En fire år gammel gutt med hovent kinn etter et fall

    ()

    sporsmal_grey_rgb
    Abstract

    A four-year-old boy had fallen from a tree in nursery school and had minor symptoms immediately after the trauma. He was admitted to the local casualty clinic the same night, but no signs of local injury were detected. The next morning he was admitted to the department of oto-rhino-laryngology at the local hospital due to increasing local swelling and pain in the cheek. A computed tomography examination demonstrated an extensive preauricular soft tissue swelling and a long central hypodensity from the left ear to the oropharynx. The presence of a penetrating foreign body was suspected and the boy was admitted to our hospital.

    An examination in general anaesthesia revealed a small skin lesion medial to the tragus in the left external auditory meatus and a wooden stick was seen crossing the oropharynx. The eight and a half centimetre long wooden stick had penetrated from the cartilaginous part of the left external auditory meatus to the right palatal tonsil. It was removed through a pre-auricular incision. No complications were observed and the boy could leave the hospital after four days of observation with antibiotic therapy and tetanus prophylaxis.

    Artikkel

    En fire år gammel gutt falt ned fra et tre under lek i barnehagen. Like etter fallet hadde han sutret en del, men personalet hadde ikke mistenkt at han hadde skadet seg alvorlig. Samme ettermiddag var han utilpass og spiste lite, og foreldrene brakte gutten til lege. Det ble funnet en mindre skade og blødning fortil i øregangen. Skaden ble oppfattet som bagatellmessig og gutten ble sendt hjem.

    Det kan være vanskelig å undersøke barn som har skadet seg. Smerter forsterker barnets skepsis, og undersøkende lege kan lett overse en behandlingstrengende skade eller et fremmedlegeme (1). En tilfredsstillende vurdering av en hode- eller halsskade hos barn betinger i tillegg til grundig anamnese en nøyaktig klinisk undersøkelse inklusive palpasjon av ansiktets skjelett og halsens bløtdeler. Hvorvidt man bør rekvirere CT-undersøkelse i akuttfasen avhenger av om det er tegn til behandlingstrengende skjelettskade eller en større bløtdelsskade og om man mistenker at det foreligger et fremmedlegeme dypt i vevet.

    Neste dag var det kommet en hevelse i kinnet, og gutten ble nå henvist til øre-nese-hals-avdelingen ved nærmeste sykehus. Han var vanskelig å undersøke klinisk på grunn av smerter lokalt, og han ville ikke gape.

    En hevelse i kinnet kan fremkomme ved flere ulike tilstander. I dette tilfellet visste man at barnet hadde et forutgående traume og det var derfor naturlig å relatere de kliniske funn til dette. Et kraftig slag kan gi en blødning med påfølgende hevelse. Ofte vil en slik hevelse komme raskt og trolig bli oppdaget allerede ved første legeundersøkelse. En alternativ forklaring kunne være en lokal infeksjon i kinnets fettpute eller i ørespyttkjertelen, som kan oppstå ved stump eller skarp skade av disse strukturene. En slik infeksjon vil kunne utvikles med varierende hastighet avhengig av type mikrober involvert og volumet av infisert vev. Det er lite sannsynlig at en abscess skulle oppstå i løpet av den relativt korte tiden som hadde gått fra skadetidspunktet.

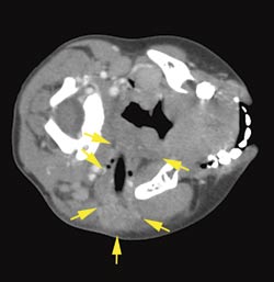
    Tilstanden ble nå oppfattet som så alvorlig at det var nødvendig med videre utredning med CT-undersøkelse. CT-bildene viste en stripeformet luftholdig forandring i vevet fra venstre tinningbein til svelget (fig 1). Dette ble oppfattet som et penetrerende fremmedlegeme. Pasienten ble overført med luftambulanse til Øre-nese-hals-avdelingen ved Haukeland Universitetssjukehus. Behandling med antibiotika intravenøst ble startet før transporten.

