Monoklonalt antistoff mot barneleukemi

    ()

    sporsmal_grey_rgb
    Artikkel

    Ved akutt leukemi hos barn har blinatumomab i kombinasjon med kjemoterapi bedre effekt og mindre bivirkninger enn kjemoterapi alene.

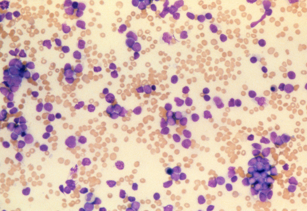
    Lysmikrografi av hvite blodceller angrepet av kreft (lilla) ved akutt myelogen leukemi hos mennesker. Illustrasjon: Science…
    Lysmikrografi av hvite blodceller angrepet av kreft (lilla) ved akutt myelogen leukemi hos mennesker. Illustrasjon: Science Photo Library / NTB

    Akutt lymfatisk leukemi er den vanligste kreftformen blant barn. De fleste overlever som følge av store fremskritt i behandlingen de siste 50 årene. Pasientene kategoriseres etter celletype og risikofaktorer. For barn med akutt B-cellelymfatisk leukemi med høy risiko har man ikke lyktes å øke overlevelsen ytterligere de siste par tiårene, delvis grunnet uakseptable bivirkninger av intensivert kjemoterapi.

    Blinatumomab er et monoklonalt antistoff som binder seg til CD19-antigener på overflaten av B-celler. Dette bidrar til at B-cellene angripes av T-lymfocytter. I en randomisert studie ble barn i alderen 1–10 år med akutt lymfatisk B-celleleukemi og standard risiko behandlet med kjemoterapi, med eller uten blinatumomab som tilleggsbehandling (1). Rekrutteringen til studien ble stoppet etter at en interimanalyse viste gode resultater. Studien hadde til da inkludert 718 barn som fikk både kjemoterapi og blinatumomab, og 722 barn som kun fikk kjemoterapi. Median oppfølgingstid var 2,5 år. Estimatet for sykdomsfri overlevelse i minst 3 år var 96 % for gruppen som hadde fått blinatumomab, mot 88 % for kontrollgruppen (p < 0,001). Forekomsten av sepsis var lav i begge gruppene, men ikke-dødelig sepsis og kateterrelaterte infeksjoner var signifikant hyppigere blant dem som hadde fått blinatumomab.

    – Mens andre studier har sett på blinatumomab ved tilbakefall av leukemi, er denne studien den første store, randomiserte studien med bruk av blinatumomab som primærbehandling hos barn, sier Maria Winther Gunnes, seksjonsoverlege ved Barneonkologisk seksjon på Haukeland universitetssjukehus.

    – Studien viser meget lovende resultater og en sykdomsfri overlevelse som er betydelig lengre enn den allerede gode sykdomsfrie overlevelsen vi per i dag oppnår hos disse pasientene, sier Gunnes. Hun opplyser at behandling med blinatumomab nå er gjort tilgjengelig i Norge for barn med tilbakefall av leukemi, etter et ferskt vedtak i Beslutningsforum.

    Kommentarer  ( 0 )
    PDF
    Skriv ut
    Kommenter artikkel

    Anbefalte artikler