Background.
The dopamine deficiency syndrome Parkinson’s disease (PD) is characterized by tremor, rigidity, bradykinesia and reduced postural reflexes. Conditions with similar symptoms but other causes than PD (about 1/3 of cases) are called atypical parkinsonism. From a neuropathological perspective, PD is associated with loss of nigro-striatal dopaminergic neurons (related to motor symptoms) and accumulation of alpha-synuclein-containing Lewy bodies in the mid-brain. Nigro-striatal pathways may also be involved in atypical parkinsonism, but lesions in other parts of the brain/basal ganglions dominate. Parkinsonism may also be related to chronic cerebrovascular disease or use of drugs with extrapyramidal side effects.
Material and methods.
Articles retrived from PubMed were reviewed to examine current knowledge on diseases other than PD that can induce parkinsonism.
Results and interpretation.
Diseases with atypical parkinsonism usually start more symmetric than PD and tremor is either not present or differs from the typical rest tremor seen in PD. An exception is corticobasal degeneration with very asymmetric symptoms. Other (plus-) symptoms in atypical parkinsonism are (early) falling tendency, dizziness upon change of position, coordination difficulties or early cognitive decline. The article describes the clinical characteristics of atypical parkinsonism, possibilities of improved diagnostics with supplementary examinations and alternative treatment strategies.
Diagnosen Parkinsons sykdom mistenkes gjerne av pasienten selv, pårørende eller allmennlege. I Norge blir pasientene vanligvis henvist til nevrolog ved opptreden av parkinsonistiske symptomer, men studier viser at det også for nevrologer kan være vanskelig å fastsette riktig diagnose i begynnelsesstadiet. Ved autopsi av pasienter med klinisk sikker diagnose ble diagnosen Parkinsons sykdom nevropatologisk bekreftet i bare i 90 % av tilfellene, mens denne prosentandelen var på 70 – 80 % et tiår tidligere (1). Trolig er bedre kunnskap om det kliniske sykdomsbilde ved de forskjellige typer parkinsonisme årsak til den økte presisjonen i diagnostikken (2). Klinisk erfaring er avgjørende for å stille riktig diagnose ved parkinsonisme. Spesielt er det vanskelig å fastsette diagnosen i tidlig stadium av sykdommen. Etter aksepterte kriterier skal pasientene ha bradykinesi i tillegg til minst ett av funnene tremor, rigiditet eller reduserte posturale reflekser for å få diagnosen mulig Parkinsons sykdom. Dersom tilstanden er levodoparesponsiv, defineres tilstanden som sannsynlig Parkinsons sykdom (3). Begrepet sikker Parkinsons sykdom krever nevropatologisk bekreftelse av diagnosen med funn av lewylegemer i hjernestammen og bortfall av nigrostriatale nevroner.
Parkinsons sykdom er nest etter Alzheimers sykdom den vanligste av de degenerative sykdommer i nervesystemet. Nylig er det gjennomført en insidensstudie på Sør-Vestlandet som viser at den årlige insidens av mulig Parkinsons sykdom er 13/100 000 (4). Av totalt 581 vurderte pasienter hadde 262 mulig Parkinsons sykdom etter Gelb-kriteriene (3). Andre årsaker til parkinsonisme var progressiv supranukleær parese i 0,3 %, multippel systematrofi i 1,2 %, demens med lewylegemer i 4,6 %, medikamentutløst parkinsonisme i 5,3 % og vaskulær parkinsonisme i 9 %. 15,5 % av de undersøkte pasientene hadde ikke parkinsonisme og fikk diagnosen essensiell tremor. Disse klinisk baserte diagnosene gir en pekepinn om frekvensen av de forskjellige typer parkinsonisme i Norge.
