Lungeembolisme ved synkope?

    ()

    sporsmal_grey_rgb
    Artikkel

    Om lag én av seks som ble innlagt i sykehus etter synkope hadde lungeemboli.

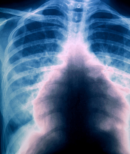
    Røntgen thorax viser massiv lungeembolisme. Foto: Science Photo Library
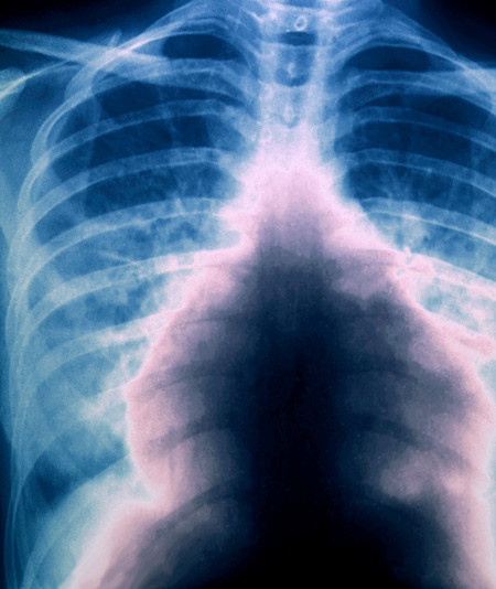
    Røntgen thorax viser massiv lungeembolisme. Foto: Science Photo Library

    Prevalensen av lungeembolisme hos dem som legges inn for synkope er lite dokumentert, og i kliniske retningslinjer for utredning etter synkope vies diagnosen liten oppmerksomhet.

    I en studie som nylig er publisert i New England Journal of Medicine, ble det gjort en systematisk klinisk utredning med tanke på lungeembolisme hos pasienter innlagt med førstegangs synkope (1). Alle pasientene i studien ble undersøkt med tanke på synkope uavhengig av om det forelå andre forklaringer.

    Studien omfattet 560 pasienter (gjennomsnittsalder 76 år) fra 11 sykehus i Italia. Lungeemboli ble utelukket hos 330 (59 %) på grunn av lav pretestsannsynlighet og negativ D-dimer. Hos de resterende 230 ble lungeemboli påvist ved pulmonal CT-angiografi eller ventilasjonsperfusjonsskanning hos 97 (42 %). Prevalensen av lungeemboli i kohorten var 17 % (95 % KI 14 – 21 %). Tilstanden ble påvist hos 13 % av pasientene hvor man fant en alternativ forklaring på synkope, mot hos 25 % av pasientene hvor man ikke gjorde det.

    – Dette er en interessant tverrsnittsstudie, sier Ellen Brodin, forsker i trombosegruppen og overlege ved Hematologisk avdeling, Akerhus universitetssykehus. – Dens styrke er at det er en stor multisenterstudie med klare kriterier for utredning av lungeembolisme, sier hun.

    – Det er viktig å presisere at studiepopulasjonen bare utgjør om lag en femdel av pasientene som ble henvist til akuttmottakene etter synkope. Flertallet fikk påvist en annen årsak enn lungeemboli og ble ikke innlagt. I tillegg ble pasienter som brukte antikoagulerende legemidler ekskludert. Studiens konklusjon om at nesten hver sjette innlagte hadde lungeemboli, gjelder derfor kun en selektert gruppe med høy risiko. Studien gir likevel en nyttig påminnelse om å tenke på diagnosen lungeembolisme ved synkope, spesielt når man ikke finner andre årsaker, sier Brodin.

    Kommentarer  ( 0 )
    PDF
    Skriv ut

    Anbefalte artikler