Akutt inneklemt obturatorbrokk er en sjelden årsak til lårsmerter og er assosiert med høy morbiditet og mortalitet.
En kvinne i 80-årene, som var under utredning for ufrivillig stort vekttap, ble innlagt i akuttmottak grunnet oppkast og akutt innsettende smerter i høyre lår. Smertene var konstante, og hun opplevde forverring ved bevegelse. Ved klinisk undersøkelse ble det bemerket et svært ømt punkt proksimalt medialt på høyre lår. Det var ingen holdepunkt for traume.
Pasienten ble henvist til røntgen av høyre hofte med spørsmål om patologisk fraktur. Undersøkelsen viste ingen fraktur eller feilstilling, og kvinnen ble innlagt på ortopedisk avdeling for smertelindring og mobilisering. Hun ble utskrevet påfølgende dag til tross for vedvarende smerter og oppkast. Dag tre ble pasienten reinnlagt i akuttmottak med samme symptombilde. Hun var afebril, men grunnet lett forhøyede infeksjonsparametere, leukocytter 13,5 ∙ 109/L (referanseområde 4,1–9,8 ∙ 109/L) og CRP 60 mg/L (< 5 mg/L), ble det tatt røntgen toraks som viste konfluerende fortetninger basalt i høyre lunge, noe som kunne gi mistanke om pneumonisk infiltrat. Pasienten ble innlagt på medisinsk avdeling for observasjon. På grunn av sparsomme luftveissymptomer, ble det ikke startet med antibiotika.
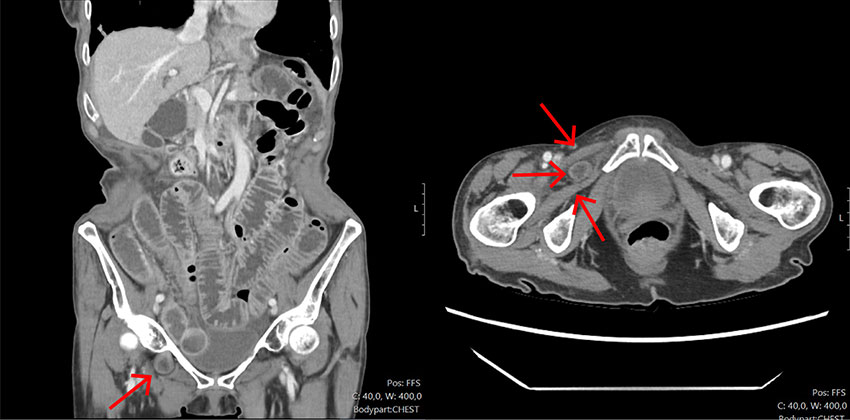
Dag fire ble kvinnen klinisk dårligere med takykardi og puls på 119 slag/min, respirasjonsfrekvens på 28 per minutt (12–16 per minutt) og feber, temperatur 38,1 °C. Det var samtidig CRP-stigning fra 50 til 250 mg/L. Det ble startet med piperacillin-tazobactam i vektredusert dose, 2 g x 4 intravenøst, og hun ble henvist til CT toraks/abdomen/bekken med mistanke om sepsis fra abdominalt fokus. CT viste inneklemt tynntarm i høyre obturatorkanal og preobstruktiv dilatasjon av tynntarm, forenlig med et akutt irreponibelt obturatorhernie (figur 1a og 1b). Pasienten ble derpå raskt tilsett av vakthavende kirurg og meldt som øyeblikkelig hjelp til operasjon.
Ved laparoskopi i narkose fant man, i samsvar med CT, en inneklemt tynntarmsslynge (figur 2a) i obturatorkanalen som ble forsiktig reponert. Det var ingen tegn til nekrose eller perforasjon av tynntarmen. Etter reponering av brokket ble pasienten hypotensiv med blodtrykk på 98/37 mm Hg og peroperativ arteriell blodgass viste pH 7,22 (7,36–7,44), pCO2 (a) 7,0 (4,7–6,0 kPa), pO2 (a) 15,0 (> 8,7 kPa), HCO3− 19 (22–26 mmol/L), base excess -6,6 (-1,9–4,5 mmol/L), Cl 104 (98–107 mmol/L) og laktat 1,0 (0,4–1,3 mmol/L), forenlig med en blanding av respiratorisk og metabolsk acidose. Hyperkapnien ble antatt å skyldes peroperativ absorpsjon av insufflert CO2-gass for laparoskopi fra peritoneum til kapillærnettet. Det ble startet noradrenalininfusjon på 0,04 mcg/kg/min, og minuttventilasjonen ble økt for å korrigere acidosen. Det reponerte tynntarmssegmentet ble inspisert på nytt og fremstod fortsatt viabelt uten behov for reseksjon (figur 2b). Brokkporten ble lukket med primærsutur ved bruk av ikke-resorberbar, knytefri monofilamenttråd med haker (V-loc) (figur 2c og 2d) for kortest mulig operasjonstid på grunn av pasientens forverrede tilstand.
Pasienten ble ekstubert umiddelbart postoperativt og observert på intensivavdeling til neste dag. Vasopressor og avlastende nasogastrisk sonde ble seponert første postoperative dag. Hun ble deretter overflyttet til kirurgisk sengepost. Tarmfunksjonen kom i gang igjen på andre postoperative dag. Antibiotika ble seponert på tredje postoperative dag. Den samme dagen ble hun også tilbakeført til medisinsk avdeling for videre utredning av vekttapet.
