Screening for medfødt cytomegalo­virusinfeksjon?

    ()

    sporsmal_grey_rgb
    Artikkel

    CMV-screening av nyfødte kan gjennomføres på en god, effektiv og økonomisk gunstig måte, viser studie.

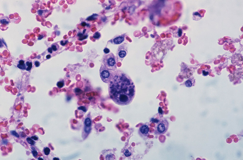
    Cytomegalovirusinfeksjon. Foto: Yale Rosen, CC BY-SA 2.0
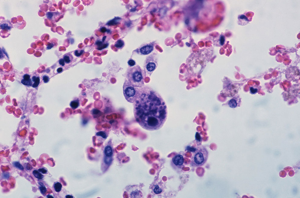
    Cytomegalovirusinfeksjon. Foto: Yale Rosen, CC BY-SA 2.0

    Intrauterin infeksjon med cytomegalovirus (CMV) kan føre til hørselstap og nevrologisk skade, men nytten av CMV-screening av nyfødte er omdiskutert.

    Et sykehus i Israel har prøvd ut en screeningmetode for CMV-infeksjon ved å slå sammen spyttprøver fra mange nyfødte, såkalt pooling, og bruk av PCR-test (1). Basert på tidligere erfaringer med CMV-testing ble det beregnet antall spyttprøver som kunne slås sammen for å oppnå høy sensitivitet med få falskt positive funn. I løpet av vel ett år ble om lag 16 000 nyfødte screenet, der 54 nyfødte ble identifisert som positive. Alle nyfødte i en CMV-positiv pool ble så testet individuelt. Positive enkeltprøver ble bekreftet med en urinprøve. Metoden ble så validert over en tremånedersperiode der alle spyttprøver ble testet både individuelt og i pool. Av 196 pooler var 8 positive og 188 negative. Alle individuelle tester i de negative poolene var negative. Av 8 positive pooler inneholdt 7 en positiv prøve ved individuell testing.

    – Denne studien viser at CMV-screening av nyfødte kan gjennomføres på en god, effektiv og økonomisk gunstig måte, sier Regine Barlinn, som er overlege ved Avdeling for mikrobiologi, Oslo universitetssykehus. Pooling med samling av mange prøver er godt egnet ved CMV-screening pga. lav prevalens av CMV-infeksjon og at barn med medfødt infeksjon har høy virusmengde.

    – De norske anbefalingene er å CMV-teste barn med hørselstap ved hørselsscreeningen, barn med bekreftet eller mistenkt CMV-infeksjon hos mor i svangerskapet, og barn med infeksjonssymptomer. Globalt er det få land som screener alle nyfødte for medfødt CMV-infeksjon, men studier viser god effekt av antiviral behandling av symptomatiske nyfødte ved tidlig oppstart, sier hun.

    – Denne studien er et godt bidrag til diskusjonen om universell CMV-screening av nyfødte, mener Barlinn. Hun tror at vi de nærmeste årene vil få en diskusjon om innføring av generell CMV-screening av nyfødte og gravide for å oppdage og behandle primærinfeksjon tidlig i svangerskapet, siden antiviral behandling har vist seg å redusere vertikal smitte betydelig.

    Kommentarer  ( 0 )
    PDF
    Skriv ut

    Anbefalte artikler