Bobling i brystet

    ()

    sporsmal_grey_rgb
    Artikkel

    En kvinne i 50-årene kontaktet fastlegen fordi hun de siste tre månedene hadde hatt kortvarige anfall med urolig hjerte, kraftig puls og følelsen av «bobling i brystet». Hun kunne merke dette når hun endret stilling, men ikke i forbindelse med fysisk aktivitet.

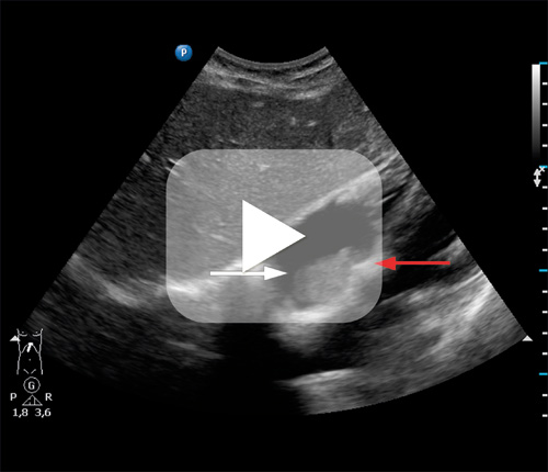
    Det var normale funn ved auskultasjon av hjerte og lunger og normal puls, normalt blodtrykk, surstoffmetning og EKG. Ettersom fastlegen hadde ultralydutstyr, undersøkte han henne med en abdominal probe subkostalt. Han oppdaget da en moderat ekkorik tumor (hvit pil) i høyre atrium på 2 × 3 cm som var tilheftet septum (rød pil). Fastlegen kontaktet kardiolog ved lokalsykehuset med spørsmål om dette kunne være en trombe eller et myksom. Kardiologen undersøkte pasienten samme dag, og tumor ble bekreftet med ekkokardiografi og senere med MR cor, som ga mistanke om myksom eller sarkom. Pasienten ble operert ved universitetssykehus en måned senere, og diagnosen myksom ble bekreftet histologisk.

    Myksom er en sjelden og oftest godartet tumor. Lokalisert i høyre atrium kan symptomene være uspesifikke, som vekttap, feber, anemi og artralgi, før det kan oppstå alvorlige komplikasjoner som lungeembolisme eller hjertestans (1). Sykehistorien kunne ha vakt legens mistanke om at det forelå en behandlingstrengende lidelse, men pasienten ville neppe fått diagnosen like raskt dersom fastlegen ikke hadde hatt og behersket bruken av ultralydutstyr. Bruk av ultralyd i førstelinjetjenesten krever en undersøker med tilstrekkelig kunnskap om metoden og om hvordan negative eller positive funn skal brukes i den videre oppfølging av pasienten.

    Pasienten har gitt samtykke til at artikkelen blir publisert.

    Kommentarer  ( 0 )
    PDF
    Skriv ut

    Anbefalte artikler