Subakutt tyreoiditt etter vaksinering mot SARS-CoV-2

    ()

    sporsmal_grey_rgb
    Abstract

    BACKGROUND

    Subacute thyroiditis is a clinical condition usually seen 1−2 weeks after viral infection in the upper respiratory tract, and has also been reported following infection with COVID-19. Cases of subacute thyroiditis succeeding seasonal influenza vaccination have been described, and recent case reports have reported clinical symptoms and signs typical of subacute thyroiditis following vaccination with mRNA SARS-CoV-2 vaccine.

    CASE PRESENTATION

    A young, healthy female underwent surgery with left-side lobectomy for papillary thyroid carcinoma. Hashimoto's thyroiditis was revealed as an additional histological finding. Six days prior to complementary thyroidectomy of the right lobe the patient received mRNA SARS-CoV-2 vaccine. The histological slides showed features consistent with extensive subacute thyroiditis throughout the entire lobe.

    INTERPRETATION

    As the patient had no other cause for developing subacute thyroiditis, the vaccination against COVID-19 is seen as a plausible source.

    Artikkel

    Subakutt tyreoiditt ble påvist ved histologisk undersøkelse av høyre tyreoidealapp fjernet i forbindelse med behandling for tyreoideakarsinom hos en ung kvinne. Hun hadde fått mRNA-vaksine mot SARS-CoV-2 seks dager tidligere.

    En tidligere vesentlig frisk kvinne i 30-årene ble henvist til ultralydundersøkelse etter å ha oppdaget en kul på halsen. Ultralydundersøkelsen viste forandringer karakteristisk for tyreoiditt samt en hypoekkoisk knute med mål 7 × 13 mm i venstre lapp. Venstre tyreoidealapp ble ekstirpert etter at cytologisk vurdering av finnålsaspirat fra knuten viste papillært tyreoideakarsinom (ikke avbildet).

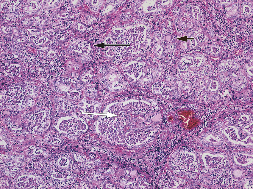
    Inngrepet og det postoperative forløpet var uten komplikasjoner. Tyreoideafunksjonsmarkører ved utredningen viste forhøyet verdi av antistoffer mot tyreoperoksidase (anti-TPO) til 623 kIU/L (referanseområde < 35), et funn som er assosiert med tyreoiditt av Hashimotos type. Tyreoideastimulerende hormon (P-TSH) varierte i området 3,2–4,7 mIU/L (0,35–3,6), og P-fT4 (tetrajodtyronin) varierte i området 9,5–13 pmol/L (9–19). Dette passet med latent hypotyreose. Histologisk undersøkelse bekreftet et papillært karsinom (ikke avbildet) og Hashimotos tyreoiditt (figur 1).

    Pasienten ble satt på behandling med levotyroksin. Ved tverrfaglig vurdering ble det anbefalt kompletterende hemityreoidektomi før behandling med radioaktivt jod. Tre måneder etter det første inngrepet, og seks dager før unilateral kompletterende lobektomi av høyre lapp, fikk pasienten sin første dose av Pfizer/BioNTech-vaksinen mot koronaviruset SARS-CoV-2. Preoperativt var P-TSH 20 mIU/L (0,35–3,6 × 10−3), P-fT4 10 pmol/L (9–19), mens senkningsreaksjonen var 6 mm/t (1–17).

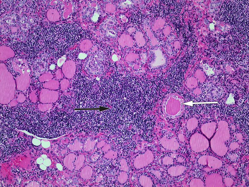
    I operasjonsbeskrivelsen ble det angitt peroperative funn passende med tyreoiditt og fibrose. Inngrepet forløp uten komplikasjoner. Histologisk undersøkelse viste forandringer som ved subakutt tyreoiditt (figur 2), men ingen holdepunkter for ondartet svulst.

    Pasienten hadde ikke kjent gjennomgått covid-19-infeksjon, og ingen symptomer eller biokjemiske funn som indikerte nylig gjennomgått eller pågående infeksjon med annen etiologi.

