Nasogastrisk sonde på ville veier

    ()

    sporsmal_grey_rgb
    Artikkel

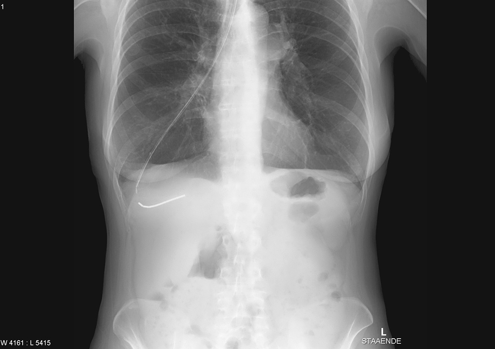
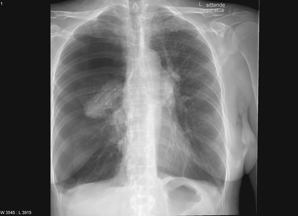
    En kvinne i 60-årene var innlagt med svelgevansker og ernæringsproblemer. Hun var fra tidligere diagnostisert med supraglottisk plateepitelcancer og behandlet med utvidet strålefelt mot halsen og med cytostatika. Ved denne innleggelsen fikk hun lagt ned en tynn nasogastrisk sonde. Sonden hadde ytre diameter 1,95 mm og en stålmandreng. Den lot seg tilsynelatende føre ned ukomplisert. Ved instillasjon av 10 ml luft hørtes ikke bobler som normalt over magesekken. Røntgen av nedre thorax og øvre abdomen viste at sonden hadde fulgt bronkialtreet langt ut i høyre lunge (bilde til venstre). Sonden ble fjernet, men kort tid etter fikk kvinnen store pusteproblemer og stansalarmen måtte aktiveres. Røntgen thorax viste en stor høyresidig pneumothorax (bilde til høyre). Den ble vellykket behandlet med kirurgisk anlagt pleuradren.

    Pasienter med gjennomgått cancer og strålebehandling i øre-nese-hals-området har ofte store ernærings- og svelgevansker som gjør det nødvendig å legge ned en nasogastrisk sonde. Samtidig er ofte anatomiske forhold endret og vanlige reflekser svekket, slik at man må være ekstra varsom ved nedlegging av sonden. Det finnes imidlertid også flere beskrivelser av pasienter uten strålebehandlet kreftsykdom, noen med trakeostomitube og orale tuber med oppblåst mansjett, som har fått lagt ned tynn ernæringssonde ut gjennom pleura uten symptomer (1), for så å få en alvorlig pneumothorax i det ernæringssonden dras tilbake. Dette skjedde også hos vår pasient. Pleuradrenberedskap anbefales derfor før ernæringssonden trekkes ut (1).

    Pasienten har gitt samtykke til at artikkelen blir publisert.

    Kommentarer  ( 0 )
    PDF
    Skriv ut

    Anbefalte artikler