Diskusjon
Obturatorbrokk er en sjelden årsak til tynntarmsileus og utgjør < 1 % av alle tilfeller av bukveggsbrokk (1). Tilstanden ble først beskrevet av den franske kirurgen Pierre Roland Arnaud de Ronsil i 1724 og er tidligere omtalt i Tidsskriftet (2). Tilstanden er vanskelig å diagnostisere grunnet uspesifikke symptomer, og av samme årsak er den beheftet med høy morbiditet og mortalitet.
Om lag 90 % av pasienter med inneklemt obturatorbrokk opplever buksmerter, kvalme og oppkast (3), og halvparten rapporterer smerte medialt og proksimalt i lår ved innadrotasjon av hoften, såkalt Howship-Rombergs tegn (4). Lårsmertene skyldes avklemming av en kutan gren av nervus obturatorius i obturatorkanalen. Tilstanden er hyppigst på høyre side da åpningen på venstre obturatorkanal ofte er dekket av colon sigmoideum. Pasienten i denne kasuistikken hadde typiske symptomer og kliniske funn som kunne reist mistanke om tilstanden ved første vurdering i akuttmottaket.
Inneklemt obturatorbrokk opptrer oftest hos eldre, tynne kvinner og omtales gjerne som «little old lady's hernia». Bakgrunnen for dette skyldes flere strukturelle endringer i bekkenet. Anatomisk er det kvinnelige bekkenet bredere, obturatorkanalen har et mer skrått forløp enn hos menn og multiparitet gir slappere bekkenbunn. Med aldersbetinget tap av muskulatur og fettvev, eller ved generelt vekttap, forsvinner «fettputen» som omgir arteria, vena og nervus obturatorius som forløper gjennom obturatorkanalen. Samlet fører dette til at obturatorkanalen utvides og blir mer utsatt for herniering.
Akutt inneklemt obturatorbrokk krever akutt operasjon for å oppheve tarmobstruksjonen og for å kunne vurdere om brokkinnholdet er viabelt. Valg av kirurgisk teknikk beror både på pasientens sirkulatoriske og respiratoriske tilstand og på tilgjengelig kompetanse. Laparoskopisk tilnærming er en fordel fordi obturatorkanalen ligger dypt i bekkenet, samtidig som laparoskopi muliggjør preperitoneal nettplastikk. Hvorvidt man bør legge nett ved samtidig tarmreseksjon, er omdiskutert, men de nyeste retningslinjene åpner for dette ved lite til ingen forurensning av bukhulen (5). Forekomsten av residiv obturatorbrokk etter behandling med primærsutur er 10–20 %, sammenlignet med 2–3 % etter nettplastikk av inngangen til obturatorkanalen (6, 7). Vi valgte å lukke brokkporten med primærsutur på grunn av pasientens påvirkede fysiologi under inngrepet. Pasienten kan senere vurderes poliklinisk for eventuell elektiv nettplastikk.
Takk til radiologisk avdeling ved Haraldsplass diakonale sykehus for CT-bilder.
Pasienten har gitt samtykke til at artikkelen blir publisert.
Artikkelen er fagfellevurdert.
- 1.
Holm MA, Baker JJ, Andresen K et al. Epidemiology and surgical management of 184 obturator hernias: a nationwide registry-based cohort study. Hernia 2023; 27: 1451–9. [PubMed][CrossRef]
- 2.
Waage S. Inkarserert obturatorhernie. Tidsskr Nor Legeforen 2019; 139. doi: 10.4045/tidsskr.19.0100. [PubMed][CrossRef]
- 3.
Mantoo SK, Mak K, Tan TJ. Obturator hernia: diagnosis and treatment in the modern era. Singapore Med J 2009; 50: 866–70. [PubMed]
- 4.
Kammori M, Mafune K, Hirashima T et al. Forty-three cases of obturator hernia. Am J Surg 2004; 187: 549–52. [PubMed][CrossRef]
- 5.
Stabilini C, van Veenendaal N, Aasvang E et al. Update of the international HerniaSurge guidelines for groin hernia management. BJS Open 2023; 7: zrad080. [PubMed][CrossRef]
- 6.
Burla MM, Gomes CP, Calvi I et al. Management and outcomes of obturator hernias: a systematic review and meta-analysis. Hernia 2023; 27: 795–806. [PubMed][CrossRef]
- 7.
Kawanaka H, Hiroshige S, Kubo N et al. Therapeutic Strategy for Incarcerated Obturator Hernia Using Preoperative Manual Reduction and Laparoscopic Repair. J Am Coll Surg 2018; 226: 891–901. [PubMed][CrossRef]
Ved Sykehuset Østfold har vi siden 2014 brukt CT av bekken med hofter som primærdiagnostikk hos voksne i en årrekke (1). CT har bedre sensitivitet og spesifisitet for skjelettskader i denne regionen, og ville også vist den aktuelle patologien hos denne pasienten. Tid for revisjon av retningslinjene?
Litteratur:
1) Liborg IK, Sorteberg A, Larsen ASF et al. CT som primærdiagnostikk ved mistenkt hoftebrudd. Tidsskr Nor Legeforen 2023; 143.doi: 10.4045/tidsskr.23.0453