    Ved innkomsten var gutten medtatt. Temperaturen var 38,2 ºC og serumkonsentrasjonen av C-reaktivt protein (CRP) var 189 mg/ml. Det var en uttalt hevelse over venstre kinn. Han siklet og ville ikke bevege hodet. Det var ikke synlig tegn på skade av ansiktsnerven på venstre side. Det var heller ingen blødning, verken fra øret eller munnen.

    Ny gjennomgang av CT-undersøkelsen viste en tydelig stikkanal, som angitt, men det var ikke mulig utifra CT-bildene å avgjøre hva slags fremmedlegeme dette kunne være (fig 1). Radiologen antydet at det kunne være et plastrør eller et annet luftholdig og langt fremmedlegeme. Pasientens mor kunne fortelle at det hadde vært noen kvister under treet der han falt og man mistenkte derfor at det var en kvist som vistes som luft på CT-bildet.

    Pasienten ble ført til operasjonsstuen og narkose ble innledet med gass uten muskelavslappende medikament, fordi man fryktet for problemer med intubasjon. Ved undersøkelse i svelget i forbindelse med intubering fant man at en kvist hadde penetrert bakre ganebue på venstre side og fortsatt tvers over svelget og inn i tonsillen på motsatt side. Det var ingen vanskeligheter med å føre en orotrakeal tube forbi fremmedlegemet ned til trachea.

    Pasienten ble nå undersøkt med otomikroskop og man fikk bekreftet mistanken om at stikkanalen startet i venstre ytterøre. En 3 mm rift ble funnet i huden svarende til overgangen mellom brusk og bein i øregangen, like medialt for tragusbruskens feste. Det var kun et lett ødem i øregangen og en antydning til hevelse også i trommehinnen. Det var ikke mulig å kjenne fremmedlegemet via hudåpningen i øregangen. Det var derfor nødvendig å legge et lite S-formet snitt foran øret, og med disseksjon lot det seg gjøre å finne enden på fremmedlegemet inne i ørespyttkjertelen. Ved hjelp av en arteriepinsett kunne fremmedlegemet forsiktig trekkes tilbake den veien det hadde penetrert vevet uten at det oppstod noen blødning. Fremmedlegemet viste seg å være en 8 1/2 cm lang kvist (fig 2). Ved hjelp av mikroskop ble såret ytterligere rengjort for bark og mindre fremmedlegemer og deretter ble stikkanalen gjennomskylt med hydrogenperoksid (1 %) og sterilt vann. Såret i øregangen lot man være åpent for granulering. Såret i svelget ble lukket med noen få suturer.

    Gutten erklærte seg selv som «frisk» da han våknet av narkosen. Han ble observert fire dager i sykehus særlig med tanke på lokal infeksjon. Det ble gitt intravenøst antibiotika i denne perioden i tillegg til stivkrampevaksine. Det tilkom ingen komplikasjoner bortsett fra en forbigående renning av blank væske fra såret i øret ved de første måltidene etter operasjonen.

    Etter fire dager kunne han utskrives i fin form til hjemmet. Han fikk ytterligere behandling med antibiotikamikstur og antibiotikaholdige øredråper i en uke. Det ble avtalt poliklinisk kontroll ved øre-nese-hals-avdelingen på hjemstedet.

    Diskusjon

    Diskusjon

    Øre-nese-hals-leger er velkjent med fremmedlegemer som setter seg fast i nesen, svelget eller spiserøret, eller aspireres til nedre luftveier. En grundig anamnese kan i slike tilfeller gi mistanke om at det foreligger et fremmedlegeme. Det kan imidlertid være vanskelig å undersøke pasientene, særlig barn. Ofte er man da nødt til å undersøke pasienten i narkose eller i sedasjon med stive eller fleksible instrumenter (2).

    Ved hode- og ansiktsskader hos barn er det lett å overse et penetrerende fremmedlegeme i bløtvevet. Innstikksåpningen kan, som i dette tilfellet, være svært liten, og fremmedlegemet finnes ikke nødvendigvis der smerter eller hevelse er størst. Dersom et fremmedlegeme som penetrerer huden treffer en fast struktur i vevet under, som for eksempel underkjeven, kan stikkanalen bøye av og fremmedlegemet bli liggende dypt i forhold til innstikksstedet i et område som er vanskelig tilgjengelig for palpasjon.

