Ektopisk thyreoidea

    ()

    sporsmal_grey_rgb
    Artikkel

    En kvinne i 80-årene fikk påvist en tumor i munngulvet som tilfeldig funn på CT thorax. CT thorax var pga. pasientens anatomi tatt med høyere snitt enn normalt. Pasienten ble henvist til øre-nese-hals-avdeling for utredning.

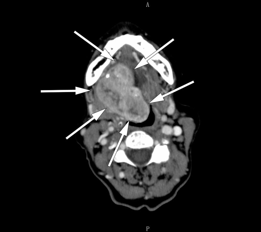
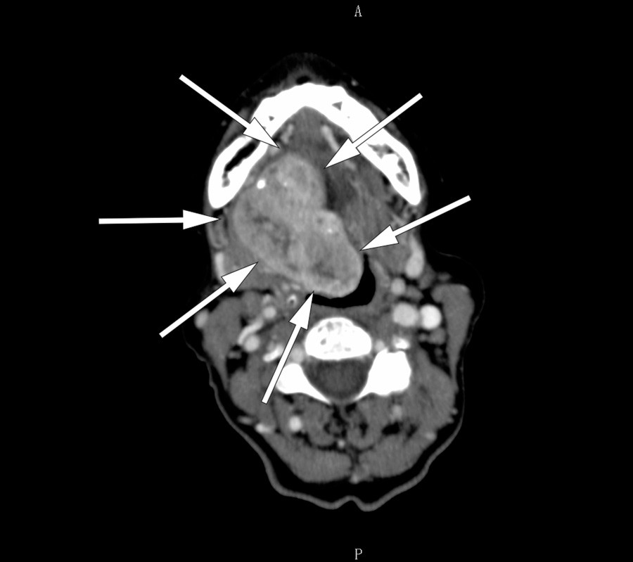
    Det ble tatt CT collum med kontrast (bilde til venstre), som viste en stor tumor i munngulvet. MR collum med kontrast (bilde til høyre) viste uregelmessig kontrastopptak i tumor. Finnålscytologi viste vev best forenlig med glandula thyreoidea uten tegn til malignitet. Funnene tydet på ektopisk thyreoidea, og regranskning av CT-bildene viste manglende thyreoideavev på vanlig lokalisasjon. Blodprøver viste at pasienten var eutyreot og negativ for antityreoperoksidase og antityreoglobulin.

    Pasientens ektopiske thyreoidea var velfungerende og det eneste thyreoideavev hun hadde, og burde derfor ikke fjernes. Det var ikke indikasjon for videre behandling (1).

    Ektopisk thyreoidea er definert som funksjonsdyktig thyreoideavev utenfor den normale anatomiske lokalisasjonen. Tilstanden oppstår ved feilaktig vandring fra det mediale anlegget ved foramen caecum langs ductus thyreoglossus i fosterlivet. Alle kjente thyreoideasykdommer kan også oppstå i ektopisk vev (1, 2).

    Pasienten har gitt samtykke til at artikkelen blir publisert.

    Engelsk oversettelse på www.tidsskriftet.no

    Kommentarer  ( 0 )
    PDF
    Skriv ut

    Anbefalte artikler