Perler i en ovariecyste

    ()

    sporsmal_grey_rgb
    Artikkel

    Av alle forunderlige tilstander man som student blir introdusert for, er dermoidcysten blant de mer fascinerende. Dermoidcysten er en variant av modne teratomer, som kan inneholde vev med utgangspunkt i alle tre kimlag (ektoderm, endoderm, mesoderm), eksempelvis hud, hjernevev, slimhinne, hår, tenner og muskulatur. Hos voksne finnes teratom oftest i ovarium, der vanligste er ovariale germinalcelletumorer, og sjeldnere i testikkel. Mange andre lokalisasjoner er mulige, men sjeldne.

    Ovariale dermoidcyster påvises og karakteriseres som regel ved transvaginal ultralyd. MR- eller CT-undersøkelse benyttes i noen tilfeller for preoperativ verifisering ved å dokumentere innhold av fett, eventuelt fett/væske-speil (1). Slike funn er diagnostiske for dermoidcyste, men tilstanden kan noen ganger ha en uvanlig presentasjon.

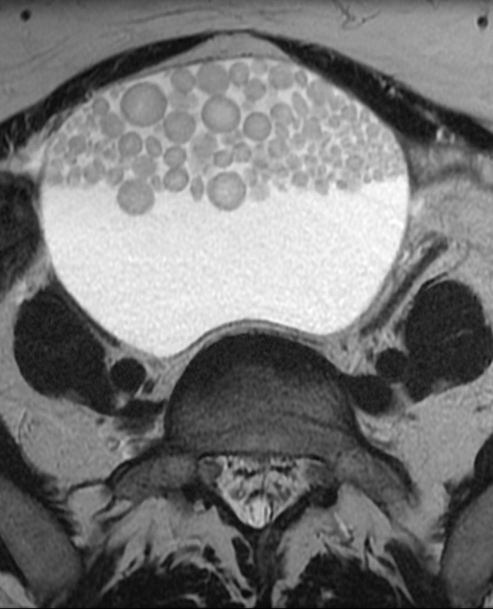
    En kvinne tidlig i 40-årene var henvist til MR-undersøkelse av lille bekken for karakterisering av ovariecyster. To cyster på ca. 5 – 6 cm inneholdt fett. Aksialt T2-vektet bilde (se bilde) viste en større cyste på 15 cm som inneholdt væske og multiple antideklivt beliggende, solide kuler. Disse var av varierende størrelse, men ellers ganske ensartede. Slike kuler kan – når de er til stede – ha et karakteristisk utseende ved ultralyd (floating intracystic balls) og regnes som patognomoniske for dermoidcyster (2). De består vesentlig av talg og keratin. Sentralt finnes gjerne et nidus, eksempelvis et hårstrå. Det er nærliggende å sammenlikne utviklingen av disse kulene med danningen av en perle i en musling.

    Pasienten har gitt samtykke til at artikkelen blir publisert.

    Kommentarer  ( 0 )
    PDF
    Skriv ut

    Anbefalte artikler