En mann i 70-årene gjennomgikk rutinemessige hjerteundersøkelser som ledd i en nyretransplantasjonsutredning. Uventede funn ledet til en mer omfattende utredning og avdekket to sjeldne systemsykdommer som årsak til hans hjertesvikt.
En mann i 70-årene ble henvist til regionssykehus for ekkokardiografi og invasiv koronarutredning som ledd i en nyreresipientutredning. Pasienten hadde kronisk nyresvikt i stadium 5 og fikk peritonealdialyse. Han hadde hverken diabetes eller hypertensjon. Gjennom 20 år hadde han hatt stabil monoklonal gammopati av usikker klinisk signifikans (MGUS). Nyrebiopsi tatt ti år tidligere viste nefrosklerose, men ikke avleiringssykdom. To år før den aktuelle innleggelsen gjennomgikk pasienten et cerebralt insult med sekvele i form av dysartri. Ekkokardiografi på daværende tidspunkt avdekket lett hypertrofi av venstre ventrikkel og diastolisk dysfunksjon. Han fikk antikoagulasjonsbehandling med apiksaban grunnet permanent atrieflimmer. Ved fysisk aktivitet fikk han generell utmattelse, men ikke funksjonsdyspné eller brystsmerter.
Under den elektive innleggelsen ved regionssykehuset fremstod pasienten å være i god allmenntilstand uten funksjonsdyspné eller brystsmerter. Ved klinisk undersøkelse var det normale auskultasjonsfunn over hjerte og lunger. Han hadde slanke underekstremiteter. Blodtrykket var 125/80 mmHg. Elektrokardiogrammet viste atrieflimmer med multifokale ventrikulære ekstrasystoler og gjennomsnittlig ventrikkelfrekvens på 70 slag/min. QRS-bredden var 110 ms (normalverdi 80–120) med venstre akse-avvik. Blodprøvene viste forhøyet N-terminal pro-B-type natriuretisk peptid (NT-proBNP) på 15 608 ng/L (0–500), senkningsreaksjon 33 mm (1–12), C-reaktivt protein 7,1 mg/L (0–4). Kreatinin var 589 µmol/L (60–105) og estimert glomerulær filtrasjonsrate 7 mL/min/1,73 m2 (> 60), begge i hans habituelle område. Karbamidverdien var 21,3 mmol/L (3,5–8,1) og kalium 4,3 mmol/L (3,6–4,6).
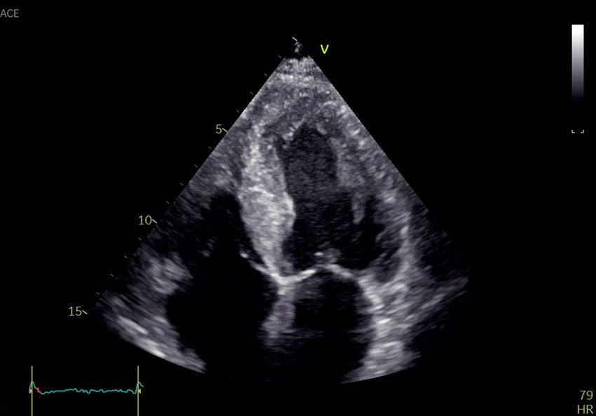
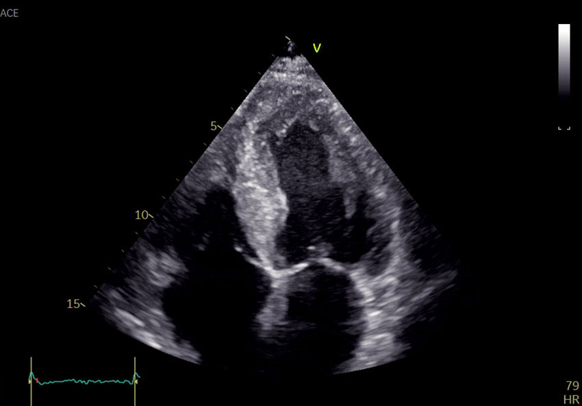
Ekkokardiografi avdekket global biventrikulær hypertrofi med endediastolisk septumtykkelse 17 mm (6–10 mm) (figur 1). Det var redusert langakseforkortning med relativt bevart funksjon apikalt. Myokard hadde et påfallende spettet ekkosignal, mest uttalt i septum. Ejeksjonsfraksjonen var 45 % (≥ 52) og den globale longitudinelle tøyningen −12 % (−18 til −22). Venstre atrium var dilatert. Det ble ikke avdekket klaffefeil av betydning. Pasienten hadde ingen synlig perikardvæske. Koronar angiografi ble utført påfølgende dag og avdekket ingen signifikante stenoser. Funn av økt veggtykkelse, spettet myokard og påfallende redusert langaksebevegelighet med bevart funksjon apikalt vekket mistanke om avleiringssykdom, og videre utredning ble igangsatt.