Ved parkinsonisme er riktig diagnose viktig ikke bare for valg av behandling, men også fordi symptomutvikling og prognose er forskjellige ved de forskjellige typer parkinsonisme. Sammenliknet med befolkningen for øvrig er forventet levetid fra diagnosetidspunktet ved idiopatisk Parkinsons sykdom redusert med ca. ti år ved sykdomsdebut før 65 år, men bare fem år ved debut etter fylte 65 år (5, 6). Andre primært degenerative sykdommer i hjernen som gir parkinsonisme, har dårligere prognose med en gjennomsnittlig overlevelse på 6 – 8 år fra diagnosetidspunktet (7) – (9). Pasienter med demens med lewylegemer har kortere overlevelse enn pasienter med Alzheimers sykdom, og prognosen er sammenliknbar med det man ser ved de nevnte degenerative hjernesykdommer med parkinsonisme (10). Medikamentindusert parkinsonisme kan gå i full regress ved seponering av nevroleptika. Ved vaskulær parkinsonisme er avdekking og behandling av vaskulære risikofaktorer avgjørende for den videre utviklingen av sykdommen. I det følgende gis det en oversikt over kliniske karakteristika ved atypisk parkinsonisme sammenholdt med det klassiske bildet ved genuin Parkinsons sykdom.
Materiale og metode
Et ikke-systematisk søk i PubMed ble gjennomført. Over 50 nyere arbeider og en del eldre ble gjennomgått og skjønnsmessig utvalgt som referanser for denne artikkelen. Ved bruk av oversiktsartikler er også primærkilder kontrollert.
Multippel systematrofi
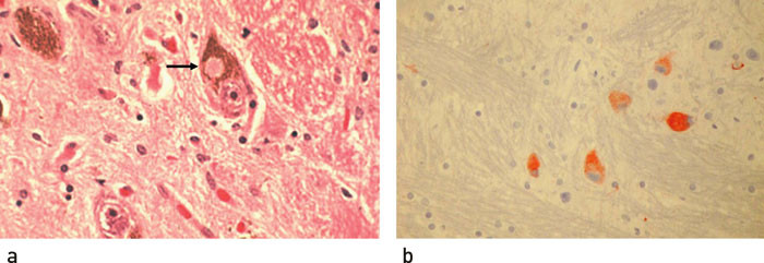
Begrepet multippel systematrofi ble introdusert av Graham & Oppenheimer i 1969 som fellesnevner for striatonigral degenerasjon, olivopontocerebellar atrofi og Shy-Dragers syndrom, ettersom det forelå et nevropatologisk kontinuum av forandringer ved disse tilstandene (11). Tilstanden er karakterisert opphopning av alfasynuklein, ikke som lewylegemer som ved Parkinsons sykdom (fig 1a), men hovedsakelig som fibrillære inklusjoner i oligodendrocytter og intranevronalt som et nett rundt kjernen. Forandringene ses vesentlig i striatum, hjernestamme, autonome systemer, og cerebellopontine baner. Tilstanden er klinisk karakterisert av en kombinasjon av symmetrisk parkinsonisme, ataksi og dysautonomi tidlig i sykdomsutviklingen. Mest fremtredende autonome symptomer er ortostatisk hypotensjon, stridor, dysfagi, urininkontinens, obstipasjon og erektil dysfunksjon. Pasientene har oftest bradykinesi og rigiditet, mens tremor er mer uvanlig. Cerebellar dysfunksjon fører vanligvis til ataksi og gangvansker, og det er ikke uvanlig at man kan se affeksjon av kortikospinale baner med hyperrefleksi og inverterte plantarreflekser. Man klassifiserer multippel systematrofi som MSA-p med overvekt av parkinsonistiske symptomer, MSA-c med overvekt av cerebellare symptomer, og ev. MSA-a, der autonome symptomer er mest fremtredende.
