Subakutt forverring av rigiditet ved Parkinsons sykdom

    ()

    sporsmal_grey_rgb
    Abstract

    In this paper we report a patient with Parkinson’s disease (PD) presenting with subacute motor symptoms, especially rigidity. The 75-year-old man had relatively moderate PD for 12 years, which was treated with levodopa until he developed marked rigidity. The rigidity became worse, with prolonged off-periods, despite treatment with increased doses of levodopa. At the time of hospitalization he was unable to walk independently, but the clinical neurological examination only revealed aggravation of parkinsonian signs. MRI of the brain showed an intracerebral lesion, which was later confirmed as glioblastoma multiforme. The main feature was onset of marked rigidity a few weeks before severe tumour-specific symptoms developed, but spasticity or hyperreflexia were neither reported at the time of symptom exacerbation nor during hospitalization. This case demonstrates the importance of considering other underlying neurological disease in parkinsonian patients presenting with rapid progression of parkinsonian symptoms.

    Artikkel

    En mann behandlet for en stabil Parkinsons sykdom i 12 år utviklet rask forverring av parkinsonistiske symptomer, hovedsakelig i form av generalisert rigiditet. Doseøkning av levodopa var uten effekt, og ved innleggelsen kunne han ikke gå. Man fant økt parkinsonisme, men ingen nytilkomne nevrologiske utfall.

    En 75 år gammel mann var blitt behandlet for Parkinsons sykdom i 12 år og 300 mg levodopa per døgn hadde gitt god effekt. Han hadde de første årene langsom sykdomsprogrediering, men ble etter hvert preget av endret kroppsholdning med økt torakal kyfose, korte og subbende skritt, redusert finmotorikk og koordinasjon i armene. Videre rapporterte han om gradvis redusert syn. Han ble derfor undersøkt av øyelege og det ble utført perimetri som viste venstresidig hemianopsi på høyre øye og generelt redusert synsfelt på venstre øye. Det ble ikke påvist noen årsak til synssvekkelsen. MR av hjernen med kontrast viste kun enkelte uspesifikke signalforandringer samt rommelig ventrikkelsystem.

    Parkinsons sykdom er en vanlig nevrodegenerativ sykdom med forekomst på ca. 1 % i befolkningen over 65 – 70 år. Nevroanatomisk ses typisk tap av dopaminerge nevroner i substantia nigra i hjernestammen. Typiske symptomer er hviletremor, rigiditet, akinesi og balanseproblemer. Det er også karakteristisk at sykdommen starter asymmetrisk, og de fleste vil ha mer symptomer på den ene siden av kroppen også senere i forløpet. Pasientene har som oftest god nytte av dopaminerg behandling de første årene. Dersom pasienten har symmetrisk parkinsonisme, autonome symptomer, cerebellare utfall, demens, forøkede reflekser eller andre pyramidebaneutfall, bør man vurdere andre årsaker til parkinsonismen. Vår pasient hadde et symptomforløp forenlig med Parkinsons sykdom. Innskrenket synsfelt er uvanlig ved Parkinsons sykdom, og man bør derfor søke etter andre årsaker. I dette tilfellet ble det ikke påvist noen årsak til problemet, og det er ikke rapport om forverring av synsproblemene senere.

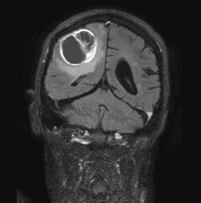
    Ett år senere utviklet han i løpet av få uker økt rigiditet i armer og ben. Han hadde behov for hjelp til av- og påkledning og fikk derfor plass på sykehjem. Ved oppfølgende klinisk nevrologisk undersøkelse ble det avdekket markert rigiditet både aksialt og i armer og bein. Han hadde vansker med å reise seg fra en stol, og gikk svært langsomt og ustøtt. Det ble ikke påvist unormale reflekser eller spastisitet ved undersøkelsen. Tilstanden ble tolket som økende parkinsonisme, og levodopadosen ble derfor økt til 400 mg per døgn. Han ble imidlertid verre på tross av doseøkningen, og tre uker senere ble han innlagt ved nevrologisk avdeling. Personalet ved sykehjemmet rapporterte at han de siste to ukene før innleggelsen var blitt ute av stand til å gå. Pasientens fastlege hadde i mellomtiden økt levodopadosen til 600 mg per døgn uten bedring. Ved innkomst var han trett, men åpnet øynene på tiltale. Han var orientert for tid og sted. Kraftundersøkelse var vanskelig å utføre, men han klarte ikke å sitte uten støtte. Refleksene og sensibilitetsundersøkelser var normale. Det ble ikke påvist tegn til spastisitet eller unormale reflekser på innleggelsestidspunktet eller ved oppfølgende kliniske undersøkelser under oppholdet. MR av hjernen viste en kontrastladende tumor på 4 x 6 x 4 cm i høyre parietalregion (fig 1). Han ble operert, og histopatologisk undersøkelse viste glioblastoma multiforme. Pasienten døde få uker senere.

