Typisk vekstmønster for malignt pleuralt mesoteliom

    ()

    sporsmal_grey_rgb
    Artikkel

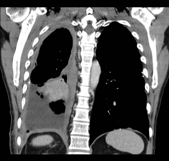
    En mann i 60-årene ble utredet på bakgrunn av økende dyspné. Han hadde vært eksponert for asbest noen uker i 1970-årene, og hadde røykt fra 15 års alder. Det ble ikke funnet atypiske celler i pleuravæske. Diagnosen pleuralt mesoteliom ble fastsatt etter åpen pleurabiopsi. 18-fluorodeoksyglukose positronemisjonstomografi kombinert med computertomografi (18F-FDG PET/CT) ble rekvirert for å avklare om han kunne være kandidat for kirurgi.

    18F-FDG tas opp i celler med høyt energibehov, som hjerte- og hjerneceller, betennelsesceller og maligne celler. Avbildning med PET/CT viser til venstre opptak i et malignt pleuralt mesoteliom med typisk utbredelse langs mesotelkledde hinner, her langs høyre pleura, inkludert lappespaltene. Til høyre viser CT alene de strukturelle forandringene i detalj, men skiller dårligere mellom viabelt tumorvev og benigne forandringer, som atelektase.

    18F-FDG PET/CT gir mulighet for mer nøyaktig bestemmelse av sykdomsutbredelsen enn CT alene. Dette utnyttes blant annet til å selektere pasienter med begrenset sykdom for kirurgi. Ved pleurafortykkelse av ukjent årsak kan undersøkelsen være til hjelp i vurderingen av hvorvidt fortykkelsen skyldes malignitet. På grunn av lav oppløselighet har undersøkelsen imidlertid begrenset sensitivitet for små eller tynne maligne lesjoner (< 5 – 8 mm, avhengig av kamerateknologi). Tynne eller små maligne lesjoner i pleura inkludert i lappespalter kan derfor være PET-negative. Tykkere lesjoner uten opptak av 18F-FDG er mest sannsynlig benigne, selv om man må ta høyde for enkelte tumortyper som ikke tar opp stoffet.

    Malignt pleuralt mesoteliom påvises årlig i Norge hos ca. 50 – 70 menn og ca. 15 kvinner (1). Sykdommen er vanligvis yrkesrelatert og knyttet til asbesteksponering – med latenstid 30 – 50 år. Prognosen er alvorlig, og under 10 % er i live tre år etter diagnosen.

    Hos denne pasienten ble utbredelsen vurdert å være for omfattende til at kirurgi var aktuelt. Han ble behandlet med palliativ kjemoterapi med målsetting livsforlengelse og symptomkontroll.

    Pasienten har gitt samtykke til at artikkelen blir publisert.

    Kommentarer  ( 1 )
    PDF
    Skriv ut

    Anbefalte artikler