Diagnosen hviler først og fremst på den kliniske vurderingen, men av og til kan supplerende undersøkelser gi diagnostisk hjelp. Autonome tester med måling av blodtrykk og puls liggende kan avdekke autonom svikt (12). MR-undersøkelse av hjernen kan i noen tilfeller avdekke forandringer som er karakteristiske for tilstanden. I 60 % av tilfellene kan man finne en periputaminal hyperintensitet, som er nesten patognomonisk (13). Det kan videre avsløres atrofi av putamen, nedre del av hjernestammen, hjernepedunkler og cerebellum, og også høysignal i hjernestammen (cross bun sign) (fig 2a). I klinisk praksis er det likevel som oftest forløpet av sykdommen og den manglende klare responsen på levodopa som etter hvert sannsynliggjør diagnosen.
Demens med lewylegemer
I likhet med Parkinsons sykdom og multippel systematrofi er demens med lewylegemer nevropatologisk kjennetegnet av opphopning av alfasynuklein, og som ved Parkinsons sykdom samlet i lewylegemer. Disse finnes ikke bare i basalgangliene, men også i paralimbiske strukturer og i neocortex. Det foreligger betydelig reduksjon av acetylkolin i neokortikale hjerneområder (14). Demens med lewylegemer regnes som årsak til ca. 20 % av pasienter med demens og kan debutere både som parkinsonisme og kognitiv svikt. Ved parkinsonisme med opptreden av demens innen ett år fra sykdomsdebut skal demens med lewylegemer mistenkes. Typisk er tidlige hallusinasjoner, vrangforestillinger og fluktuerende kognitiv svikt (15). Pasientene er svært følsomme for levodopa og kan respondere med hallusinasjoner på selv lave doser. Man skal være forsiktig med antipsykotika, fordi disse pasientene har lett for å utvikle et malignt nevroleptikasyndrom med høy feber og uttalt parkinsonisme.
Det diskuteres om demens med lewylegemer er en annen sykdom enn Parkinsons sykdom eller Parkinsons sykdom med tidlig utvikling av demens. Nevropatologiske studier og helt nye MR-volumetridata trekker i retning av at det dreier seg om to forskjellige sykdommer. Kortikal atrofi er vanligere og mer uttalt ved demens med lewylegemer enn ved Parkinsons sykdom med tilsvarende demens (16, 17). Ingen supplerende undersøkelser kan skille de to tilstandene.
Progressiv supranukleær parese
I motsetning til alfasynukleinopatiene Parkinsons sykdom, multippel systematrofi og demens med lewylegemer er progressiv supranukleær parese en tauopati. Tau avleires intranevronalt spesielt i øvre deler av hjernestammen (fig 1b) og i globus pallidus, som gradvis atrofierer. Vanligvis er det beskrevet at progressiv supranukleær parese debuterer tidligere enn Parkinsons sykdom og multippel systematrofi, men en større studie har nylig vist at median debutalder er 65 år (18). Klassiske kliniske tegn ved slik parese er en symmetrisk og vesentlig aksial parkinsonisme med tidlig falltendens (oftest bakover) og innskrenkede vertikale øyebevegelser samt langsomme vertikale sakkader. Det er nevropatologiske likheter mellom progressiv supranukleær parese og frontotemporal demens, og man observerer ofte personlighetsforstyrrelser som apati, redusert impulskontroll og redusert språkfunksjon. Subkortikal demens ble første gang beskrevet ved progressiv supranukleær parese. En demens av denne typen innebærer at tankegangen er langsom, pasientene kommer gjerne frem til riktig svar når de får tid på seg eller presenteres for alternativer. Dette klarer ikke pasienter med en kortikal demens, f.eks. pasienter med Alzheimers sykdom, fordi pasientene ikke tar inn ny informasjon på grunn av svikt i hippocampus. I tillegg har pasientene tendens til perseverasjon som kan testes klinisk ved f.eks. en applaustest. Når man ber pasienten klappe tre ganger i hendene, kan pasienter med progressiv supranukleær parese ofte ikke stoppe etter tre klapp, men kan fortsette, av og til nesten i det uendelige. Dette ses ikke ved Parkinsons sykdom.
