Monoklonale antistoffer mot eosinofil øsofagitt?

    ()

    sporsmal_grey_rgb
    Artikkel

    Monoklonale antistoffer mot interleukin-4 og interleukin-5 reduserer eosinofile granulocytter i spiserøret hos pasienter med eosinofil øsofagitt, men de gir ikke mindre svelgevansker.

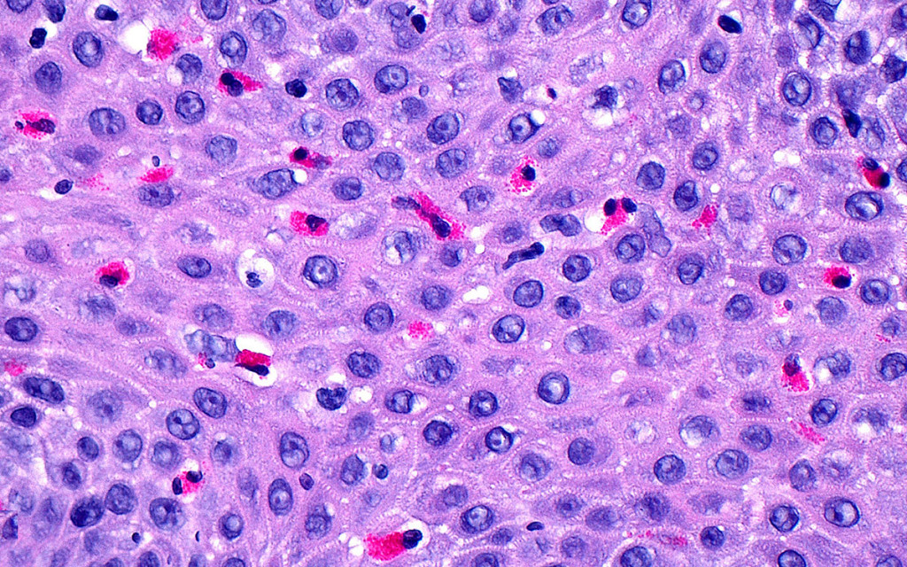
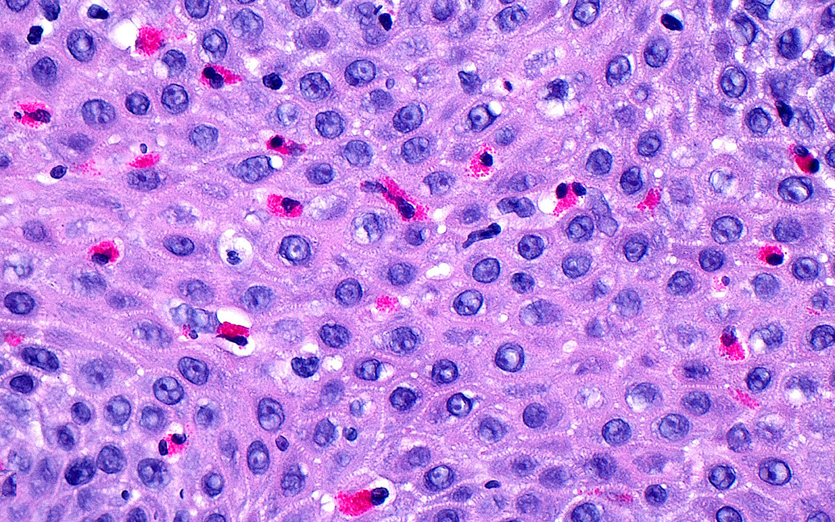
    Lysmikrografi av spiserørsepitel (overflaten) med et stort antall eosinofile hvite blodceller. Foto: Science Photo Library /…
    Lysmikrografi av spiserørsepitel (overflaten) med et stort antall eosinofile hvite blodceller. Foto: Science Photo Library / NTB

    Diagnosen eosinofil øsofagitt er basert på symptomer som svelgevansker og et høyt antall eosinofile granulocytter i biopsier fra spiserøret. Effekten av diettbehandling, glukokortikoider og protonpumpehemmere er ofte begrenset.

    Benralizumab og dupilumab er monoklonale antistoffer som blokkerer henholdsvis interleukin-4 og interleukin-5, delvis via en effekt på T-hjelperceller, og er vist å redusere antallet eosinofile granulocytter i blod og vev.

    To randomiserte, placebokontrollerte studier av benralizumab og dupilumab mot eosinofil øsofagitt er nylig publisert i New England Journal of Medicine (1, 2). De 211 pasientene i benralizumabstudien var i alderen 12 til 65 år, mens dupilumabstudien omfattet 102 barn i alderen 1 til 11 år. I den første studien fant man histologisk remisjon hos 87,4 % av dem som hadde fått aktivt legemiddel, og blant 6,5 % i placebogruppen (p < 0,001). I den andre studien var andelen pasienter med histologisk remisjon 65 %, 58 % og 3 % ved henholdsvis høy og lav dose aktivt legemiddel og placebo (p < 0,001). Det var imidlertid ingen signifikante endringer i symptomskår eller endoskopiske funn i noen av studiene.

    – Det er positivt at det kommer nye behandlingsmuligheter mot eosinofil øsofagitt, sier Eirik Kaasa, overlege og barnegastroenterolog ved Haukeland universitetssjukehus og forsker på sykdommen. Håpet er at redusert inflammasjon i spiserøret vil føre til færre komplikasjoner, som strikturer og behov for ballongdilatasjon, selv om disse studiene viste liten effekt på svelgevanskene, sier Kaasa. Han mener at benralizumab og dupilumab foreløpig kun er aktuelt for pasienter der annen behandling har sviktet.

    Kommentarer  ( 0 )
    PDF
    Skriv ut

    Anbefalte artikler