    Diskusjon

    Diskusjon

    Subakutt tyreoiditt antas å være forbundet med virale infeksjoner i øvre luftveier. Flere virustyper har blitt presentert som mulig utløsende agens (1)(2). I en nylig publisert kasuistikk i Tidsskriftet (3) ble det beskrevet debut av autoimmun tyreoiditt hos en pasient som tre uker tidligere hadde fått påvist covid-19-infeksjon. En årsakssammenheng mellom covid-19-infeksjonen og den autoimmune tyreoiditten ble ansett som sannsynlig.

    Kvinner er mer utsatt for å få subakutt tyreoiditt enn menn. Pasientene opplever vanligvis å få lavgradig feber, slapphet og smerter på halsen initialt i sykdomsfasen (4). Diagnosen stilles som regel på bakgrunn av karakteristiske kliniske funn og laboratorieprøver, men ultralydundersøkelse og finnålsaspirat kan være til god hjelp diagnostisk. Kun unntaksvis blir diagnosen stilt på et operasjonspreparat. I tidlig fase er det histologiske bildet vanligvis dominert av destruerte follikler med tap av epitel og kolloid. Gradvis blir bildet granulomatøst, med økende antall makrofager. Det foreligger ikke tilstrekkelig erfaringsgrunnlag til å kunne avgjøre om utviklingen av de potensielt vaksineutløste histologiske forandringene følger samme forløp som forandringene initiert av en infeksjonssykdom. Både sarkoidose, palpasjonstyreoiditt og andre former for granulomatøs tyreoiditt er nevnt som differensialdiagnoser til subakutt tyreoiditt histologisk, men ingen av disse entitetene vil vanligvis vise så uttalte forandringer som i det aktuelle preparatet.

    Subakutt tyreoiditt etter vaksinering med inaktiverte virale vaksiner ved sesonginfluensa er kjent (5). En nylig publisert kasuistikk beskriver subakutt tyreoiditt med debut fem dager etter mRNA-SARS-CoV-2-vaksinering (Pfizer/BioNTech) (6). Det er også rapportert tre tilfeller av subakutt tyreoiditt med debut 4–7 dager etter vaksinering med inaktivert SARS-CoV-2 (Coronavac) (7).

    I den aktuelle kasuistikken ble det påvist histologiske forandringer typisk for subakutt tyreoiditt seks dager etter mRNA-vaksine mot SARS-CoV-2. Det forelå ingen opplysninger i klinisk journal om gjennomgått eller pågående virusinfeksjon. Pasienten sto ikke på andre medisiner enn levotyroksin. Regranskning av histologisnittene fra venstre tyreoidealapp kunne ikke bekrefte subakutt tyreoiditt i denne lappen, noe som tyder på at forandringene oppsto mellom de to operasjonene. Tidligere kirurgisk inngrep på halsen er, så langt vi erfarer, ikke disponerende for subakutt tyreoiditt. Det samme gjelder behandling med levotyroksin. Morfologien i det aktuelle preparatet viste en betennelse som var mer uttalt enn ved palpasjonstyreoiditt, og uten velutviklede granulomer som man ville forventet ved sarkoidose.

    I fravær av øvrige kjente risikofaktorer, debut kort tid etter vaksinering med mRNA-vaksine mot SARS-CoV-2 og med bakgrunn i litteraturen, mener vi det er sannsynlig at pasienten i denne kasuistikken kan ha fått subakutt tyreoiditt som følge av vaksinering.

    Verken klinisk eller histologisk er det mulig å bekrefte sikkert at tilfeller av subakutt tyreoiditt er utløst av mRNA-vaksine mot SARS-CoV-2-vaksine, men det er en mulig årsakssammenheng.

    Pasienten har gitt samtykke til at artikkelen blir publisert. Artikkelen er fagfellevurdert.

    Kommentarer  ( 0 )
    PDF
    Skriv ut

    Anbefalte artikler