Prognosen er vanligvis dårlig, med en median overlevelse på bare seks år. Det synes å være en gruppe pasienter som har langsommere progrediering og lengre overlevelse, og det er nylig foreslått å skille klassisk form (Richardsons syndrom) fra «Parkinson-PSP» på dette grunnlag (19).
Diagnostisk er det typiske kliniske bilde med tidlig falltendens og reduserte vertikale øyebevegelser viktigste måte å skille progressiv supranukleær parese fra Parkinsons sykdom. MR-undersøkelse av hjernen kan i mer avanserte tilfeller vise tydelig atrofi av mesencephalon med utseende som en fugl i sideplan (hummingbird (kolibri) sign) (fig 2b).
Kortikobasal degenerasjon
Kortikobasal degenerasjon er sjeldnere enn andre primært degenerative hjernesykdommer med parkinsonisme. Det er en tauopati, og man kan av og til se syndromene kortikobasal degenerasjon, progressiv supranukleær parese og frontotemporal demens flyte over i hverandre. Klinisk kjennetegnes tilstanden av asymmetrisk parkinsonisme uten tremor og ofte affiseres en arm initialt med betydelige motoriske problemer. De motoriske problemene er mer omfattende enn det man ser ved andre typer parkinsonisme, og pasientene kan ha uttalt apraksi. I noen tilfeller beveger armen seg ufrivillig i rommet (alien hand). Pasientene kan ha svekket evne til å gjenkjenne gjenstander som de får i hånden (agnosi) (20), og det er kombinasjonen av parkinsonisme og kortikale symptomer som apraksi og agnosi som har gitt sykdommen navn.
Der er ingen andre måter å diagnostisere sykdommen på enn ved klinisk vurdering og registrering av manglende levodoparespons. MR av hjernen er vanligvis helt normal den første tiden av sykdommen, men en asymmetrisk kortikal atrofi kan tilkomme i mer avanserte tilfeller.
Vaskulær parkinsonisme
Cerebrovaskulær sykdom er årsak til ca. 5 % av tilfellene av parkinsonisme (21). Parkinsonisme kan forårsakes av insulter, som omfatter basalgangliene, men nesten aldri som en isolert lesjon. Disse pasientene vil derfor nesten alltid ha andre symptomer som tegn på insultet enn de parkinsonistiske. Det kan være vanskeligere å stille diagnosen ved den såkalte vaskulære pseudoparkinsonisme, som skyldes multiple småinfarkter subkortikalt. Klinisk arter denne tilstanden seg mer som progredierende gangvansker av parkinsonistisk type (lower body parkinsonisme) enn som en asymmetrisk parkinsonisme med tremor. Når pasientene sitter, kan de være relativt asymptomatiske. Tilstanden kan ha en ganske brå start, hvilket gjør at cerebrovaskulær årsak mistenkes, men langsom progrediering av symptomene er ikke uvanlig. Ved MR av hjernen kan man påvise forandringer forenlig med kronisk cerebrovaskulær sykdom, ev. som en leukoaraiose, og vaskulære risikofaktorer lar seg påvise vesentlig hyppigere enn ved Parkinsons sykdom (81 % mot 32 %) (22).
Medikamentindusert parkinsonisme
Denne type parkinsonsime er relatert til bruk av forholdsvis høye doser antipsykotika og kan komme relativt hurtig (uker). Den er klinisk preget av en symmetrisk bradykinesi uten uttalt tremor eller gangvansker. Dopaminreseptorantagonister er vanligste årsak, men medikamenter som tømmer monoaminlagre (reserpin og tetrabenazin) samt i sjeldne tilfeller kalsiumblokkere kan også utløse tilstanden. Vanligvis går symptomene i regress etter seponering, men det kan ta opp til et år før alle parkinsonistiske symptomer er forsvunnet (23).