Den vanligste årsaken til venstre ventrikkel-hypertrofi er langvarig hypertensjon, etterfulgt av hypertrofisk kardiomyopati (1). Sistnevnte skyldes oftest sarkomersykdom, hvor man i omtrent halvparten av tilfellene kan avdekke en arvelig årsak. Avleiringssykdommer som amyloidose og medfødt stoffskiftefeil er sjeldne differensialdiagnoser. Typisk for avleiringssykdommene er biventrikulær hypertrofi og diastolisk hjertesvikt. Ved amyloidose sees typisk granulært mønster i myokard ved ekkokardiografi og relativt bedre bevart funksjon i apikale deler av myokard.
Amyloidose forårsakes av at proteinkomponenter, amyloide fibriller, utfelles og akkumuleres ekstracellulært. Amyloidosen benevnes etter proteinet som gir opphav til avleiringene. Det er to typer systemisk amyloidose som hyppigst affiserer hjertet, transtyretinamyloidose (ATTR-amyloidose) og immunglobulinlettkjede-amyloidose (AL-amyloidose) (2). Ved mistanke om hjerteamyloidose er det viktig å utrede med tanke på begge disse (patogenetisk uavhengige) tilstandene. Det er beskrevet noen få tilfeller hvor de to typene systemisk amyloidose opptrer sammen (3).
Grunnet de ekkokardiografiske funnene henviste behandlende lege til skjelettscintigrafi med technetiummerket 3,3-difosfono-1,2-propanodikarboksylsyre (99 mTc-DPD), som ble utført fem dager senere, mens pasienten var inneliggende. Det ble også tatt prøver til urin- og serum-proteinelektroforese. Skjelettscintigrafi avdekket høyt DPD-opptak i hjertet, Perugini-grad 2 (figur 2). Proteinelektroforese avdekket monoklonal komponent (M-komponent) bestående av IgA-kappa. Det var forhøyede frie kappa-kjeder (850 mg/L (4–25)) og frie lambda-kjeder (33 mg/L (6–27)). Kappa/lambda-ratioen var 25,8 (0,5–1,6), klart patologisk.
Skjelettscintigrafi er en nukleærmedisinsk undersøkelse som brukes ved mistanke om patologiske tilstander i skjelettet, for eksempel metastaser. 99 mTc-DPD-scintigrafi har vist seg å ha svært god diagnostisk nøyaktighet for kardial ATTR-amyloidose, forutsett at AL-amyloidose er utelukket gjennom urin- og serum-proteinelektroforese (4). DPD-opptaket i myokard graderes etter Peruginis skala fra 0 til 3, avhengig av hvor stort opptaket i myokard er sammenliknet med skjelettet. Grad 2–3 sees typisk ved ATTR-amyloidose (5). Ved AL-amyloidose ses som oftest intet (grad 0) eller lett økt opptak (grad 1), men grad 2–3 ekskluderer ikke AL-amyloidose (4). Flere bifosfonater, for eksempel hydroksydifosfat og pyrofosfat, kan også brukes for å påvise hjerteamyloidose.
