Steroidsparende behandling ved kjempecellearteritt

    ()

    sporsmal_grey_rgb
    Artikkel

    Behandling med tocilizumab og prednisolon ved kjempecellearteritt gir færre residiv enn kun prednisolonbehandling. Dette viser en ny studie.

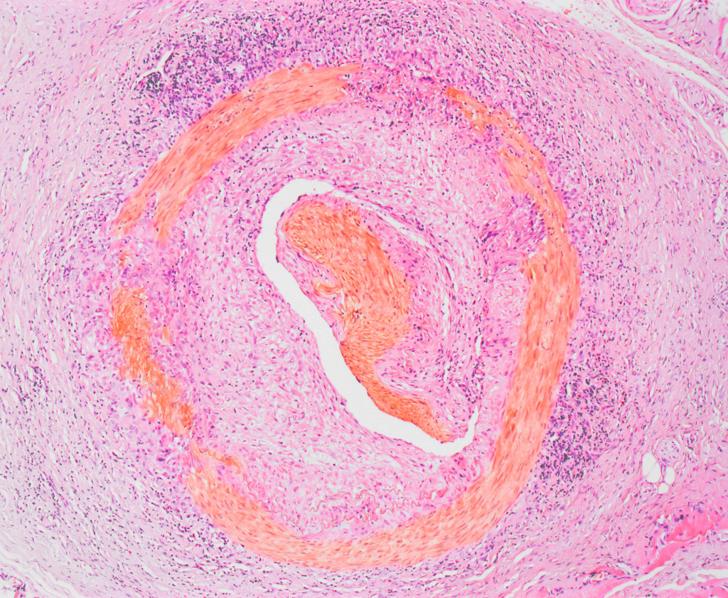
    Kjempecellearteritt, mikrobilde av en del av et berørt kar. Illustrasjonsfoto: Science Photo Library
    Kjempecellearteritt, mikrobilde av en del av et berørt kar. Illustrasjonsfoto: Science Photo Library

    Kjempecellearteritt residiverer ofte når behandling med prednisolon trappes ned. Pasientene må derfor ofte stå på slik behandling i lang tid, noe som fører til mange, til dels alvorlige bivirkninger.

    I en studie som nylig er publisert i New England Journal of Medicine, ble pasienter med kjempecellearteritt randomisert til behandling med tocilizumab, en interleukin-6-reseptorhemmer, eller placebo, i tillegg til prednisolonbehandling (1). Totalt 251 pasienter fikk enten subkutant injisert tocilizumab hver eller annenhver uke kombinert med prednisolon i nedtrappende dosering over 26 uker eller placebo kombinert med prednisolon i nedtrappende dose over 26 eller 52 uker.

    Vedvarende remisjon ble oppnådd hos 53 % og 56 % av pasientene i tocilizumabgruppene versus 14 % og 18 % i placebogruppene (p < 0,001 for begge analyser). Pasienter behandlet med tocilizumab skåret høyere på livskvalitet og mottok lavere kumulativ dose av prednisolon i studieperioden enn pasienter som fikk placebo.

    Denne studien gir håp om et nytt behandlingsalternativ for pasienter med kjempecellearteritt, sier Lene Kristin Brekke, som er spesialist i revmatologi og forsker på kjempecellearteritt ved Haugesund Sanitetsforenings Revmatismesykehus.

    – I de fleste nyere studier har man imidlertid konkludert med at sykdommen har liten eller ingen effekt på dødelighet. Effekt og sikkerhet av tocilizumab utover det første behandlingsåret blir derfor avgjørende for om man kan forvente en omfattende endring i klinisk praksis, sier Brekke.

    Kommentarer  ( 0 )
    PDF
    Skriv ut

    Anbefalte artikler