Fluktuerende carotistumor

    ()

    sporsmal_grey_rgb
    Artikkel

    En ellers frisk kvinne i 50-årene fikk akutt hjerneinfarkt i høyre cerebrale hemisfære ti år etter gjennomgått nakkekirurgi med fiksasjon av virvlene C4-C7 via fremre tilgang.

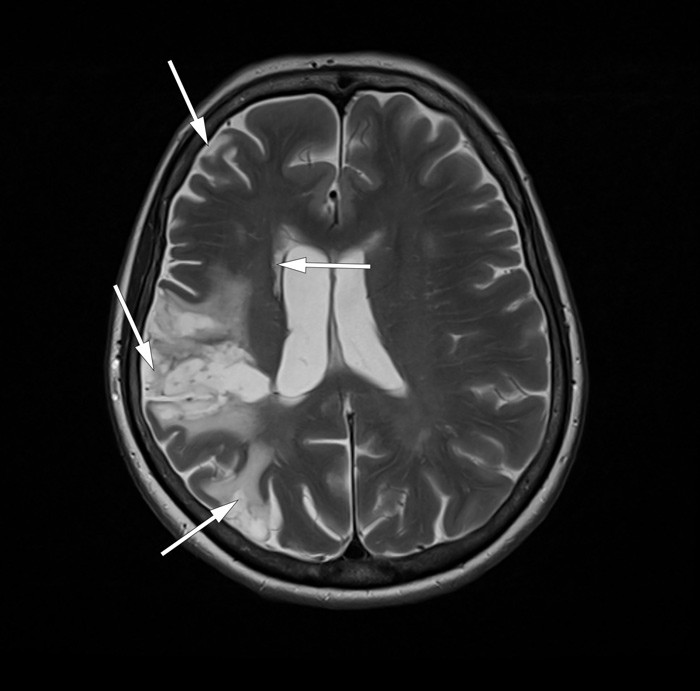
    De to første årene etter dette akutte hjerneinfarktet hadde hun multiple transitoriske iskemiske anfall (TIA) og flere MR-bekreftede spredte infarkter i høyre hemisfære (bilde kun i nettutgaven), til tross for platehemmende og antikoagulerende behandling. Hun utviklet dysartri, venstre facialisparese og venstresidige sensimotoriske utfall. Grundig utredning inkludert ultralyd precerebrale halskar og CT-angiografi avdekket i denne perioden ikke embolikilde.

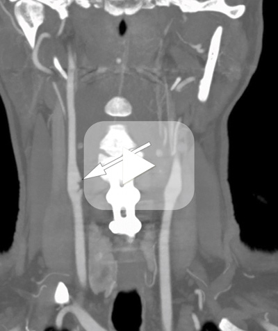
    Først to år etter første hjerneinfarkt viste ny ultralydundersøkelse av høyre a. carotis interna en pendulerende, veggtilheftet masse (video) som med pulsativ bevegelse inn i lumen ga intermitterende stenose på rundt 60 % . Funnet ble også sett på CT-angiografi, som viste veggforandringer (bilde kun i nettutgaven). Ved sammenlikning av flere CT-angiografiske undersøkelser så man leieendring av carotiskar på høyre side. Veggforandringens utseende var ikke typisk for arteriosklerotiske plakk, idet det var en enslig fokal lesjon som protruderte inn i lumen med membranliknende seil (bildet).

    Det ble gjort carotiskirurgi med ekstirpasjon av en gelatinøs stilket, fluktuerende masse (bilde kun i nettutgaven), som ved mikroskopisk undersøkelse var dominert av fibroblaster, ikke lipider eller kalk som ved aterosklerotiske plakk. Flere måneder postoperativt er pasienten fri for nye iskemiske hendelser.

    Høyst trolig var den veggfaste tumoren i høyre a. carotis interna årsak til de iskemiske hendelsene. Tumoren er sannsynligvis stadig blitt fragmentert og har embolisert til hjernen, hvorpå det ikke ble påvist noe patologisk ved ultralyd og CT-angiografi. Under de nakkekirurgiske inngrepene kan det ha oppstått skade (disseksjon) av arterien, med utvikling av et trombogent fokus på indre vegg og endrede anatomiske forhold i nakken, noe som har resultert i mobil arterie som sekvele (1). Skade av a. carotis interna ved nakkekirurgi er en velkjent, men uvanlig komplikasjon. Mobiliteten i karet, med leiendring sett på CT-angiografi, kan i tillegg gi skade i indre karvegg, med trombogen flate som følge.

    Denne pasienthistorien understreker viktigheten av gjentatte undersøkelser for å avdekke patologiske tilstander, spesielt ved residiv av symptomer på tross av negative initiale funn.

    Pasienten har gitt samtykke til at artikkelen blir publisert.

    Kommentarer  ( 0 )
    PDF
    Skriv ut

    Anbefalte artikler