Diskusjon
Parkinsons sykdom er vanligste årsak til parkinsonisme og lar seg normalt behandle effektivt med dopaminagonister og/eller levodopa. I 30 – 40 % av tilfellene vil man imidlertid støte på tilstander som avviker fra det klassisk kliniske bildet, og man kan oppleve ubetydelig eller ingen levodoparespons. Vaskulær parkinsonisme, medikamentutløst parkinsonisme og demens med lewylegemer er de vanligste årsaker til atypisk parkinsonisme, mens multippel systematrofi, progressiv supranukleær parese og kortikobasal degenerasjon forekommer mer sjelden. Parkinsons sykdom kjennetegnes av triaden bradykinesi, tremor og rigiditet i tillegg til posturale endringer. Alle typer atypisk parkinsonisme har parkinsonistiske trekk, men skiller seg ved tilleggsymptomer slik som symptomer fra det autonome nervesystem, ataksi, spastisitet, øyemuskellammelser, tidlig falltendens eller tidlig kognitiv svikt. Diagnosen kan være vanskelig å fastsette, spesielt i det tidlige forløpet av sykdommen da man kun i halvparten av tilfellene med Parkinsons sykdom finner asymmetrisk tremor. Supplerende undersøkelser, spesielt MR av hjernen eller undersøkelser av det autonome nervesystem kan bidra til diagnostisk avklaring, men den kliniske vurdering er det beste hjelpemiddel, her illustrert ved utredningsalgoritme (fig 3).
Man kan benytte radioaktive isotoper for kvantifisering av nevroner, metabolske prosesser og reseptorer ved parkinsonisme (PET og SPECT), men per i dag er metodene ikke ledd i standard utredning. Disse metodene kan påvise redusert nivå av dopaminerge nigrostiatale nevroner, men metodene egner seg bare i liten grad til å skille mellom Parkinsons sykdom og annen degenerativt betinget parkinsonisme (24). Derimot kan DATscan og Fluorodopa PET være egnet til å skille mellom Parkinsons sykdom og essensiell tremor (25), og kanskje også vaskulær parkinsonisme (26). Sistnevnte diagnose lar seg imidlertid normalt identifisere ved klinisk nevrologisk undersøkelse og MR av hjernen.
Mens det foreligger en rekke muligheter for behandling av Parkinsons sykdom, er mulighetene ved atypisk parkinsonisme beskjedne. Imidlertid er diagnosen ved atypisk parkinsonisme ofte forbundet med en viss usikkerhet, og i slike tilfeller bør pasienten få mulighet til å prøve om leveodopa har en gunstig effekt på symptomene. Medikamentindusert parkinsonisme behandles med seponering av utløsende agens, og ved vaskulær parkinsonisme må de cerebrovaskulære risikofaktorer behandles på beste måte. Ved de primært degenerative hjernesykdommer som gir parkinsonisme, er behandlingen svært vanskelig. Ved multippel systematrofi har ca. 30 % av pasientene en beskjeden levodoparespons som kan være til nytte. Imidlertid har kun ca. 5 % levodopaeffekt over flere år. Postural hypotensjon kan behandles med økt saltinntak, bruk av fludrokortison (Florinef) for å øke saltinnholdet i blodet, og elastiske strømper, men oftest er behandlingseffekten skuffende. Levodopa har gjerne dårlig effekt ved demens med lewylegemer, og i alle tilfeller bør levodopadosen holdes lav da det er betydelig risiko for hallusinasjoner. I enkelte tilfeller kan pasientene ha nytte av en kombinasjon av en lav dose med levodopa og det atypiske antipsykotiske middel quetiapin (27). Acetylkolinesterasehemming kan ha en viss effekt på kognitiv svikt og uro (28). Tiltak i forhold til familien, med avlastning og sosiale tiltak, kan være vel så viktige. Ingen medikamentell behandling er vist effektiv ved kortikobasal degenerasjon eller progressiv supranukleær parese.