Monoklonal gammopati diagnostiseres ved funn av M-komponent i serum eller urin ved elektroforese (6). M-komponenten består av ett spesifikt immunglobulin eller én type frie lette kjeder produsert av én B-celleklon. Ved påvisning av M-komponent utredes pasienten videre for å avklare hvorvidt det foreligger myelomatose, lett- eller tungkjedesykdom eller monoklonal gammopati av usikker klinisk signifikans (7). Ved AL-amyloidose fører avleiring av lette kjeder i ekstracellulærrommet til sykdom (6). Diagnosen krever histologisk undersøkelse av vev fra affisert organ. Hjerteaffeksjon er av størst prognostisk betydning (8). I tillegg til hjertet påvirkes ofte nyrer, lever, fordøyelsessystemet og perifere nerver (9). 10–15 % av pasientene med AL-amyloidose har samtidig myelomatose (7, 10).
Det kraftige DPD-opptaket i hjertet var forenlig med ATTR-amyloidose. Ettersom pasienten hadde påvist M-komponent og avvik i kappa/lambda-ratioen, måtte AL-amyloidose utelukkes. Benmargsbiopsi ble tatt tre uker senere ved lokalsykehuset, og pasienten ble henvist til et annet regionssykehus for høyresidig hjertekateterisering og hjertebiopsi. Høyresidig hjertekateterisering ble utført fire uker senere og avdekket middeltrykk i arteria pulmonalis på 22 mmHg (< 20) og litt lavt minuttvolum på 4,6 L/min (> 5). Biopsier fra septum ble sendt til histopatologisk undersøkelse.
Hjertebiopsi utføres ved innstikk i vena jugularis interna, og biopsiene tas fra interventrikulærseptum via høyre ventrikkel. Den diagnostiske treffsikkerheten ved amyloidose er god, fordi avleiringen vanligvis rammer alle deler av myokard. Ved amyloidose er myokard fortykket og perforasjonsfaren lav. Høyre hjertekateterisering er en invasiv undersøkelse der intrakardiale trykk måles ved hjelp av et væskefylt endehullskateter og hjertets minuttvolum ved hjelp av termodilusjonsteknikk.
Histologisk undersøkelse av endomyokardbiopsiene viste at vevet bandt kongorødt, forenlig med amyloidavleiring. Immunfarging av endomyokardbiopsiene viste forekomst av både transtyretin og kappa-lettkjede (figur 3). Laserdisseksjon med massespektrometri viste at både transtyretin og kappa-lettkjeder var blant de dominerende proteinene, med overvekt av transtyretin, forenlig med både kardial transtyretin og amyloid lettkjedet kardiomyopati. Monoklonale plasmaceller (kappa+) utgjorde 10–12 % av cellene i benmargsbiopsien. Det var amyloidavleiring også i benmargen. Som ledd i utredningen ble det utført fettvevsbiopsi uten funn av amyloid. Nyrebiopsi ble ikke gjentatt. Computertomografisk røntgenundersøkelse viste ingen lytiske lesjoner i skjelettet.
Amyloid består av amorfe, ekstracellulære avleiringer som fortrenger normale vevskomponenter og vevsfunksjon. Gullstandarden for påvisning av amyloid er farging med kongorødt, der amyloid blir rødoransje og viser gulgrønn dobbeltbrytning i polarisert lys. Det er avdekket 42 forskjellige proteiner som kan danne amyloide fibriller (11). Påvisning av amyloid bør derfor etterfølges av typing av det amyloidogene proteinet. Tradisjonelt brukes det immunhistokjemi for typing (12). Laserdisseksjon og påfølgende massespektrometri er en relativ ny og avansert metode med høy sensitivitet og spesifisitet, og man benytter vev som allerede er anskaffet til tradisjonell histologi. Metoden er tilgjengelig ved Oslo universitetssykehus, og man kan sende biopsier fra alle helseregioner (13).
