Luft fra tarm til hals

    ()

    sporsmal_grey_rgb
    Artikkel

    En kvinne i 60-årene kontaktet legevakten grunnet halssmerter og feber. Når hun snakket, svelget og beveget hodet, ble smertene forverret. Smertene hadde startet dagen før, kun få timer etter at hun hadde fått fjernet en polypp i rektum ved sitt lokalsykehus. Hun var øm i magen, men ømheten forsvant når hun var i ro.

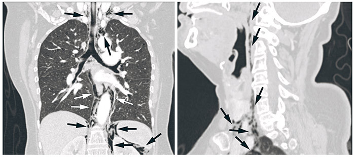
    Ved undersøkelse på legevakten var hun subfebril, oropharynx var uten anmerkning og hennes abdomen var bløt med normale tarmlyder, men diffust øm ved palpasjon. CRP var 200 mg/l. Muligheten for en rektal perforasjon etter polyppektomi ble overveid, og det ble gjort en røntgen oversikt abdomen som ga mistanke om fri luft retroperitonealt. En CT-undersøkelse av collum, thorax og abdomen bekreftet fri luft (se piler) i retroperitoneum, mediastinum og retrofaryngealt, hvor sistnevnte forklarte hennes halssmerter. Pasienten ble behandlet konservativt med intravenøs antibiotika og faste, og ble utskrevet fra sykehuset seks dager senere.

    Forklaringen på at luft kan spre seg på denne måten er de potensielle anatomiske rommene som strekker seg fra retroperitoneum, gjennom mediastinum og opp til halsen. Den økende bruken av diagnostiske og terapeutiske endoskopier gjør at man bør være oppmerksom på komplikasjoner, og at perforasjon med retroperitoneal luft kan gi uventede symptomer (1).

    Pasienten har gitt samtykke til at artikkelen blir publisert.

    Kommentarer  ( 0 )
    PDF
    Skriv ut

    Anbefalte artikler