Tumordiagnostikk

    ()

    sporsmal_grey_rgb
    Artikkel

    Innen medisinsk diagnostikk har bruken av moderne bildeteknologi økt betraktelig. Som konsekvens av dette gjøres det flere funn av uklar natur, noe som kan føre til problemer i pasientbehandlingen. For nærmere avklaring vil det da ofte være nødvendig med vevsundersøkelse. Gullstandarden for klassifisering av neoplasier er lysmikroskopisk undersøkelse av innstøpt vev, eventuelt supplert med tilleggsanalyser av vevet, men ved mange problemstillinger er det tilstrekkelig å vurdere et cytologisk utstryk fra tumoren.

    Ved finnålscytologi tas prøven med en tynn nål direkte fra ønsket område. Med unntak for tumorer med en høy andel bindevev er dette en egnet metode ved de fleste svulster, og ved flere sykehus er den en veletablert del av utredningen. Avhengig av lokalisering kan prosedyren gjøres palpatorisk eller under radiologisk veiledning. For å få et representativt materiale er det viktig at legene som tar prøvene, har fått opplæring i teknikken. Fortolkningen bør gjøres av patologer med erfaring innen cytologi. Om dette følges, har metoden høy sensitivitet (> 90 %), men noe lavere spesifisitet.

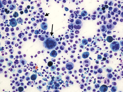
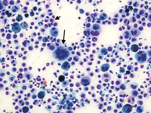
    Bildet viser et finnålscytologisk preparat av en metastase fra et malignt melanom. De fleste tumorcellene er jevnstore, med blålig (basofilt) cytoplasma (kort svart pil) og en til to mørke (hyperkromatiske) kjerner. De store cellene (lang svart pil) representerer også tumorceller, de to største trolig i mitose. Cellene med boblet cytoplasma er makrofager med melaninpigment (rød pil).

    Oppgitte interessekonflikter:

    Ingen

    Kommentarer  ( 0 )
    PDF
    Skriv ut

    Anbefalte artikler