Spontan blødning i lungene

    ()

    sporsmal_grey_rgb
    Artikkel

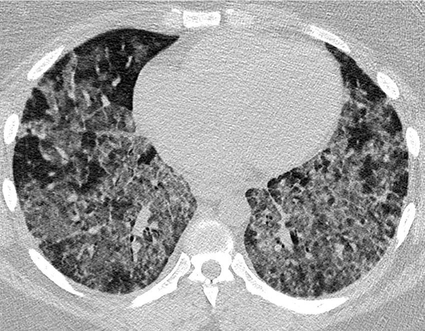
    Bildet viser lungeparenkymet hos en tidligere frisk kvinne i begynnelsen av 30-årene, gravid med tvillinger. CT aksialsnitt i lungevindu gjennom lingula og underlapper viser utbredte mattglassfortetninger og fortykkede interlobulære septa.

    Pasienten ble innlagt i medisinsk avdeling ved lokalsykehus etter en kortvarig sykehistorie med økende dyspné og respirasjonsavhengige brystsmerter. Ved innkomst ble det avdekket respirasjonssvikt uten hyperkapni, med PaO2 8,8 kPa, og grov jernmangelanemi (Hb 6,6 g/dl). Lungeembolisme og infeksjon ble avkreftet. Det ble ikke påvist patologi hos fostrene. Bildefunn ga mistanke om alveolære blødninger, og pasienten ble overført til lungeavdelingen ved Rikshospitalet. Ved bronkoalveolær lavage ble det påvist lett blodtilblandet skyllevæske. Etter tverrfaglig vurdering fant man ingen holdepunkter for underliggende tilstander som blant annet autoimmun sykdom. Det kliniske bildet var forenelig med jernmangelanemi som følge av idiopatisk pulmonal hemosiderose. Hun fikk jerntilskudd og høydosebehandling med kortikosteroider, med overgang til peroral behandling i nedtrappingsregime. Dette ga god klinisk og radiologisk respons.

    Idiopatisk pulmonal hemosiderose er en sjelden sykdom av ukjent etiologi som karakteriseres av residiverende episoder med diffus alveolær blødning (1). Tilstanden er en eksklusjonsdiagnose, der man ønsker å utelukke blant annet infeksjon, koagulopati og autoimmun sykdom som underliggende årsak. Påvisning av hemosiderinholdige makrofager i bronkoalveolær skyllevæske understøtter diagnosen, og i noen tilfeller tas lungebiopsi (2). Man mistenker en utløsende immunologisk mekanisme, som man så langt ikke har kunnet påvise. Flere pasienter vil utvikle autoantistoffer, og det er funnet en assosiasjon med cøliaki (1). 80 % av tilfellene forekommer hos barn, mens 20 % diagnostiseres hos voksne i alle aldersgrupper (2).

    Sykdomsforløpet er uforutsigbart og kan veksle mellom akutt og kronisk fase (2). Den klassiske triaden i en akuttfase består av hemoptyse, jernmangelanemi og lungefortetninger på CT. Den kroniske fasen kan bestå av symptomer relatert til progredierende lungefibrose som utvikles hos enkelte som følge av akkumulering av hemosiderin i lungene (2). Noen av pasientene har imidlertid lange remisjonsperioder med sparsomme symptomer (1).

    Systemiske kortikosteroider brukes i behandling i akuttfaser og som vedlikeholdsbehandling. Enkelte får ytterligere immunsupprimerende medikasjon (3). Prognosen er noe usikker og variabel, men er generelt bedre hos voksne enn hos barn (3). De vanligste dødsårsakene er akutt respirasjonssvikt ved massiv alveolær blødning eller kronisk respirasjonssvikt på grunn av langtkommen lungefibrose (2). Lav insidens og variabelt klinisk bilde medfører ofte forsinket diagnose og behandling (1).

    Pasienten har gitt samtykke til at artikkelen blir publisert.

    Artikkelen er fagfellevurdert.

    Kommentarer  ( 0 )
    PDF
    Skriv ut

    Anbefalte artikler