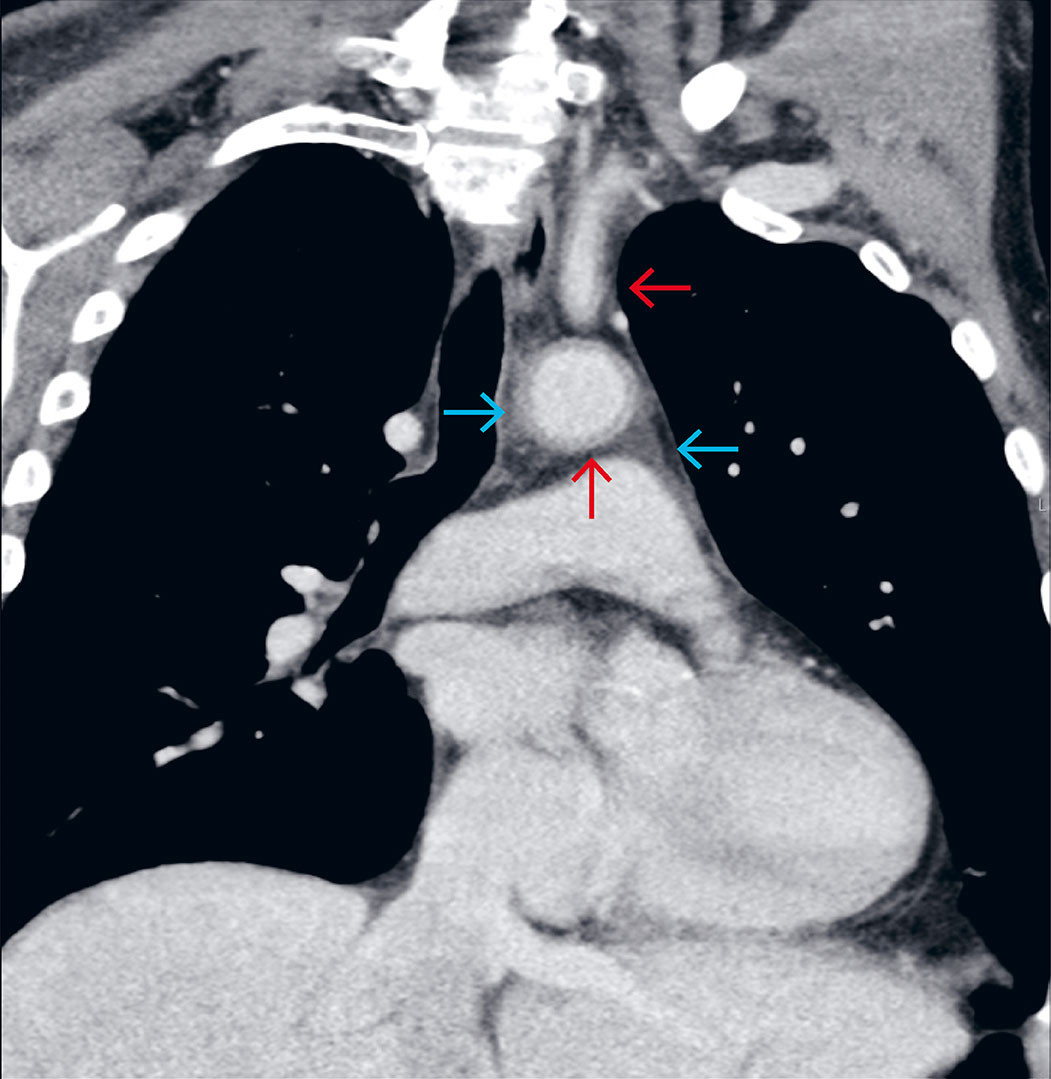
På grunn av manglende behandlingsrespons etter tre dager, ble antibiotika endret til intravenøs cefotaksim 2 g × 3 i kombinasjon med metronidazol 1,5 g × 1. På fjerde dag endret man igjen til intravenøs meropenem 1 g × 3 og vankomycin 1 g × 2. CRP-nivået hadde da steget til 331, og pasienten hadde fremdeles febertopper > 38,7 °C. Han rapporterte nå også om lettgradige brystsmerter, og ble vurdert som påfallende lite infeksjonspreget. Alle dyrkninger var negative, røntgen toraks var normalt og transtorakal ekkokardiografi viste ikke tegn til endokarditt. På fjerde dag ble det også gjort computertomografi (CT) med kontrastmiddel i portovenøs fase av toraks, abdomen og bekken som ledet til riktig diagnose. CT-undersøkelsen viste nemlig vaskulittforandringer i aorta og flere avgangskar (figur 1). G-CSF-utløst aortitt ble vurdert som sannsynlig diagnose, og etter en tverrfaglig diskusjon ble det startet peroral behandling med prednisolon 40 mg × 1. De neste dagene ble pasienten afebril, og CRP-nivået falt markant. Antibiotika ble seponert etter sju dager, og pasienten ble utskrevet i velbefinnende etter ti dager. Prednisolon ble trappet ned og seponert i løpet av tre måneder. Lymfomet ble vellykket behandlet med fire R-CHOP-kurer, etterfulgt av to kurer med kun rituksimab. Granulocyttkolonistimulerende faktor ble ikke gitt igjen etter første kur. To år etter behandlingsstart var det fremdeles ingen tegn til residiv av lymfom eller vaskulitt.
Diskusjon