    Har man først fattet mistanke om at det foreligger et fremmedlegeme, vil en CT-undersøkelse vanligvis vise beliggenheten relatert til omliggende strukturer. Likevel kan et fremmedlegeme av organisk materiale, for eksempel av tre, være vanskelig å oppdage fordi tettheten er lav. Da oppfattes legemet som luft i skadet vev (3) – (5). Dersom man har sterk mistanke om at et fremmedlegeme foreligger, bør man vurdere å utføre magnettomografisk undersøkelse (5) eller kirurgisk eksplorasjon dersom CT-undersøkelsen ikke gir konklusivt resultat.

    Penetrerende skader i hode- og halsområdet

    Ved penetrerende skader i hode- og halsområdet vil bløtvevets elastiske egenskaper gjøre at skadene på overflaten kan virke bagatellmessige, og store skader lenger inne kan på den måten maskeres. Dermed kan diagnostiske og behandlingsmessige prosedyrer bli utelatt eller forsinket, med fatale konsekvenser. Behandlingen stiller store krav til spesiell kompetanse, særlig utstyr og tverrfaglighet. Derfor er gjennomtenkte og etablerte rutiner og retningslinjer viktige. Algoritmer kan være nyttige i slike sammenhenger (1).

    Å sikre luftveier og sirkulasjon og få kontroll over eventuelle blødninger har førsteprioritet. I denne fasen er det også viktig å stabilisere nakken for å unngå lammelser. For videre utrednings- og behandlingsstrategi kan hodet og halsen deles inn i tre områder. Ved skader i område 1, begrenset av hårfestet oppad og processus supraorbitalis nedad, skal oppmerksomheten i første rekke rettes mot kartlegging og eventuell behandling av intrakraniale lesjoner. Nevrologisk undersøkelse og CT av hjerne og bihuler skal derfor utføres. Kraniotomi kan være aktuelt. Område 2 begrenses av processus supraorbitalis oppad og overleppen nedad. Penetrerende skader i dette området affiserer ofte øynene og sentralnervesystemet. Utredningen skal derfor omfatte nevrologisk og oftalmologisk undersøkelse. Nesen og munnhulen skal også undersøkes med tanke på cerebrospinalvæskelekkasje, skader på neseseptum, tannskader og brudd i ansiktskjelettet. CT av hjerne, orbita, bihuler og ansiktsskjelett skal utføres. Skader i område 3, begrenset av overleppen oppad og tungebeinet nedad, betinger nevrologisk undersøkelse, spesielt med tanke på nakkeskader. Munnhulen, larynx, trachea og øvre deler av spiserøret må også undersøkes. CT av mandibula er viktig. Endoskopisk undersøkelse av luftveier og spiserør må vurderes. Ved penetrerende skader bak en vertikal linje gjennom kjevevinklene må man spesielt undersøke med tanke på karskader. Angiografi er aktuelt.

    Typen penetrerende traume (skuddskade eller stikkskade) og penetrerende materiale er også av betydning for mulig skadeomfang og dermed for utredning og behandling. Fremmedlegemer av tre er vanskelig å oppdage både klinisk og røntgenologisk, og de blir ofte oversett initialt. Ved mistanke skal primært CT rekvireres. Selve fremmedlegemet kan være vanskelig å se, slik at det er skader og reaksjoner i vevet omkring som dominerer bildet i den akutte fasen (2).

    Penetrerende skader i hode-hals-området blir lett infisert (3). Ved slike skader er det derfor viktig at pasienten får profylaktisk antimikrobiell behandling.

    Manuskriptet ble godkjent 1.12. 2004. Manuskriptet ble godkjent 15.2. 2005.

    Oppgitte interessekonflikter: Ingen

    Se kommentar side 2369

    Kommentarer  ( 0 )

    Anbefalte artikler