Ved slik parese opptrer tidlig falltendens, og beskyttelse av hodet med hjelm kan være nødvendig. Av og til er det, som ved Parkinsons sykdom, betydelige talevansker ved flere av disse tilstandene, og dersom det ikke foreligger kognitiv svikt, bør logoped konsulteres for utprøving av kommunikasjonshjelpemidler. Antidepressiv medikasjon kan være hensiktsmessig, og behandling med botolinumtoksin for uttalt rigiditet kan være indisert i noen tilfeller, f.eks. ved progressiv supranukleær parese.
Det har det siste tiåret vært en viss diskusjon om dyp hjernestimulering kan være aktuelt ved atypisk parkinsonisme. Kasuistiske rapporter har vært positive. Nylig er det imidlertid publisert en grundig oversiktsartikkel, som konkluderer med at dyp hjernestimulering for atypisk parkinsonisme ikke kan anbefales (29). Effekten har vært meget begrenset, og risikoen for bivirkninger beskrives som betydelig. Nesten alle artikler omhandler dyp hjernestimulering i nucleus subthalamicus, og det er å håpe at man i fremtiden kan finne bedre egnede områder i hjernen for stimulering i tilfeller med atypisk parkinsonisme.
Konklusjon
Atypisk parkinsonisme dreier seg klinisk bedømt om et begrenset antall tilstander. Per i dag er det anamnesen og den klinisk nevrologiske undersøkelse som best skiller Parkinsons sykdom fra atypisk parkinsonisme, selv om MR av hjernen kan være til en viss hjelp. Det foreligger ingen god kausal eller symptomatisk behandling. Riktig diagnose er likevel viktig fordi det sier noe om prognosen.
Vi takker Jonas Lind, Radiologisk avdeling og Ivar Otto Gjerde, Nevrologisk avdeling, Haukeland Universitetssykehus for tilgang til MR-bilder, og Jan Mæhlen, Patologisk anatomisk avdeling, Ullevål universitetssykehus for tilgang til nevropatologiske snitt fra pasient med progredierende supranukleær parese.
Oppgitte interessekonflikter:
Forfatterne har mottatt reisestøtte og/eller forelesningshonorarer fra ulike firmaer som forhandler legemidler eller utstyr til behandling av Parkinsons sykdom.
Tabell
| Hovedbudskap |
|
- 1.
Hughes AJ, Daniel SE, Lees AJ. Improved accuracy of clinical diagnosis of Lewy body Parkinson’s disease. Neurology 2001; 57: 1497 – 9.
- 2.
Christine CW, Aminoff MJ. Clinical differentiation of parkinsonian syndromes: prognostic and therapeutic relevance. Am J Med 2004; 117: 412 – 9.
- 3.
Gelb DJ, Oliver E, Gilman S. Diagnostic criteria for Parkinson disease. Arch Neurol 1999; 56: 33 – 9.
- 4.
Mueller B, Alves G, Tysnes O-B et al. Incidence of Parkinsons disease and severity of parkinsonism and disability in patients with early untreated Parkinsons disease. The Norwegian ParkWest study. Eur J Neurol 2007; 14: 194.
- 5.
Ishihara LS, Cheesbrough A, Brayne C et al. Estimated life expectancy of Parkinson’s patients compared with the UK population. J Neurol Neurosurg Psychiatry 2007; 78: 1304 – 9.
- 6.
Herlofson K, Lie SA, Arsland D et al. Mortality and Parkinson disease: a community based study. Neurology 2004; 62: 937 – 42.
- 7.
Wenning GK, Litvan I, Jankovic J et al. Natural history and survival of 14 patients with corticobasal degeneration confirmed at postmortem examination. J Neurol Neurosurg Psychiatry 1998; 64: 184 – 9.
- 8.
Schrag A, Wenning GK, Quinn N et al. Survival in multiple system atrophy. Mov Disord 2008; 30: 294 – 6.
- 9.
Kaat LD, Boon AJ, Kamphorst W et al. Frontal presentation in progressive supranuclear palsy. Neurology 2007; 69: 723 – 9.
- 10.