Diffust storcellet B-cellelymfom er et høygradig lymfom som ofte responderer godt på kjemoterapi. Et vanlig problem under behandling er nøytropen feber (1). Granulocyttkolonistimulerende faktor gis for å redusere risikoen for alvorlige infeksjoner og dermed kunne opprettholde høy doseintensitet, noe som er avgjørende for behandlingsresultatet. Vanligvis gir granulocyttkolonistimulerende faktor lite bivirkninger. Storkarsvaskulitt er en sjelden bivirkning, med anslått forekomst fra ≥ 1/10 000 til < 1/1000 (2–6). Publiserte kasuistikker tyder på at tilstanden er vanligst hos kvinner (3), men noe av skjevheten kan forklares av en høy andel brystkreft og gynekologisk kreft i litteraturen. Pegylerte former av granulocyttkolonistimulerende faktor kan være sterkere assosiert med aortitt enn ikke-pegylert formulering (7–8).
Vaskulitt bør vurderes som differensialdiagnose hos pasienter med feber og forhøyede inflammasjonsmarkører etter G-CSF-behandling, særlig hvis antibiotikabehandling ikke har effekt. Median symptomdebut er åtte dager etter G-CSF-behandling (3). Smerter i nakke- og brystregionen forekommer, men er et uspesifikt symptom. Patogenesen er ukjent, men vi vet at granulocyttkolonistimulerende faktor gir en storstilt mobilisering av nøytrofile granulocytter (1, 9). En mulig mekanisme er derfor at et høyt antall sirkulerende nøytrofile og inflammatoriske cytokiner fra stimulerte myeloide celler induserer vaskulitt. Stor tumorbyrde har vært foreslått som risikofaktor (3), men dette var ikke tilfellet i denne kasuistikken.
