Kjempecellearteritt

    ()

    sporsmal_grey_rgb
    Artikkel

    En mann i 60-årene oppsøkte legevakt grunnet forbigående synstap på venstre øye. De to forutgående ukene hadde han opplevd anfall av et par minutters varighet med dobbeltsyn eller partielle synsfeltutfall. Han var nylig utredet grunnet redusert allmenntilstand, nattesvette og 10 kg vekttap over to måneder, uten at det ble funnet malignitet eller annen forklaring. Ved anamnese bekreftet pasienten kjeveklaudikasjon og smerter i tinningen. Blodprøver viste senkningsreaksjon på 94 (aldersjustert ≤ 30 mm) og C-reaktivt protein (CRP) på 129 (< 5 mg/l).

    Pasienten ble innlagt på sykehus med mistanke om kjempecellearteritt. Ved innleggelse var det normal synsfunksjon og øyestatus. Det ble palpert sidelik puls i begge arteriae temporalis.

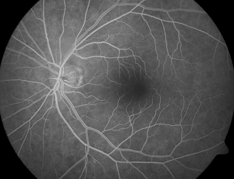
    På mistanke om kjempecellearteritt ble behandling igangsatt med metylprednisolon intravenøst 250 mg × 4 i fire dager, deretter 60 mg prednisolon daglig og videre langsom nedtrapping. Tross behandling opplevde pasienten initialt stadige ortostatisk utløste kortvarige synstap. Etter to døgn ble acetylsalisylsyre lagt til behandlingen. Det tredje døgnet mistet pasienten synet på venstre øye. Fluoresceinangiografi tatt under synstapet viste tilnærmet opphevet retinal sirkulasjon. Bildet til venstre viser en nær komplett avstenging av arteria centralis retinae – lyse, fluorescerende kar er perfunderte, mens mørke ikke er perfunderte. Etter omtrent seks timer kom synet tilbake.

    Biopsi av arteria temporalis bekreftet kjempecellearteritt (e-fig). Ved kontroll noen måneder senere følte pasienten seg frisk, og synsfunksjonen var normal. På bildet til høyre kan man se at fluoresceinangiografi av venstre øye viste normal retinal sirkulasjon.

    Kjempecellearteritt er en kronisk vaskulitt. Sykdommen rammer personer over 50 år, og risikoen øker med alder. I omkring 30 % av tilfellene affiseres arteria ophtalmica med påfølgende risiko for iskemisk betinget synstap. Høyest insidens finner man i skandinaviske befolkningsgrupper.

    Kortikosteroider anses som standardbehandling ved kjempecellearteritt. Pasienten fikk en døgndose på 1 000 mg metylprednisolon de første fire dagene, ekvivalent til en døgndose prednisolon på 125 mg. I litteraturen varierer valg av initial prednisolon-døgndoseekvivalent fra 55 mg til 1 000 mg. Det er ikke vist at høyere doser har større synsbedrende effekt enn lavere (1, 2). I dette tilfellet var en moderat steroiddose tilstrekkelig for å unngå varig synstap. Retrospektive studier har også vist en beskyttende effekt av lavdose acetylsalisylsyre mot iskemiske komplikasjoner (1).

    Seks timers manglende perfusjon av retina ville normalt ha resultert i celledød og dermed varig tap av synsfunksjon. Vi må derfor anta at blodsirkulasjonen bedret seg tidligere, men at synsfunksjonen fortsatt var svekket på grunn av redusert metabolisme. Sykehistorien illustrerer at kjempecellearteritt er en potensielt synstruende tilstand, selv etter påbegynt behandling.

    Pasienten har gitt samtykke til at artikkelen blir publisert. Vi takker overlege Helge Scott ved Avdeling for patologi, Oslo universitetssykehus for analyse av den histologiske prøven. Vi takker også fotografer ved Øyeavdelingen, Oslo universitetssykehus for bildene.

    Kommentarer  ( 0 )
    PDF
    Skriv ut

    Anbefalte artikler