Venetrombose ved ovarialt hyperstimulerings­syndrom

    ()

    sporsmal_grey_rgb
    Artikkel

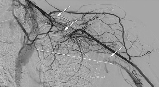
    Bildet øverst viser diffus hevelse i bløtvevet uten hudforandringer eller glandelsvulst. I tillegg er det prominerende vener på venstre del av bryst og skulder. På mistanke om venetrombose ble det bestilt en venografi, som viste trombose i vena axillaris, v. subclavia og v. brachiocephalica på venstre side med dilatasjon av kollaterale kar (se bildet nederst, video under).

    Tilstanden oppstod hos en tidligere frisk kvinne i slutten av 30-årene som ble gravid for første gang etter assistert befruktning. Hun utviklet ovarialt hyperstimuleringssyndrom grad 2, ble innlagt ti dager etter innsetting av embryo og ble senere fulgt med polikliniske kontroller. Hun brukte rutinemessig tromboseprofylakse med enoksaparin 40 mg × 1 subkutant frem til svangerskapsuke 12 (1).

    I svangerskapsuke 13 kontaktet hun legevakt på grunn av diffus hevelse i venstre arm med tydelig sideforskjell. D-dimer var forhøyet til 3,02 mg/L (referanseverdi < 0,50), og hun ble henvist til ultralydundersøkelse av venstre overekstremitet. Radiologisk ble det ikke funnet holdepunkt for venetrombose, og pasienten dro hjem uten ytterligere vurdering.

    Fire dager senere, tilsvarende uke 14 + 2, kontaktet hun lege på grunn av økende smerte og hevelse på venstre side av hals, skulder og ansikt. Hun ble henvist til akuttmottak, og ved undersøkelse ble det beskrevet diffus ømhet i bløtvev i nedre del av ansikt og hals samt over m. pectoralis på venstre side. Det ble ikke målt D-dimer, men på mistanke om venetrombose ble enoksaparin gjeninnsatt, med 100 mg × 1 subkutant. På mistanke om en hudinfeksjon ble det også gitt penicillin 1,2 g × 4 intravenøst. Det ble bestilt ny ultralydundersøkelse, som etter anbefaling fra radiolog ble omgjort til en venografi.

    Den subkutane hevelsen gikk raskt tilbake ved gjenoppstart av enoksaparin, men asymmetrisk venestase, som sannsynligvis representerer kollateralkar, har persistert fire uker etter behandling med enoksaparin (100 mg × 1).

    Det er kjent at ovarialt hyperstimuleringssyndrom gir økt risiko for dyp venetrombose i overekstremiteter (2), og diagnosen kan være vanskelig å stille med ultralydundersøkelse alene. Ved klinisk mistanke om venetrombose i overekstremitet uten funn ved ultralyd bør man derfor ha lav terskel for å gå videre med tilleggsundersøkelse, enten i form av MR- eller konvensjonell venografi. Det foreligger ikke klare anbefalinger om foretrukket modalitet (3), men basert på et større materiale fra Canada kan MR uten kontrast ansees som trygt i første trimester (4).

    Pasienten har gitt samtykke til artikkelen blir publisert.

    Kommentarer  ( 0 )
    PDF
    Skriv ut

    Anbefalte artikler