Williams MM, Xiong C, Morris JC et al. Survival and mortality differences between dementia with Lewy bodies vs Alzheimer disease. Neurology 2006; 67: 1935 – 41.
- 11.
Graham JG, Oppenheimer DR. Orthostatic hypotension and nicotine sensitivity in a case of multiple system atrophy. J Neurol Neurosurg Psychiatry 1969; 32: 28 – 34.
- 12.
Holmberg B, Kallio M, Johnels B et al. Cardiovascular reflex testing contributes to clinical evaluation and differential diagnosis of Parkinsonian syndromes. Mov Disord 2001; 16: 217 – 25.
- 13.
Schrag A, Kingsley D, Phatouros C et al. Clinical usefulness of magnetic resonance imaging in multiple system atrophy. J Neurol Neurosurg Psychiatry 1998; 65: 65 – 71.
- 14.
McKeith IG, Dickson DW, Lowe J et al. Diagnosis and management of dementia with Lewy bodies: third report of the DLB Consortium. Neurology 2005; 65: 1863 – 72.
- 15.
McKeith I. Dementia with Lewy bodies and Parkinson’s disease with dementia: where two worlds collide. Pract Neurol 2007; 7: 374 – 82.
- 16.
Ballard C, Ziabreva I, Perry R et al. Differences in neuropathologic characteristics across the Lewy body dementia spectrum. Neurology 2006; 67: 1931 – 4.
- 17.
Beyer MK, Larsen JP, Aarsland D. Gray matter atrophy in Parkinson disease with dementia and dementia with Lewy bodies. Neurology 2007; 69: 747 – 54.
- 18.
Baba Y, Putzke JD, Whaley NR et al. Progressive supranuclear palsy: phenotypic sex differences in a clinical cohort. Mov Disord 2006; 21: 689 – 92.
- 19.
Williams DR, Holton JL, Strand C et al. Pathological tau burden and distribution distinguishes progressive supranuclear palsy-parkinsonism from Richardson’s syndrome. Brain 2007; 130: 1566 – 76.
- 20.
Stover NP, Watts RL. Corticobasal degeneration. Semin Neurol 2001; 21: 49 – 58.
- 21.
Foltynie T, Barker R, Brayne C. Vascular parkinsonism: a review of the precision and frequency of the diagnosis. Neuroepidemiology 2002; 21: 1 – 7.
- 22.
Demirkiran M, Bozdemir H, Sarica Y. Vascular parkinsonism: a distinct, heterogeneous clinical entity. Acta Neurol Scand 2001; 104: 63 – 7.
- 23.
Van Gerpen JA. Drug-induced parkinsonism. Neurologist 2002; 8: 363 – 70.
- 24.
Brucke T, Djamshidian S, Bencsits G et al. SPECT and PET imaging of the dopaminergic system in Parkinson’s disease. J Neurol 2000; 247 (suppl 4): IV/2 – 7.
- 25.
Hamilton D, List A, Butler T et al. Discrimination between parkinsonian syndrome and essential tremor using artificial neural network classification of quantified DaTSCAN data. Nucl Med Commun 2006; 27: 939 – 44.
- 26.
Gerschlager W, Bencsits G, Pirker W et al. [123I]beta-CIT SPECT distinguishes vascular parkinsonism from Parkinson"s disease. Mov Disord 2002; 17: 518 – 23.
- 27.
Frieling H, Hillemacher T, Ziegenbein M et al. Treating dopamimetic psychosis in Parkinson’s disease: structured review and meta-analysis. Eur Neuropsychopharmacol 2007; 17: 165 – 71.
- 28.
Burn D, Emre M, McKeith I et al. Effects of rivastigmine in patients with and without visual hallucinations in dementia associated with Parkinson"s disease. Mov Disord 2006; 21: 1899 – 907.
- 29.
Shih LC, Tarsy D. Deep brain stimulation for the treatment of atypical parkinsonism. Mov Disord 2007; 22: 2149 – 55.