Aneurisme i portvenen

    ()

    sporsmal_grey_rgb
    Artikkel

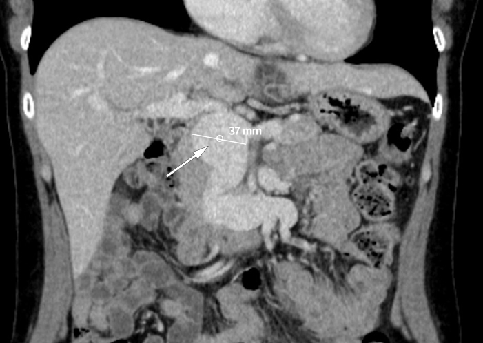
    CT-bildet viser et 37 mm stort aneurisme i portvenen, inklusive stammen til vena mesenterica superior og grener til denne. Pasienten var en kvinne i 40-årene med tidligere anoreksi. Hun hadde i fire uker vært plaget av diffuse magesmerter og tidlig metthetsfølelse. Klinisk undersøkelse og orienterende blodprøver hos fastlege, herunder leverprøver, viste normale funn, og hun ble henvist til CT.

    Portveneaneurisme er en sjelden tilstand (1). Om lag 200 tilfeller er beskrevet i litteraturen, og kunnskapsgrunnlaget bygger på kasuistikker og pasientserier. Det defineres som en fokal dilatasjon i portvenen, over 15 mm ved normal lever og over 19 mm ved levercirrhose (2–3). Aneurismet er oftest lokalisert til portvenens hovedstamme, dernest ved portvenedelingen (1). Tilstanden kan være medfødt eller ervervet, da oftest grunnet portal hypertensjon sekundært til levercirrhose (1).

    Portveneaneurismer oppdages gjerne tilfeldig ved radiologiske undersøkelser eller som ledd i en utredning av magesmerter (1). Hovedparten er asymptomatiske (4). Opp mot 20 % av aneurismene kompliseres av portvenetrombosering (1), men de fleste pasientene utvikler kollaterale blodårer og forblir asymptomatiske (4). Spontanruptur forekommer svært sjelden, trolig fordi venesystemet er et lavtrykksystem (4). Konservativ behandling tilrådes (4). Kirurgi er risikofylt og forbeholdes pasienter der aneurismet vokser raskt, komprimerer nærliggende organer, blør eller er i fare for å rumpere (1). Dersom pasienten ikke har portal hypertensjon, fjerner man aneurismet, mens man ved portal hypertensjon anlegger shunt mellom portvenen og vena cava inferior (1).

    Vår pasient hadde ingen underliggende leversykdom, og tilstanden ble oppfattet som medfødt. Hun ble utredet for inflammatorisk tarmsykdom som årsak til magesmertene, men dette ble ikke påvist. Pasienten kontrolleres med regelmessige ultralyd- eller CT-undersøkelser, først etter tre måneder, så hver 6. måned og ved stabile forhold annethvert år.

    Pasienten har gitt samtykke til at artikkelen blir publisert.

    Artikkelen er fagfellevurdert.

    Kommentarer  ( 0 )
    PDF
    Skriv ut

    Anbefalte artikler