Utfordrende pasientkasus diskuteres i en tverrfaglig arbeidsgruppe for amyloidose. Henviser er velkommen til å delta i møtet når det aktuelle kasuset skal diskuteres.
Vår tverrfaglige gruppe for amyloidose drøftet kliniske og radiologiske funn, blodprøveresultater og typingsfunn fra myokardbiopsi. Gruppen har representanter fra feltene hematologi, kardiologi, nefrologi, nevrologi, nukleærmedisin, bioteknologi, medisinsk genetikk, immunologi, proteinsekvensering og patologi. Vi konkluderte med at pasienten sannsynlig hadde både ATTR- og AL-amyloidose i hjertet. Hematolog ved lokalsykehuset startet behandling med melfalan, bortezomib og deksametason (Mel-Vel-Dex-kurer) for AL-amyloidose. Pasienten hadde hematologisk respons på behandlingen, med normalisering av kappa/lambda-ratioen.
Hematologen avsluttet behandlingen etter fem kurer, fordi pasienten fikk redusert allmenntilstand. Spesifikk behandling av ATTR-amyloidose med tafamidis har ikke dokumentert effekt hos pasienter med eGFR < 25 mL/min/1,73 m2 (14), og var derfor ikke initiert. Han ble ikke nyretransplantert, men får nå hemodialyse tre ganger per uke. Hematolog ved lokalsykehus følger pasienten opp jevnlig. Han er i aktivitet og opplever allmenntilstanden sin som god.
Diskusjon
Kardial amyloidose forårsakes av nedslag av amyloide fibriller i ekstracellulærrommet i myokard. Proteinnedslaget fører til tykt og stivt myokard, diastolisk hjertesvikt og arytmier. Både ATTR-amyloidose og AL-amyloidose er systemiske sykdommer. Amyloid kan derfor gjenfinnes i flere organer enn hjertet og gi opphav til ekstrakardiale symptomer/funn som autonom dysfunksjon, nyresykdom, spinal stenose, karpaltunnelsyndrom og perifer nevropati (9). Arbeidsgruppen for myokardiale og perikardiale sykdommer i European Society of Cardiology (ESC) publiserte i 2021 sin anbefaling for når man bør mistenke kardial amyloidose (ramme 1) (15). Arbeidsgruppen argumenterer for at tidlig diagnostikk er viktig, da målrettet behandling har betydning for pasientens prognose, særlig ved AL-amyloidose.
Venstre ventrikkel-hypertrofi ≥ 12 mm
Og ett eller flere av følgende symptomer/funn:
Hjertesvikt hos pasienter ≥ 65 år
Aortastenose hos pasienter ≥ 65 år
Hypotensjon eller normotensjon hos en tidligere hypertoniker
Autonom dysfunksjon
Perifer polynevropati
Proteinuri
Økt tendens til blåmerker
Bilateral karpaltunnelsyndrom
Bicepsseneruptur
Diffust subendokardialt/transmuralt gadoliniumopptak eller økt ekstracellulært volum (MR)
Redusert longitudinell tøyning med apikal sparing (EKKO)
Redusert QRS spenning mot masse-ratio (EKG)
Pseudo-Q-bølger (EKG)
AV-ledningsforstyrrelser (EKG)
Familiehistorikk med amyloidosesykdom
Kardial fenotype og symptomer er like ved de to vanligst forekommende typene av kardial amyloidose, ATTR-amyloidose og AL-amyloidose, men tilstandene behandles ulikt og har forskjellig prognose. ATTR-amyloidose skyldes avleiring av feilfoldet transtyretin, et transportprotein for retinolbindende protein og tyroksin. Tilstanden kan være ervervet eller nedarvet. De typiske pasientene med ervervet ATTR-amyloidose er eldre menn, men tilstanden forekommer også hos yngre (16), vi har diagnostisert tilstanden hos personer i femtiårene. Arvelig ATTR-amyloidose er knyttet til punktmutasjoner i genet som koder for transtyretin. Det har blitt beskrevet over 130 ulike punktmutasjoner med varierende penetrans og ekspressivitet (17, 18). Arvelig amyloidose er sjelden hos personer med norsk herkomst, men det er viktig å vurdere muligheten for arvelig ATTR-amyloidose, særlig hos innvandrere.