Bildediagnostikk er avgjørende for å kunne stille diagnosen og hindre unødvendig antibiotikabehandling. Det var til slutt CT-undersøkelsen med kontrastmiddel i portovenøs fase som ledet oss til riktig diagnose. For målrettet utredning eller oppfølging av ekstrakraniell vaskulitt er positronemisjonstomografi med integrert CT
(PET/CT) eller magnetresonans (MR) mer egnede modaliteter (10). Malignitet og storkarsvaskulitt forekommer noen ganger samtidig, men det er oftere et tilfeldig sammentreff enn et paraneoplastisk fenomen. Reell paraneoplastisk vaskulitt affiserer vanligvis små og mellomstore kar, og forekommer oftere ved hematologisk kreft enn andre krefttyper (11). Paraneoplasi kan ikke utelukkes hos vår pasient, men vi mener granulocyttkolonistimulerende faktor overveiende sannsynlig var utløsende årsak. Øvrige utredningsprøver ga ikke holdepunkter for en underliggende revmatisk tilstand. Prednisolon ble trappet ned forholdsvis raskt sammenlignet med f.eks. behandling av temporalisarteritt. Betydningen av kortikosteroider i behandlingen av tilstanden er usikker, og man trenger mer kunnskap for å kunne håndtere den optimalt. I en systematisk oversiktsartikkel fra 2021 med 49 rapporterte tilfeller av G-CSF-indusert aortitt, fant man ingen signifikant forskjell i tid fra debut til remisjon med og uten kortikosteroidbehandling (3). Seponering av granulocyttkolonistimulerende faktor er viktig for å oppnå remisjon fra vaskulitt.
Pasienten har gitt samtykke til at artikkelen blir publisert.
Artikkelen er fagfellevurdert.
- 1.
Mhaskar R, Clark OA, Lyman G et al. Colony-stimulating factors for chemotherapy-induced febrile neutropenia. Cochrane Database Syst Rev 2014; 2014: CD003039. [PubMed]
- 2.
Asif R, Edwards G, Borley A et al. Granulocyte colony stimulating factor (G-CSF)-induced aortitis in a patient undergoing adjuvant chemotherapy for breast cancer. BMJ Case Rep 2022; 15: e247237. [PubMed][CrossRef]
- 3.
Hoshina H, Takei H. Granulocyte-colony stimulating factor-associated aortitis in cancer: A systematic literature review. Cancer Treat Res Commun 2021; 29: 100454. [PubMed][CrossRef]
- 4.
Taimen K, Heino S, Kohonen I et al. Granulocyte colony-stimulating factor- and chemotherapy-induced large-vessel vasculitis: six patient cases and a systematic literature review. Rheumatol Adv Pract 2020; 4: rkaa004. [PubMed][CrossRef]
- 5.
Nishimura M, Morita M, Okuyama Y et al. A Case of Aortitis Caused by Pegfilgrastim Use during Neoadjuvant Chemotherapy for Treating Breast Cancer. Gan To Kagaku Ryoho 2022; 49: 573–6. [PubMed]
- 6.
Felleskatalogen. Ziextenzo. https://www.felleskatalogen.no/medisin/ziextenzo-sandoz-659913?markering=0 Lest 4.12.2024.
- 7.
Lee SY, Kim EK, Kim JY et al. The incidence and clinical features of PEGylated filgrastim-induced acute aortitis in patients with breast cancer. Sci Rep 2020; 10: 18647. [PubMed][CrossRef]
- 8.
Yukawa K, Mokuda S, Yoshida Y et al. Large-vessel vasculitis associated with PEGylated granulocyte-colony stimulating factor. Neth J Med 2019; 77: 224–6. [PubMed]
- 9.
Theyab A, Algahtani M, Alsharif KF et al. New insight into the mechanism of granulocyte colony-stimulating factor (G-CSF) that induces the mobilization of neutrophils. Hematology 2021; 26: 628–36. [PubMed][CrossRef]
- 10.
Dejaco C, Ramiro S, Bond M et al. EULAR recommendations for the use of imaging in large vessel vasculitis in clinical practice: 2023 update. Ann Rheum Dis 2024; 83: 741–51. [PubMed][CrossRef]
- 11.
Lötscher F, Pop R, Seitz P et al. Spectrum of Large- and Medium-Vessel Vasculitis in Adults: Neoplastic, Infectious, Drug-Induced, Autoinflammatory, and Primary Immunodeficiency Diseases. Curr Rheumatol Rep 2022; 24: 293–309. [PubMed][CrossRef]