    Undersøkelse av muskeltonus utføres ved at undersøkeren foretar passive bevegelser av pasientens ekstremiteter samtidig med at pasienten slapper av. Hos liggende pasienter eller bevisstløse pasienter kan tonus undersøkes ved å løfte ekstremitetene fra underlaget for å se hvor raskt de faller ned, og om det er sideforskjell. En sideforskjell kan være indikasjon på hemiparese. Det er to hovedformer for økt tonus i muskulaturen; spastisitet og rigiditet. Spastisitet skyldes økt refleksaktivitet, og påvises lettest ved hurtige passive bevegelser. Spastisiteten avtar når bevegelsen nærmer seg leddets ytterstilling. Rigiditet ses ved sykdommer i de basale kjerner og fremtrer som en ensartet motstand mot passive bevegelser uavhengig av leddets stilling. Dersom tremor foreligger samtidig, kan man kjenne rigiditeten som små rykk i bevegelsen. Dette kalles tannhjulsrigiditet.

    Glioblastoma multiforme er en høygradig infiltrerende hjernesvulst som har en median overlevelse på ca. ett år. Svulsten kan vokse raskt, og er vanskelig å behandle. Det er derfor ikke overraskende at denne ikke ble påvist ved MR-undersøkelsen som ble utført pga. synsproblemer året før svulsten ble oppdaget.

    Diskusjon

    Diskusjon

    Det er en klinisk erfaring at tilleggssykdom kan gi forverring av motoriske symptomer hos pasienter med Parkinsons sykdom. Mekanismene for hvordan eksempelvis kreftsykdom kan tenkes å påvirke parkinsonsymptomene, er lite kjent. I litteraturen forligger kun enkelte kasuistiske meddelelser som antyder at parkinsonsymptomer kan oppstå før de tumorspesifikke symptomene inntrer (1, 2). Parkinsonsymptomer sekundært til tumorsykdom bedres ikke av medikamentell behandling, men pasienten kan bli bedre etter fjerning av svulster som meningeomer, akustikusnevrinom eller hjernemetastaser (1, 2). Det er også beskrevet terapiresistent parkinsonisme som følge av strålebehandling av hjernetumor (3).

    Vår pasient hadde en ondartet svulst i hjernen og utviklet subakutt forverring av allerede eksisterende parkinsonsymptomer. Mangel på hyperrefleksi, spastisitet og positivt Babinskis tegn som indikasjon på nytilkommet sykdom i sentralnervesystemet gjorde at mistanken om tilleggssykdom ble forsinket. I ettertid kan man spekulere på om det likevel forelå spastisitet på undersøkelsestidspunktet. I noen tilfeller kan det være vanskelig å skille mellom rigiditet og spastisitet ved klinisk undersøkelse, og man kan ikke utelukke at det kan ha foreligget et blandingsbilde. Pasienten hadde gangvansker og problemer med å reise seg fra sittende stilling ved undersøkelse hos nevrolog. Dette er vanlige symptomer i senere stadier av Parkinsons sykdom, og siden det heller ikke ble påvist nye nevrologiske utfall ved undersøkelsen, fattet man ikke mistanke om annen sykdom. Man kan i ettertid spørre seg om pareser likevel kan ha vært til stede som en medvirkende forklaring på pasientens svakhet.

    «Akutt akinesi» ved Parkinsons sykdom definert som plutselig forverring av motoriske funksjoner vedvarende over 24 timer er assosiert med infeksjoner, traumer og sykdom i mage-tarm-systemet (4). En annen sjelden årsak til raskt innsettende parkinsonisme er bruk av medikamenter. Noen pasienter kan utvikle subakutt rigiditet etter å ha seponert eller redusert inntaket av dopaminerge medikamenter, såkalt parkinsonisme-hyperpyreksi-syndrom. Denne tilstanden har fellestrekk med malignt nevroleptikasyndrom som karakteriseres av rigiditet, redusert bevissthet og autonom dysfunksjon samt feber og forhøyet kreatinkinaseverdi (CK) i tillegg til parkinsonistiske symptomer (5) – (7). Andre sjeldne årsaker til rask utvikling av parkinsonisme er vaskulære lesjoner i basale ganglier og intoksikasjon med blant annet karbonmonoksid og metanol. Serotoninergt syndrom som kan skyldes inntak av serotonin reopptakshemmere og MAO-B-hemmere (seligilin), kan gi uttalt rigiditet, autonom dysfunksjon og mental påvirkning (7, 8).

    Konklusjon

    Konklusjon

    Kasuistikken beskriver subakutt forverring av motoriske parkinsonsymptomer hos en pasient som før dette hadde en langsom symptomutvikling. Leger som behandler pasienter med Parkinsons sykdom, bør være oppmerksom på at akutt eller subakutt forverring av motoriske funksjoner, og kanskje spesielt rigiditet, kan være et tegn på tilleggssykdom som for eksempel svulst i sentralnervesystemet slik dette eksemplet viser.

    Oppgitte interessekonflikter:

    Ingen

    Kommentarer  ( 0 )
    PDF
    Skriv ut

    Anbefalte artikler