Prognosen ved symptomatisk kardial ATTR-amyloidose er dårlig. I Transthyretin Amyloidosis Cardiomyopathy Clinical Trial (ATTR-ACT) var ca. 1/3 av pasientene i placebogruppen døde etter to år. Tafamidis, et transtyretinstabiliserende legemiddel, er hittil det eneste medikamentet som har vist seg å bedre overlevelsen hos pasienter med ATTR-amyloidose (19). Medikamentet er tilgjengelig på H-resept for pasienter som oppfyller visse kriterier. Medikamenter som undertrykker transkripsjon av transtyretin, som vutrisiran, patisiran og inotersen, er under utprøvning (9, 15).
AL-amyloidose med kardial affeksjon har enda dårligere prognose enn ATTR-amyloidose. Sykdomsspesifikk behandling for AL-amyloidose handler om å redusere produksjon av de lette kjedene, og dermed av det amyloide proteinet, ved å redusere størrelsen på B-celleklonen. Dette oppnås ved bruk av både kjemo- og immunterapiregimer samt høydosebehandling med autolog stamcellestøtte for utvalgte pasienter (20).
Medikamentell behandling av hjertesvikt som skyldes amyloidose, avviker fra konvensjonell hjertesviktbehandling. Pasientene tåler hemming av renin-angiotensin-aldosteron-systemet dårlig grunnet risiko for hypotensjon. Betablokkere må benyttes med varsomhet grunnet restriktiv fylling, autonom nevropati samt risiko for utvikling av høygradig AV-blokk (13, 21).
Kasuistikken understreker flere poenger. Hos pasienter med venstre ventrikkel-hypertrofi er amyloidose en mulig bakenforliggende grunntilstand. Ved kardial amyloidose er det ikke alltid tilstrekkelig med diagnostikk basert på billedundersøkelser og biokjemi alene. Særlig ved mistanke om AL-amyloidose er biopsi av affisert organ helt sentralt. Kasuistikken illustrerer viktigheten av samarbeid på tvers av fagområder ved utredning av amyloidose og andre systemsykdommer.
Pasienten har gitt samtykke til at artikkelen blir publisert.
Artikkelen er fagfellevurdert.
- 1.
Ommen SR, Mital S, Burke MA et al. 2020 AHA/ACC Guideline for the Diagnosis and Treatment of Patients With Hypertrophic Cardiomyopathy: A Report of the American College of Cardiology/American Heart Association Joint Committee on Clinical Practice Guidelines. Circulation 2020; 142: e558–631. [PubMed]
- 2.
Kittleson MM, Maurer MS, Ambardekar AV et al. Cardiac Amyloidosis: Evolving Diagnosis and Management: A Scientific Statement From the American Heart Association. Circulation 2020; 142: e7–22. [PubMed][CrossRef]
- 3.
Sidiqi MH, McPhail ED, Theis JD et al. Two types of amyloidosis presenting in a single patient: a case series. Blood Cancer J 2019; 9: 30. [PubMed][CrossRef]
- 4.
Gillmore JD, Maurer MS, Falk RH et al. Nonbiopsy Diagnosis of Cardiac Transthyretin Amyloidosis. Circulation 2016; 133: 2404–12. [PubMed][CrossRef]
- 5.
Perugini E, Guidalotti PL, Salvi F et al. Noninvasive etiologic diagnosis of cardiac amyloidosis using 99mTc-3,3-diphosphono-1,2-propanodicarboxylic acid scintigraphy. J Am Coll Cardiol 2005; 46: 1076–84. [PubMed][CrossRef]
- 6.
Tjønnfjord GE, Schjesvold FH, Gulbrandsen N et al. Monoklonal gammopati av klinisk betydning. Tidsskr Nor Legeforen 2021; 141. doi: 10.4045/tidsskr.20.0981. [PubMed][CrossRef]
- 7.
Schjesvold FH. En innføring i lettkjede-amyloidose. Indremedisineren 19.6.2013. https://indremedisineren.no/2013/06/en-innforing-i-lettkjede-amyloidose/ Lest 23.4.2023.
- 8.
Gertz MA. Immunoglobulin light chain amyloidosis: 2020 update on diagnosis, prognosis, and treatment. Am J Hematol 2020; 95: 848–60. [PubMed][CrossRef]
- 9.
Gertz MA, Dispenzieri A. Systemic Amyloidosis Recognition, Prognosis, and Therapy: A Systematic Review. JAMA 2020; 324: 79–89. [PubMed][CrossRef]
- 10.
Rajkumar SV, Kyle RA, Therneau TM et al. Serum free light chain ratio is an independent risk factor for progression in monoclonal gammopathy of undetermined significance. Blood 2005; 106: 812–7. [PubMed][CrossRef]
- 11.
Buxbaum JN, Dispenzieri A, Eisenberg DS et al. Amyloid nomenclature 2022: update, novel proteins, and recommendations by the International Society of Amyloidosis (ISA) Nomenclature Committee. Amyloid 2022; 29: 213–9. [PubMed][CrossRef]
- 12.
Vrana JA, Gamez JD, Madden BJ et al. Classification of amyloidosis by laser microdissection and mass spectrometry-based proteomic analysis in clinical biopsy specimens. Blood 2009; 114: 4957–9. [PubMed][CrossRef]
- 13.
Wien TN, Kvam AK, Stensland M et al. Veileder for diagnostikk og behandling av amyloidose. https://www.helsebiblioteket.no/innhold/retningslinjer/veileder-for-diagnostikk-og-behandling-av-amyloidose Lest 23.4.2023.
- 14.
Heidenreich PA, Bozkurt B, Aguilar D et al. 2022 AHA/ACC/HFSA Guideline for the Management of Heart Failure: Executive Summary: A Report of the American College of Cardiology/American Heart Association Joint Committee on Clinical Practice Guidelines. Circulation 2022; 145: e876–94. [PubMed][CrossRef]
- 15.
Garcia-Pavia P, Rapezzi C, Adler Y et al. Diagnosis and treatment of cardiac amyloidosis. A position statement of the European Society of Cardiology Working Group on Myocardial and Pericardial Diseases. Eur J Heart Fail 2021; 23: 512–26. [PubMed][CrossRef]
- 16.
Lane T, Fontana M, Martinez-Naharro A et al. Natural History, Quality of Life, and Outcome in Cardiac Transthyretin Amyloidosis. Circulation 2019; 140: 16–26. [PubMed][CrossRef]
- 17.
Damy T, Kristen AV, Suhr OB et al. Transthyretin cardiac amyloidosis in continental Western Europe: an insight through the Transthyretin Amyloidosis Outcomes Survey (THAOS). Eur Heart J 2019; 43: 391–400. [PubMed][CrossRef]
- 18.
Suhr OB, Svendsen IH, Andersson R et al. Hereditary transthyretin amyloidosis from a Scandinavian perspective. J Intern Med 2003; 254: 225–35. [PubMed][CrossRef]
- 19.
Maurer MS, Schwartz JH, Gundapaneni B et al. Tafamidis Treatment for Patients with Transthyretin Amyloid Cardiomyopathy. N Engl J Med 2018; 379: 1007–16. [PubMed][CrossRef]
- 20.
Schjesvold FH. Al-amyloidose i hjertet – vi finner pasientene for sent! Hjerteforum 2017; 30: 13–9.
- 21.
Selvanayagam JB, Hawkins PN, Paul B et al. Evaluation and management of the cardiac amyloidosis. J Am Coll Cardiol 2007; 50: 2101–10. [PubMed][CrossRef]